Возможна ли оптимизация применения ингибиторов протонной помпы в реальной врачебной практике?
- Авторы: Хомерики Н.М.1, Хомерики С.Г.2
-
Учреждения:
- ГБУЗ МО «Московский областной научно-исследовательский клинический институт им. М.Ф. Владимирского»
- ГБУЗ г. Москвы «Московский клинический научно-практический центр имени А.С. Логинова ДЗМ»
- Выпуск: Том 50, № 6 (2022)
- Страницы: 357-366
- Раздел: ОБЗОР
- URL: https://medbiosci.ru/2072-0505/article/view/148971
- DOI: https://doi.org/10.18786/2072-0505-2022-50-051
- ID: 148971
Цитировать
Полный текст
Аннотация
В обзоре приведены данные о негативном влиянии на здоровье длительного и ненадлежащего применения ингибиторов протонной помпы (ИПП). С момента появления ИПП в конце 1980-х гг. их использование во всем мире неуклонно растет. Однако число назначений ИПП без четких показаний составляет до 70% случаев. Ненадлежащий прием ИПП (вразрез с клиническими рекомендациями) приводит к увеличению риска развития нежелательных явлений, особенно у людей пожилого и старческого возраста. Длительное (более 8 недель) применение ИПП повышает риск остеопоротических переломов, приводит к развитию инфекции Clostridioides difficile и изменению микробиоты организма, вызывает внебольничную пневмонию, возникновение дефицита витамина B12, заболевание почек, деменцию, повышает риск развития рака желудка и др. Большинство потенциальных побочных эффектов ИПП – следствие гипохлоргидрии и рефлекторной гипергастринемии. Главным принципом безопасности ИПП считается соблюдение коротких сроков их применения в минимально эффективных дозах. Рациональные подходы к безопасной и эффективной терапии ИПП опираются на доказательную базу депрескрайбинга при гастроэзофагеальной рефлюксной болезни и включают снижение дозы препарата или использование терапии «по требованию» после завершения курса лечения по конкретному показанию, либо прекращение приема препарата у пациентов с отсутствием адекватных показаний к лечению ИПП. Повышение осведомленности медработников и пациентов о правильном использовании ИПП и знание о побочных эффектах терапии позволят оптимизировать применение данных препаратов в реальной врачебной практике.
Ключевые слова
Полный текст
Ингибиторы протонной помпы (ИПП) входят в число наиболее часто назначаемых препаратов во всем мире. Их внедрение в клиническую практику произвело революцию в лечении кислотозависимых заболеваний, а их открытие считается одним из самых весомых достижений в гастроэнтерологии прошлого века. Первый ИПП омепразол синтезирован в 1979 г. в Швеции компанией «Астра Зенека» и представлен под торговым наименованием «Лосек» в 1988 г. на Всемирном конгрессе гастроэнтерологов в Риме. Конгресс признал ИПП основной группой кислотоконтролирующих лекарственных средств. Сегодня в мире разрешены к применению шесть ИПП: омепразол, эзомепразол, лансопразол, декслансопразол, пантопразол и рабепразол. Помимо оригинальных препаратов на российском фармацевтическом рынке присутствует множество дженерических. Все они имеют одинаковый механизм действия, хотя и незначительно различаются в отношении метаболизма и по фармакокинетическим свойствам. Все препараты этой группы ингибируют протонный насос (Н+/К+-АТФаза) в париетальных клетках желудка, снижая таким образом секрецию кислоты и вызывая глубокую гипохлоргидрию.
Определены научно обоснованные показания к применению ИПП, признанные многими научными сообществами. Управление по санитарному надзору за качеством пищевых продуктов и медикаментов США (Food and Drug Administration, FDA) одобрило ИПП для лечения различных состояний, связанных с повышенной кислотностью желудочного сока, включая гастроэзофагеальную рефлюксную болезнь (ГЭРБ), язву двенадцатиперстной кишки или желудка, инфекцию Helicobacter pylori и синдром Золлингера – Эллисона, а также для профилактики поражений желудочно-кишечного тракта, связанных с приемом нестероидных противовоспалительных препаратов (НПВП), у пациентов из группы риска (в возрасте > 65 лет, с язвой желудочно-кишечного тракта в анамнезе или с сопутствующей терапией антиагрегантами, антикоагулянтами или кортикостероидами) [1].
Однако, несмотря на научно обоснованные показания к применению ИПП, число их назначений без четких показаний составляет до 70% случаев. Основными поводами для неправильного использования ИПП служат профилактика гастродуоденальных язв у пациентов без факторов риска развития осложнений, профилактика стрессовых язв, прием кортикостероидных препаратов, антикоагулянтов и антиагрегантов у пациентов без риска поражения желудка, чрезмерное лечение функциональной диспепсии [2]. Оценка целесообразности длительного применения ИПП (> 8 недель) показала, что 40% амбулаторных пациентов использовали препараты этой группы без показаний, и это свидетельствует о недостаточном внимании к рекомендациям. Самые высокие показатели несоответствия наблюдались при лечении диспепсии (83,3%) и антикоагулянтной терапии (100%) [3].
С момента появления ИПП на рынке в конце 1980-х гг. их использование во многих странах росло высокими темпами. В 2015 г. во Франции ИПП применяла почти треть взрослого населения, то есть 15 млн, 7 млн из которых – впервые. Показанием к терапии ИПП в этой группе в 53% случаев было применение НПВП, при этом 79,7% пациентов не имели факторов риска развития осложнений со стороны желудочно-кишечного тракта [2]. В обзоре, посвященном 25-летнему использованию ИПП в клинической практике, отмечено, что количество назначений ИПП в этот период росло линейно без расширения показаний к применению. В частности, только в Германии в 2014 г. прописано 3,475 млрд суточных доз ИПП. По мнению авторов обзора, такое огромное количество ежедневно прописываемых ИПП должно настораживать и указывает на необходимость критического анализа спектра показаний к терапии ИПП с учетом их побочных эффектов [4].
В целом считается, что ИПП имеют мало побочных эффектов и хорошо переносятся. При кратковременном применении ИПП – не более двух недель в небольших дозировках – пациенты испытывают такие симптомы, как метеоризм, легкую диарею, неврологические проявления в виде головной боли и головокружения. Эти симптомы встречаются редко, быстро проходят самостоятельно и не становятся предметом внимания врачей. Однако большинство пациентов остаются на длительном приеме ИПП, часто на неопределенный срок. Исследования показали: после начала приема ИПП в больнице более 50% пациентов продолжают их принимать в течение 3–6 месяцев после выписки даже в отсутствие показаний, возможно, из-за опасения, что симптомы повторятся после отмены [5]. Таким образом, использование ИПП возрастает как в стационарных условиях, так и в амбулаторном режиме. А вместе с этим увеличивается число сообщений о побочных эффектах ИПП, включая поражения почек, печени, сердечно-сосудистые заболевания, слабоумие, нейроэндокринные опухоли желудочно-кишечного тракта, восприимчивость к респираторным и желудочно-кишечным инфекциям, нарушение всасывания питательных веществ (рис. 1) [6, 7]. Серьезную озабоченность вызывает неправильное использование ИПП, особенно у пожилых людей, которые часто страдают множественными сопутствующими заболеваниями и принимают несколько лекарств. Эта когорта пациентов подвержена повышенному риску долгосрочных побочных эффектов, связанных с приемом ИПП, вследствие их взаимодействия с другими лекарственными средствами [8].
Рис. 1. Побочные эффекты длительного применения ингибиторов протонной помпы (ИПП) (модифицированная схема M. Yibirin и соавт. [6])
Большинство побочных эффектов ИПП представляют собой результат прямого и сильного подавления продукции хлористоводородной кислоты париетальными клетками желудка, возникновения гипохлоргидрии и рефлекторной гипергастринемии.
Изменения слизистой оболочки желудка и повышение риска рака желудка при длительном приеме ингибиторов протонной помпы
Хроническое подавление кислотности, вызванное ИПП, приводит к повышению рН желудка и стимулирует вырабатывающие гастрин G-клетки в антральном отделе желудка (рис. 2). Высокий уровень гастрина индуцирует гиперплазию гистаминпродуцирующих энтерохромаффиноподобных (ECL) клеток, которая предшествует развитию карциноидных опухолей. Недлительное лечение утвержденными суточными дозами ИПП приводит к легкой гипергастринемии [9]. Ряд исследований не выявил четкой связи между длительным применением ИПП и развитием нейроэндокринных опухолей. Но во всех них отмечено развитие диффузной или очаговой микронодулярной гиперплазии ECL-клеток вследствие повышения уровня гастрина [10].
Рис. 2. Биологический механизм действия ингибиторов протонной помпы (ИПП) (модифицированная схема T.N. Poly и соавт. [9])
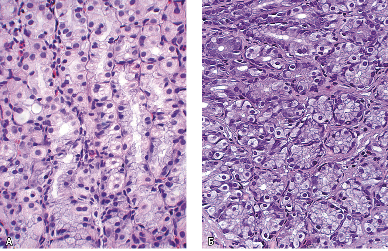
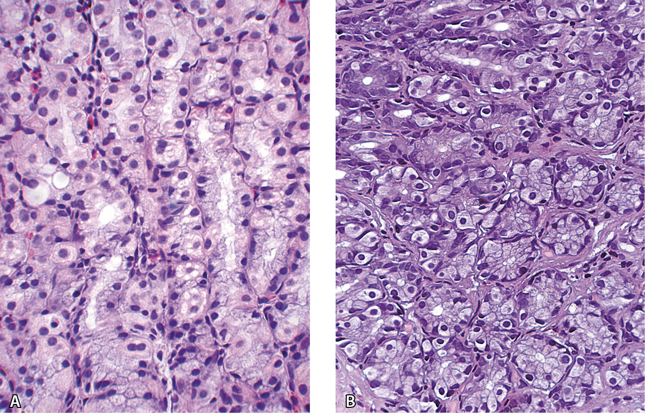
Длительное применение ИПП вызывает такие гистопатологические изменения слизистой оболочки желудка, как гиперплазия париетальных клеток с выпячиванием их в просвет железы, кистозная дилатация фундальных желез и гиперплазия фовеолярного эпителия (рис. 3). При эндоскопическом исследовании эти изменения выявляются в виде полипов фундальных желез (рис. 4), гиперпластических полипов, множественных приподнятых поражений, булыжноподобной слизистой оболочки [11]. Клиницисты не всегда уделяют должное внимание этой проблеме. Вместе с тем установить клиническую значимость данных поражений можно только на основании результатов долгосрочных проспективных исследований [12].
Рис. 3. Гастропатия, индуцированная приемом ингибиторов протонной помпы: дистрофия и вакуолизация париетальных клеток в главных железах желудка (А), гиперплазия нейроэндокринных клеток и участки пилорической метаплазии в главных железах желудка (Б). Окраска гематоксилином и эозином; × 500 (из личного архива С.Г. Хомерики)
Рис. 4. Полипы фундальных желез: А – на фоне длительного (2,5 года) приема ингибиторов протонной помпы; Б – сохраняющиеся через 3 года после отмены приема ингибиторов протонной помпы (из личного архива Н.М. Хомерики)
Связь между постоянным использованием ИПП и риском рака желудка обсуждается на протяжении ряда лет, и исследований в этой области достаточно. Анализ данных двух крупных наблюдательных исследований с общим числом участников более 760 тыс. подтвердил, что постоянное использование ИПП сопряжено с увеличением риска развития рака желудка. Более того, применение ИПП – независимый фактор риска рака желудка, и этот риск возрастает по мере увеличения сроков их приема [13]. В 2005–2012 гг. в Швеции проведено открытое популяционное исследование для оценки риска развития рака желудка, связанного с длительным применением ИПП (как минимум 180 дней). В группе сравнения были пациенты, которые принимали блокаторы Н2-гистаминовых рецепторов по тем же показаниям. Среди 797 067 человек, находящихся на постоянной терапии ИПП, индекс заболевания раком желудка увеличился втрое во всех возрастных группах у обоих полов, но особенно повысился среди возрастной группы моложе 40 лет. Ассоциация была одинаковой для развития рака как кардиального отдела желудка, так и других его отделов. В группе пациентов, принимавших блокаторы Н2-гистаминовых рецепторов, риски рака выявлены не были. Данные этого исследования свидетельствуют о том, что долгосрочное использование ИПП может быть независимым фактором риска рака желудка. Это бросает вызов длительному применению ИПП, особенно если нет показаний для их назначения [14].
Корейские ученые провели интересное популяционное исследование, в рамках которого оценивали риск развития рака желудка среди принимавших ИПП после эрадикации. Оказалось, что у таких пациентов частота рака желудка была в значительной степени связана с использованием ИПП в течение 180 дней по сравнению с группой, принимавшей не ИПП, а другие препараты. Авторы сделали следующие выводы: развитие рака связано с продолжительностью использования ИПП и не зависит от эрадикации H. pylori; в регионах с высоким риском развития рака желудка следует с осторожностью назначать длительное применение ИПП [15].
Данные о том, что ИПП увеличивают риск рака желудка, продолжают обсуждаться. Именно поэтому весьма актуальными и значимыми для клинициста представляются результаты обновленного в 2022 г. метаанализа эпидемиологических исследований, убедительно подтвердивших высокий риск развития рака среди принимающих ИПП (относительный риск 1,80, 95% доверительный интервал 1,46–2,22, р < 0,001) по сравнению с теми, кто не принимает препараты этой группы [9].
Среди наиболее значимых биологических факторов, объясняющих связь между использованием ИПП и раком желудка, выделяют гипергастринемию и гиперплазию ECL-клеток, обусловленные уменьшением выработки соляной кислоты на фоне блокады H+/K+-АТФазы париетальных клеток [16].
Данные о связи длительного приема ИПП с другими опухолями желудочно-кишечного тракта неоднозначны. Не установлено статистически значимых ассоциаций между использованием ИПП и развитием гепатоцеллюлярной карциномы [17] и колоректального рака [18], но в отношении рака поджелудочной железы такая связь обнаружена [19].
Ингибиторы протонной помпы и кишечные инфекции
Одна из основных функций кислоты в желудке – защита от желудочно-кишечных инфекций. У пациентов, получающих длительную терапию ИПП, развиваются выраженные изменения в кишечном микробиоме, характеризующиеся отклонением от его нормального состава, повышенным ростом в дистальных отделах кишечника представителей флоры верхних ее отделов. На фоне гипохлоргидрии повышается возможность развития кишечных инфекций, вызванных Salmonella, Shigella, Campylobacter или Escherichia coli [20], а также активизируется грибковая флора [21] (рис. 5).
Рис. 5. Дрожжеподобные грибы (А) и псевдомицелий Candida albicans (Б) в желудочной слизи на фоне приема ингибиторов протонной помпы. Окраска по Граму; × 1200 (из личного архива С.Г. Хомерики)
Микробные изменения в кишечнике, связанные с использованием ИПП, значительно более выражены, чем при применении антибиотиков или других широко используемых лекарств [22]. Даже при кратковременной терапии омепразолом наблюдается избыточный бактериальный рост в желудке и двенадцатиперстной кишке [23]. Имеется четкая связь между антисекреторной терапией и развитием инфекции Clostridioides difficile, так как кислотоподавляющая терапия способствует выживанию и росту вегетативной C. difficile, увеличивая вероятность инфекции [24]. Анализ данных 8 систематических обзоров и метаанализов, опубликованных за период с 2000 по 2020 г., показал наличие статистически значимой связи между ИПП и инфекцией C. difficile [25]. В 2012 г. FDA выпустило предупреждение в отношении использования ИПП и риска развития инфекции C. difficile (https://www.fda.gov/drugs/drug-safety-and-availability/fda-drug-safety-communication-clostridium-difficile-associated-diarrhea-can-be-associated-stomach). Однако современные знания о микробных изменениях, предшествующих манифестации инфекции C. difficile, очень ограничены. Предположительно, изменения в микробиоме кишечника, связанные с ИПП, могут создавать нишу, которая способствует прорастанию и активизации C. difficile [12].
Нежелательные явления, развившиеся на фоне терапии ИПП, можно классифицировать в зависимости от наличия/отсутствия связи с подавлением выделения желудочного сока. При уменьшении кислотности желудочного сока снижается рН-зависимая абсорбция кальция, магния, железа и витамина В12, возникают симптомы, характерные для недостатка этих элементов. Примерами исходов применения ИПП, не связанных с подавлением кислотности, служат аллергические реакции, лекарственные взаимодействия, острый интерстициальный нефрит, развитие пневмонии, хроническое заболевание почек [26], неблагоприятные сердечно-сосудистые события, деменция, риск развития сахарного диабета 2-го типа [27], повышенный риск ревматоидного артрита у женщин [28] и др. Вместе с тем наиболее вероятным объяснением повышенного риска респираторных инфекций представляется индуцированная ИПП гипохлоргидрия, которая приводит к аспирации желудочного содержимого, что увеличивает бактериальную колонизацию легких с последующим развитием пневмонии [7].
Лекарственные взаимодействия
При назначении ИПП следует учитывать их взаимодействие с другими лекарственными препаратами, что особенно актуально для пожилых пациентов, у которых распространена полипрагмазия [8]. Лекарственные взаимодействия обусловлены особенностями метаболизма ИПП. Все ИПП метаболизируются в печени с участием различных изоформ цитохрома P450. Ряд исследований показал, что омепразол обладает значительным потенциалом взаимодействия с лекарственными средствами, поскольку он имеет высокое сродство к CYP2C19 и более низкое сродство к CYP3A4. Препараты, которые часто применяются во врачебной практике и метаболизируются теми же изоформами цитохрома P450 печени, следует осторожно назначать с ИПП. К таким препаратам относятся антиконвульсанты, седативные препараты и миорелаксанты (например, фенитоин, мефенитоин, диазепам, флунитразепам, фенобарбитал), определенные антидепрессанты (циталопрам, эсциталопрам, флуоксетин, сертралин, амитриптилин и др.), а также некоторые другие лекарства (пропранолол, варфарин, прогестерон, тестостерон и циклофосфамид) [29].
Данные относительно сочетанного применения ИПП (в частности омепразола) и клопидогрела противоречивы. Клопидогрел – пролекарство, которое, как и ИПП, подвергается метаболизму в печени до своей активной формы с участием изофермента CYP2C19 (CYP3A4). Конкурентное ингибирование неблагоприятно сказывается на взаимодействии ИПП и клопидогрела и снижает антитромботическую активность последнего, что увеличивает частоту серьезных неблагоприятных сердечно-сосудистых событий, тромбозов стентов и приводит к замедлению реваскуляризации. Однако комбинированная терапия ацетилсалициловой кислотой, клопидогрелом и ИПП уменьшает частоту желудочно-кишечных кровотечений. А следовательно, пациентам с кислотозависимыми заболеваниями и высоким риском желудочно-кишечных кровотечений целесообразно продолжить прием ИПП одновременно с клопидогрелом и ацетилсалициловой кислотой [30].
Сообщения, посвященные нежелательным проявлениям со стороны различных систем организма на фоне терапии ИПП, публикуются регулярно. Чрезмерное применение ИПП и использование их не по показаниям отражает всеобщую тенденцию. В частности, практикуется назначение ИПП при первом обращении пациентов с симптомами диспепсии (изжоги, дискомфорта и болей в эпигастральной области). Быстрое облегчение симптомов в дальнейшем может привести к хронизации болезни и новым более частым обострениям. Снижение кислотности при наличии инфекции H. pylori способствует распространению этого микроорганизма из антрального в другие отделы желудка с вовлечением их в воспалительный процесс [31]. А изменение топографии гастрита и развитие атрофии слизистой оболочки сопряжены с риском рака желудка, о чем было сказано ранее.
Как показывает личный опыт, во всех случаях назначения НПВП специалисты любого профиля, включая врачей общей практики, рекомендуют ИПП для профилактики гастропатий. Развитие гастропатий – запрограммированный фармакологический эффект НПВП [32]. Гастротоксичность НПВП зависит от селективности в отношении фермента циклооксигеназы, а также от наличия у пациентов факторов риска осложнений со стороны желудочно-кишечного тракта [29]. К таким факторам риска помимо возраста относятся использование одновременно нескольких НПВП, особенно в сочетании с ацетилсалициловой кислотой, сопутствующее применение костикостероидов (классический вариант при ревматоидном артрите), употребление алкоголя, курение [33]. Пациенты с множественными факторами риска и осложненной язвой в анамнезе имеют высокий риск развития осложнений, и в таких случаях назначение ИПП уместно [31]. Однако в отсутствие факторов риска – бесполезно.
Особенности лечения инфекции Helicobacter pylori при атрофических гастритах с гипохлоргидрией и ахлоргидрией
При атрофических фундальных гастритах с секреторной недостаточностью использование ИПП в сочетании с антибиотиками не может быть таким же, как при гастритах с нормальным кислотообразованием в желудке [34]. Тройная терапия с ИПП не является золотым стандартом для всех больных, тем не менее на практике мы встречаемся повсеместно с ее использованием у пациентов с отсутствием кислоты в желудке. В случаях атрофического гастрита с гипохлоргидрией и ахлоргидрией целесообразно использовать тройную терапию на основе висмута без ИПП: висмута трикалия дицитрат (120 мг 4 раза в сутки или 240 мг 2 раза в сутки), амоксициллин (1000 мг 2 раза в сутки) в сочетании с кларитромицином (500 мг 2 раза в сутки), джозамицином (1000 мг 2 раза в сутки) или метронидазолом (750 мг 2 раза в сутки) продолжительностью 10–14 дней [35].
Сочетание препаратов висмута с ИПП применяется как в схемах эрадикации H. pylori, так и в лечении H. pylori-негативных гастритов (после успешной эрадикации H. pylori или в случае ее отсутствия изначально). В условиях роста резистентности H. pylori к антибиотикам добавление соединений висмута к тройной терапии рекомендуется как терапия первой линии [36]. В экспериментальных исследованиях in vitro было показано, что противомикробное действие висмута в кислой среде желудка развивается быстро, так как при взаимодействии висмута с желудочной кислотой образуется наиболее активное соединение – оксихлорид висмута. В этой связи для временного закисления желудка может оказаться целесообразным применять соли висмута с лимонной кислотой, яблочной кислотой или даже с Coca-Cola [32]. Логично предположить, что ингибирование кислоты должно снизить эффективность терапии висмутом. Однако клинически была доказана эффективность комбинации висмута с противосекреторным препаратом (ранитидина висмута цитрат) как противоязвенного и антихеликобактерного препарата [37]. Препараты висмута обладают уникальными механизмами множественного действия против H. pylori, но их природа пока неясна. В одном из исследований установлено, что висмут (в составе металлопрепарата) выполняет свою роль через связывание и нарушение функции ключевых белков/ферментов. Описаны механизмы поглощения соединения висмута клетками млекопитающих и бактериями путем пассивного транспорта металлопрепарата, с последующим связыванием и выведением из клетки с помощью глутатиона. Этим объясняется «секрет» высокой селективности препаратов висмута против патогенов, «обедненных глутатионом», включая H. pylori [38].
Помимо использования в схемах эрадикации H. pylori, препараты висмута назначаются в сочетании с ИПП при лечении различных поражений слизистой оболочки желудка – начиная с поверхностных гастритов до эрозивно-язвенных поражений, включая НПВП-гастропатии. Цитопротективные свойства висмута напрямую зависят от присутствия кислоты в просвете желудка. Только в кислой среде, при рН < 5 в желудке образуются преципитаты оксихлорида и цитрата, которые взаимодействуют с белками в местах повреждения слизистой оболочки, образуя подобие пленки, идентичной пристеночной слизи [39]. Мы провели исследования по растворимости и седиментации препаратов висмута при различных значениях рН. Оказалось, что наибольшая устойчивость суспензии солей висмута к осаждению наблюдается в области pH 3 и ниже. При увеличении pH более 4 седиментация частиц висмута возрастает, что говорит об укрупнении их размеров и снижении контактной поверхности. Таким образом, при возрастании pH среды эффективность препаратов висмута снижается. Это следует учитывать при их одновременном приеме с повышающими pH желудка продуктами питания или препаратами (блокаторы протонной помпы, H2-блокаторы) [40].
Депрескрайбинг ингибиторов протонной помпы
Накопившиеся сведения о побочных эффектах при длительном применении ИПП ставят перед клиницистами четкую задачу назначения препаратов по возможности в низких дозировках и короткими курсами. Депрескрайбингом (от англ. deprescribing) называют плановый и контролируемый процесс снижения дозы или прекращения приема лекарственного средства, которое потенциально может причинить вред пациенту и/или не приносит ему пользы. Цель депрескрайбинга – снизить лекарственную нагрузку и сохранить или улучшить качество жизни больного [41].
Первые национальные алгоритмы депрескрайбинга ИПП при ГЭРБ разработаны в Австралии [42] и Канаде [41]. ГЭРБ – одно из главных заболеваний, при котором пациентам приходится применять ИПП длительно, а при тяжелых формах порой пожизненно. ИПП в виде 8-недельного курса считается терапией выбора для облегчения симптомов и заживления эрозивного эзофагита [43]. Однако при легких формах эзофагита и при эндоскопически негативной форме ГЭРБ достаточно более короткого – 4-недельного – периода приема [41]. Традиционные ИПП следует принимать за 30–60 минут до еды. Лечение ИПП рекомендуется начинать с частотой 1 раз в день перед первым приемом пищи. Поддерживающую терапию ИПП следует назначать больным ГЭРБ, у которых после курса лечения ИПП сохраняются симптомы, и больным с осложнениями, включая эрозивный гастрит и пищевод Барретта [41]. Пациентам, которым требуется длительная поддерживающая терапия, ИПП нужно назначать в минимально эффективной дозе, в том числе по требованию или прерывистыми курсами. Согласно канадским алгоритмам [41] депрескрайбинг ИПП может включать в себя прекращение приема препарата (отмену), снижение дозы, а также переход на класс ниже («шаг ниже»), то есть замену на блокатор Н2-гистаминовых рецепторов.
Рациональное использование ИПП предполагает регулярное обследование пациентов, принимающих эти препараты для лечения ГЭРБ, с целью уменьшения дозы или прекращения их приема, если симптомы хорошо контролируются, особенно при неосложненном течении заболевания. Рекомендации Канадской ассоциации гастроэнтерологов призывают врачей даже в случае наличия желудочно-кишечных симптомов хотя бы 1 раз в год предпринимать попытки прекратить прием либо уменьшить дозу ИПП, тем самым предостерегая от поддержки практики длительной терапии ИПП [41]. Однако, чтобы не навредить пациенту с осложненной формой ГЭРБ, с пищеводом Барретта, решение о длительности поддерживающей терапии ГЭРБ и об ее отмене должно приниматься индивидуально и взвешенно.
Заключение
Накопленный нами клинический опыт и критический анализ обширных литературных данных, посвященных лечебному применению ИПП, подводят нас к осознанию насущной необходимости оптимизации использования этих эффективных, но далеко не безопасных лекарственных средств. Достичь этого можно только путем регулярного повышения осведомленности медицинских работников о передовых практических рекомендациях по использованию ИПП и обучения пациентов тонкостям рациональных подходов к безопасной и эффективной терапии ИПП. Эти подходы опираются на доказательную базу депрескрайбинга при ГЭРБ и включают снижение дозы препарата или использование терапии «по требованию» после завершения курса лечения по конкретному показанию, либо прекращение приема препарата в случае отсутствия адекватных показаний к лечению ИПП.
Дополнительная информация
Финансирование
Работа проведена без привлечения дополнительного финансирования со стороны третьих лиц.
Конфликт интересов
Авторы декларируют отсутствие явных и потенциальных конфликтов интересов, связанных с публикацией настоящей статьи.
Участие авторов
Оба автора внесли равный вклад в написание статьи. Оба автора прочли и одобрили финальную версию статьи перед публикацией, согласны нести ответственность за все аспекты работы и гарантируют, что ими надлежащим образом были рассмотрены и решены вопросы, связанные с точностью и добросовестностью всех частей работы.
Об авторах
Наталья Михайловна Хомерики
ГБУЗ МО «Московский областной научно-исследовательский клинический институт им. М.Ф. Владимирского»
Email: nataliakhomeriki@gmail.com
канд. мед. наук, доцент кафедры гастроэнтерологии факультета усовершенствования врачей
Россия, 129110, г. Москва, ул. Щепкина, 61/2Сергей Германович Хомерики
ГБУЗ г. Москвы «Московский клинический научно-практический центр имени А.С. Логинова ДЗМ»
Автор, ответственный за переписку.
Email: xomep@mai.ru
доктор мед.наук ,профессор заведующий отдела инновационной патоморфологии
Россия, 111123, г. Москва, шоссе Энтузиастов, 86–6Список литературы
- Strand DS, Kim D, Peura DA. 25 years of proton pump inhibitors: A comprehensive review. Gut Liver. 2017;11(1):27–37. doi: 10.5009/gnl15502.
- Lassalle M, Le Tri T, Bardou M, Biour M, Kirchgesner J, Rouby F, Dumarcet N, Zureik M, Dray-Spira R. Use of proton pump inhibitors in adults in France: a nationwide drug utilization study. Eur J Clin Pharmacol. 2020;76(3):449–457. doi: 10.1007/s00228-019-02810-1.
- Giannini EG, Crespi M, Djahandideh A, Demarzo MG, Moscatelli A, Bodini G, Furnari M, Marabotto E, Plaz Torres MC, Zentilin P, Savarino V. Appropriateness of proton pump inhibitors treatment in clinical practice: Prospective evaluation in outpatients and perspective assessment of drug optimisation. Dig Liver Dis. 2020;52(8):862–868. doi: 10.1016/j.dld.2020.05.005.
- Mössner J. The indications, applications, and risks of proton pump inhibitors. Dtsch Arztebl Int. 2016;113(27–28):477–483. doi: 10.3238/arztebl.2016.0477.
- Stojaković N, Golić Jelić A, Stoisavljević Šatara S, Bednarčuk N, Stojiljković MP, Škrbić R. Characteristics and patterns of proton pump inhibitors prescribing at the primary health care. Medicina (Kaunas). 2022;58(11):1622. doi: 10.3390/medicina58111622.
- Yibirin M, De Oliveira D, Valera R, Plitt AE, Lutgen S. Adverse effects associated with proton pump inhibitor use. Cureus. 2021;13(1):e12759. doi: 10.7759/cureus.12759.
- Haastrup PF, Thompson W, Søndergaard J, Jarbøl DE. Side effects of long-term proton pump inhibitor use: A review. Basic Clin Pharmacol Toxicol. 2018;123(2):114–121. doi: 10.1111/bcpt.13023.
- Maes ML, Fixen DR, Linnebur SA. Adverse effects of proton-pump inhibitor use in older adults: a review of the evidence. Ther Adv Drug Saf. 2017;8(9):273–297. doi: 10.1177/2042098617715381.
- Poly TN, Lin MC, Syed-Abdul S, Huang CW, Yang HC, Li YJ. Proton pump inhibitor use and risk of gastric cancer: Current evidence from epidemiological studies and critical appraisal. Cancers (Basel). 2022;14(13):3052. doi: 10.3390/cancers14133052.
- Song H, Zhu J, Lu D. Long-term proton pump inhibitor (PPI) use and the development of gastric pre-malignant lesions. Cochrane Database Syst Rev. 2014;(12):CD010623. doi: 10.1002/14651858.CD010623.pub2.
- Kim GH. Proton pump inhibitor-related gastric mucosal changes. Gut Liver. 2021;15(5):646–652. doi: 10.5009/gnl20036.
- Macke L, Schulz C, Koletzko L, Malfertheiner P. Systematic review: the effects of proton pump inhibitors on the microbiome of the digestive tract-evidence from next-generation sequencing studies. Aliment Pharmacol Ther. 2020;51(5):505–526. doi: 10.1111/apt.15604.
- Abbas MK, Zaidi ARZ, Robert CA, Thiha S, Malik BH. The safety of long-term daily usage of a proton pump inhibitor: A literature review. Cureus. 2019;11(9):e5563. doi: 10.7759/cureus.5563.
- Brusselaers N, Wahlin K, Engstrand L, Lagergren J. Maintenance therapy with proton pump inhibitors and risk of gastric cancer: a nationwide population-based cohort study in Sweden. BMJ Open. 2017;7(10):e017739. doi: 10.1136/bmjopen-2017-017739.
- Seo SI, Park CH, You SC, Kim JY, Lee KJ, Kim J, Kim Y, Yoo JJ, Seo WW, Lee HS, Shin WG. Association between proton pump inhibitor use and gastric cancer: a population-based cohort study using two different types of nationwide databases in Korea. Gut. 2021;70(11):2066–2075. doi: 10.1136/gutjnl-2020-323845.
- Waldum HL, Sørdal Ø, Fossmark R. Proton pump inhibitors (PPIs) may cause gastric cancer – clinical consequences. Scand J Gastroenterol. 2018;53(6):639–642. doi: 10.1080/00365521.2018.1450442.
- Kim S, Jeong S, Park SJ, Chang J, Choi S, Cho Y, Ahn JC, Lee G, Son JS, Park SM. Association between proton pump inhibitor use and risk of hepatocellular carcinoma: A Korean nationally representative cohort study. J Clin Med. 2022;11(10):2865. doi: 10.3390/jcm11102865.
- Abrahami D, McDonald EG, Schnitzer ME, Barkun AN, Suissa S, Azoulay L. Proton pump inhibitors and risk of colorectal cancer. Gut. 2022;71(1):111–118. doi: 10.1136/gutjnl-2021-325096.
- Hwang IC, Chang J, Park SM. Association between proton pump inhibitor use and the risk of pancreatic cancer: A Korean nationwide cohort study. PLoS One. 2018;13(9):e0203918. doi: 10.1371/journal.pone.0203918.
- Leonard J, Marshall JK, Moayyedi P. Systematic review of the risk of enteric infection in patients taking acid suppression. Am J Gastroenterol. 2007;102(9):2047–2056. doi: 10.1111/j.1572-0241.2007.01275.x.
- Хомерики СГ. Стандартная антихеликобактерная терапия приводит к активизации транзиторной грибковой флоры в желудочной слизи. Экспериментальная и клиническая гастроэнтерология. 2014;(5):16–20.
- Imhann F, Bonder MJ, Vich Vila A, Fu J, Mujagic Z, Vork L, Tigchelaar EF, Jankipersadsing SA, Cenit MC, Harmsen HJ, Dijkstra G, Franke L, Xavier RJ, Jonkers D, Wijmenga C, Weersma RK, Zhernakova A. Proton pump inhibitors affect the gut microbiome. Gut. 2016;65(5):740–748. doi: 10.1136/gutjnl-2015-310376.
- Sanduleanu S, Jonkers D, De Bruine A, Hameeteman W, Stockbrügger RW. Non-Helicobacter pylori bacterial flora during acid-suppressive therapy: differential findings in gastric juice and gastric mucosa. Aliment Pharmacol Ther. 2001;15(3):379–388. doi: 10.1046/j.1365-2036.2001.00888.x.
- Wetzel D, McBride SM. The impact of pH on Clostridioides difficile sporulation and physiology. Appl Environ Microbiol. 2020;86(4):e02706–e02719. doi: 10.1128/AEM.02706-19.
- Tawam D, Baladi M, Jungsuwadee P, Earl G, Han J. The positive association between proton pump inhibitors and Clostridium Difficile infection. Innov Pharm. 2021;12(1):10.24926/iip.v12i1.3439. doi: 10.24926/iip.v12i1.3439.
- Al-Aly Z, Maddukuri G, Xie Y. Proton pump inhibitors and the kidney: Implications of current evidence for clinical practice and when and how to deprescribe. Am J Kidney Dis. 2020;75(4):497–507. doi: 10.1053/j.ajkd.2019.07.012.
- Yuan J, He Q, Nguyen LH, Wong MCS, Huang J, Yu Y, Xia B, Tang Y, He Y, Zhang C. Regular use of proton pump inhibitors and risk of type 2 diabetes: results from three prospective cohort studies. Gut. 2021;70(6):1070–1077. doi: 10.1136/gutjnl-2020-322557.
- Yuan J, Zhang C, Sparks JA, Malspeis S, Tsoi KK, Kim JH, Fisher BA, Gao F, Sumerlin T, Liu Y, Liu Y, Pan Y, He Y, Sung JJY. Regular use of proton pump inhibitor and risk of rheumatoid arthritis in women: a prospective cohort study. Aliment Pharmacol Ther. 2020;52(3):449–458. doi: 10.1111/apt.15834.
- Ogawa R, Echizen H. Drug-drug interaction profiles of proton pump inhibitors. Clin Pharmacokinet. 2010;49(8):509–533. doi: 10.2165/11531320-000000000-00000.
- Hu W, Tong J, Kuang X, Chen W, Liu Z. Influence of proton pump inhibitors on clinical outcomes in coronary heart disease patients receiving aspirin and clopidogrel: A meta-analysis. Medicine (Baltimore). 2018;97(3):e9638. doi: 10.1097/MD.0000000000009638.
- Malfertheiner P, Megraud F, Rokkas T, Gisbert JP, Liou JM, Schulz C, Gasbarrini A, Hunt RH, Leja M, O'Morain C, Rugge M, Suerbaum S, Tilg H, Sugano K, El-Omar EM; European Helicobacter and Microbiota Study group. Management of Helicobacter pylori infection: the Maastricht VI/Florence consensus report. Gut. 2022:gutjnl-2022-327745. doi: 10.1136/gutjnl-2022-327745.
- Страчунский ЛС, Козлов СН. Нестероидные противовоспалительные средства: Методическое пособие. Смоленск: Смоленская государственная медицинская академия; 2008. 54 с.
- Lanza FL, Chan FK, Quigley EM; Practice Parameters Committee of the American College of Gastroenterology. Guidelines for prevention of NSAID-related ulcer complications. Am J Gastroenterol. 2009;104(3):728–738. doi: 10.1038/ajg.2009.115.
- Lahner E, Carabotti M, Annibale B. Treatment of Helicobacter pylori infection in atrophic gastritis. World J Gastroenterol. 2018;24(22):2373–2380. doi: 10.3748/wjg.v24.i22.2373.
- Лазебник ЛБ, Ткаченко ЕИ, Абдулганиева ДИ, Абдулхаков РА, Абдулхаков СР, Авалуева ЕБ, Ардатская МД, Ахмедов ВА, Бордин ДС, Бурков СГ, Бутов МА, Голованова ЕВ, Голофеевский ВЮ, Гриневич ВБ, Джулай ГС, Добрица ВП, Еремина ЕЮ, Жигалова ТН, Иваников ИО, Исаков ВА, Казюлин АН, Калинин АВ, Козлова ИВ, Комиссаренко ИА, Корниенко ЕА, Корочанская НВ, Курилович СА, Кучерявый ЮА, Ли ЕД, Ли ИА, Левченко СВ, Ливзан МА, Логинов АФ, Лоранская ИД, Маев ИВ, Максимов ВА, Миллер ДА, Минушкин ОН, Низов АА, Орешко ЛС, Осипенко МФ, Пальцев АИ, Пасечников ВД, Радченко ВГ, Рустамов МН, Саблин ОА, Сагынбаева ВЭ, Сайфутдинов РГ, Самсонов АА, Сарсенбаева АС, Селиверстов ПВ, Симаненков ВИ, Ситкин СИ, Старостин БД, Суворов АН, Тарасова ЛВ, Ткачев АВ, Успенский ЮП, Хлынова ОВ, Хомерики НМ, Хомерики СГ, Цуканов ВВ, Чернин ВВ, Чернышев АЛ, Шархун ОО, Щербаков ПЛ, Яковенко ЭП. VI Национальные рекомендации по диагностике и лечению кислотозависимых и ассоциированных с Helicobacter Pylori заболеваний (VI Московские соглашения). Экспериментальная и клиническая гастроэнтерология. 2017;(2):3–21.
- Ивашкин ВТ, Маев ИВ, Лапина ТЛ, Шептулин АА, Трухманов АС, Баранская ЕК, Абдулхаков РА, Алексеева ОП, Алексеенко СА, Дехнич НН, Козлов РС, Кляритская ИЛ, Корочанская НВ, Курилович СА, Осипенко МФ, Симаненков ВИ, Ткачев АВ, Хлынов ИБ, Цуканов ВВ. Клинические рекомендации Российской гастроэнтерологической ассоциации по диагностике и лечению инфекции Helicobacter pylori у взрослых. Российский журнал гастроэнтерологии, гепатологии, колопроктологии. 2018;28(1):55–70. doi: 10.22416/1382-4376-2018-28-1-55-70.
- Dore MP, Lu H, Graham DY. Role of bismuth in improving Helicobacter pylori eradication with triple therapy. Gut. 2016;65(5):870–878. doi: 10.1136/gutjnl-2015-311019.
- Wang Y, Hu L, Xu F, Quan Q, Lai YT, Xia W, Yang Y, Chang YY, Yang X, Chai Z, Wang J, Chu IK, Li H, Sun H. Integrative approach for the analysis of the proteome-wide response to bismuth drugs in Helicobacter pylori. Chem Sci. 2017;8(6):4626–4633. doi: 10.1039/c7sc00766c.
- Erenburg SB, Trubina SV, Yukhin YM, Sharafutdinov MR. Structural characteristics of amorphous K-Bi citrate (De-Nol) and its aqueous solutions from EXAFS spectra. J Inorg Biochem. 2017;166:94–99. doi: 10.1016/j.jinorgbio.2016.11.001.
- Хомерики НМ, Морозов ИА. Особенности цитопротекции в желудке и некоторые аспекты фармакологического действия препаратов висмута. Медицинский Совет. 2017;(11):112–119. doi: 10.21518/2079-701X-2017-11-112-119.
- Farrell B, Pottie K, Thompson W, Boghossian T, Pizzola L, Rashid FJ, Rojas-Fernandez C, Walsh K, Welch V, Moayyedi P. Deprescribing proton pump inhibitors: Evidence-based clinical practice guideline. Can Fam Physician. 2017;63(5):354–364.
- Ткачева ОН, Остроумова ОД, Котовская ЮВ, Переверзев АП, Краснов ГС. Депрескрайбинг ингибиторов протонной помпы у пациентов пожилого и старческого возраста. Клиническая Фармакология и Терапия. 2019;28(1):70–74. doi: 10.32756/0869-5490-2019-1-70-74.
- Ивашкин ВТ, Маев ВИ, Трухманов АС, Баранская ЕК, Дронова ОБ, Зайратьянц ОВ, Сайфутдинов РГ, Шептулин АА, Лапина ТЛ, Пирогов СС, Кучерявый ЮА, Сторонова ОА, Андреев ДН. Клинические рекомендации Российской гастроэнтерологической ассоциации по диагностике и лечению гастроэзофагеальной рефлюксной болезни. Российский журнал гастроэнтерологии, гепатологии, колопроктологии. 2017;27(4):75–95. doi: 10.22416/1382-4376-2017-27-4-75-95.
Дополнительные файлы










