Clinical cases of latent late infection of bifurcation grafts after resection of abdominal aortic aneurysms
- Authors: Frolov D.V.1, Linchenko D.V.1, Kuznetsov S.D.1, Kucheryavenko A.S.1
-
Affiliations:
- Volgograd State Medical University
- Issue: Vol 22, No 2 (2025)
- Pages: 174-179
- Section: Guide for General Practitioners
- URL: https://medbiosci.ru/1994-9480/article/view/310152
- DOI: https://doi.org/10.19163/1994-9480-2025-22-2-174-179
- ID: 310152
Cite item
Full Text
Abstract
Vascular graft infection (VGI) is a life-threatening complication of reconstructive vascular surgery resulting in high mortality. Laboratory and visual assessment of clinical features, including a number of criteria, are crucial for the effective diagnosis of VGI. Diagnosis with MAGIC (Management of aortic graft infection collaboration) is a valuable tool in the examination of patients with suspected VGI, but requires further validation. The article presents a retrospective assessment of two cases with a similar clinical picture of a bifurcation prosthesis infection after resection of an abdominal aortic aneurysm with intramuscular bifurcation prosthetics and metastatic phlegmons of the lower limb in the long term after surgery. The difficulty in the analyzed clinical cases was in the lifetime diagnosis of prosthesis infection. Due to insufficient information for the diagnosis of VGI in these clinical cases, we want to discuss the question: are metastatic deep foci of infection one of the criteria for diagnosing VGI and an indication for prosthesis removal surgery?
Full Text
ВВЕДЕНИЕ
В современном мире совершенствование дизайна сосудистых трансплантатов, а также появление менее инвазивных методов эндоваскулярной хирургии облегчили их использование у лиц пожилого возраста с сопутствующими заболеваниями. Одним из самых жизнеугрожающих осложнений реконструктивных васкулярных операций являются инфекции сосудистого трансплантата (ИСТ) [1]. В основном это касается синтетических протезов, что является их основным недостатком, несмотря на развитие технологий их производства. ИСТ является редким, но чрезвычайно серьезным последствием. После реконструктивных операций на аорте и артериях нижних конечностей частота осложнений составляет 1–5 % всех случаев [2], общая летальность, по данным разных авторов, составляет при этом 16,8–88,0 %. В случае возникновения осложнений в раннем периоде смертность достигает 43–50 %, в позднем – 28,6 % [2].
Клиника ИСТ может варьироваться от лихорадки неизвестного происхождения до серьезного сепсиса, массивного кровотечения и, в конечном итоге, смерти [3]. В связи с этим точная и своевременная диагностика имеет первостепенное значение у таких пациентов.
Клинические особенности, лабораторная и визуальная оценка имеют решающее значение для эффективной диагностики ИСТ. В 2016 году группа экспертов по лечению инфекции аортального трансплантата (MAGIC – Management of aortic graft infection collaboration) представила критерии диагностики ИСТ [3, 4]. Критерии включают в себя малые и большие показатели, разделенные на 3 категории: клинические/хирургические, лучевые и лабораторные. Учитывая методы диагностической визуализации, предложенные в критериях MAGIC, компьютерная томография (КТ) считается «золотым стандартом» диагностики ИСТ [5].
Несмотря на то, что некоторые показатели являются субъективными и в будущих исследованиях все же требуется дальнейшая валидация и введение новых критериев, диагностика с помощью MAGIC являются ценным инструментом при обследовании пациентов с подозрением на ИСТ (pис. 1).
Рис. 1. Критерии для установления диагноза ИСТ. MAGIC – Management of aortic graft infection collaboration. Инфекцию сосудистого трансплантата подозревают у пациента при наличии одного большого критерия и двух-трех малых критериев из каждой категории
Лечение ИСТ в основном зависит от местоположения трансплантата, степени инфекции и типа микроорганизма. Как правило, единственным методом лечения является повторное хирургическое вмешательство, включающее в себя удаление инфицированного протеза, санацию и повторное восстановление кровообращения нижних конечностей, а также проведение адекватной антибиотикотерапии [6]. При этом длительная антибиотикотерапия не дает желаемого эффекта, а обоснованные рекомендации относительно выбора и длительности назначения антибактериальных лекарственных средств в данной ситуации отсутствуют [7]. В литературе описаны следующие операции: протезирование трупным аллографтом, репротезирование синтетическими протезами, импрегнированным серебром, использование аутовенозного трансплантанта для протезирования, атипичные шунтирования [6].
ЦЕЛЬ РАБОТЫ
Ретроспективная оценка двух случаев со сходной клинической картиной инфекции бифуркационного протеза после резекции аневризмы брюшного отдела аорты с внутримешковым бифуркационным протезированием и метастазирующими флегмонами нижней конечности в отдаленном периоде после операции. Самой большой сложностью в анализируемых клинических случаях явилась прижизненная диагностика инфицирования протеза.
МЕТОДИКА ИССЛЕДОВАНИЯ
Клинический случай 1
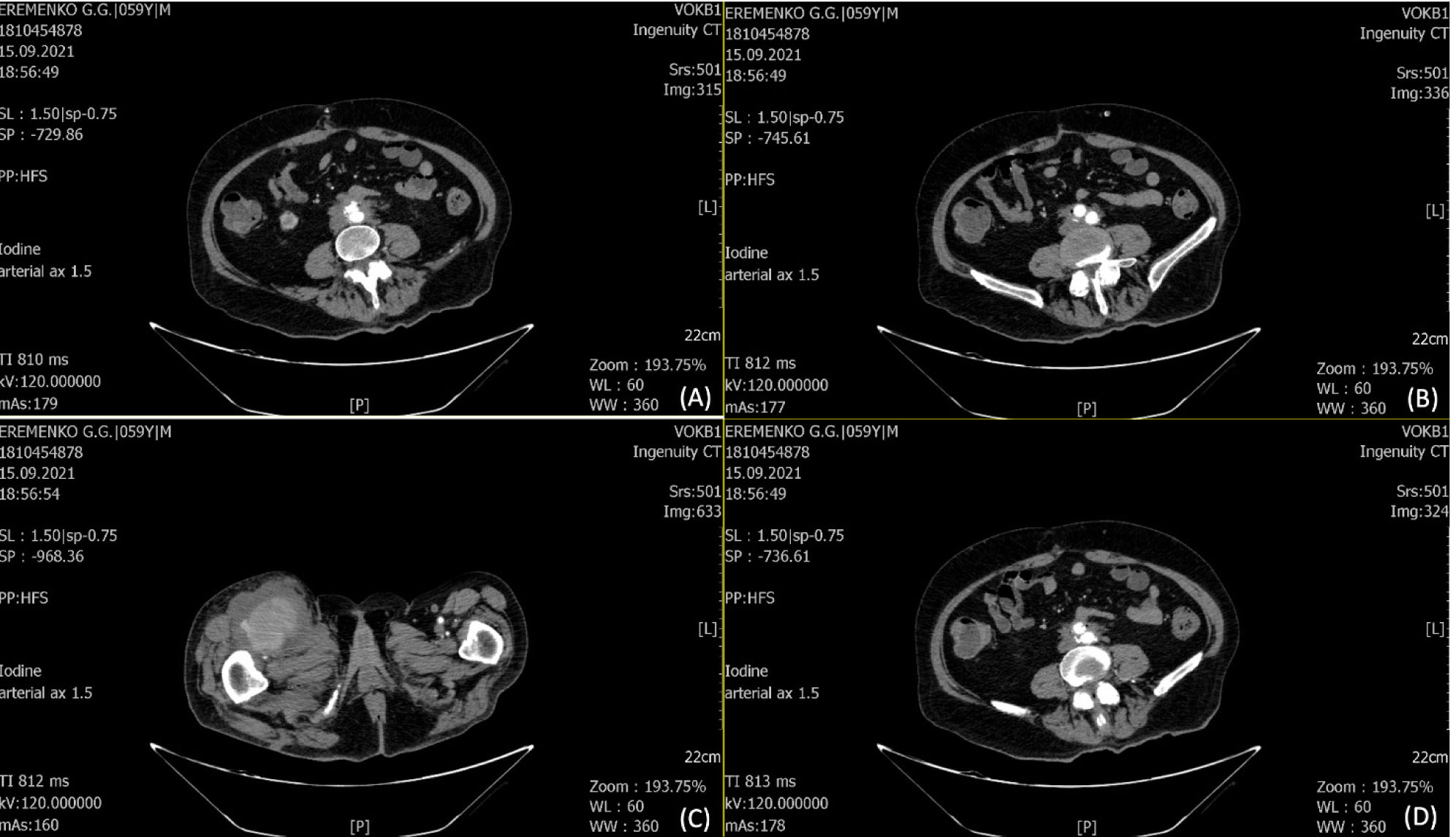
Пациент в возрасте 60 лет в 2016 г. после резекции аневризмы инфраренального отдела аорты с внутримешковым аорто-подвздошным протезированием справа, аорто-бедренным протезированием слева в другом лечебном учреждении. Поступил в нашу клинику в сентябре 2021 года с жалобами на наличие пульсирующего мешотчатого образования в области верхней трети правого бедра, подъем температуры до 37,5–40,1 °С в течение двух недель. Операции в анамнезе: вскрытие абсцесса правой голени от июля 2020 г., вскрытие абсцесса и флегмоны правой нижней конечности от января 2021 г., холецистэктомия от января 2021 г. Операции выполнялись в других лечебных учреждениях. Выполнено ультразвуковое исследование (УЗИ) мягких тканей правого бедра: в верхней трети и средней трети по внутренней поверхности бедра вдоль сосудистого пучка визуализируется гипоэхогенное образование неоднородной структуры на протяжении более 10 см толщиной от 0,6 до 1,2 см на глубине до 1,4 см аваскулярное при цветном дуплексном сканировании (ЦДК). В верхней трети бедра визуализируется шаровидной формы аневризма с d – 4,6 на протяжении 5,1 см. Инфильтрация окружающих тканей. Обращаем внимание: у пациента уже в анамнезе два глубоких гнойных очага не ясного происхождения в правой нижней конечности. На КТ ангиографии брюшной аорты и подвздошных сосудов – псевдоаневризма с формирующимся абсцессом (рис. 2).
Рис. 2. КТА брюшной аорты и подвздошных сосудов – картина, характерная для ложной аневризмы с деструктивными воспалительными изменениями окружающей клетчатки (формирующийся абсцесс) (C). Не исключается парааортальный воспалительный процесс на уровне бифуркации за счет пакета увеличенных лимфатических узлов (A, B, D). Субокклюзия глубокой и поверхностной бедренных артерий справа
16.09.2021 г. пациенту экстренно выполнено вскрытие, санация и дренирование пульсирующей нагноившейся гематомы верхней трети бедра, наружноподвздошно-глубокобедренное атипичное аутовенозное шунтирование справа, назначена антибиотикотерапия, послеоперационный период осложнился аррозивным кровотечением из зоны дистального анастомоза на 6-е сутки. Посев из раны выявил облигатную микрофлору: K. Pneumoniae, S. Haemolyticus, E. faecium.
22.09.2021 г. выполнена перевязка глубокой артерии бедра, наружной подвздошной артерии справа, удаление аутовенозного трансплантата. Послеоперационный период проходил без осложнений. При выписке: рана в верхней трети правого бедра заживает вторичным натяжением, признаков воспаления нет. Кровообращение нижней конечности справа субкомпенсировано (конечность бледная, прохладная, ночью спит, просыпается от боли редко от одного до трех раз, вынужден менять положение конечности или временно ее опускать с кровати, вставать, дистанция ходьбы без боли несколько метров), слева кровоснабжение нижней конечности компенсировано.
Повторное поступление пациента через 2 месяца после выписки. При поступлении на голени верхней трети и нижней трети выраженная гиперемии, резкая болезненность и отек. Экстренно 07.11.2021 выполнена операция в объеме вскрытия санации и дренирования флегмоны правой голени. После операции пациент переведен в отделение реанимации и интенсивной терапии. По результатам анализов продолжает нарастать иноксикационный синдром. От 07.11.2023 г. прокальцитонин – 35,0 нг/мл, лейкоциты – 21,5 × 109/л, палочкоядерные – 61,0 %, СРБ – 422,61 мг/л; от 09.11.2023 г. прокальцито-нин – 52,0 нг/мл, лейкоциты – 26,2 × 109/л, палочко-ядерные – 66,0 %, СРБ – 467,22 мг/л, СКФ по формуле CKD-EPI 17 мл/мин/1,73 м2. В реанимации выполнялась интенсивная терапия в объеме: инфузия электролитными растворами под контролем диуреза, антибиотикотерапия (sol. Linezolid 1200 mg в сутки, sol. Meropenem 1,0 2 раза в сутки), вазопрессорная поддержка, диуретики, гормонотерапия (sol. Dexametasoni 12 mg раза в сутки), профилактика ВТЭО (sol. Enoxaparini 40 мг в сутки).
В связи с нарастанием интоксикационного синдрома и отрицательной динамикой со стороны раны на голени (увеличение некротических тканей, серозно-гнойного отделяемого), решением консилиума 09.11.2023 г. по жизненным показаниям выполнено оперативное вмешательство в объеме ампутации правой нижней конечности на уровне верхней трети бедра. После операции пациент с резким ухудшением переведен в ОРИТ на аппарат ИВЛ, с вазопрессорной поддержкой, продолжена интенсивная терапия, динамическое наблюдение. Продолжает нарастать интоксикационный синдром. Клинико-лабораторный мониторинг от 10.11.2023 г. прокальцитонин – 31,2 нг/мл, лейкоциты 28,0 × 109/л, палочкоядерные – 36,0 %, СРБ – 528,35 мг/л, СКФ по формуле CKD-EPI 11 мл/мин/1,73 м2. 12.11.2021 г. наблюдается резкое ухудшение общего состояния, остановка сердечной деятельности, сердечно-легочная реанимация в течение 30 минут не эффективна, констатирована биологическая смерть.
На вскрытии при исследовании аорты выявлены явления кальциноза и атероматоза в основном в брюшном отделе аорты. В брюшном отделе аорты протез, в нижней трети уходящий из подвздошно-бедренных сегментов, протез деформирован, смещен, на границе перехода в левый подвздошный сегмент образован карман между протезом и стенкой аорты, диаметром 2 см, в просвете ослизненные тромботические массы, на протяжении протеза местами фиксированы темно-красные тромботические массы, уходящие в подвздошно-бедренные сегменты (рис. 3). Аналогичные изменения в артериях подвзошно-бедренного сегмента с обеих сторон, просвет сосудов здесь сужен на 50 %, в просвете артерий нижних конечностей жидкая кровь. Посев с поверхности ослизненной части протеза выявил микрофлору, аналогичную микрофлоре из нагноившейся гематомы: K. Pneumoniae, S. Haemolyticus.
Клинический случай 2
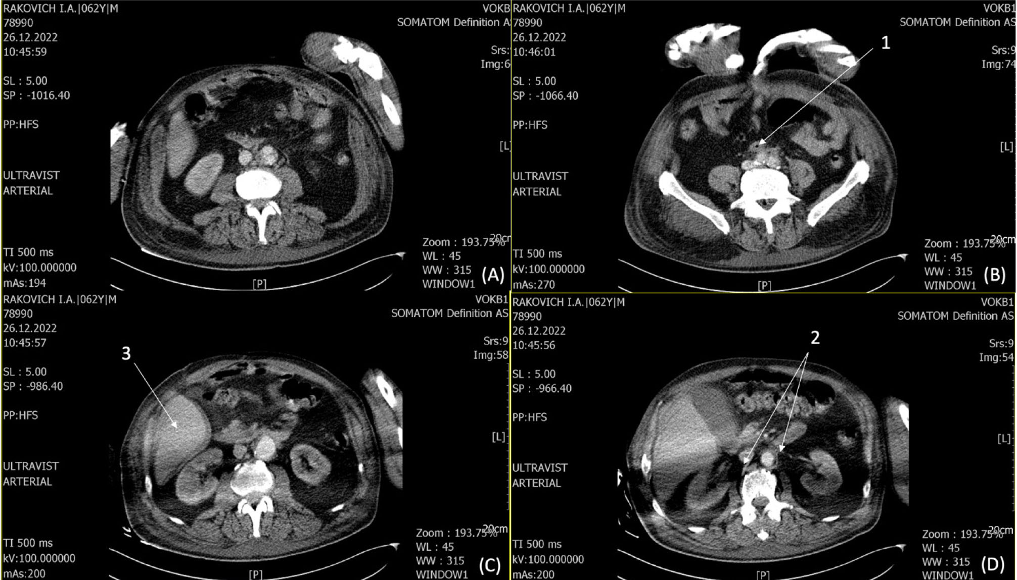
Пациент 62 лет поступил в ГБУЗ ВОКБ № 1 20.12.2022 г. в тяжелом состоянии, с жалобами на отек, распирающие боли в правой нижней конечности, периодические приступы повышения АД, температуры тела, одышку, общую слабость. В анамнезе от октября 2021 г. находился на стационарном лечении в хирургическом отделении ГБУЗ ВОКБ № 1 с подозрением на рецидивирующее ЖКК, при обследовании на ФГДС язв не обнаружено. При КТ брюшной полости с контрастированием выявлена аневризма брюшного отдела аорты с интимным прилеганием к стенке двенадцатиперстной кишки с подозрением на формирование свища (пузырьки воздуха в тромбомассах полости аневризмы). 10.11.2021 г. по решению консилиума проведено оперативное вмешательство: резекция аневризмы брюшного отдела аорты с аорто-подвоздошно-бифуркационным внутримешковым протезированием, ушивание дефекта стенки двенадцатиперстной кишки, наложение холецистостомы. Послеоперационный период без осложнений, дренаж из брюшной полости удален на 15-е сутки, пациент выписан в удовлетворительном состоянии. С начала октября 2022 г. стал отмечать боли в правом бедре, затем отметил уплотнение и чувство жара в бедре, боли усилились. 03.10.2022 г. обращение в приемный покой ГБУЗ ВОКБ № 1, выявлена и вскрыта флегмона правого бедра от 03.10.2022 г., с положительной динамикой пациент выписан для дальнейшего лечения по месту жительства. С начала декабря стал отмечать отек, распирающие боли в правой нижней конечности, периодическое повышение температуры тела. Операция: 21.12.2022 г. вскрытие абсцесса задней поверхности правого бедра. На УЗИ мягких тканей правой голени выявлено наличие свободного жидкостного компонента, в срочном порядке 23.12.2022 г. выполнено вскрытие флегмоны правой голени, санировано до 100 мл гнойного отделяемого. 26.12.2022 г. получен результат бак посева – E.coli 10 × 8, чувствительная к меропенему. По КТ брюшной полости и органов малого таза с контрастированием от 26.12.2022 г. – МСКТ картина локального расширения инфраренального отдела аорты. Отмечаются отдельные увеличенные параортальные лимфатические узлы. Воспалительные изменения в мягких тканях бедра (множественные абсцессы) (рис. 3).
Рис 3. КТ с контрастированием. 1, 2 – единичные пузырьки воздуха в парапротезной области; 3 – воспалительные изменения в мягких тканях бедра в зоне сканирования
Проведен консилиум, по решению которого пациенту решено выполнить по жизненным показаниям высокую ампутацию нижней конечности с целью уменьшения площади всасывания инфекционно-токсических агентов, удаления источника гнойно-инфекционных процессов. В ходе операции обнаружены признаки флегмоны с затеком до тазобедренного сустава. После оперативного вмешательства пациент переведен в ОРИТ для дальнейшего лечения. Контроль лабораторных анализов от 26.12.2022 г. креатинин 183,5 мкмоль/л, WBC – 3,7 × 109, АсАТ – 76,96 Ед/л, билирубин общий 21 мкмоль/л. 27.12.2022 г. состояние больного тяжелое, без положительной динамики. Повязки на послеоперационных ранах промокли серозно-геморрагическим отделяемым с неприятным запахом. Пациенту накануне выполнялось переливание 3 доз эритроцитарных масс (Hb – 68 г/л). Продолжается динамическое наблюдение в условиях ОРИТ. 28.12.2022 г. состояние больного очень тяжелое с резко отрицательной динамикой, пациент переведен на респираторную поддержку ИВЛ. Отмечается увеличение креатинина да 318,8 мкмоль/л АсАТ – 103,1 Ед/л, билирубин общий 325,5 мкмоль/л. В 14 часов на кардиомониторе определяется асистолия, пульсация и дыхание отсутствует, комплекс реанимационных мероприятий не эффективен, констатирована биологическая смерть.
На вскрытии при исследовании аорты в области брюшного отдела аорты обнаружен окруженный толстостенным мешком аневризмы протез в области бифуркации и преимущественно правой бранши с участками серовато-зеленоватого, черного цвета, ослизнен, при гистологическом исследовании в мягких тканях признаки гнойного воспаления, посев с поверхности протеза выявил облигатную микрофлору: K. Pneumoniae, A. Baumainai, E. faecium, C. striatum, S. Haemolyticus (рис. 4).
Рис. 4. Ослизненный протез в ране на вскрытии
РЕЗУЛЬТАТЫ ИССЛЕДОВАНИЯ И ИХ ОБСУЖДЕНИЕ
Основная цель клинического обзора – вывести на обсуждение, что или какой метод, клинический признак или другие симптомы должны сподвигнуть хирургов на выставление диагноза: инфицирование бифуркационного протеза с последующим проведением оперативного вмешательства в объеме удаления протеза и решение вопроса о последующей решунтирующей операции.
В данных случаях ключевую роль сыграли отсутствие на КТ прямых признаков наличия парапротезной инфекции и клиническая картина без прямого указания на инфекцию протеза в виде метастазирующих флегмон нижних конечностей с последующим исходом в сепсис. Заболевание в обоих примерах развивалось в течение длительного времени в отдаленном периоде после основной операции. При своевременном выявлении и подтверждении инфекции было необходимо выполнение операции по удалению инфицированного протеза с его последующим восстановлением кровообращения нижних конечностей. Но инфекция сосудистого протеза была верифицирована только на паталогоанатомическом вскрытии.
Описанные нами клинические случаи имели одинаковый исходный диагноз – аневризма брюшного отдела аорты, одна технология вмешательства – внутримешковое протезирование бифуркационным синтетическим протезом. В обоих случаях мы не наблюдали прямых признаков нагноения в области синтетического протеза, что и не позволило нам поставить диагноз прижизненно и принять решение об оперативном вмешательстве. Также, вероятно, из-за внутримешковой позиции протезов, и дополнительные методы исследования (КТ и УЗИ брюшной полости) не дали нам требуемой информации.
ЗАКЛЮЧЕНИЕ
Таким образом, диагностика инфекции сосудистого трансплантата является сложной и требует междисциплинарного подхода, который в свою очередь основан на жалобах пациента, результатах лабораторных тестов и методов визуализации. В связи с недостаточностью показателей для диагностики ИСТ в описанных нами клинических случаях вопрос, который мы хотим вынести на обсуждение, следующий: являются ли метастатические глубокие очаги инфекции одним из критериев для постановки диагноза ИСТ и показанием для операции по удалению протеза?
About the authors
Denis V. Frolov
Volgograd State Medical University
Author for correspondence.
Email: frolden@icloud.com
MD, Associate Professor, Professor of the Department of General Surgery, Volgograd Regional Clinical Hospital No. 1, Department of Vascular Surgery
Russian Federation, VolgogradDiana V. Linchenko
Volgograd State Medical University
Email: Mrs.KDV@yandex.ru
Candidate of Medical Sciences, Associate Professor of the Department of General Surgery
Russian Federation, VolgogradSemyon D. Kuznetsov
Volgograd State Medical University
Email: miRo100.eee@gmail.com
Clinical Resident, Volgograd Regional Clinical Hospital No. 1, Department of Vascular Surgery
Russian Federation, VolgogradAida S. Kucheryavenko
Volgograd State Medical University
Email: kucheryavenkoaida@yandex.ru
5th year student of the Faculty of Medicine
Russian Federation, VolgogradReferences
- Arnon-Sheleg E., Keidar Z. Vascular Graft Infection Imaging. Seminars in Nuclear Medicine. 2023;53(1):70–77. doi: 10.1053/j.semnuclmed.2022.08.006.
- Pelletier-Galarneau M., Juneau D. Vascular graft infection: Improving diagnosis with functional imaging. Journal of Nuclear Cardiology. 2022; 29(6):3450–3454. doi: 10.1007/s12350-020-02269-z.
- Costa D., Andreucci M., Ielapi N., Serraino G.F., Mastroroberto P., Bracale U.M. et al. Infection of Vascular Prostheses: A Comprehensive Review. Prosthesis. 2023;5(1):148–166. doi: 10.3390/pristhesis5010012.
- Anagnostopoulos A., Mayer F., Ledergerber B., Bergadà-Pijuan J., Husmann L., Mestres C.A. et al. VASGRA Cohort Study. Editor’s Choice – Validation of the Management of Aortic Graft Infection Collaboration (MAGIC) Criteria for the Diagnosis of Vascu-lar Graft/Endograft Infection: Results from the Prospective Vascular Graft Cohort Study. European Journal of Vascular and Endovas-cular Surgery. 2021;62(2):251–257. doi: 10.1016/j.ejvs.2021.05.010.
- Arnon-Sheleg E., Keidar Z. Vascular Graft Infection Imaging. Seminars in Nuclear Medicine. 2023;53(1):70–77. doi: 10.1053/j.semnuclmed.2022.08.006.
- Van Hemelrijck M., Sromicki J., Husmann L., Rancic Z., Hasse B., Carrel T.P. Vascular graft infections. Vessel Plus. 2022;6:47. doi: 10.20517/2574-1209.2022.18
- Романович А.В., Хрыщанович В.Я. Парапротезная инфекция в сосудистой хирургии: современное состояние проблемы. Новости хирургии. 2017; 25(3):292–299. doi: 10.18484/2305-0047.2017.3.292.
Supplementary files





