Identification of Reed-Berezovsky-Sternberg cells in lymphatic nodes in classic Hodgkin's lymphoma by flow cytometry: a clinical case series
- Authors: Abbasbeyli F.М.1, Fedenko A.A.1,2, Zeynalova P.A.1, Mushkarina Т.Y.3, Melnikova A.A.3, Grivtsova L.Y.3
-
Affiliations:
- Clinical Hospital “Lapino-1” (ООО “Khaven”)
- P.A. Hertsen Moscow Oncology Research Center – Branch of the National Medical Research Center of Radiology
- A. Tsyb Medical Radiological Research Centre – branch of the National Medical Research Radiological Centre
- Issue: Vol 51, No 2 (2023)
- Pages: 134-142
- Section: CLINICAL CASES
- URL: https://medbiosci.ru/2072-0505/article/view/149010
- DOI: https://doi.org/10.18786/2072-0505-2023-51-015
- ID: 149010
Cite item
Full Text
Abstract
Despite their B cell origin, Reed-Berezovsky-Sternberg tumor cells (RBS) in classic Hodgkin's lymphoma (cHL) demonstrate an absolutely unique phenotype. Immunohistochemistry of RBS cells is positive for CD15 antigen in most of cases, CD30, PAX-5; they do not express the T cell antigen CD3, В cell CD19, and in most cases are negative for the B cell antigen CD20, as well as for common leukocyte antigen CD45. Taking into account such unequivocal immunophenotype, RBS cells can be identified by multiparameter flow cytometry. Thus, J.R. Fromm et al. (2006, 2014) have convincingly shown the possibility to identify RBS cells in a puncture and/or biopsy sample of lymphatic nodes in cHL and were of the fair opinion that such rather simple and reproducible technique as flow cytometry could be an additional diagnostic instrument in cHL.
We have tested the technique proposed by J.R. Fromm et al. for the assessment of lymphatic node involvement in cHL and used 8 to 10-parameter flow cytometry for detection RBS cells in cHL in 8 biopsy samples of a lymphatic node, and confirmed the feasibility to identify RBS cells by high performance flow cytometry. We also performed morphological and immunohistochemical assessment of the biopsy samples of lymphatic nodes from patients with suspected cHL. The study included clinical cases with immunohistochemically confirmed cHL (n = 8), and the control samples were from those with other diagnoses than Hodgkin's lymphoma. In all cases of cHL we found RBS cells. In future we plan to analyze larger case samples by flow cytometry.
Full Text
Проточная цитометрия стандартно используется при диагностике острых лейкозов и лейкемизированных лимфом и зачастую служит единственным методом оценки минимальной остаточной болезни (МОБ) при таких заболеваниях, как множественная миелома, хронический лимфолейкоз, острые лимфобластные и миелоидные лейкозы [1–3]. Особенно важным представляется то, что проточная цитометрия – метод, позволяющий очень четко выявлять и характеризовать малые клеточные популяции на основании особенностей их иммунофенотипа, даже если эти клетки единичны среди клеток микроокружения [4–5]. Подобная ситуация наблюдается в лимфатических узлах при классической лимфоме Ходжкина, вариант нодулярного склероза (кЛХНС). С приходом в клиническую практику проточной цитометрии высокого разрешения трудности в выявлении и характеристике единичных опухолевых клеток Березовского – Рид – Штернберга (БРШ) среди опухолевого микроокружения, богатого Т-клетками, В-клетками, эозинофилами, гистиоцитами и плазматическими клетками, были преодолены.
В отдельных исследованиях предпринимались попытки идентифицировать клетки БРШ с помощью проточной цитометрии в аспирационном или биопсийном материале лимфатического узла с целью подтверждения или дополнения иммуногистохимического ИГХ окрашивания при диагностике ЛХ [6–8].
Современные исследования в этой области сосредоточены на определении отличий иммунофенотипа клеток БРШ от воспалительного фона и на характеристике клеток опухолевого микроокружения как возможного биомаркера. На первом этапе отработки метода проточной цитометрии для идентификации клеток БРШ был использован прием с применением блокирующих антител к молекулам клеточной адгезии опухолевого микроокружения [6]. Однако далее было показано, что нет необходимости блокировать розеткообразование Т-клеток в случае применения проточной цитометрии высокого разрешения с одновременной оценкой на клетках образца 9 специфических параметров (оценка экспрессии на мембране антигенов CD5, CD15, CD20, CD30, CD40, CD45, CD64, CD71 и CD95). Такой подход позволил установить важные для выявления клеток БРШ антигены и несколько упростить протокол диагностики [6, 8–10].
Принципиальными оказались комбинации антигенов CD30 и CD64, CD95 и CD40, экспрессия антигена Т-клеток CD3 относительно параметра бокового светорассеяния SSC (англ. side scatter, неспецифическая характеристика в проточной цитометрии, отражающая степень гранулированности клетки, тип ее ядра), а также CD20 и CD40. Авторам исследования [7] удалось установить, что клетки БРШ без использования антител для блокировки розеткообразования Т-клеток имеют следующие характеристики: повышенное боковое (SSC) и прямое (FSC, англ. forward scatter, второй неспецифический параметр проточной цитометрии, отражающий размер клеток) рассеяние, то есть являются более гранулированными и имеют больший размер по сравнению с нормальными лимфоцитами, гетерогенны по экспрессии обще-лейкоцитарного антигена CD45 (частично из-за связанных Т-клеток), в основном отрицательны в отношении антигена В-клеток CD20, также отрицательны в отношении моноцитарного антигена CD64, могут быть положительными для антигена Т-клеток CD3 (из-за связанных Т-клеток) и всегда позитивны по экспрессии маркеров CD30, CD40 и CD95 [9]. Такие важные наблюдения позволяют напрямую реализовать метод проточной цитометрии в клинической практике для выявления клеток БРШ.
Материал и методы
Мы апробировали метод проточной цитометрии для выявления клеток БРШ в ткани лимфатических узлов у 8 пациентов с диагнозом кЛХ. За основу нами был принят 9-параметровый протокол, учитывающий данные, представленные зарубежными коллегами [6–8]. Принимая во внимание однозначность методики, подтвержденную методом клеточного сортинга и последующей морфологической верификацией клеток БРШ, клеточный сортинг мы не проводили [6, 11].
В исследовании анализировался биопсийный материал лимфатических узлов пациентов с подозрением на ЛХ, проходивших диагностику и лечение в 2021–2022 гг. в клиническом госпитале «Лапино», параллельно этот же материал оценивался морфологически и иммуногистохимически. В исследование включен материал 11 пациентов. У 8 пациентов был подтвержден диагноз кЛХНС.
У 2 пациентов данные ИГХ выявили В-клеточную неходжкинскую лимфому (фолликулярная лимфома Grade 1–2 c фолликулярным характером роста и мантийноклеточная лимфома), у одного пациента установлена неорганная забрюшинная саркома, T2N1M1).
Все пациенты, биопсийный материал которых был включен в исследование, подписали информированное согласие на использование результатов исследования биоматериала в научных целях.
В основной анализ включены случаи с подтвержденным диагнозом ЛХНС (8 человек). Случаи, в которых ИГХ исследование не подтвердило диагноз ЛХ (3 случая), были использованы нами в качестве образцов сравнения для оценки эффективности и специфичности методики выявления клеток БРШ (табл. 1).
Таблица 1. Характеристика пациентов
№ п/п | Возраст, годы | Пол | Диагноз |
1 | 32 | ж | Классическая лимфома Ходжкина, вариант NSI |
2 | 42 | м | Классическая лимфома Ходжкина, вариант NSII |
3 | 62 | ж | Классическая лимфома Ходжкина, вариант NSI |
4 | 40 | м | Классическая лимфома Ходжкина, вариант NSII |
5 | 37 | ж | Классическая лимфома Ходжкина, вариант NSII |
6 | 46 | м | Классическая лимфома Ходжкина, вариант NSII |
7 | 33 | м | Классическая лимфома Ходжкина, вариант NSII |
8 | 29 | ж | Классическая лимфома Ходжкина, вариант NSII |
9 | 58 | м | Фолликулярная лимфома Grade 1–2 (фолликулярный тип роста) |
10 | 31 | ж | Мантийно-клеточная лимфома стадии IIIA |
11 | 18 | м | Неорганная саркома забрюшинного пространства T2N1M1 |
NS – нодулярный склероз (англ. nodular sclerosis), ж – женщины, м – мужчины
Средний возраст пациентов с ЛХ составил 40,1 года, по гендерному признаку пациенты имели распределение 1:1 (4 женщины и 4 мужчин).
Иммунологическое выявление клеток БРШ проводилось в отделении клинической иммунологии Медицинского радиологического научного центра им. А.Ф. Цыба. Методика проточно-цитометрического выявления клеток БРШ заключалась в последовательных этапах пробоподготовки и окраски субстрата прямыми флуорохромами моноклональных антител к антигенам, которые, согласно зарубежному протоколу, полезны для выявления клеток БРШ. На преаналитическом этапе из ткани лимфатического узла приготавливалась клеточная суспензия посредством аккуратного механического растирания ткани в буферном растворе. С полученными клетками проводилась прямая реакция иммунофлуоресценции согласно стандартной методике. При этом клетки окрашивались одномоментно моноклональными антителами к 9 антигенам, аналогично протоколу J.R. Fromm и соавт. [8]. Вместе с тем все принципиальные маркеры были объединены в одну пробу, что унифицировало анализ и позволяло анализировать большее количество клеток одновременно. Диагностическая проба представлена в табл. 2.
Таблица 2. Панель прямых флуорохромных конъюгатов моноклональных антител для выявления клеток Березовского – Рид – Штернберга
Проба/флуорохром | 1 | 2 | 3 | 4 | 5 | 6 | 7 | 8 | 9 |
FITC | PE | Pe-cy5 | PE-cy7 | AF-700 | APC-cy7 | Bv 605 | Bv 711 | Bv 786 | |
Моноклональные антитела | CD40 | CD95 | CD45 | CD15 | CD64 | CD19 | CD30 | CD20 | CD3 |
После окрашивания моноклональными антителами проба анализировалась на проточном цитометре FACS Aria. Проводился одновременный анализ не менее 10 000 000 клеток пробы.
Аналитический этап проводился с применением программного обеспечения Kaluza Analysis 2.2 в соответствии с последовательным алгоритмом гейтирования (точного выбора анализируемой клеточной популяции), предложенного в протоколе J.R. Fromm и соавт.
Результаты
Нами проанализированы возможности проточной цитометрии в отношении выявления клеток БРШ в биоптатах лимфатических узлов у 8 пациентов с подтвержденным методом ИГХ диагнозом кЛХНС, при этом у 6 пациентов из 8 вариант расценен как NSII, а у 2 – как NSI.
Для выявления клеток БРШ мы применяли алгоритм последовательного гейтирования (выбора целевой анализируемой популяции) с целью аккуратного и более точного определения опухолевой популяции. Данный алгоритм представлен на рис. 1. При этом на первом этапе (рис. 1А), согласно иммунофенотипическим характеристикам клеток БРШ, определяются CD-45-негативные клетки образца. Далее в пределах этих клеток оцениваются все CD30+ клетки образца (рис. 1Б). Следующий этап – исключение из анализа примеси миело-моноцитарных клеток, которые могут экспрессировать CD30 (для этой цели был предложен антиген CD64). В дальнейший анализ включаются клетки, попавшие в область С и представляющие собой CD30++CD64- клеточную популяцию (рис. 1В). Затем в пределах популяции CD30++CD64- исключается возможная примесь клеток по экспрессии пан-В-клеточных антигенов CD19 и CD20 (рис. 1Г). Далее среди CD30++CD64-CD19- клеток на основании характеристик светорассеяния FSC/SSC в анализ включаются только крупные клетки (высокий FSC) со средними и высокими показателями бокового светорассеяния SSC (рис. 1Д), после чего происходит учет CD95+CD40+ клеток, что по совокупности всех шагов определяет искомую популяцию клеток БРШ с иммунофенотипом CD45-CD30++CD64-CD19-CD95+CD40+, которая в данном случае составила 145 на 10 000 000 проанализированных клеток полученной нами суспензии клеток лимфатического узла. Наконец, на завершающем этапе в пределах указанной выше популяции учитываются CD15+ клетки (рис. 1Ж), составляющие подавляющее большинство среди CD45-CD30++CD64-CD19-CD95+CD40+ клеток. Таким образом, суммарное количество клеток БРШ с иммунофенотипом CD45-CD30++CD64-CD19-CD95+CD40+CD15+ составило 123 на 10 000 000 проанализированных клеток полученной нами суспензии клеток лимфатического узла. Данный случай продемонстрировал наибольшее количество клеток БРШ, выявленное нами в анализируемой группе образцов ЛХ.
Рис. 1. Алгоритм проточно-цитометрического выявления клеток Березовского – Рид – Штернберга (БРШ) в клеточной суспензии биоптата лимфатического узла: А – выделение CD45-негативных клеток среди всех клеток анализируемого образца; Б – выявление CD30+ клеток в пределах только CD45-негативных клеток; В – выделение клеток с яркой экспрессией антигена CD30 и исключение из анализа других миело-моноцитарных клеток по экспрессии миело-моноцитарного антигена CD64; Г – исключение из популяции CD30++CD64- примеси В-клеток (СD19+CD20+) на основании экспрессии соответствующих антигенов; Д – исключение из анализа мелких клеток и клеток с низкими показателями бокового светорассеяния SSC (англ. side scatter); Е – выявление популяции клеток БРШ с иммунофенотипом CD30++CD64-CD19-CD95+CD40+ клеток; Ж – оценка количества клеток БРШ (123 клетки из 10 000 000 проанализированных клеток образца) с учетом экспрессии CD15
Следует отметить, что отдельные клетки БРШ данного образца обнаруживают экспрессию CD20 (рис. 1Г).
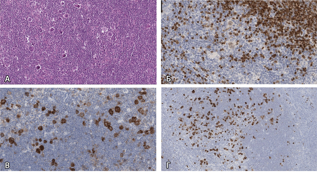
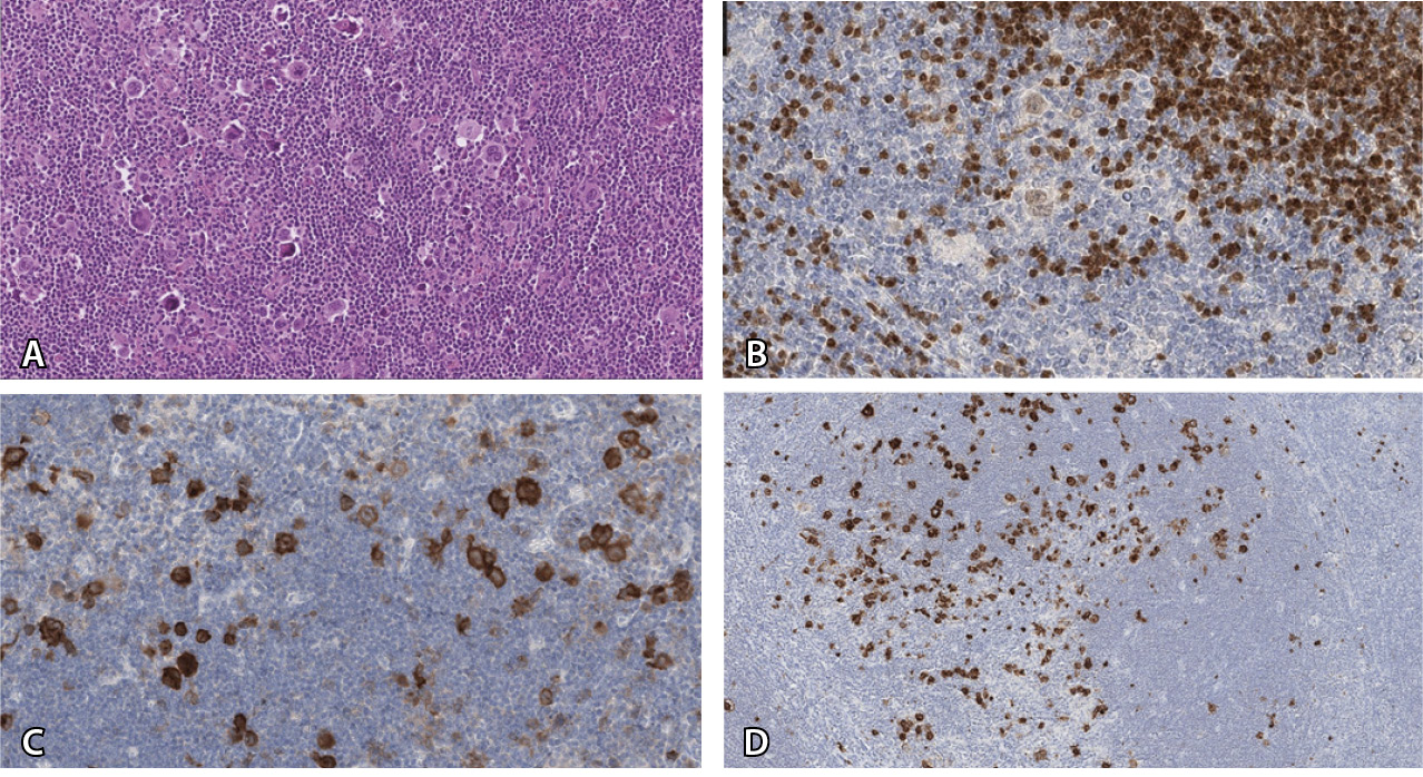
Иммуногистохимическое подтверждение наличия клеток БРШ в том же биоптате лимфатического узла, из которого выполнялось проточно-цитометрическое исследование, представлено на рис. 2, где отчетливо видно наличие крупных с типичной морфологией CD30+CD15+PAX5+ клеток БРШ.
Рис. 2. Иммуногистохимическое исследование. Лимфатический узел с фиброзными септами, ограничивающими нодулярные структуры из лимфоцитов, немногочисленных гистиоцитов и эозинофильных лейкоцитов, а также разрозненных крупных клеток, сходных с клетками Березовского – Рид – Штернберга (БРШ): А – многочисленные клетки БРШ с двумя или более ядер, эозинофильными ядрышками и широкой цитоплазмой. Обнаруживаются также клетки Ходжкина, являющиеся подвидом клеток БРШ, содержащие одно ядро с крупным ядрышком. Гематоксилин и эозин, × 200; Б – две крупные опухолевые клетки в центре изображения проявляют слабое ядерное окрашивание РАХ5 при сильной ядерной экспрессии в фоновых малых В-лимфоцитах, × 400; В – выраженная мембранно-цитоплазматическая экспрессия клетками БРШ, в том числе и в комплексе Гольджи, × 400; Г – выраженная экспрессия опухолевыми клетками CD15, × 200; CD30 – позитивная (выраженная мембранная и очаговая цитоплазматическая экспрессия в крупных клетках); CD15 – позитивная (выраженная мембранная и очаговая цитоплазматическая экспрессия в крупных клетках); PAX5 – позитивная (слабовыраженная ядерная экспрессия в крупных клетках); MUM1 – позитивная (выраженная ядерная экспрессия в крупных клетках); CD3 – негативная; CD45 – негативная
Применение указанного протокола позволило нам выявить популяцию клеток БРШ в разном количестве во всех анализируемых образцах с диагнозом ЛХНС, а также установить вариабельность клеток БРШ в отношении экспрессии антигенов CD15 и СD20.
В образцах группы сравнения похожей популяции CD45-CD30++CD64-CD19-CD95+CD40+CD15+ клеток нами не выявлено. Так, на рис. 3 представлен пример анализа клеток биоптата лимфатического узла пациента с внеорганной забрюшинной саркомой. Согласно описанному выше алгоритму при оценке CD45-негативных клеток образца (рис. 3А) выявлены СD30+ клетки (рис. 3Б). В пределах CD30+ клеток выделена популяция CD64-негативных клеток (рис. 3В), но дальнейший анализ показал отсутствие среди данной популяции CD95+CD40+ клеток (рис. 3Г), что подтверждает правомочность описанного алгоритма в отношении выявления клеток БРШ в лимфатических узлах при кЛХ.
Рис. 3. Оценка иммунофенотипа клеток биоптата лимфатического узла пациента с забрюшинной внеорганной саркомой: А – выделение CD45-негативных клеток; Б – выделение области CD30+ клеток в пределах CD45-негативных клеток; В – ограничение области анализа популяций CD30+CD64-; Г – исключение из анализа В-клеток на основании экспрессии CD19- и CD20-антигенов; Д – оценка количества CD95+CD40+ клеток среди CD45-CD30+CD19-CD64- популяции, количество искомых клеток составило 0. Клеток с фенотипом Березовского – Рид – Штернберга не выявлено
Результаты проведенного исследования иммунофенотипических особенностей и количества клеток БРШ в лимфатических узлах при кЛХ суммированы в табл. 3.
Таблица 3. Количество и иммунофенотип клеток Березовского – Рид – Штернберга в анализируемых образцах
№ п/п | Количество клеток | Иммунофенотип клеток |
1 | 70 | CD45-CD30++CD64-CD19-CD95+CD40+CD15+ |
2 | 123 | CD45-CD30++CD64-CD19-CD95+CD40+CD15lowСD20+/- |
3 | 65 | CD45-CD30++CD64-CD19-CD95+CD40+CD15+ |
4 | 86 | CD45-CD30++CD64-CD19-CD95+CD40+CD15lowСD20+/- |
5 | 97 | CD45-CD30++CD64-CD19-CD95+CD40+CD15lowСD20+/- |
6 | 106 | CD45-CD30++CD64-CD19-CD95+CD40+CD15lowСD20+/- |
7 | 93 | CD45-CD30++CD64-CD19-CD95+CD40+CD15+ |
8 | 89 | CD45-CD30++CD64-CD19-CD95+CD40+CD15+ |
9 | 0 | Не выявлено |
10 | 0 | Не выявлено |
11 | 0 | Не выявлено |
Обсуждение
Применение данного алгоритма проточно-цитометрической детекции клеток БРШ и применение проточной цитометрии высокого разрешения дает возможность легко исключить другие заболевания, которые морфологически имитируют кЛХ, например, анапластическую крупноклеточную В-клеточную лимфому или В-клеточную крупноклеточную лимфому, богатую Т-клетками и гистиоцитами [11].
CD30-позитивная Т-клеточная лимфома / анапластическая крупноклеточная лимфома может быть исключена на основании того, что опухолевые клетки этой лимфомы имеют более низкие характеристики SSC в сравнении с клетками БРШ, а также более яркую экспрессию CD45, CD5, CD95 и вариабельную экспрессию CD30 и CD71 в отсутствие CD20 [12, 13]. Диффузная В-клеточная крупноклеточная лимфома может быть исключена из-за отсутствия CD30, яркой экспрессии CD20 и более низких показателей SSC, а также наличия клональных цепей иммуноглобулинов. Опухолевый субстрат метастатической мелкоклеточной карциномы при схожести показателей SSC и FSC отличает от клеток БРШ негативность в отношении антигенов CD30 и CD40. Кроме того, опухоль демонстрирует полное отсутствие CD45 при проточной цитометрии, что нетипично для клеток БРШ, где наблюдается слабая экспрессия обще-лейкоцитарного антигена CD45.
Как показывают наши наблюдения, саркому отличает от кЛХ отсутствие экспрессии на CD30+ клетках антигенов CD40 и CD95 (см. рис. 3).
Вариант ЛХ с нодулярным лимфоидным преобладанием (ЛП) не может быть установлен с применением описанной выше методики, однако подтверждение данного диагноза с применением проточной цитометрии все-таки возможно. Так, установлено, что ЛП-клетки положительны на CD20 и отрицательны на CD15 и CD30. Воспалительный фон при нодулярном ЛП (НЛП) представлен CD4-позитивными/CD57-позитивными Т-клетками [14].
Как уже описано выше, В-клеточная лимфома, богатая Т-клетками, может быть определена по яркой и мономорфной экспрессии CD20 в крупных опухолевых клетках. Опухолевые клетки этой лимфомы также экспрессируют другие В-клеточные маркеры, включая белок 6 В-клеточной лимфомы (BCL-6), и не экспрессируют CD15 и CD30, что четко исключает диагноз ЛХ в этом случае. Опухолевое микроокружение данной лимфомы гетерогенно и представлено различными субпопуляциями Т-клеток [14].
Реактивная гиперплазия лимфатических узлов при оценке методом проточной цитометрии может быть исключена на основании сохранения гистологической структуры, присутствия лимфоцитов с нормальным неизмененным иммунофенотипом и отсутствия крупных CD30+CD15+ клеток.
Недавно предложен метод надежного выявления ЛП опухолевых клеток с применением многопараметровой проточной цитометрии [11]. Подход к идентификации ЛП-клеток аналогичен подходу к иммунофенотипированию клеток Ходжкина при кЛХ. Авторами использована комбинация антигенов CD20, CD38, CD40, CD54, CD71, а также CD32 и CD71 для идентификации ЛП-клеток. Для исключения неопухолевых клеток применена комбинация антигенов CD5, CD10 и CD64. Для оценки образования розеток применяется сочетание антигенов CD5 и CD45. Параллельно оценивается содержание ДНК (с использованием ДНК-связывающего красителя DAPI) и ядерная экспрессия антигена BCL-6. Подобно иммунофенотипу, описанному при ИГХ, методом проточной цитометрии было показано, что ЛП-клетки демонстрируют рестрикцию поверхностных легких цепей иммуноглобулинов. Экспрессия В-клеточных антигенов CD19 и CD20 в данном случае сопоставима с реактивными В-клетками, также наблюдалась яркая экспрессия CD40 и BCL-6. ЛП-клетки не экспрессируют CD5, CD10, CD15, CD30 или CD64.
Такой подход обеспечил выявление опухолевых клеток с высокой чувствительностью и специфичностью, и популяция ЛП-клеток была выявлена во всех оцененных случаях ЛХНЛП (100% чувствительность). Данное исследование подтвердило, что ЛП-клетки взаимодействуют с Т-клетками с меньшей авидностью, чем клетки БРШ, а молекулы адгезии CD50 и CD54, вероятно, опосредуют это взаимодействие. Дополнительно установлено, что ЛП-клетки практически не экспрессируют лиганды программируемой клеточной гибели PD-L1 или PD-L2 [11].
Кроме того, проточная цитометрия – удобный метод для характеристики опухолевого микроокружения, что может оказаться полезным в плане выявления дополнительных прогностических биомаркеров. Так, например, при сопоставлении иммунофенотипа воспалительного фона при ЛХ и реактивной лимфоидной гиперплазии обнаружены существенные различия между ними – при ЛХ наблюдается уменьшение В-клеток, увеличение CD4-позитивных Т-клеток и CD25-позитивных T-регуляторных клеток по сравнению с реактивной гиперплазией [11, 14].
Установлены и некоторые особенности реактивного микроокружения при различных подтипах ЛХ. В частности, соотношение Т- и В-клеток самое высокое в подтипах ЛХНС и ЛХДЛ и самое низкое в случае смешанно-клеточного варианта ЛХ. При сравнении иммунофенотипа Т-клеток в реактивных лимфатических узлах с ЛХ показано, что соотношение CD4:CD8 в случае ЛХ выше, чем при гиперплазии, и при этом CD4+ Т-клетки ЛХ показывают более яркую экспрессию CD7 (CD7++). Данный признак различался и в подтипах ЛХ – ЛХНС характеризует более высокое соотношение CD4:CD8 и присутствие популяции CD4+CD7++. Смешанно-клеточный вариант ЛХ по данной характеристике оказался схожим с реактивной гиперплазией. Т-клетки микроокружения ЛХНЛП демонстрировали более слабую экспрессию CD7 по сравнению с кЛХ и реактивной гиперплазией [15, 16].
Заключение
Метод многопараметровой проточной цитометрии высокого разрешения может быть использован для выявления клеток БРШ в биоптатах, а при определенном навыке – и в пунктатах лимфатических узлов для подтверждения диагноза кЛХ. Во всех исследованных нами случаях ЛХ мы выявили клетки БРШ, тогда как в материале группы сравнения клеток с иммунофенотипом CD45-CD30++CD64-CD19-CD95+CD40+CD15+ выявлено не было, что подтверждает правомочность используемого аналитического алгоритма. Использование данного алгоритма в работах J.R. Fromm и соавт. [6, 7] с дальнейшим сортингом и морфологической характеристикой данной популяции подтвердило специфичность представленной методики. Вместе с тем для дальнейшего клинического применения метода необходимо проведение анализа большего количества случаев.
Дополнительная информация
Финансирование
Работа проведена без привлечения дополнительного финансирования со стороны третьих лиц.
Конфликт интересов
Авторы декларируют отсутствие явных и потенциальных конфликтов интересов, связанных с публикацией настоящей статьи.
Участие авторов
Ф.М. Аббасбейли – анализ клинических данных, написание текста; А.А. Феденко – общее руководство исследованием в разделе клинических данных, корректировка данных, редактирование текста; П.А. Зейналова – общее руководство исследованием, корректировка данных, редактирование текста; Т.Ю. Мушкарина – выполнение проточно-цитометрических исследований, редактирование текста; А.А. Мельникова – выполнение преаналитического этапа работы, анализ данных проточной цитометрии, редактирование текста; Л.Ю. Гривцова – разработка дизайна исследования, анализ данных проточной цитометрии, общее руководство работой. Все авторы прочли и одобрили финальную версию статьи перед публикацией, согласны нести ответственность за все аспекты работы и гарантируют, что ими надлежащим образом были рассмотрены и решены вопросы, связанные с точностью и добросовестностью всех частей работы.
About the authors
Firuza М. Abbasbeyli
Clinical Hospital “Lapino-1” (ООО “Khaven”)
Author for correspondence.
Email: abbasbejli@mail.ru
ORCID iD: 0000-0002-2359-0547
Physician, Department of Oncohematology
Russian Federation, 1-е Uspenskoe shosse 111, Lapino, Moscow Region, 143081Alexandr A. Fedenko
Clinical Hospital “Lapino-1” (ООО “Khaven”); P.A. Hertsen Moscow Oncology Research Center – Branch of the National Medical Research Center of Radiology
Email: fedenko@eesg.ru
ORCID iD: 0000-0003-4927-5585
MD, PhD, Physician, Department of Oncohematology; Head of Department of Drug Treatment of Tumors
Russian Federation, 1-е Uspenskoe shosse 111, Lapino, Moscow Region, 143081; 2-y Botkinskiy proezd 3, Moscow, 125284Pervin A. Zeynalova
Clinical Hospital “Lapino-1” (ООО “Khaven”)
Email: zeynalova3@mail.ru
ORCID iD: 0000-0003-1564-424X
MD, PhD, Head of Department of Oncohematology
Russian Federation, 1-е Uspenskoe shosse 111, Lapino, Moscow Region, 143081Тatyana Y. Mushkarina
A. Tsyb Medical Radiological Research Centre – branch of the National Medical Research Radiological Centre
Email: jeweltany@gmail.ru
ORCID iD: 0000-0002-1266-1792
Research Fellow, Department of Clinical Immunology
Russian Federation, ul. Koroleva 4, Obninsk, Kaluzhskaya Region, 249036Anzhelika A. Melnikova
A. Tsyb Medical Radiological Research Centre – branch of the National Medical Research Radiological Centre
Email: angelik_melnikova@mail.ru
ORCID iD: 0000-0001-7229-2813
Research Fellow, Department of Clinical Immunology
Russian Federation, ul. Koroleva 4, Obninsk, Kaluzhskaya Region, 249036Lyudmila Y. Grivtsova
A. Tsyb Medical Radiological Research Centre – branch of the National Medical Research Radiological Centre
Email: grivtsova@mail.ru
ORCID iD: 0000-0001-9103-9688
Doctor of Biol. Sci., Head of Department of Clinical Immunology
Russian Federation, ul. Koroleva 4, Obninsk, Kaluzhskaya Region, 249036References
- Grivtsova LYu, Mushkarina TYu, Lunin VV, Zeynalova PA. [Flow cytometry in the diagnosis of plasma cell tumors and assessment of minimal residual disease]. Oncohematology. 2021;16(3):16–25. Russian. doi: 10.17650/1818-8346-2021-16-3-16-25.
- Chernysheva OA, Grivtsova LYu, Serebryakova IN, Kupryshina NA, Sholokhova EN, Shervashidze MA, Palladina AD, Kurdyukov BV, Popa AV, Tupitsyn NN. [Diagnosis of Acute Lymphoblastic Leukemia Originating From T-Lineage Precursors and Approaches to Minimal Residual Disease Monitoring]. Clinical Oncohematology. 2019;12(1):79–85. Russian. doi: 10.21320/2500-2139-2019-12-1-79-85.
- Grewal RK, Chetty M, Abayomi EA, Tomuleasa C, Fromm JR. Use of flow cytometry in the phenotypic diagnosis of hodgkin's lymphoma. Cytometry B Clin Cytom. 2019;96(2):116–127. doi: 10.1002/cyto.b.21724.
- Galtseva IV, Smirnova SY, Parovichnikova EN. [Methodological aspects of the detection of minimal residual disease in patients with acute leukemia]. Russian Journal of Hematology and Transfusiology. 2022;67(1):108–120. Russian. doi: 10.35754/0234-5730-2022-67-1-108-120.
- Galtseva IV, Davydova YO, Parovichnikova EN, Gavrilina OA, Troitskaya VV, Kapranov NM, Nikiforova KA, Isinova GA, Zarubina KI, Sokolov AN, Savchenko VG. [Minimal residual disease and b-cell subpopulation monitoring in acute b-lymphoblastic leukaemia patients treated on rall-2016 protocol]. Russian Journal of Hematology and Transfusiology. 2021;66(2):192–205. Russian. doi: 10.35754/0234-5730-2021-66-2-192-205.
- Fromm JR, Kussick SJ, Wood BL. Identification and purification of classical Hodgkin cells from lymph nodes by flow cytometry and flow cytometric cell sorting. Am J Clin Pathol. 2006;126(5):764–780. doi: 10.1309/7371-XK6F-6P74-74XX.
- Fromm JR, Thomas A, Wood BL. Flow cytometry can diagnose classical hodgkin lymphoma in lymph nodes with high sensitivity and specificity. Am J Clin Pathol. 2009;131(3):322–332. doi: 10.1309/AJCPW3UN9DYLDSPB.
- Fromm JR, Wood BL. A six-color flow cytometry assay for immunophenotyping classical Hodgkin lymphoma in lymph nodes. Am J Clin Pathol. 2014;141(3):388–396. doi: 10.1309/AJCP0Q1SVOXBHMAM.
- Wu D, Wood BL, Fromm JR. Flow cytometry for non-Hodgkin and classical Hodgkin lymphoma. Methods Mol Biol. 2013;971:27–47. doi: 10.1007/978-1-62703-269-8_2.
- Engert A, Plütschow A, Eich HT, Lohri A, Dörken B, Borchmann P, Berger B, Greil R, Willborn KC, Wilhelm M, Debus J, Eble MJ, Sökler M, Ho A, Rank A, Ganser A, Trümper L, Bokemeyer C, Kirchner H, Schubert J, Král Z, Fuchs M, Müller-Hermelink HK, Müller RP, Diehl V. Reduced treatment intensity in patients with early-stage Hodgkin's lymphoma. N Engl J Med. 2010;363(7):640–652. doi: 10.1056/NEJMoa1000067.
- Fromm JR, Thomas A, Wood BL. Characterization and Purification of Neoplastic Cells of Nodular Lymphocyte Predominant Hodgkin Lymphoma from Lymph Nodes by Flow Cytometry and Flow Cytometric Cell Sorting. Am J Pathol. 2017;187(2):304–317. doi: 10.1016/j.ajpath.2016.10.007.
- Jiang M, Bennani NN, Feldman AL. Lymphoma classification update: B-cell non-Hodgkin lymphomas. Expert Rev Hematol. 2017;10(5):405–415. doi: 10.1080/17474086.2017.1318053.
- Roshal M, Wood BL, Fromm JR. Flow cytometric detection of the classical hodgkin lymphoma: clinical and research applications. Adv Hematol. 2011;2011:387034. doi: 10.1155/2011/387034.
- Kelly KM, Sposto R, Hutchinson R, Massey V, McCarten K, Perkins S, Lones M, Villaluna D, Weiner M. BEACOPP chemotherapy is a highly effective regimen in children and adolescents with high-risk Hodgkin lymphoma: a report from the Children's Oncology Group. Blood. 2011;117(9):2596–2603. doi: 10.1182/blood-2010-05-285379.
- Bosler DS, Douglas-Nikitin VK, Harris VN, Smith MD. Detection of T-regulatory cells has a potential role in the diagnosis of classical Hodgkin lymphoma. Cytometry B Clin Cytom. 2008;74(4):227–235. doi: 10.1002/cyto.b.20407.
- Hudnall SD, Betancourt E, Barnhart E, Patel J. Comparative flow immunophenotypic features of the inflammatory infiltrates of Hodgkin lymphoma and lymphoid hyperplasia. Cytometry B Clin Cytom. 2008;74(1):1–8. doi: 10.1002/cyto.b.20376.
Supplementary files







