Vacuum-assisted laparostomy for peritonitis, abdominal sepsis and severe abdominal injury: methodology and practical aspects
- Authors: Maskin S.S.1, Derbentseva T.V.1, Alexandrov V.V.1, Matyukhin V.V.1, Biryulev D.S.1, Azad R.1, Sigaev S.M.1
-
Affiliations:
- Volgograd State Medical University
- Issue: Vol 21, No 3 (2024)
- Pages: 70-75
- Section: Original Researches
- URL: https://medbiosci.ru/1994-9480/article/view/316518
- DOI: https://doi.org/10.19163/1994-9480-2024-21-3-70-75
- ID: 316518
Cite item
Full Text
Abstract
One of the modern methods of multi-stage treatment of patients with widespread peritonitis, abdominal sepsis and abdominal injuries is vacuum-assisted laparostomy.
Aim: the methodology and practical aspects of the clinical use of vacuum-assisted laparostomy in the treatment of generalized peritonitis, abdominal sepsis and abdominal trauma are presented. A detailed illustrated description of the vacuum-assisted laparostomy technique is provided with the step-by-step implementation of all necessary procedures in patients with widespread peritonitis, abdominal sepsis and abdominal injuries. The attention of surgeons is drawn to important technical aspects of performing this technique to increase its safety and effectiveness.
Full Text
Проблема лечения пациентов с острой хирургической патологией и травматическими повреждениями органов живота, осложненных распространенным перитонитом (РП) и абдоминальным сепсисом (АС), остается одной из наиболее сложных и актуальных, что обусловлено сохраняющимся высоким уровнем летальности [1, 2, 3, 4, 5].
Многоэтапное хирургическое лечение РП и травмы живота пациентов с нестабильной гемодинамикой и крайне тяжелом состоянием, у которых развивается абдоминальный компартмент-синдром (АКС) и АС осуществляется тремя вариантами после первичной лапаротомии, основывается на стратегиях контроля источника перитонита source control и контроля повреждений damage control [6, 7, 8, 9, 10] и включают в себя следующие тактические варианты: релапаротомии (РЛТ) «по требованию» (экстренные), программированные РЛТ (плановые), различные варианты лапаростомии (ЛС) (методики «открытого живота») [11, 12, 13, 14].
С целью осуществления временного закрытия живота применяют синтетические и биологические сетки, адгезивные мембраны [15], вакуумную (VAC – vacuum-assisted closure) терапию с созданием отрицательного давления в брюшной полости и формированием ЛС методом NPWT (Negative Pressure Wound Therapy) [1, 7, 10, 12, 14]. Вакуум-ассистированная лапаростомия (VAC-ЛС) подразумевает обязательное наличие протективной (чаще перфорированной полипропиленовой) пленки, полиуретановой губки, герметизирующей пленки и устройства для проведения постоянной вакуум-аспирации. Через систему трубок со специальным вакуумным генератором из брюшной полости эвакуируется воздух, в результате чего в ней создается отрицательное давление, которое ускоряет формирование грануляционной ткани, улучшает кровоснабжение, снижает контаминацию брюшной полости, локализует и уменьшает время экспозиции патологического перитонеального экссудата [11, 13, 14].
Одним из важнейших преимуществ VAC-ЛС является ликвидация синдрома интраабдоминальной гипертензии и предотвращение развития АКС, что предопределяет нормальное функционирование дыхательной, сердечно-сосудистой и нервной систем [1, 10].
Международное общество неотложной хирургии (World Society of Emergency Surgery – WSES) и Панамериканское общество травматологов (Paname-rican Trauma Society – PTS) в 2015 г. инициировали создание международного регистра по методике «открытого живота» (International Register of Open Abdomen – IROA) [13], а в 2017 г. были опубликованы первые итоги международного исследования – методика VAC-ЛС, по сравнению с другими видами ЛС, отличается самыми низкими показателями летальности и осложнений [12], но по риску образования свищей попадает в лидеры вместе с повязкой Wittmann (13,5 и 17,6 % соответственно), уступая «первенство» последней [10]. Об эффективности метода сообщают многие авторы, применявшие его в клинической практике [10, 11, 12, 13, 14, 15, 16, 17, 18, 19].
В 2023 г. нами были опубликованы результаты проведенного систематического обзора и метаанализа по сравнению VAC-ЛС с другими вариантами многоэтапного хирургического лечения при тяжелой травме живота и ургентной абдоминальной патологии с АКС, РП и АС, которые показали обоснованность и эффективность применения методики [20].
ЦЕЛЬ РАБОТЫ
Представить методологию и практические аспекты клинического применения VAC-ЛС при лечении РП, АС и травмы живота.
МЕТОДИКА ИССЛЕДОВАНИЯ
При этапном хирургическом лечении («по программе») после устранения источника РП, санации брюшной полости в качестве временного закрытия живота использовали VAC-ЛС. Применяли локальное отрицательное давление при VAC-ЛС с помощью аппарата RENASYS EZ MAX, c принадлежностями производства Smith & Nephew Medical Ltd (Соединенное Королевство) (рис. 1). Одноразовые контейнеры объемом 800 мл со встроенным одноразовым бактериальным фильтром и оригинальные абдоминальные комплекты с мягкой порт-системой RENASYS AB (рис. 1, 2).
Рис. 1. Аппарат RENASYS EZ MAX c принадлежностями
Рис. 2. Абдоминальный комплект с мягкой порт-системой RENASYS AB
Защитный слой для органов (ЗСО) (абдоминальное покрытие) моделировали по размерам, учитывая объем брюшной полости. Мокрые перчатки обеспечивали более простое размещение ЗСО в животе. Аккуратно и ровно располагали ЗСО в оба латеральных канала брюшной полости, не зависимо от ее стороны. Излишние края ЗСО складывали внутрь. Все органы брюшной полости, включая петли тонкого кишечника, полностью закрывали ЗСО перед заполнением раны губкой, межкишечные анастомозы погружали в брюшную полость, илео- и колостомы укутывали пленкой (рис. 3). Вырезали губчатый раневой наполнитель до необходимых размеров по перфорированным линиям и помещали в рану над ЗСО, обеспечивая контакт с краями раны, не оставляя свободного пространства (рис. 4).
Рис. 3. Размещение ЗСО в брюшной полости
Рис. 4. Моделирование губчатого раневого наполнителя
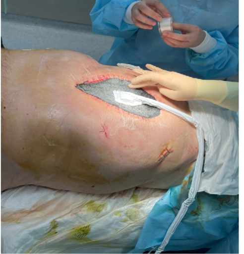
Удерживая покровную хирургическую пленку, открывали одну сторону прилипающей подложки удалением одного слоя и прикладывания к губке. Накрывали губку пленкой, сняв оставшиеся липкие слои для закрытия раны брюшной полости и оставшийся опорный слой. Пленка выходила на 5,0 см за границы раны и была прочно фиксирована, обеспечивая герметизм системы (рис. 5). Вырезали круглое отверстие диаметром около 1,0 см в центре пленки над раневым наполнителем. Снимали липкий слой с повязки дренажа с портом Soft port и располагали отверстие дренажа непосредственно над отверстием в прозрачной пленке. Разглаживали повязку, удаляя верхний стабилизирующий слой дренажа (рис. 6).
Рис. 5. Фиксация покровной хирургической пленки
Рис. 6. Закрепление дренажа с портом Soft port на пациенте
Перед началом терапии убеждались, что контейнер установлен правильно. Подключали дренаж к трубке контейнера, при этом сжимая вместе оранжевые быстрозащелкивающиеся соединительные устройства. Звуковой щелчок указывает, что соединение защищено. Активировали устройство RENASYS EZ MAX в постоянном режиме с диапазоном давления 70–80 мм рт. ст. Повязка должна быть полностью сжатая, плотная при соприкосновении и не иметь утечек (рис. 7). Этапные санации с заменой системы проводили с периодичностью 24–48 часов, при постоянном мониторинге состояния пациента, объёма отделяемого из брюшной полости. Внутрибрюшное давление контролировали через уретральный катетер (рис. 8).
Рис. 7. Герметичная повязка
Рис. 8. Измерение внутрибрюшного давления
Брюшную полость закрывали, когда риск АКС купирован, источник РП/АС контролируется и повторной РЛТ больше не требуется. Мы использовали раннее фасциальное закрытие – в первые 4–7 дней после операции.
Наш первый опыт клинического применения VAC-ЛC у 7 пациентов позволил практически отработать технические вопросы, показал эффективность метода и необходимость четкого определения показаний к данному способу лечения. Подробное описание клинических наблюдений будет приведено нами в последующих публикациях.
ЗАКЛЮЧЕНИЕ
Методика VAC-ЛС является современным этапным лечением распространенного перитонита, абдоминального сепсиса и травмы живота в рамках стратегии контроля источника перитонита source control и контроля повреждений damage control. VAC-ЛС является доступной и воспроизводимой в любом хирургическом стационаре, оснащенном соответствующим оборудованием и расходными материалами.
Финансирование. Исследование выполнено при финансовом обеспечении за счет средств государственного научного гранта Волгоградской области «Эффективность и безопасность технологии NPWT при лечении пациентов с абдоминальным сепсисом» на основании постановления Администрации Волгоградской области от 26.07.2019 № 365-п «О порядке предоставления государственных научных грантов Волгоградской области и приказа комитета экономической политики и развития Волгоградской области» от 30.11.2022 №135.
Funding. The study was carried out with financial support from the state scientific grant of the Volgograd region "Efficiency and safety of NPWT technology in the treatment of patients with abdominal sepsis" on the basis of the resolution of the Administration of the Volgograd region dated July 26, 2019 No. 365-p "On the procedure for providing state scientific grants of the Volgograd region and Order of the Committee for Economic Policy and Development of the Volgograd Region" dated November 30, 2022 No. 135.
About the authors
Sergey S. Maskin
Volgograd State Medical University
Author for correspondence.
Email: maskins@bk.ru
ORCID iD: 0000-0002-5275-4213
Doctor of Medical Sciences, Professor, Head of the Department of Hospital Surgery
Russian Federation, VolgogradTatyana V. Derbentseva
Volgograd State Medical University
Email: tatyana-derbenceva@yandex.ru
ORCID iD: 0000-0001-5735-9557
Candidate of Medical Sciences, Associate Professor of the Department of Hospital Surgery
Russian Federation, VolgogradVasily V. Alexandrov
Volgograd State Medical University
Email: 79178304989@yandex.ru
ORCID iD: 0000-0001-8364-8934
Candidate of Medical Sciences, Associate Professor of the Department of Hospital Surgery
Russian Federation, VolgogradViktor V. Matyukhin
Volgograd State Medical University
Email: victor.matyukhin@gmail.com
ORCID iD: 0000-0002-8195-6172
Candidate of Medical Sciences, Associate Professor of the Department of Hospital Surgery
Russian Federation, VolgogradDmitry S. Biryulev
Volgograd State Medical University
Email: kotovo111083@yandex.ru
ORCID iD: 0000-0002-0631-1008
Scopus Author ID: 0000-0002-0631-1008
Candidate of the Department of Hospital Surgery
Russian Federation, VolgogradRashid Azad
Volgograd State Medical University
Email: azad92rasheed@gmail.com
ORCID iD: 0000-0002-8294-3795
Candidate of the Department of Hospital Surgery
Russian Federation, VolgogradSergey M. Sigaev
Volgograd State Medical University
Email: sersigaeff@yandex.ru
ORCID iD: 0000-0002-2481-6608
Candidate of the Department of Hospital Surgery
Russian Federation, VolgogradReferences
- Gel’fand B.R., Kirienko A.I., Khachatryan N.N. Abdominal surgical infection : Russian national recommendations. 2nd ed., reprint. and add. Moscow : LLC “Medical Infor-mation Agency”, 2018. 168 p. (In Russ.).
- Maskin S.S., Karsanov A.M., Derbentseva T.V. et al. Diffuse purulent peritonitis: searching for focus to improve the safety of treatment. Klinicheskaya bol’nitsa = The Hospital. 2022;2(34):35-41. (In Russ.) doi: 10.56547/22263071_2022_2_35.
- Maskin S.S., Karsanov A.M., Derbentseva T.V. et al. The basics of a differentiated approach to the treatment of colonic peritonitis. Vestnik khirurgicheskoi gastroenterologii = Herald of surgical gastroenterology. 2017;1:17–23. (In Russ.).
- Maskin S.S., Aleksandrov V.V., Matyukhin V.V. et al. Treatment and diagnostic algorithm for associated closed abdominal and retroperitoneal organs injury from the standpoint of evidence-based medicine. Vestnik Volgogradskogo gosudarstvennogo meditsinskogo universiteta = Journal of Volgograd State Medical University. 2020;3(75):3–12. doi: 10.19163/1994-9480-2020-3(75)-3-12 (In Russ.).
- Maskin S.S., Ermolaeva N.K., Aleksandrov V.V., Matyukhin V.V.. Combined closed abdominal injury: standardization of the diagnostic and treatment approach from the standpoint of evidence-based medicine. Volgograd, VolgSMU Publishing House, 2021. 368 p. (In Russ.).
- Karsanov A.M., Remizov O.V., Maskin S.S. et al. Sepsis Diagnostics. Vestnik khirurgii im. I.I. Grekova = Grekov’s Bulletin of Surgery. 2016;6(175):98–103. EDN XQRTYP. (In Russ.).
- Acute peritonitis. Clinical recommendations. Russian Society of Surgeons. Moscow, 2017. (In Russ.).
- Karsanov A.M., Slepushkin V.D., Maskin S.S., Korovin A.Ya. Sepsis from the perspective of evidence-based medicine. Vladikavkaz, 2015. 191 p. (In Russ.).
- Karsanov A. M., Sazhin V. P., Maskin S. S. et al. Sepsis (a quarter of a century of searching). Vladikavkaz : Tsopanova A.Yu. Publ., 2017. 196 p. (In Russ.).
- Sazhin A.V., Ivakhov G.B., Teplykh A.V., Kalinina A.A. Vacuum-assisted laparostomy for the complex treatment of diffuse peritonitis (literature review). Moskovskii khirurgicheskii zhurnal = Moscow Surgical Journal. 2020;4(74): 65–74. (In Russ.) doi: 10.17238/issn2072-3180.2020.4.65-74.
- Müller V., Piper S.K., Pratschke J., Raue W. Intraabdominal continuous negative pressure therapy for secondary peritonitis: an observational trial in a maximum care center. Acta chirurgica Belgica. 2020;120(3):179–185. doi: 10.1080/00015458.2019.1576448.
- Coccolini F., Montori G., Ceresoli M. et al. IROA: International Register of Open Abdomen, preliminary results. World journal of emergency surgery: WJES. 2017;12:10. doi: 10.1186/s13017-017-0123-8.
- Sartelli M., Abu-Zidan F.M., Ansaloni L. et al. The role of the open abdomen procedure in managing severe abdominal sepsis: WSES position paper. World journal of emergency surgery: WJES. 2015;12(10):35. doi: 10.1186/s13017-015-0032-714.
- Cherdantsev D.V., Pervova O.V., Trofimovich Yu.G. et al. Possibilities of improving the efficiency of perioperative sanitation of abdominal cavity at peritonitis. Sibirskoe meditsinskoe obozrenie = Siberian Medical Review. 2018;1:20–26. (In Russ.) doi: 10.20333/2500136-201-1-20-26.
- Mutafchiyski V.M., Popivanov G.I., Kjossev K.T., Chipeva S. Open abdomen and VAC® in severe diffuse peritonitis. Journal of the Royal Army Medical Corps. 2016;162(1):30–34. doi: 10.1136/jramc-2014-000386.
- Uvarov I.B., Sichinava D.D., Manuilov A.M. Vacuum-assisted laparostomy with staged peritoneal lavage in management of secondary postoperative diffuse peritonitis: a prospective comparative non-randomised clinical trial. Kubanskii nauchnyi meditsinskii vestnik = Kuban Scientific Medical Bulletin. 2022;29(1):62–76. (In Russ.) doi: 10.25207/1608-6228-2022-29-1-62-76.
- Schmelzle M., Alldinger I., Matthaei H. et al. Long–term vacuum–assisted closure in open abdomen due to secondary peritonitis: a retrospective evaluation of a selected group of patients. Digestive surgery. 2010;27:272–278. doi: 10.1159/000314609.
- Sichinava D.D., Uvarov I.B., Manuilov A.M. Negative pressure therapy for severe peritonitis, complicated by biliodigestive fistula (clinical case). Vestnik khirurgicheskoi gastroenterologii = Bulletin of Surgical Gastroenterology. 2020;2: 47–54. (In Russ.).
- Uvarov I.B., Manuilov A.M., Sichinava D.D. Intraabdominal and transanal vacuum drainage for colorectal anastomosis leakage (case report). Koloproktologiya = Coloproctology. 2020;19(4):100–106. (In Russ.) doi: 1 0.33878/ 2073-7556-2020-19-4-100-106.
- Maskin S.S., Aleksandrov V.V., Matyukhin V.V. et al. Vacuum-assisted laparostomy in severe abdominal trauma and urgent abdominal pathology with compartment syndrome, peritonitis and sepsis: comparative aspects with other options for multistage surgical treatment (systematic review and meta-analysis). Acta biomedica scientifica. 2023;8(1):107–203. (In Russ.) doi: 10.29413/ABS.2023-8.1.19.
Supplementary files









