A technique for quantifying graft resorption after Latarge surgery
- Authors: Tregubov A.S.1,2, Malanin D.A.1,2, Cherezov L.L.1
-
Affiliations:
- Volgograd State Medical University
- Volgograd Medical Research Center
- Issue: Vol 21, No 1 (2024)
- Pages: 113-118
- Section: Original Researches
- URL: https://medbiosci.ru/1994-9480/article/view/315949
- DOI: https://doi.org/10.19163/1994-9480-2024-21-1-113-118
- ID: 315949
Cite item
Full Text
Abstract
Latarge surgery has proven to be an effective stabilizing operation for recurrent anterior dislocation of the shoulder joint. One of the complications that can hinder good functional postoperative results is graft resorption. At the moment, the factors influencing the intensity of this process and how osteolysis can be prevented are not entirely clear. This article presents a new technique for quantifying graft resorption after Latarge surgery, which will allow predicting the outcomes of remodeling, correcting rehabilitation and, in the future, actively influencing the processes of graft osseointegration.
Full Text
ВВЕДЕНИЕ
Передний вывих плеча является распространенным заболеванием, связанным с бытовыми и спортивными травмами, с распространенностью 2 до 8 %, и чаще встречается у активных мужчин молодого и среднего возраста [1]. Частота рецидивов у пациентов с передним вывихом плеча после консервативного лечения достигает от 26 до 100 %, что оказывает большое влияние на повседневную жизнь и двигательную активность пациентов [2, 3, 4]. Хирургическое лечение может эффективно снизить частоту рецидивов переднего вывиха плеча [5, 6]. При лечении рецидивирующего переднего вывиха плеча со значительным дефектом суставной отростка лопатки транспозиция клювовидного отростка (операция Latarjet) считается предпочтительным вариантом из-за удовлетворительных отдаленных результатов наблюдения и низкой частоты рецидивов [7, 8, 9, 10]. По данным литературы, частота выявляемых осложнений, достигает 15–30 % [11, 12]. Среди них наиболее часто встречаются осложнения, связанные с ремоделированием костного блока трансплантата, что является фактором риска послеоперационных рецидивов нестабильности [13, 14, 15]. Вопрос о клинической значимости послеоперационной резорбции трансплантата остается открытым. С одной стороны, некоторые авторы считают, что возникновение резорбции костной блока трансплантата не оказывает существенного влияния на клинические исходы лечения пациентов, другие полагают, что этот процесс приведет к обнажению металлофиксаторов, что будет вызывать рецидив вывиха и развитие дегенеративных процессов в плечевом сустава [16, 17, 18, 19, 20]. Кроме того, механизм послеоперационной резорбции трансплантированной кости также остается неясным. Некоторые авторы полагают, что причина резорбции кости кроется в особенностях кровоснабжения трансплантата и биомеханики плечевого сустава [21, 22]. Большинство исследований по данной проблеме выполнено в виде компьютерного моделирования, и достоверность полученных выводов нуждается в дальнейшем тщательном рассмотрении.
Из-за отсутствия достаточного понимания резорбции кости трансплантата после операции Latarjet до сих пор нет эффективной стратегии профилактики и лечения такого осложнения. Когда у пациентов появляются симптомы, связанные с послеоперационной резорбцией кости, к сожалению, единственным решением является ревизионное вмешательство. Однако ревизионная хирургия не только сложна, но и может привести к ряду послеоперационных осложнений.
ЦЕЛЬ РАБОТЫ
Создание воспроизводимой методики количественной оценки сращения костного блока трансплантата как инструмента для определения уровня влияния различных факторов на процессы ремоделирования.
МЕТОДИКА ИССЛЕДОВАНИЯ
Материалом для проспективного исследования послужил анализ КТ-томограмм 44 пациентов с посттравматическим рецидивирующим передним вывихом плеча, находившихся под наблюдением в травматолого-ортопедическом отделении ГУЗ КБ 12 г. Волгограда в период с 2014 по 2022 г. Всем пациентам была выполнена операция mini-open Латарже с использованием малоинвазивной открытой техники. В послеоперационном периоде верхнюю конечность фиксировали на 4 недели съемным ортезом. Упражнения лечебной физической культуры, направленные на восстановление функции плечевого сустава, начинали с 10–12-го дня после операции.
Компьютерную томографию оперированного плечевого сустава выполняли на аппарате Siemens 128-slice spiral CT machine (SOMATOM Definition Flash, Германия) со следующими параметрами сканирования: 120 kV, 150–200 mA с толщиной среза 0,60 мм. Данные сохраняли в формат Digital Imaging and Communications in Medicine (DICOM). DICOM-изображения обрабатывали с помощью программного обеспечения Vidar Dicom Viewer («ПО Видар», Россия). Компьютерная томография выполнялась спустя 3, 6 и 12 месяцев после операции. Четверым пациентам не было выполнено контрольное КТ-исследование через 12 месяцев по причине потери обратной связи с ними.
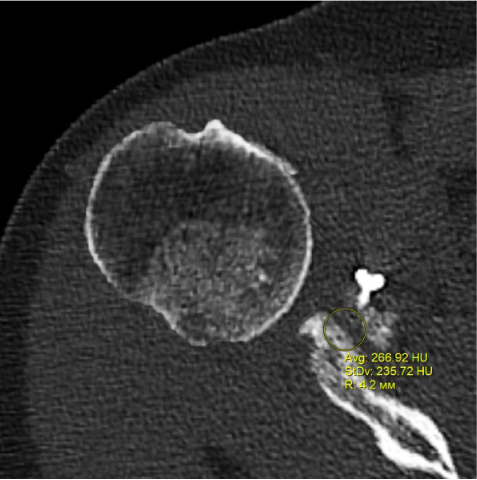
В программном обеспечении, на аксиальных КТ срезах оперированного плечевого сустава, выбирали инструмент «круг», который позволял посчитать среднюю плотность тканей внутри круга в единицах Хаунсфильда. Шкала единиц Хаунс-филда (HU) – шкалалинейного ослабления излучения по отношению к дистиллированной воде, рентгеновская плотность которой была принята за 0 HU (при стандартных давлении и температуре). Круг устанавливали таким образом, чтобы одна его половина была заполнена тканью гленоида, вторая половина тканью трансплантата (рис. 1–3). Оценивали плотность тканей над проксимальным винтом, между винтами, под дистальным винтом. Полученные данные анализировали с помощью пакета Microsoft Excel.
Рис. 1. Оценка плотности ткани под дистальным винтом
Рис. 2. Оценка плотности ткани между винтами
Рис. 3. Оценка плотности ткани над проксимальным винтом
РЕЗУЛЬТАТЫ ИССЛЕДОВАНИЯ И ИХ ОБСУЖДЕНИЕ
Через 3 месяца после оперативного лечения по данным анализа КТ срезов были получены следующие результаты: плотность ткани над проксимальным винтом составили (424 ± 24,3) HU, между винтами (460 ± 23,4) HU, под дистальным винтом (587 ± 49,1) HU. Спустя 6 месяцев после операции плотность ткани над проксимальным винтом составили (320 ± 28,7) HU, между винтами (424 ± 36,2) HU, под дистальным винтом (623 ± 33,4) HU. Через 12 месяцев после операции показатели были следующие над проксимальным винтом (276 ± 22,1) HU, между винтами (387 ± 31,1) HU, под дистальным винтом (662 ± 43,2) HU (таблица).
Результаты оценки плотность ткани инструментом «круг», HU
Положение | 3 месяца | 6 месяцев | 12 месяцев |
Над проксимальным винтом | 424,0 ± 24,3 | 320,0 ± 28,7 | 276,0 ± 22,1 |
Между винтами | 460,0 ± 23,4 | 424,0 ± 36,2 | 387,0 ± 31,1 |
Под дистальным винтом | 587,0 ± 49,1 | 623,0 ± 33,4 | 662,0 ± 43,2 |
Для того чтобы проанализировать процесс резорбции и локализовать ее область Di Giacomo G. и соавт. (2011) условно делил костный трансплантат на 8 зоны: проксимально-латеральная поверхностная часть, проксимально-латеральная глубокая часть, проксимально-медиальная поверхностная часть, проксимально-медиальная глубокая часть, дистально-латеральная поверхностная часть, дистально-латеральная глубокая часть, дистально-медиальная поверхностная часть, дистально-медиальная глубокая часть [20]. Авторы обнаружили, что резорбция кости в основном происходила в проксимально-медиальной поверхностной части и проксимально-латеральной поверхностной части трансплантата кости. Напротив, в дистально-медиальной глубокой части и дистально-латеральной глубокой части наблюдалась наименьшая резорбция кости. Данный метод позволяет определить зону, где возникает резорбция кости, однако существуют некоторые ограничения в его применении. Методика условного разделения трансплантата на зоны не совсем ясна, и может привести к ошибкам при определении их границ. Кроме того, оценка резорбции кости в сагиттальной плоскости проводится на двух раздельных уровнях: на уровне верхнего и нижнего винтов. Такое разделение может не точно отражать фактическую резорбцию кости в каждой области, так как не учитывается разнообразие вариабельности резорбции в пределах каждой зоны. Аналогичным образом Dalmas Y. и соавт. разделял костный блок на четыре квадрата на КТ-аксиальных и сагиттальных срезах: передне-латеральный, передне-медиальный, задне-латеральный и задне-медиальный [23]. Резорбция в основном наблюдалась в верхней половине, в передних квадратах трансплантата. Kee Y. и соавт. использовали верхний и нижний винты в качестве референтных точек и выделяли три зоны костного блока: верхнюю часть (область над верхним винтом), среднюю часть (область между верхним и нижним винтами), нижнюю часть (область под нижним винтом), и установили, что резорбция кости в основном происходила в верхней части костного блока [17]. В нашем исследовании проводилось аналогичное зонирование трансплантата. Xu J. с соавт. моделировали «оптимальную» окружность гленоида на 3D-КТ и делили трансплантат на две части, внешнюю часть, за окружностью, и внутреннюю часть [25]. Авторы выявили, что резорбция кости в основном происходила во внешней части трансплантата, и этот процесс продолжался до тех пор, пока край трансплантата не становился на одном уровне относительно края суставной поверхности гленоида на аксиальных КТ срезах.
В нескольких других публикациях авторы условно делили трансплантат на верхнюю и нижнюю половины, используя винты в сагиттальном положении в качестве границ, и обнаружили, что резорбция кости в основном происходит в верхней половине [10, 15, 16, 18, 19, 24]. Таким образом, независимо от того, какой метод оценки степени резорбции используется, можно сделать вывод, что в основном этот процесс происходит в проксимальном отделе трансплантата. Данный факт позволяет различать нормальную и нефизиологическую резорбцию трансплантата. Если резорбция кости ограничена только нижней частью костного блока или наблюдается выраженная резорбция как в верхней, так и в нижней части костного блока, возможно, развивается патологическое ремоделирование трансплантата, которое впоследствии может привести к неудовлетворительным клиническим результатам.
Степень резорбции является ключевым показателем для оценки ремоделирования костного трансплантата. Текущие исследования в основном используют измерение площади и измерение объема трансплантата для качественной оценки степени резорбции. Di Giacomo G. с соавт. на КТ-срезах измеряли площадь проксимального и дистального отделов трансплантата и сравнивали показатели соответствующих участков сразу после операции и через 12 месяцев [20]. Процент резорбции костной ткани составил около 93 % в проксимальном отделе, поверхностной-латеральной части – около 89 %, а средний процент резорбции кости всего трансплантата – около 60 %. Kee Y. ис соавт. выявили, что процент резорбции кости в верхней части костного блока составил около 79 % через 32 месяца наблюдения [17]. Haeni D. и соавт. пришли к заключению, что достоверность оценки площади трансплантата с помощью плоских КТ-срезов невысока, и предложили свой метод измерения объема костной массы с помощью 3D КТ моделей для количественной оценки резорбции [24]. Авторы использовали специально программное обеспечение для расчета объема костного блока сразу после операции, и сравнивали полученные данные с показателями через 6 недель после операции. Было обнаружено, что общий объем костного фрагмента уменьшился с 1,68 до 1,29 см3, в то время как объем верхней половины костного блока уменьшился с 0,89 до 0,53 см3.
Совершенствование и улучшение доступности технического обеспечения для обработки и моделирования КТ-исследований позволило улучшить точность определения степени резорбции кости, однако методы оценки оказались слишком сложны для воспроизведения и применения в клинической практике. В некоторых исследованиях авторы выделяли две степени резорбции трансплантата: частичную резорбцию (ограничивается верхними или нижними винтами) и полную резорбцию, но такая классификация скорее представляется качественной с ограниченным клиническим значением [15, 18]. Zhu Y. и соавт. предложили свою методику оценки степени резорбции кости на основе КТ [19]. Авторы выделяли 4 степени резорбции костной ткани трансплантата: степень 0 – трансплантат без признаков резорбции, винт и его шляпка полностью погружены в костный блок; степень 1 – фрагмент клювовидного отростка немного резорбирован, обнажается только шляпка винта, а стержень винта полностью окружен костной тканью. 2-я степень – костный блок явно резорбирован, а шляпка и часть винта обнажаются и находятся вне костного блока, но все еще имеется фрагмент трансплантата на переднем крае гленоида; степень III – винт полностью обнажен, костный блок резорбирован, на переднем крае гленоида костной массы не остается. По результатам наблюдения авторов через 1 год у 63 пациентов было выявлено 6 случаев (9,5 %) нулевой степени, 26 случаев (41,3 %) I степени, 25 случаев (39,7 %) II степени и 6 случаев (9,5 %) III степени резорбции. Такая методика акцентирована на обнажении и последующем выстоянии имплантатов, а также выявлении риска возможных осложнений. В настоящее время эта методика нередко применяется в научных исследования [10, 16, 26, 27].
ЗАКЛЮЧЕНИЕ
Резорбция костного блока трансплантата объединенного сухожилия является естественным процессом в ходе его ремоделирования и остеоинтеграции с суставным отростком лопатки. Степень резорбции определяется взаимным влиянием ряда факторов, среди которых кровоснабжение, расположение костного блока, распределение нагрузки, по-видимому, имеют наиболее значение. Объективная оценка резорбции костного блока необходима для прогнозирования исходов ремоделирования, коррекции реабилитации и в перспективе активного воздействия на процессы остеоинтеграции трансплантата.
Представленная методика количественной оценки резорбции проста в воспроизведении, субъективность сводится к минимуму – оценка консолидации проводится не визуально, а использованием объективных факторов – подсчета плотности ткани в единицах Хаунсфильда с помощью программного обеспечения. Она применима при анализе корреляции между выраженностью резорбции, послеоперационными осложнениями или рисками ревизии. Становится также доступным более объективный анализ влияния других факторов и предикторов нарушения интеграции, таких как возраст, пол, вредные привычки, физическая активность пациентов, наличие предоперационного дефекта и его размеры, расположение костного блока. Результаты, полученные в этих исследованиях, могут внести положительный вклад в решение проблемы неконтролируемой резорбции костного блока трансплантата после операции Latarjet.
About the authors
A. S. Tregubov
Volgograd State Medical University; Volgograd Medical Research Center
Author for correspondence.
Email: as.tregubov@yandex.ru
Assistant of the Department of Traumatology, Orthopedics and Military Field Surgery
Russian Federation, Volgograd; VolgogradD. A. Malanin
Volgograd State Medical University; Volgograd Medical Research Center
Email: malanin67@mail.ru
Doctor of Medical Sciences, Professor, Head of the Department of Traumatology, Orthopedics and Military Field Surgery
Russian Federation, Volgograd; VolgogradL. L. Cherezov
Volgograd State Medical University
Email: lchrzv@rambler.ru
Candidate of Medical Sciences, Associate Professor, Associate Professor of the Department of Traumatology, Orthopedics and Military Field Surgery
Russian Federation, VolgogradReferences
- Dugas J.R., Crozier M.W. Traumatic anterior instability: Treatment options for initial instability. Sports Medicine and Arthroscopy Review. 2018;26(3):95–101. doi: 10.1097/JSA.0000000000000203.
- Leroux T., Ogilvie-Harris D., Veillette C. et al. The epidemiology of primary anterior shoulder dislocations in patients aged 10 to 16 years. The American Journal of Sports Medicine. 2015;43(9):2111–2117. doi: 10.1177/0363546515591996.
- Olds M., Ellis R., Parmar P. et al. The immediate and subsequent impact of a first-time traumatic anterior shoulder dislocation in people aged 16–40: Results from a national cohort study. Shoulder Elbow. 2021;13(2):223–232. doi: 10.1177/1758573220921484.
- Roberts S.B., Beattie N., McNiven N.D. et al. The natural history of primary anterior dislocation of the glenohumeral joint in adolescence. The Bone & Joint Journal. 2015;97-B(4): 520–526. doi: 10.1302/0301-620X.97B4.34989.
- Bottoni C.R., Wilckens J.H., DeBerardino T.M. et al. A prospective, randomized evaluation of arthroscopic stabilization versus nonoperative treatment in patients with acute, traumatic, first-time shoulder dislocations. The American Journal of Sports Medicine. 2002;30(4):576–580. doi: 10.1177/ 03635465020300041801.
- Jakobsen B.W., Johannsen H.V., Suder P. et al. Primary repair versus conservative treatment of first-time traumatic anterior dislocation of the shoulder: a randomized study with 10-year follow-up. Arthroscopy. 2007;23(2):118–123. doi: 10.1016/ j.arthro.2006.11.004.
- Hurley E.T., Jamal M.S., Ali Z.S. et al. Long-term outcomes of the Latarjet procedure for anterior shoulder instability: a systematic review of studies at 10-year follow-up. Journal of Shoulder and Elbow Surgery. 2019;28(2):e33–e39. doi: 10.1016/j.jse.2018.08.028.
- Chillemi C., Guerrisi M., Paglialunga C. et al. Latarjet procedure for anterior shoulder instability: a 24-year follow-up study. Archives of Orthopaedic and Trauma Surgery. 2021;141(2):189–196. doi: 10.1007/s00402-020-03426-2.
- Giles J.W., Degen R.M., Johnson J.A. et al. The Bristow and Latarjet procedures: why these techniques should not be considered synonymous. Journal of Bone and Joint Surgery. 2014;96(16):1340–1348. doi: 10.2106/JBJS.M.00627.
- Tanaka M., Hanai H., Kotani Y. et al. Open bristow versus open latarjet for anterior shoulder instability in rugby players: Radiological and clinical outcomes. Orthopaedic Journal of Sports Medicine. 2022;10(5):23259671221095094. doi: 10.1177/23259671221095094.
- Griesser M.J., Harris J.D., McCoy B.W. et al. Complications and re-operations after Bristow-Latarjet shoulder stabilization: a systematic review. Journal of Shoulder and Elbow Surgery. 2013;22(2):286–292. doi: 10.1016/j.jse.2012.09.009.
- Longo U.G., Loppini M., Rizzello G. et al. Latarjet, Bristow, and Eden-Hybinette procedures for anterior shoulder dislocation: systematic review and quantitative synthesis of the literature. Arthroscopy. 2014;30(9):1184–1211. doi: 10.1016/j.arthro.2014.04.005.
- Butt U., Charalambous C.P. Complications associated with open coracoid transfer procedures for shoulder instability. Journal of Shoulder and Elbow Surgery. 2012;21(8):1110–1119. doi: 10.1016/j.jse.2012.02.008.
- Hendy B.A., Padegimas E.M., Kane L. et al. Early postoperative complications after Latarjet procedure: a single-institution experience over 10 years. Journal of Shoulder and Elbow Surgery. 2021;30(6):e300–e308. doi: 10.1016/j.jse.2020.09.002.
- Kordasiewicz B., Małachowski K., Kiciński M. et al. Intraoperative graft-related complications are a risk factor for recurrence in arthroscopic Latarjet stabilisation. Knee Surgery, Sports Traumatology, Arthroscopy. 2019;27(10):3230–3239. doi: 10.1007/s00167-019-05400-x.
- Cohen M., Zaluski A.D., Siqueira G.S.L. et al Risk factors for coracoid graft osteolysis after the open latarjet procedure. Revista brasileira de ortopedia (Sao Paulo). 2020;55(5):585–590. doi: 10.1055/s-0039-1698799.
- Kee Y.M., Kim J.Y. Kim H.J. et al. Fate of coracoid grafts after the Latarjet procedure: will be analogous to the original glenoid by remodelling. Knee Surgery, Sports Traumatology, Arthroscopy. 2018;26(3):926–932. doi: 10.1007/s00167-017-4808-z.
- Kordasiewicz B., Kicinski M., Małachowski K. et al. Comparative study of open and arthroscopic coracoid transfer for shoulder anterior instability (Latarjet)-computed tomography evaluation at a short term follow-up. Part II. International Orthopa-edics. 2018;42(5):1119–1128. doi: 10.1007/s00264-017-3739-0.
- Zhu Y.M., Jiang C.Y., Lu Y. et al. Coracoid bone graft resorption after Latarjet procedure is underestimated: a new classification system and a clinical review with computed tomography evaluation. Journal of Shoulder and Elbow Surgery. 2015;24(11):1782–1788. doi: 10.1016/j.jse.2015.05.039.
- Di Giacomo G., Costantini A., de Gasperis N. et al. Coracoid graft osteolysis after the Latarjet procedure for anteroinferior shoulder instability: a computed tomography scan study of twenty-six patients. Journal of Shoulder and Elbow Surgery. 2011;20(6):989–995. doi: 10.1016/j.jse.2010.11.016.
- Deng Z., Liang D., Zhu W. et al. A pilot study of blood supply of the coracoid process and the coracoid bone graft after Latarjet osteotomy. Bioscience Reports. 2019;39(11):BSR20190929. doi: 10.1042/BSR20190929. doi: 10.1042/BSR20190929.
- Sano H., Komatsuda T., Abe H. et al. Proximal-medial part in the coracoid graft demonstrates the most evident stress shielding following the Latarjet procedure: a simulation study using the 3-dimensional finite element method. Journal of Shoulder and Elbow Surgery. 2020;29(12):2632–2639. doi: 10.1016/j.jse.2020.03.037.
- Dalmas Y., Thélu C.E., Laumonerie P. et al. Arthroscopic double-button Latarjet osteolysis and remodeling at 1-year follow-up. Journal of Shoulder and Elbow Surgery. 2022;31(12):e603–e612. doi: 10.1016/j.jse.2022.04.004.
- Haeni D.L., Opsomer G., Sood A. et al. Three-dimensional volume measurement of coracoid graft osteolysis after arthroscopic Latarjet procedure. Journal of Shoulder and Elbow Surgery. 2017;26(3):484–489. doi: 10.1016/j.jse.2016.08.007.
- Xu J., Liu H., Lu W. et al. Modified arthroscopic Latarjet procedure: Suture-button fixation achieves excellent remodeling at 3-year follow-up. American Journal of Sports Medicine. 2020;48(1):39–47. doi: 10.1177/0363546519887959.
- Zhu Y., Jiang C., Song G. Arthroscopic versus open latarjet in the treatment of recurrent anterior shoulder dislocation with marked glenoid bone loss: A prospective comparative study. American Journal of Sports Medicine. 2017;45(7):1645–1653. doi: 10.1177/0363546517693845.
- Sahu D., Shah D., Shetty G. Coracoid graft resorption after the Latarjet procedure does not depend on the preoperative glenoid defect. Journal of Shoulder and Elbow Surgery. 2023; 32(3):e94–e105. doi: 10.1016/j.jse.2022.09.013.
Supplementary files




