Assessment of the functional state of the microcirculation system of the dental gingival complex in the dynamics of treatment of patients with low crown height
- Authors: Veremeenko S.A.1, Makedonova Y.A.1, Makedonova D.M.1, Surganov I.I.1
-
Affiliations:
- Volgograd State Medical University
- Issue: Vol 22, No 2 (2025)
- Pages: 78-83
- Section: Original Researches
- URL: https://medbiosci.ru/1994-9480/article/view/310135
- DOI: https://doi.org/10.19163/1994-9480-2025-22-2-78-83
- ID: 310135
Cite item
Full Text
Abstract
The height of the tooth crown is one of the key factors for fixing fixed structures. One of the most common reasons for cementation is the insufficient stump area of the teeth, in particular, their small height, respectively, this factor is of great practical importance. Along with this, there are three levels of the gingival complex – low, medium and high, respectively, in such a clinical situation, the dentist will have to make an important choice between the method of preparation, which consists in clinical gum lengthening. To date, there is no differentiated approach to a particular method of therapy, depending on the type of dental gingival complex. The purpose of the work is to analyze the state of the microcirculation system of the dental gingival complex using laser Doppler flowmetry in the dynamics of treatment of patients with low tooth crown height. 416 patients who applied for orthopedic treatment participated in the examination and treatment. Based on the microcirculation parameter, the mean square deviation and the coefficient of variation, an assessment of the state of microcirculatory changes was carried out against the background of therapy before the start of treatment and after 14 days. The results of the study proved that in the near future, patients with gingivectomy and alveloplasty had pronounced microcirculatory disorders, regardless of the gum biotype. The parameters in patients with gum retraction did not change significantly. However, in a short period of follow-up, it is impossible to fully assess the clinical and functional state of the dental gingival complex. It is advisable to carry out further monitoring of this category of patients.
Full Text
Наиболее частой разновидностью ортопедического лечения пациентов для восстановления разрушенной коронки зуба являются искусственные коронки [1]. Безусловным показанием к изготовлению коронок является значительное разрушение зуба вследствие кариеса или его осложнений. Возможны также и другие причины, такие как травма, патологическая стираемость, аномалии формы, цвета и структуры зубов, эстетические показания. Существуют и противопоказания, такие как покрытие коронками интактных зубов, если это не вызвано конструктивными особенностями зубных протезов, выраженная патологическая подвижность зубов III степени, неудовлетворительное общее состояние здоровья. Однако в настоящее время все чаще встречаются пациенты с низкой высотой коронки зуба, данная анатомическая особенность не является противопоказанием к ортопедическому лечению. Низкая клиническая коронки – часто встречаемое явление в клинике ортопедической стоматологии [2]. Данный факт доставляет массу неудобств, а порой и вовсе является относительным противопоказанием к протезированию, поскольку для адекватной фиксации несъемных ортопедических конструкций необходима достаточная высота культевой части зуба, чтобы обеспечить максимально длинный путь введения протеза [3]. Так называемая площадь соприкосновения необходима для механического удерживания конструкции. Для протезирования пациентов с данной проблемой приходится прибегать к ряду методов, направленных на улучшение условий, влияющих на фиксацию будущего протеза. Существует множество методов, позволяющих улучшить условия фиксации. Их можно разделить на ортопедические, ортодонтические, хирургические [4]. Наряду с этим важным аспектом является анализ состояния зубодесневого комплекса, тканей, окружающих зуб. Данный фактор является ключевым в выборе метода подготовки к протезированию. Выделяют низкий, средний и высокий зубодесневой комплекс. Характеристику зубодесневого комплекса необходимо обязательно учитывать при подборе проводимой терапии [5]. Таким образом, перед врачом – стоматологом-ортопедом встает вопрос о выборе метода подготовки к ортопедическому лечению у данной категории пациентов, который обеспечит надежную фиксации коронки [6]. Самыми распространенными методами предпротетического лечения являются гингивэктомия, альвеолопластика и ретракция десневого края [7]. Однако в настоящее время отсутствует дифференцированный подход к выбору метода лечения в зависимости от параметра зубодесневого комплекса [8]. Вне зависимости от метода хирургического лечения [9] во всех случаях будут иметь место нарушение как целостности и структуры зубодесневого комплекса, так и внутрисосудистые изменения [10]. Анализ микроциркуляторных нарушений играет ключевую роль в прогнозе восстановления пародонтальных тканей. Одним из методов, позволяющих неинвазивно, в кратчайшие сроки провести оценку состояния микроциркуляторного русла, является лазерная допплеровская флоуметрия. В зависимости от целесообразности применения используются различные лазерные источники мощностью 1–2 мВт. Колебания перфузии отражаются на ЛДФ-грамме в виде сложного, непериодического процесса. Анализ данных колебаний позволит своевременно выявить развитие микроциркуляторных нарушений, предупредить прогрессирование ряда необратимых изменений, в том числе и в тканях пародонта [11]. До настоящего времени отсутствуют данные о состоянии локального кровотока в пародонтальных тканях у пациентов с низкой высотой коронки зуба на фоне применения различных методов предпротетического лечения.
ЦЕЛЬ РАБОТЫ
Методом лазерной допплеровской флоуметрии провести анализ состояния системы микроциркуляции зубодесневого комплекса в динамике лечения пациентов с низкой высотой коронки зуба.
МЕТОДИКА ИССЛЕДОВАНИЯ
Проведено обследование и лечение 416 пациентов, обратившихся в стоматологический клинико-диагностический центр ВолгГМУ с целью рационального протезирования. Согласно критериям включения/невключения/исключения исследовательские группы составили 320 человек (рис. 1).
Рис. 1. Критерии включения/невключения/исключения пациентов в исследование
Проведено комплексное стоматологическое обследование пациентов согласно Национальному руководству по ортопедической стоматологии (2022 г.), впоследствии рандомизированных на 6 групп в зависимости от уровня зубодесневого комплекса (ЗДК) и типа проводимой терапии (рис. 2).
Рис. 2. Рандомизация пациентов в зависимости от уровня ЗДК и типа проводимой терапии
Основываясь на уровне зубодесневого комплекса, были сформированы группы, согласно методам проводимой терапии. I группа – контрольная (для получения нормированных параметров); II группа – со средним уровнем ЗДК, которым проводилось гингивэктомия – группа IIа (75 человек), группа IIб – альвеолопластика (80 пациентов), группа IIв – ретракция десны (76 обследуемых); III группа – IIIа – 28 пациентов, которым выполнена гингивэктомия, IIIб – 30 больных, проводилась альвеолопластика, IIIв – ретракция десневого края (31 пациент).
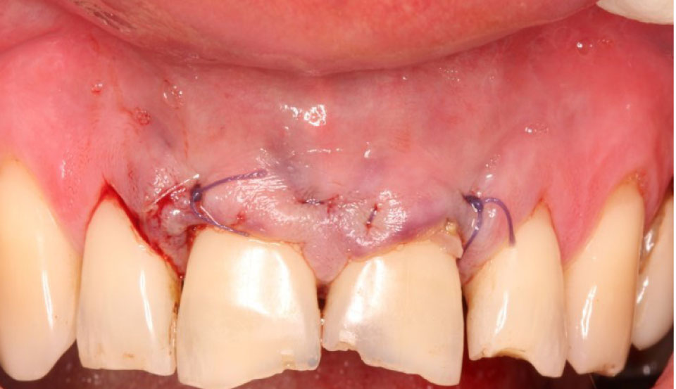
Пациентам молодого возраста 18–44 лет, средний возраст которых равнялся (29,3 ± 4,7) года, проведена оценка состояния микроциркуляторного русла методом лазерной допплеровской флоуметрии. Пациентам, в положении сидя, фиксировали датчик в области десны на расстоянии ниже 2 мм от маргинальной ее части. Оценивали параметр М – показатель микроциркуляции, рассчитываемый в перфузионных единицах, d – среднее квадратичное отклонение, в пф. ед., и Kv – коэффициент вариации, отражающий состояние локального кровотока, в процентах. Оценка ЛДФ-грамм проводилась до начала лечения и через 14 дней после выполненного предпротетического лечения. Гингивэктомию, альвеолопластику и ретракцию десны выполняли по традиционной схеме (рис. 3).
Рис. 3. Пациент Д., 26 лет. Состояние десны после выполненной альвеолопластики
Пациентам даны рекомендации по индивидуальной гигиене полости рта.
Обработка и анализ полученной информации проведены с использованием операционной системы Microsoft Windows 10. Статистическая обработка полученных результатов выполнена в программе Statistica 13.0. Статистический анализ проводился методом вариационной статистики с определением средней величины (М), ее средней ошибки (±m), оценки достоверности различия по группам с помощью критерия Стьюдента (t), при р < 0,01, t ≥ 2.
РЕЗУЛЬТАТЫ ИССЛЕДОВАНИЯ И ИХ ОБСУЖДЕНИЕ
Из 416 обследуемых пациентов 96 (23,1 %) пациентов не вошли в исследование, так как не соответствовали разработанным критериям. Следует отметить, что у 6 (1,4 %) пациентов отмечался низкий уровень зубодесневого комплекса, что также являлось критерием исключения. Таким образом, группы сравнения составила 320 человек, рандомизированных методом «простых конвертов» на 6 подгрупп.
Анализ ЛДФ-грамм до начала хирургического лечения не выявил наличие микроциркуляторных нарушений. ЛДФ-граммы характеризовались периодичностью, без патологических сдвигов (рис. 4).
Рис. 4. Внешний вид ЛДФ-граммы до начала лечения
Так, параметр микроциркуляции М составил у пациентов со средним уровнем ЗДК – (22,4 ± 1,6) пф. ед., среднее квадратичное отклонение d – (5,9 ± 0,2) пф. ед., Kv – (26,3 ± 1,4) %. Статистически значимой разницы относительно аналогичных значений у пациентов с высоким уровнем ЗДК не получено: М – (23,8 ± 1,2) пф. ед., d – 6,3 ± 0,2 пф. ед., Kv – (26,5 ± 1,3) %, при р > 0,05. Следует отметить, что полученные значения в группе контроля также статистически значимо не отличались от группы II и группы III: М – (21,7 ± 1,3) пф. ед., d – (6,1 ± 0,2) пф. ед., Kv – (28,1 ± 1,1) %.
Однако через 14 дней у пациентов группы IIб на фоне альвеолопластики отмечались расстройства микроциркуляции, протекающие по гиперемической форме, о чем свидетельствует статистически значимое уменьшение скорости локального кровотока в 4,3 раза, Kv – (6,1 ± 0,2) %, р < 0,05. В группе IIa у пациентов после гингивэктомии также наблюдались микроциркуляторные изменения, отмечалось замедление кровотока и усиление агрегации эритроцитов – Кv – (8,4 ± 0,3) %, d – (2,4 ± 0,2) пф. ед. У пациентов группы IIв параметры ЛДФ-граммы статистически значимо не изменились относительно группы контроля и первоначальных значений – М – (24,6 ± 1,8) пф. ед., d – (5,9 ± 0,2) пф. ед., коэффициент вариации – (24,0 ± 1,1) %. В в группе IIIб отмечалась очень тяжелая степень недостаточности, снижение тканевого кровотока более 40 %, так Кv – (5,7 ± 0,2) %, р < 0,05. В группе IIIа снижение скорости вазомоторной активности сосудов отмечалось в 3 раза – М – (26,4 ± 1,5) пф. ед., d – (2,3 ± 0,2) пф. ед., Кv – (8,8 ± 0,2) %. Показатели локального кровотока в группе IIIв статистически значимо не изменились относительно показателей до лечения и составили – М – (29,6 ± 1,1) пф. ед., d – (6,4 ± 0,3) пф. ед., Кv – (21,6 ± 1,9) %, при р > 0,05.
Таким образом, патофизиологическая характеристика нарушений состояния микроциркуляций на фоне проведенного лечения не выявлена в группе пациентов, подготовка которым проведена в виде ретракции десны вне зависимости от уровня зубодесневого комплекса (табл.).
Показатели микроциркуляции согласно группам сравнения в динамике наблюдения, пф. ед.
Сроки лечения | Тип ЗДК/проводимая терапия | М | d | Kv | |
Норма, контроль (группа I) | 21,7 ± 1,3 | 6,1 ± 0,2 | 28,1 ± 1,1 | ||
До лечения | Группа II | Гингивэктомия (IIa) | 22,4 ± 1,6 | 5,9 ± 0,2 | 26,3 ± 1,4 |
Альвеолопластика (IIб) | |||||
Ретракция (IIв) | |||||
Группа III | Гингивэктомия (IIIa) | 23,8 ± 1,2 | 6,3 ± 0,2 | 26,5 ± 1,3 | |
Альвеолопластика (IIIб) | |||||
Ретракция (IIIв) | |||||
14-й день | Группа II | Гингивэктомия (IIa) | 28,7 ± 1,5* | 2,4 ± 0,2* | 8,4 ± 0,3* |
Альвеолопластика (IIб) | 29,6 ± 1,6* | 1,8 ± 0,4* | 6,1 ± 0,2* | ||
Ретракция (IIв) | 24,6 ± 1,8 | 5,9 ± 0,2 | 24,0 ± 1,1 | ||
Группа III | Гингивэктомия (IIIa) | 26,4 ± 1,5 | 2,3 ± 0,2* | 8,8 ± 0,2* | |
Альвеолопластика (IIIб) | 27,9 ± 1,4* | 1,6 ± 0,1* | 5,7 ± 0,2* | ||
Ретракция (IIIв) | 29,6 ± 1,1* | 6,4 ± 0,3 | 21,6 ± 1,9 | ||
* Статистическая значимость различий относительно нормированных значений (контрольная группа), р < 0,05.
Следует отметить, основываясь на анализе параметра микроциркуляции, что спустя 14 дней только в группе IIб и IIв не отмечалось увеличение концентрации эритроцитов в исследуемых тканях, однако данная величина обладает вариабельностью и изменчивостью, ориентироваться на нее не совсем целесообразно для анализа эффективности проводимой терапии. Во всех группах, за исключением группы IIв и IIIв на фоне исходного уровня тканевого кровотока, наблюдалось его уменьшение. Микроциркуляторные нарушения носили однонаправленный характер по типу проводимой терапии вне зависимости от уровня зубодесневого комплекса.
Вместе с тем 14 дней являются ближайшим сроком наблюдения. В данный кратчайший период не всегда предоставляется возможным объективно оценить ситуацию. Целесообразно проведение лазерной допплеровской флоуметрии в отдаленные сроки наблюдения, что позволить объективно оценить микроциркуляторные нарушения и клиническую картину в полости рта.
ЗАКЛЮЧЕНИЕ
Лазерная допплеровская флоуметрия позволяет оценить функциональное состояние системы микроциркуляции зубодесневого комплекса в динамике лечения пациентов с низкой высотой коронки зуба. На основании анализа ЛДФ-грамм можно определить степень расстройства кровообращения, форму и тип выявленных нарушений на фоне проводимого лечения. В данной работе через 14 суток выявлено нарушение локального кровотока у пациентов, подготовка которых к протетическому лечению проводилась методом альвеолопластики и гингивэктомией у пациентов со средним и высоким уровнем зубодесневого комплекса. На фоне выполненной ретракции не выявлена статистически значимая разница относительно микроциркуляторных параметров до начала лечения и контрольных значений. Однако следует отметить, что период 14 суток не способствует в полной мере объективизации клинической картины, что обосновывает дальнейшее наблюдение за данной категорией пациентов.
About the authors
Sergey A. Veremeenko
Volgograd State Medical University
Email: sergey34_94@mail.ru
Assistant Professor of the Department of Propaedeutics of Dental Diseases
Russian Federation, VolgogradYulia A. Makedonova
Volgograd State Medical University
Author for correspondence.
Email: mihai-m@yandex.ru
MD, Professor, Head of the Department of Dentistry, Institute of Continuing Medical and Pharmaceutical Education
Russian Federation, VolgogradDiana M. Makedonova
Volgograd State Medical University
Email: dianamakedonova@gmail.com
a student at the Faculty of Dentistry
Russian Federation, VolgogradIvan I. Surganov
Volgograd State Medical University
Email: mihai-m@yandex.ru
a student at the Faculty of Dentistry
Russian Federation, VolgogradReferences
- Danilina T.F., Verstakov D.V. Prosthetics of teeth with a low crown with fixed bridge prostheses. Fundamental’nye issledovaniya = Fundamental research. 2013;9-6:1066–1069. (In Russ.) URL: https://fundamental-research.ru/ru/article/view?id=32897 (accessed: 20.12.2021).
- Starchenko V.I., Skorikov V.Yu., Starikov P.A., Starchenko T.P., Zervatto T. Features of orthopedic treatment of patients with a low crown part of the tooth. Mezhdunarodnyi zhurnal prikladnykh i fundamental’nykh issledovanii = International Journal of Applied and Fundamental Research. 2014;2:172–175. (In Russ.) URL: https://applied-research.ru/ru/article/view?id=4720 (accessed: 20.12.2021).
- Egawa M., Inagaki S., Tomita S., Saito A. Connective Tissue Graft for Gingival Recession in Mandibular Incisor Area: A Case Report. The Bulletin of Tokyo Dental College. 2017;58(3):155–162. doi: 10.2209/tdcpublication.2016-0038.
- Sizikova V., Grachev V.I. Comparison of clinical and radiological features of keratinized gum and cortical cheek bone in a patient with gum recession. Stomatologiya = Stomatology. 2019;98(2):22–26. (In Russ.) doi: 10.17116/stomat20199802122.
- Makedonova Yu.A., Kriventsev A.E., Veremeenko S.A., Dyachenko D.Y. The rationale for a differentiated approach to orthopedic treatment of the teeth with a systemic pathology. Vestnik Volgogradskogo gosudarstvennogo meditsinskogo universiteta = Journal of Volgograd State Medical University. 2020;3(75): 79–82. (In Russ.) doi: 10.19163/1994-9480-2020-3(75)-79-82.
- Garcıa-Mendez MC, Rodrıguez-PulidoJI, Sandoval GM, Garza-Enriquez M, Gomez-Butzman L. Management of Miller-Class I and III gingival recessions through different techniques combined with connective tissue graft: a case report. Journal Of Clinical Periodontology. 2018. PCS107. https://doi.org/10.1111/jcpe.106_12916.
- Isler S.C., Ozcan G., Ozcan M., Omurlu H. Clinical evaluation of combined surgical/ restorative treatment of gingival recession- type defects using different restorative materials: A randomized clinical trial. Journal of Dental Sciences. 2018;13(1):20–29. doi: 10.1016/j.jds.2017.09.004.
- Veremeenko S.A., Makedonova Yu.A., Verstakov D.V., Bolovina Ya.P., Glukhova E.S. Comparative analysis of clinical and functional parameters of the gingival margin of patients with low crown height against the background of various methods of preparation for prosthetics. Vestnik Volgogradskogo gosudarstvennogo meditsinskogo universiteta = Journal of Volgograd State Medical University. 2023;20(1):50–57. (In Russ.) doi: 10.19163/1994-9480-2023-20-1-50-56
- Makedonova Yu.A., Mikhalchenko D.V., Zhidovinov A.V., Dyachenko D.Yu., Veremeenko S. A.Comparative evaluation of treatment efficiency of inflammatory complications after orthopedic treatment with up-to-date methods of pharmacotherapy. Journal of International Dental and Medical research. 2020;13(2):571–576.
- Sculean A., Cosgarea R., Katsaros C., Arweiler N.B., Miron R.J, Deppe H. Treatment of single and multiple Miller Class I and III gingival recessions at crown-restored teeth in maxillary esthetic areas. Quintessence landinternational. 2017;48(10):1–6. doi: 10.3290/j.qi.a39031.
- Makedonova Yu.A., Mikhalchenko D.V., Dya-chenko D.Yu., Veremeenko S.A. Hemomicrocirculation of tissues around dental implants: clinical and functional parallels. Parodontologiya. 2020;25(4):338–342. (In Russ.) doi: 10.33925/1683-3759-2020-25-4-338-342.
Supplementary files





