Ишемическое поражение слизистой оболочки толстой кишки как дебют артериита Такаясу у молодой пациентки: сложности дифференциальной диагностики
- Авторы: Ахмедова М.Э.1, Фадеева Н.А.1,2,3, Филина Д.С.1, Лоранская И.Д.3
-
Учреждения:
- ГБУЗ г. Москвы «Московский клинический научно-практический центр имени А.С. Логинова ДЗМ»
- ГБУ г. Москвы «Научно-исследовательский институт организации здравоохранения и медицинского менеджмента ДЗМ»
- ФГБОУ ДПО «Российская медицинская академия непрерывного профессионального образования» Минздрава России
- Выпуск: Том 51, № 6 (2023)
- Страницы: 355-364
- Раздел: КЛИНИЧЕСКИЕ НАБЛЮДЕНИЯ
- URL: https://medbiosci.ru/2072-0505/article/view/253982
- DOI: https://doi.org/10.18786/2072-0505-2023-51-038
- ID: 253982
Цитировать
Полный текст
Аннотация
Артериит Такаясу (АТ) – разновидность хронического васкулита крупных сосудов, при котором чаще всего поражаются аорта и ее основные ветви по типу деструктивно-продуктивного сегментарного аортита и субаортального панартериита, с возможной облитерацией их устий. Клиническая картина АТ различается в зависимости от характера и локализации патологического процесса.
Представляем клинический пример ишемического поражения слизистой оболочки толстой кишки при АТ у молодой женщины (21 год) после перенесенной новой коронавирусной инфекции (COVID-19). В связи с недостаточной эффективностью лечения на амбулаторном этапе язвенного колита, а также имеющимися жалобами, не укладывающимися в рамки диагноза «язвенный колит», пациентка была направлена на дообследование и коррекцию лечения в стационарных условиях. Учитывая диарейный синдром в дебюте заболевания, результаты илеоколоноскопии (эрозивное поражение прямой и толстой кишки), результаты гистологического исследования (диффузная лейкоцитарная инфильтрация слизистой оболочки, лимфоидная инфильтрация подслизистого слоя толстой кишки), повышение провоспалительных маркеров, вовлечение нижней брыжеечной артерии по данным ультразвуковой доплерографии, дифференциальный поиск проводился между оверлап-синдромом АТ с воспалительными заболеваниями кишечника и ишемическим колитом при АТ. Результаты проведенных исследований позволили исключить воспалительные заболевания кишечника, установить диагноз АТ и расценить изменения слизистой оболочки толстой кишки как ишемические на фоне основного заболевания.
Описанное клиническое наблюдение представляет собой редкий случай ишемии кишечника в качестве первого проявления АТ. Учитывая все большее распространение АТ в мире, особенно после пандемии новой коронавирусной инфекции, необходимо включать данную редкую причину желудочно-кишечного васкулита в дифференциальный диагностический поиск, так как брыжеечная ишемия – одна из основных причин смерти у пациентов с АТ.
Ключевые слова
Полный текст
Артериит Такаясу (АТ) – редкая разновидность хронического васкулита крупных сосудов, при котором чаще всего поражаются аорта и ее основные ветви по типу деструктивно-продуктивного сегментарного аортита и субаортального панартериита, с возможной облитерацией их устий [1]. Распространенность АТ составляет 1–2 на 1 млн населения в Японии [2, 3], 2,2 – в Кувейте [4], от 0,4 до 1,5 – в Европе [5–7], 2,6 на 1 млн населения в России [8].
Этиология заболевания точно не установлена, в качестве возможных причин рассматривается генетическая предрасположенность, инфекции (вирусы, туберкулез) [9]. АТ может иметь различные клинические проявления в зависимости от характера и локализации патологического процесса, что создает сложности при установке диагноза. В литературе редко сообщается об ишемии кишечника как о первом проявлении АТ [10].
Представляем клиническое наблюдение молодой пациентки, у которой АТ дебютировал именно симптомами брыжеечной ишемии через месяц после перенесенной новой коронавирусной инфекции (COVID-19).
Клиническое наблюдение
Пациентка М., 21 год, поступила в гастроэнтерологическое отделение ГБУЗ МКНЦ имени А. С. Логинова ДЗМ в марте 2022 г. с жалобами на неустойчивый стул – чередование кашицеобразного стула до 2 раз в сутки без видимых патологических примесей с запорами до 3–4 дней, вздутие живота, метеоризм, снижение массы тела на 13 кг в течение года, эпизодически – повышение температуры до 37,5 °C. Пациентка также отмечала общую слабость, учащенное сердцебиение, головокружения, обмороки, выпадение волос, аменорею.
Из анамнеза заболевания известно, что первые жалобы появились в январе 2021 г. после перенесенной коронавирусной инфекции, подтвержденной исследованием методом полимеразной цепной реакции (ПЦР) на SARS-CoV-2. Коронавирусную инфекцию перенесла в легкой форме, отмечала субфебрильную температуру, потерю обоняния, сухой кашель. Вирусная пневмония была исключена по данным проведенной компьютерной томографии (КТ) органов грудной клетки. При лечении самостоятельно применяла следующие препараты: азитромицин, интерферон альфа-2b человеческий рекомбинантный в назальной форме, умифеновир, бромгексин + гвайфенезин + сальбутамол. В апреле 2021 г. пациентка вновь перенесла коронавирусную инфекцию, подтвержденную ПЦР-исследованием на SARS-CoV-2. Из симптомов отмечала только извращение вкуса. Через месяц после первого эпизода перенесенной коронавирусной инфекции COVID-19 пациентка стала отмечать частый неоформленный стул до 10 раз в сутки с примесью слизи и крови, ложные позывы на дефекацию, выпадение волос. По лабораторным данным: Hb 80 г/л, тромбоциты 560 тыс., скорость оседания эритроцитов 120 мм/ч, С-реактивный белок 115 мг/л. По данным колоноскопии от марта 2021 г. – язвенный колит, тотальное поражение, выраженная активность (во всех отделах – множественные дефекты слизистой, различные по форме и размерам, местами сливные, слизь, гной). Биопсия не взята в связи с высоким риском перфорации и кровотечения. Установлен предварительный диагноз – язвенный колит, рекомендована колоноскопия с биопсией после стихания явлений активного воспалительного процесса. Назначено: месалазин 4 г в сутки, спазмолитики – с положительным эффектом, стул приобрел оформленный характер, видимых патологических примесей не отмечала. Самостоятельно отменила прием месалазина после улучшения самочувствия – без рецидива кишечных симптомов. Для коррекции железодефицитной анемии принимала препараты железа в таблетированной форме курсами без эффекта. В августе 2021 г. проведена контрольная колоноскопия: язвенный колит, фаза минимальной активности (слизистая гиперемирована на всем протяжении, сосудистый рисунок смазан; в сигмовидной кишке слизистая отечная с единичными эрозиями, контактно кровоточива). По данным гистологического исследования биопсийного материала слизистой толстой кишки – язвенный панколит.
В августе 2021 г. были исключены кишечные инфекции (сальмонеллез, иерсиниоз, шигеллез), глистные инвазии (описторхи, эхинококки, токсокары, трихинеллы, лямблии, аскариды). Пациентка консультирована различными специалистами. Консультация гематолога проводилась в связи с неподдающейся коррекции препаратами железа анемии; состояние расценивалось как анемия хронических заболеваний, тромбоцитоз на фоне язвенного колита. Консультирована дерматологом по поводу выпадения волос, заключение – гнездная алопеция. На фоне продолжающегося снижения массы тела появилась аменорея. Наблюдалась гинекологом, гинекологическая патология была исключена. Аменорея расценивалась как вторичная на фоне прогрессивного снижения веса.
В связи с недостаточной эффективностью амбулаторного лечения, сохраняющимися жалобами на вздутие живота, повышением температуры до субфебрильных цифр, кашицеобразный стул до 2–3 раз в сутки, слабость, снижение массы тела, анемическим синдромом пациентка направлена в гастроэнтерологическое отделение ГБУЗ МКНЦ имени А. С. Логинова ДЗМ для дообследования и решения вопроса о назначении генно-инженерной биологической терапии с диагнозом: язвенный колит, тотальное поражение, хроническое непрерывное течение, средней степени тяжести, умеренной активности. Железодефицитная анемия легкой степени.
Из анамнеза жизни известно, что наследственность не отягощена. Вредные привычки – курение, употребление алкоголя, наркотических препаратов – отрицает. Травмы, операции отрицает. Работает медицинской сестрой. Гинекологический анамнез: менструальный цикл нерегулярный (вторичная аменорея), ранее получала гормональную заместительную терапию, но лечение было отменено из-за плохой переносимости.
Объективно при осмотре: индекс массы тела – 21,2 кг/м2. Кожные покровы физиологической окраски. Температура тела 36,6 °C. Отеков нет. Очаги алопеции на коже головы. Периферические лимфоузлы не пальпируются. Тоны сердца приглушены, ритм правильный. Артериальное давление (АД) 105/74 мм рт. ст. Частота сердечных сокращений 103 уд/мин. Живот мягкий, умеренно вздут, чувствительный при пальпации в левой подвздошной области. Печень пальпируется по краю реберной дуги. Селезенка не пальпируется. Стул регулярный кашицеобразный, до 2 раз в сутки, без патологических примесей.
В остальном при объективном осмотре органов и систем – без особенностей.
При госпитализации в марте 2022 г. были предоставлены следующие исследования: КТ органов грудной клетки 03.02.2022 без контрастного усиления – свежих очаговых и инфильтративных изменений не выявлено, свободной жидкости в плевральной полости не определяется; сердце, грудной отдел аорты не изменены; структуры средостения дифференцируются, дополнительных образований не выявлено; диаскинтест 03.2022 – отрицательный; эхокардиография от 03.2022 – без патологии. По данным ультразвукового исследования органов брюшной полости: эхо-признаки билиарного сладжа, полипа желчного пузыря, мезентериальной лимфаденопатии.
В табл. 1–3 суммированы лабораторные данные, выходящие за пределы референсных значений. Результат анализа кала на скрытую кровь отрицательный.
Таблица 1. Клинический анализ крови
Показатель | Значение (на 28.03.2022) | Норма |
Гемоглобин, г/дл | 9,5 | 12–16 |
Эритроциты, × 106/мм3 | 4,63 | 4,3–5,7 |
Тромбоциты, × 103/мм3 | 641 | 150–400 |
Лейкоциты, × 103/мм3 | 7,65 | 4–9 |
Нейтрофилы палочкоядерные, % | 1 | 1–6 |
Нейтрофилы сегментоядерные, % | 72 | 47–72 |
Эозинофилы, % | 1 | 0,5–5 |
Лимфоциты, % | 19,6 | 19–39 |
Моноциты, % | 3 | 3–11 |
СОЭ, мм/ч | 102 | 1–20 |
СОЭ – скорость оседания эритроцитов
Таблица 2. Биохимический анализ крови
Показатель | Значение (на 28.03.2022) | Норма |
Белок общий, г/л | 77,4 | 66–87 |
Альбумин, г/л | 33,7 | 35–52 |
Калий, ммоль/л | 4,34 | 3,5–5,1 |
Креатинин, ммоль/л | 97 | 58–96 |
Мочевина, ммоль/л | 4,27 | 1,7–8,3 |
АЛТ, Ед/л | 16,9 | 0,0–35,0 |
АСТ, Ед/л | 15,3 | 0,0–35,0 |
Железо, ммоль/л | 2,1 | 11,4–30,2 |
ГГТП, Ед/л | 70,1 | 7–56 |
Хлор, ммоль/л | 103,5 | 98–106 |
Щелочная фосфатаза, ед/л | 168 | 30–120 |
Глюкоза, ммоль/л | 5,61 | 4,1–6,4 |
СРБ, мг/л | 129,2 | 0–5 |
Прокальцитонин, нг/мл | 0,079 | 0,000–0,500 |
АЛТ – аланинаминотрансфераза, АСТ – аспартатаминотрансфераза, ГГТП – гамма-глютамилтранспептидаза, СРБ – С-реактивный белок
Таблица 3. Коагулограмма
Показатель | Значение (на 28.03.2022) | Норма |
АЧТВ, с | 35 | 25–36 |
МНО | 1,34 | 0,9–1,2 |
Протромбин, % | 64 | 70–130 |
Протромбиновое время, с | 16,0 | 9,4–12,5 |
АЧТВ – активированное частичное тромбопластиновое время, МНО – международное нормализованное отношение
У пациентки в связи с наличием синдрома холестаза исключались аутоиммунные заболевания печени: антинуклеарный фактор (HEР-2) в титре 1/80, тип свечения яд. кр. + мит. ап. (spAC4 + nuclAC25), АМА-М2, ANA – в пределах референсных значений. При электрофоретическом разделении белков сыворотки было выявлено снижение коэффициента «альбумин/глобулины» – 0,58, отмечалось повышение всех фракций глобулинов (табл. 4).
Таблица 4. Электрофоретическое разделение белков сыворотки
Показатель, г/л | Значение (на 31.03.2022) | Норма |
Гамма-глобулин | 20,35 | 8,00–13,50 |
Бета-2-глобулин | 6,09 | 2,30–4,70 |
Бета-1-глобулин | 5,17 | 3,40–5,20 |
Альбумин | 28,3 | 40,2–47,6 |
Альфа-1-глобулин | 6,4 | 2,10–3,50 |
Альфа-2-глобулин | 10,79 | 5,10–8,50 |
Проведена магнитно-резонансная холангиопанкреатография – патологии не выявлено. Таким образом, у пациентки исключены аутоиммунные заболевания печени.
В связи с наличием таких клинических симптомов, как снижение массы тела на 13 кг, алопеция, нарушение менструального цикла, неустойчивый стул, у пациентки исключалась целиакия. Проведено иммунологическое исследование крови – антитела к глиадину (иммуноглобулины (Ig)A, IgG), антитела к тканевой трансглутаминазе (IgA, IgG), антитела к деамидированным пептидам глиадина (IgA, IgG) – в пределах нормы.
При эзофагогастродуоденоскопии: эрозивный рефлюкс-эзофагит, степень А (по Лос-Анджелесской классификации). Выполнена биопсия дистальной части двенадцатиперстной кишки для проведения экспресс-теста на лактазную недостаточность, а также биопсия луковицы, средней и дистальной части двенадцатиперстной кишки для диагностики целиакии, исключения амилоидоза и болезни Уиппла. При гистологическом исследовании материала слизистой оболочки двенадцатиперстной кишки гистологических признаков целиакии, амилоидоза, болезни Уиппла не выявлено. Экспресс-тест на лактазную недостаточность патологии не обнаружил.
Учитывая наличие мезентериальной лимфаденопатии, прием антибиотиков в анамнезе, у пациентки исключена инфекционная патология: токсины A и В Clostridioides difficile в кале – не обнаружены. Серологические исследования на иерсинии, шигеллы, сальмонеллы отрицательные.
При колоноскопии патологии толстой кишки и терминального отдела подвздошной кишки не выявлено (рис. 1). Проведена лестничная биопсия, по результатам которой убедительных признаков воспалительных заболеваний кишечника (ВЗК) получено не было. Слизистая оболочка терминального отдела подвздошной кишки и толстой кишки на всем протяжении с сохранной архитектурой, без достоверной картины активного воспаления. Результаты ПЦР-исследования биоптатов слизистой оболочки толстой кишки: вирус Эпштейна – Барр, цитомегаловирус, M. tuberculosis complex не обнаружены.
Рис. 1. Фиброколоноскопия (31.03.2022). Патологии толстой кишки не выявлено. Просвет толстой кишки не изменен, циркулярные складки обычных размеров, кишечная стенка эластична. Слизистая оболочка толстой кишки во всех отделах розовая, поверхность блестящая, сосудистый рисунок четкий
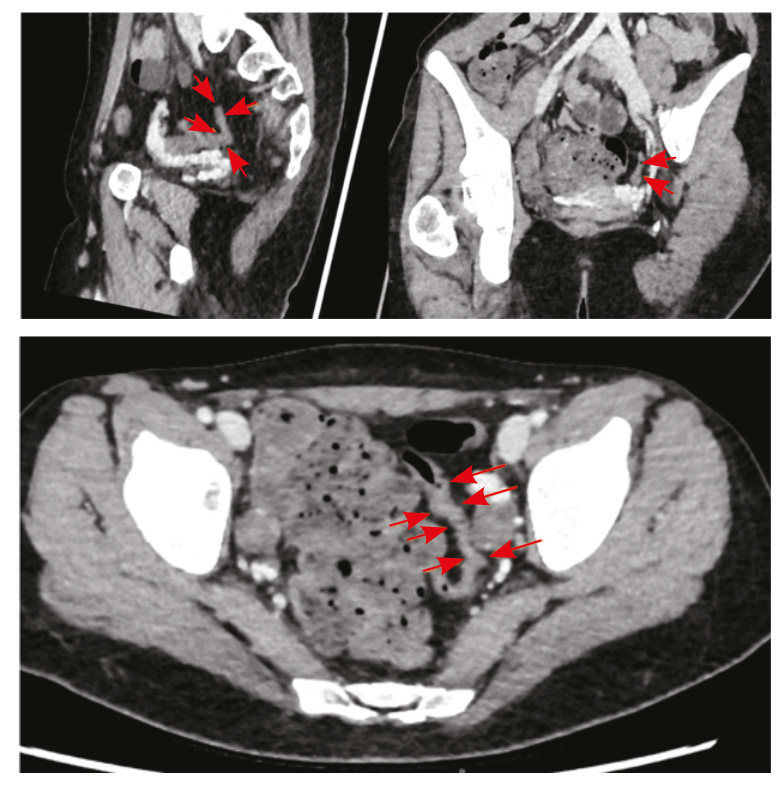
По результатам КТ органов брюшной полости с контрастным усилением, КТ- энтерографии определено утолщение стенки сигмовидной кишки до 5 мм на протяжении 60 мм, стенка без повышенного контрастирования (толщина стенки в остальных отделах не превышала нормы (2–3 мм), петли тонкого и отделы толстого кишечника расположены типично, стенки их с равномерным накоплением контрастного вещества, без достоверного наличия дополнительных образований, рельеф слизистой без отека, параколическая клетчатка не уплотнена, брыжеечные лимфатические узлы не увеличены. Заключение: КТ-признаки утолщения стенок сигмовидной кишки (поствоспалительные, постколитические изменения?), узелковая гиперплазия левого надпочечника (рис. 2).
Рис. 2. Компьютерная томографическая энтерография (30.03.2022). Стрелками указан измененный участок сигмовидной кишки: стенка утолщена до 5 мм на протяжении 60 мм, без повышенного контрастирования
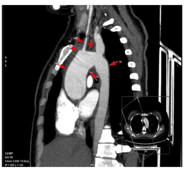
Учитывая сохраняющуюся выраженную слабость, головокружение, субфебрильную температуру, высокий уровень провоспалительных маркеров (табл. 5), отрицательные результаты микробиологического посева крови, повышенный уровень IgA 6,74 г/л (норма 0,82–4,53 г/л), уровень IgМ 2,09 г/л (норма 0,46–3,04 г/л), IgG, 20,40 г/л (норма 6,50–16,00 г/л), принято решение о повторном проведении КТ грудной клетки с внутривенным контрастированием (рис. 3), по данным которого отмечалось расширение просвета корня аорты до 42 мм (норма у женщин – до 35 мм). При контрастировании рисунок легочных артерий симметричный, не обеднен, без дефектов. Легочный ствол диаметром до 21 мм, правая главная легочная артерия – 9 мм, левая – 17 мм. Определяется протяженное утолщение стенок дуги аорты, плечеголовного ствола, общих сонных и подключичной артерии слева. На этом фоне просвет левой общей сонной артерии сужен до 50%. Отмечается веретеновидное расширение просвета подключичной артерии слева до 18 мм на протяжении до 30 мм. Заключение: КТ-данных за патологические изменения легких, а также за патологию контрастирования легочных артерий не получено. КТ-0. КТ-картина аорто-артериита (болезнь Такаясу?) со стенозированием левой общей сонной артерии до 50%. КТ-признаки аневризмы подключичной артерии слева.
Таблица 5. Уровень провоспалительных маркеров в динамике
Показатель | Значение | |
на 28.03.2022 | на 06.04.2022 | |
Лейкоциты, × 109/л | 7,65 | 11 |
Тромбоциты, × 103/мкл | 641 | 711 |
Ферритин, мкг/л | 399,5 | 497 |
СРБ, мг/л | 129,2 | 115 |
СОЭ, мм/ч | 102 | 120 |
СОЭ – скорость оседания эритроцитов, СРБ – С-реактивный белок
Рис. 3. Компьютерная томография грудной клетки с внутривенным контрастированием (07.04.2022). Стрелками указан участок стенозирования левой общей сонной артерии до 50% и аневризмы подключичной артерии слева
Полученные данные способствовали дальнейшему обследованию пациентки.
Дуплексное сканирование экстракраниальных отделов брахиоцефальных артерий: эхо-признаки неспецифического артериита со стенозированием экстракраниальных отделов брахиоцефальных артерий – гемодинамически значимый стеноз правой общей сонной артерии до 80%; гемодинамически значимый стеноз правой внутренней сонной артерии до 75%. Гемодинамически незначимый стеноз правой подключичной артерии до 50%; гемодинамически незначимый стеноз левой подключичной артерии до 50%.
Ультразвуковая доплерография артерий нижних конечностей: на момент осмотра патологии не выявлено.
Ультразвуковая доплерография сосудов брюшной полости: незначимый стеноз нижней брыжеечной артерии до 50%.
Ультразвуковая доплерография артерий верхних конечностей: эхо-признаки неспецифического артериита – гемодинамически незначимый стеноз проксимального отдела правой подключичной артерии до 50%; гемодинамически незначимый стеноз проксимального отдела левой подключичной артерии до 50%.
Эхокардиография: стенки аорты несколько уплотнены, утолщены; створки аортального и митрального клапанов тонкие, не уплотнены; аневризма восходящего отдела аорты, умеренное расширение дуги и нисходящего грудного отдела аорты. Недостаточность аортального клапана 2-й степени.
При активном опросе пациентки выяснилось, что в течение нескольких месяцев при измерении давления отмечалось онемение в руках, периодически не прощупывался пульс. При прицельном физикальном осмотре было измерено кровяное давление на обеих руках: АД на левой руке – 93/56 мм рт. ст., АД на правой руке – 107/61 мм рт. ст.
Таким образом, по результатам клинических данных, анамнеза, результатов инструментальных, лабораторных и гистологических исследований установлен диагноз. Основной: сегментарный колит смешанной этиологии (постинфекционный + ишемический) в стадии эндоскопической ремиссии. Артериит Такаясу типа V, С (+) стеноз ствола левой коронарной артерии 40%, с поражением брахиоцефальных артерий (стеноз правой общей сонной артерии до 80%; стеноз правой внутренней сонной артерии до 75%, стеноз правой подключичной артерии до 50%), поражением сосудов верхних конечностей (стеноз проксимального отдела правой подключичной артерии до 50%; проксимального отдела левой подключичной артерии до 50%), поражением аорты (аневризма восходящего отдела аорты), поражением нижней брыжеечной артерии (до 50%), высокая активность. Осложнение: анемия хронического заболевания средней степени тяжести. Белково-энергетическая недостаточность 1–2-й степени. Сопутствующий: билиарный сладж.
Пациентке, учитывая высокую активность заболевания, по рекомендации ревматолога назначено лечение: метилпреднизолон в дозе 48 мг/сут в 3 приема с 6:00 до 12:00 (6:00 – 16 мг, 08:00 – 16 мг, 10:00 – 16 мг) в течение месяца. Далее осмотр ревматолога с целью снижения дозы метилпреднизолона, прием препаратов кальция и витамина D3, пантопразола, с учетом высокого риска развития ишемических осложнений – ацетилсалициловой кислоты в дозе 100 мг/сут; после стихания лабораторной активности – консультация сосудистого хирурга. Пациентке также рекомендовали консультацию ревматолога в ФГБНУ НИИР им. В. А. Насоновой, где был подтвержден диагноз и продолжено дальнейшее наблюдение.
В настоящее время пациентка принимает метилпреднизолон в дозе 8 мг постоянно под контролем уровня С-реактивного белка, интерлейкин-6, азатиоприн 50 мг 3 раза в сутки под контролем общего и биохимического анализов крови, препараты кальция и витамина D3, ацетилсалициловую кислоту 100 мг. На фоне лечения отмечает значительное улучшение общего самочувствия, произошла нормализация температуры тела, регресс явлений очаговой алопеции. С момента установки диагноза АТ и начала лечения перестала терять массу тела. В течение года масса тела увеличилась на 16 кг. Менструальный цикл нормализовался. С момента начала лечения и по настоящее время эпизодов головокружения, потери сознания не отмечает.
Положительная динамика отмечается и по лабораторным данным: нормализация уровня провоспалительных маркеров (скорость оседания эритроцитов 3 мм/ч, С-реактивный белок 3,22 мг/л), повышение Hb с 95 до 131 г/л, снижение уровня тромбоцитов с 645 до 329 × 109, повышение уровня железа с 2,1 до 12,8 ммоль/л.
Обсуждение
Представленное наблюдение демонстрирует сложности установления диагноза неспецифического артериита и причины тотального эрозивного колита у молодой женщины 21 года. Особенность данного клинического случая – манифестация АТ после перенесенной новой коронавирусной инфекции (СOVID-19).
Артериит Такаясу относится к редким идиопатическим заболеваниям иммунной системы, поражающим аорту и ее ветви. АТ обычно диагностируется у молодых женщин на втором и третьем десятилетиях жизни (82,9–97,0%) [11, 12]. При этом недавние исследования, проведенные в различных популяциях, показывают, что доля пациентов в возрасте старше 40 лет в начале заболевания варьирует от 9 до 32% [13–15]. Этот факт нашел отражение в обновленных критериях диагноза АТ согласно рекомендациям Американской коллегии ревматологов и Европейской антиревматической лиги (англ. American College of Rheumatology / European League Against Rheumatism, ACR/EULAR) от 8 ноября 2022 г. [16].
Ранее уже высказывались предположения о связи между аутоиммунными заболеваниями и вирусными инфекциями, в том числе инфекцией SARS-CoV-2 [17, 18], несмотря на то что патогенетический механизм недостаточно ясен. Согласно этим данным и растущему количеству описанных случаев АТ, ассоциированного с SARS-CoV-2 [19–22], можно выдвинуть гипотезу о наличии связи между инфекцией SARS-CoV-2 и васкулитом.
В аутоиммунный патологический процесс при АТ вовлекаются устья и проксимальные отделы аорты и крупных сосудов. Воспалительный процесс первоначально вызывает утолщение артериальной стенки с интенсивными периваскулярными инфильтратами, что может привести к фиброзу, стенозу, артериальной окклюзии или деструкции эластического каркаса с формированием аневризм [23].
По данным ангиографического исследования выделяют 5 типов заболевания в зависимости от локализации сосудистого поражения [24]. АТ может носить различные клинические «маски» в зависимости от характера и локализации патологического процесса, что создает сложности при установке диагноза. Однако в литературе редко сообщается об ишемии кишечника как о первом проявлении АТ [10]. Вместе с тем в недавнем исследовании A. Mirouse и соавт. [25] в когорте из 318 пациентов с АТ брыжеечная ишемия оказалась одной из основных причин смерти (25%).
В основе поражения кишечника при АТ лежит хроническая мезентериальная ишемия, которая вызывает обратимые или необратимые повреждения. К обратимым относят колопатию, проявляющуюся отеком и субэпителиальными кровоизлияниями, и колит – как следующую стадию патологического процесса с изъязвлениями слизистой оболочки [26]. У нашей пациентки наблюдался гемодинамически незначимый стеноз нижней брыжеечной артерии (50%), поэтому поражение слизистой оболочки толстой кишки носило обратимый характер.
В качестве клинических проявлений АТ обычно отмечают боль и слабость в конечностях, хромоту, повышение артериального давления, значимую разницу (более 10 мм рт. ст.) показателей артериального давления на правой и левой конечностях, а также некоторые системные симптомы, включая слабость, лихорадку, потерю веса, артралгию и миалгию [27]. Очаговая алопеция – очень характерный признак АТ, его появление у молодых женщин должен настораживать в отношении данного диагноза [28]. В представленном клиническом наблюдении одной из первых жалоб пациентки было выпадение волос. Обморок также считается характерным симптомом [29] при гемодинамически значимом стенозе сонных артерий, что описано и в нашем случае.
Клинические проявления хронической мезентериальной ишемии при АТ носят неспецифический характер. Пациенты предъявляют жалобы на тошноту, рвоту, боли в животе, метеоризм, неустойчивый стул, иногда регистрируется значительная потеря массы тела [30, 31], что отмечается и при других заболеваниях желудочно-кишечного тракта [32]. Систолический шум в эпигастральной области служит единственным, но не частым, специфическим симптомом [33].
У описанной нами пациентки имелись характерные вышеуказанные признаки – метеоризм, неустойчивый стул, значительная потеря массы тела (13 кг) и обратимая колопатия. При этом изменения стенки кишки локализовались преимущественно в сигмовидной кишке (утолщение стенки сигмовидной кишки на протяжении 60 мм по данным КТ-энтерографии). Сегментарность в данном случае в сочетании со стенозом нижней брыжеечной артерии говорит об ишемическом характере поражения. По данным литературы, поражение брыжеечной артерии при АТ происходит в 11–28% случаев [34] и проявляется дискомфортом в животе, вздутием [35].
АТ также может носить клиническую маску ВЗК [36]. Одни авторы рассматривают АТ как внекишечное проявление ВЗК [37, 38] и описывают случаи, когда диагноз ВЗК предшествовал манифестации АТ [29, 39, 40]. Действительно, у пациентов с ВЗК могут возникать различные типы васкулита, включая кожный и васкулит, ассоциированный с ANCA, но васкулит крупных сосудов (главным образом АТ), по мнению авторов [39], наиболее распространен. Некоторые исследователи считают, что АТ может сочетаться с болезнью Крона и язвенным колитом [41, 42]. При этом пациенты с коморбидностью АТ и ВЗК имеют уникальные эндоскопические фенотипы со специфическими проявлениями воспаления в кишечнике [43, 44]. В недавней публикации, описывающей эволюцию воспаления толстой кишки у пациента с АТ и ВЗК в течение 10-летнего наблюдения, показано, что воспаление толстой кишки первоначально было прерывистым и более выраженным в проксимальном отделе, чем в остальной ее части [44], что может быть отличительной характеристикой фенотипа ВЗК у пациентов с АТ и ВЗК. При этом атипичные результаты колоноскопии у пациентов с ВЗК, выявленные при первичном осмотре, постепенно менялись и в конечном итоге напоминали типичную эндоскопическую картину язвенного колита. Это подтверждается и предыдущими исследованиями [43]. Следовательно, случаи ВЗК, характеризующиеся атипичным распространением воспаления толстой кишки, сопровождающегося необъяснимой лихорадкой и усилением воспалительной реакции, необходимо дифференцировать с АТ.
В нашем наблюдении диагноз ВЗК все же стал диагнозом исключения, а не оверлап-синдромом АТ с ВЗК. Приема месалазина в дозе 4 г в течение 1 месяца оказалось достаточно для купирования основных кишечных симптомов. При поступлении в наш центр пациентка уже не принимала месалазин. При обследовании нами не было выявлено органической патологии толстой кишки. И в ранее выполненном гистологическом исследовании биоптатов толстой кишки с эрозивно-язвенным поражением нет патогномоничных признаков ВЗК.
Правильная диагностика, раннее распознавание и адекватная терапия очень важны для предотвращения тяжелых осложнений АТ.
Лечение АТ основано на применении глюкокортикостероидов. В отношении остановки прогрессирования заболевания и устранения его воспалительной активности эффективны и другие иммунодепрессанты: метотрексат, микофенолата мофетил, лефлуномид, азатиоприн или циклофосфамид. При рефрактерном или рецидивирующем заболевании может быть применена генно-инженерная биологическая терапия [45]. Дополнительно к иммуносупрессивной терапии проводится антигипертензивная и антиагрегантная терапия [46]. При наличии стеноза и окклюзии сосудов рассматриваются методы эндоваскулярной реваскуляризации: от шунтирования до эндартерэктомии и чрескожной транслюминальной ангиопластики с установкой стента. Однако АТ ассоциируется с высокой частотой неудач, связанных с хирургическими и эндоваскулярными процедурами, особенно если эти процедуры проводятся во время воспалительной фазы заболевания [47].
Заключение
Приведенное клиническое наблюдение демонстрирует редкую причину возникновения эрозивно-язвенных изменений в толстой кишке в виде дебюта АТ с развитием брыжеечной ишемии. Учитывая все большее распространение АТ в мире, особенно после пандемии новой коронавирусной инфекции, необходимо включать данную редкую причину желудочно-кишечного васкулита в дифференциально-диагностический поиск.
Дополнительная информация
Согласие пациента
Пациентка добровольно подписала информированное согласие на публикацию персональной медицинской информации в обезличенной форме и фотографий в журнале «Альманах клинической медицины».
Финансирование
Работа выполнена по инициативе авторов без привлечения финансирования.
Конфликт интересов
Авторы декларируют отсутствие явных и потенциальных конфликтов интересов, связанных с публикацией настоящей статьи.
Участие авторов
М.Э. Ахмедова – курация пациентки после выписки из стационара, анализ и интерпретация клинических данных, концепция и дизайн статьи, написание текста; Н.А. Фадеева – совместные обходы в период стационарного обследования и лечения пациентки, концепция и дизайн статьи, редактирование текста, утверждение итогового варианта текста рукописи; Д.С. Филина – лечение пациентки, получение и анализ данных лабораторно-инструментальных исследований, редактирование текста; И.Д. Лоранская – совместные обходы в период стационарного обследования и лечения пациентки, редактирование текста, утверждение итогового варианта текста рукописи. Все авторы прочли и одобрили финальную версию статьи перед публикацией, согласны нести ответственность за все аспекты работы и гарантируют, что ими надлежащим образом были рассмотрены и решены вопросы, связанные с точностью и добросовестностью всех частей работы.
Об авторах
Маина Эмировна Ахмедова
ГБУЗ г. Москвы «Московский клинический научно-практический центр имени А.С. Логинова ДЗМ»
Автор, ответственный за переписку.
Email: m.akhmedova@mknc.ru
заведующая приемным отделением, врач-гастроэнтеролог гастроэнтерологического отделения
Россия, 111123, г. Москва, ул. Новогиреевская, 1–1Нина Александровна Фадеева
ГБУЗ г. Москвы «Московский клинический научно-практический центр имени А.С. Логинова ДЗМ»; ГБУ г. Москвы «Научно-исследовательский институт организации здравоохранения и медицинского менеджмента ДЗМ»; ФГБОУ ДПО «Российская медицинская академия непрерывного профессионального образования» Минздрава России
Email: n.fadeeva@mknc.ru
ORCID iD: 0000-0002-0524-2514
канд. мед. наук, заведующая гастроэнтерологическим отделением, ст. науч. сотр. отделения лечения воспалительных заболеваний кишечника; ведущий специалист; доцент кафедры гастроэнтерологии терапевтического факультета
Россия, 111123, г. Москва, ул. Новогиреевская, 1–1; 115088, г. Москва, ул. Шарикоподшипниковская, 9; 125993, г. Москва, ул. Баррикадная, 2/1–1Диана Сергеевна Филина
ГБУЗ г. Москвы «Московский клинический научно-практический центр имени А.С. Логинова ДЗМ»
Email: d.filina@mknc.ru
врач-гастроэнтеролог гастроэнтерологического отделения
Россия, 111123, г. Москва, ул. Новогиреевская, 1–1Ирина Дмитриевна Лоранская
ФГБОУ ДПО «Российская медицинская академия непрерывного профессионального образования» Минздрава России
Email: gastromapo@yandex.ru
ORCID iD: 0000-0002-3681-4132
д-р мед. наук, профессор, заведующая кафедрой гастроэнтерологии терапевтического факультета
Россия, 125993, г. Москва, ул. Баррикадная, 2/1–1Список литературы
- Serra R, Butrico L, Fugetto F, Chibireva MD, Malva A, De Caridi G, Massara M, Barbetta A, Cannistrà M, de Franciscis S. Updates in Pathophysiology, Diagnosis and Management of Takayasu Arteritis. Ann Vasc Surg. 2016;35:210–225. doi: 10.1016/j.avsg.2016.02.011.
- Koide K. Takayasu arteritis in Japan. Heart Vessels Suppl. 1992;7:48–54. doi: 10.1007/BF01744544.
- Japan Intractable Disease Information Center. Takayasu arteritis [Internet]. 2020 Mar. Japanese. Available from: https://www.nanbyou.or.jp/entry/141.
- el-Reshaid K, Varro J, al-Duwairi Q, Anim JT. Takayasu's arteritis in Kuwait. J Trop Med Hyg. 1995;98(5):299–305.
- Dreyer L, Faurschou M, Baslund B. A population-based study of Takayasu's arteritis in eastern Denmark. Clin Exp Rheumatol. 2011;29(1 Suppl 64):S40–42.
- Romero-Gómez C, Aguilar-García JA, García-de-Lucas MD, Cotos-Canca R, Olalla-Sierra J, García-Alegría JJ, Hernández-Rodríguez J. Epidemiological study of primary systemic vasculitides among adults in southern Spain and review of the main epidemiological studies. Clin Exp Rheumatol. 2015;33(2 Suppl 89):S11–18.
- Watts R, Al-Taiar A, Mooney J, Scott D, Macgregor A. The epidemiology of Takayasu arteritis in the UK. Rheumatology (Oxford). 2009;48(8):1008–1011. doi: 10.1093/rheumatology/kep153.
- Суванов БС, Шалин ВВ, Вирясова АА, Теричев АЕ, Вирясов ДВ, Бабушкин ИО, Уфаева ТВ, Тюрина ОА. Артериит Такаясу – актуальная проблема современной ревматологии (обзор литературы). Сибирское медицинское обозрение. 2022;(1):5–14. doi: 10.20333/25000136-2022-1-5-14.
- Alibaz-Oner F, Aydin SZ, Direskeneli H. Advances in the diagnosis, assessment and outcome of Takayasu's arteritis. Clin Rheumatol. 2013;32(5):541–546. doi: 10.1007/s10067-012-2149-3.
- Misra DP, Krishnan N, Gochhait D, Emmanuel D, Negi VS. Takayasu arteritis (TA) first presenting with intestinal ischemia: a case report and review of gastrointestinal tract involvement (ischemic and non-ischemic) associated with TA. Rheumatol Int. 2017;37(1):169–175. doi: 10.1007/s00296-016-3600-6.
- de Souza AW, de Carvalho JF. Diagnostic and classification criteria of Takayasu arteritis. J Autoimmun. 2014;48–49:79–83. doi: 10.1016/j.jaut.2014.01.012.
- Gudbrandsson B, Molberg Ø, Garen T, Palm Ø. Prevalence, Incidence, and Disease Characteristics of Takayasu Arteritis by Ethnic Background: Data From a Large, Population-Based Cohort Resident in Southern Norway. Arthritis Care Res (Hoboken). 2017;69(2):278–285. doi: 10.1002/acr.22931.
- Arnaud L, Haroche J, Limal N, Toledano D, Gambotti L, Chalumeau NC, Boutin DLTH, Cacoub P, Cluzel P, Koskas F, Kieffer E, Piette JC, Amoura Z. Takayasu arteritis in France: a single-center retrospective study of 82 cases comparing white, North African, and black patients. Medicine (Baltimore). 2010;89(1):1–17. doi: 10.1097/MD.0b013e3181cba0a3.
- Karageorgaki ZT, Bertsias GK, Mavragani CP, Kritikos HD, Spyropoulou-Vlachou M, Drosos AA, Boumpas DT, Moutsopoulos HM. Takayasu arteritis: epidemiological, clinical, and immunogenetic features in Greece. Clin Exp Rheumatol. 2009;27(1 Suppl 52): S33–39.
- Soto ME, Espinola N, Flores-Suarez LF, Reyes PA. Takayasu arteritis: clinical features in 110 Mexican Mestizo patients and cardiovascular impact on survival and prognosis. Clin Exp Rheumatol. 2008;26(3 Suppl 49):S9–15.
- Grayson PC, Ponte C, Suppiah R, Robson JC, Gribbons KB, Judge A, Craven A, Khalid S, Hutchings A, Danda D, Luqmani RA, Watts RA, Merkel PA; DCVAS Study Group. 2022 American College of Rheumatology/EULAR classification criteria for Takayasu arteritis. Ann Rheum Dis. 2022;81(12):1654–1660. doi: 10.1136/ard-2022-223482.
- Smatti MK, Cyprian FS, Nasrallah GK, Al Thani AA, Almishal RO, Yassine HM. Viruses and Autoimmunity: A Review on the Potential Interaction and Molecular Mechanisms. Viruses. 2019;11(8):762. doi: 10.3390/v11080762.
- Halpert G, Shoenfeld Y. SARS-CoV-2, the autoimmune virus. Autoimmun Rev. 2020;19(12):102695. doi: 10.1016/j.autrev.2020.102695.
- Spampinato S, Di Marco M, Mammolito L, Scarfia A, Valastro M, Di Mauro S, Bosco G, Purrello F, Piro S. Is COVID-19 All That Glitters? J Clin Med. 2023;12(7):2552. doi: 10.3390/jcm12072552.
- Mendes JL, Venade G, Manuel P, Costa Matos L, Nascimento E. Virus and Autoimmunity: Can SARS-CoV-2 Trigger Large Vessel Vasculitis? Eur J Case Rep Intern Med. 2022;9(8):003486. doi: 10.12890/2022_003486.
- Guliyeva V. 69 Large vessel vasculitis occurring after COVID-19 infection: 2 Takayasu cases. Rheumatology (Oxford). 2022;61(Suppl 2):keac496.065. doi: 10.1093/rheumatology/keac496.065.
- Salman R, Masand P, Huisman TAGM, Pereira M, Kearney DL, Guillerman RP, Jadhav S. A Novel Large-Vessel Arteritis in SARS-CoV-2-Related Multisystem Inflammatory Syndrome in Children (MIS-C). Radiol Cardiothorac Imaging. 2021;3(1):e200535. doi: 10.1148/ryct.2020200535.
- Hellmich B, Agueda A, Monti S, Buttgereit F, de Boysson H, Brouwer E, Cassie R, Cid MC, Dasgupta B, Dejaco C, Hatemi G, Hollinger N, Mahr A, Mollan SP, Mukhtyar C, Ponte C, Salvarani C, Sivakumar R, Tian X, Tomasson G, Turesson C, Schmidt W, Villiger PM, Watts R, Young C, Luqmani RA. 2018 Update of the EULAR recommendations for the management of large vessel vasculitis. Ann Rheum Dis. 2020;79(1):19–30. doi: 10.1136/annrheumdis-2019-215672.
- Hata A, Noda M, Moriwaki R, Numano F. Angiographic findings of Takayasu arteritis: new classification. Int J Cardiol. 1996;54 Suppl:S155–163. doi: 10.1016/s0167-5273(96)02813-6.
- Mirouse A, Biard L, Comarmond C, Lambert M, Mekinian A, Ferfar Y, Kahn JE, Benhamou Y, Chiche L, Koskas F, Cluzel P, Hachulla E, Messas E, Cacoub P, Mirault T, Resche-Rigon M, Saadoun D; French Takayasu network. Overall survival and mortality risk factors in Takayasu's arteritis: A multicenter study of 318 patients. J Autoimmun. 2019;96:35–39. doi: 10.1016/j.jaut.2018.08.001.
- Репникова РВ, Штарк АЭ. Эрозивно-язвенный вариант хронической ишемической болезни органов пищеварения. Фундаментальная и клиническая медицина. 2019;4(1):100–105.
- Natraj Setty HS, Vijaykumar JR, Nagesh CM, Patil SS, Jadav S, Raghu TR, Manjunath CN. Takayasu’s arteritis – a comprehensive review. J Rare Dis Res & Treat. 2017;2(2):63–68. doi: 10.29245/2572-9411/2017/2.1048.
- Irfan M, Rehman MH, Assamullah, Ullah H, Toru HK. A rare case study, Takayasu's arteritis presentation with alopecia areata. The Stetho. 2021;2(9). Retrieved from https://thestetho.com/index.php/ts/article/view/39.
- de Almeida Martins C, Caon AER, Facanali CBG, Sobrado CW, Nahas SC, Pereira RMR, Margalit-Yehuda R, Kopylov U, Queiroz NSF. Coexistence of Takayasu's Arteritis in Patients with Inflammatory Bowel Diseases. Gastroenterol Res Pract. 2021;2021:8831867. doi: 10.1155/2021/8831867.
- Sharma BK, Jain S, Sagar S. Systemic manifestations of Takayasu arteritis: the expanding spectrum. Int J Cardiol. 1996;54 Suppl:S149–154. doi: 10.1016/s0167-5273(96)88784-5.
- Skeik N, Hyde JR, Olson SL, Thaler CM, Abuatiyeh W, Ahmed AK, Lyon DR, Witt DR, Garberich R, Sullivan T. Nonatherosclerotic Abdominal Vasculopathies. Ann Vasc Surg. 2019;60:128–146. doi: 10.1016/j.avsg.2019.04.004.
- Daryani NE, Habibi AN, Bashashati M, Keramati MR, Rafiee MJ, Ajdarkosh H, Azmi M. Takayasu's arteritis associated with Crohn's disease: a case report. J Med Case Rep. 2008;2:87. doi: 10.1186/1752-1947-2-87.
- Yadav S, Dave M, Edakkanambeth Varayil J, Harmsen WS, Tremaine WJ, Zinsmeister AR, Sweetser SR, Melton LJ 3rd, Sandborn WJ, Loftus EV Jr. A population-based study of incidence, risk factors, clinical spectrum, and outcomes of ischemic colitis. Clin Gastroenterol Hepatol. 2015;13(4):731–738.e1–6; quiz e41. doi: 10.1016/j.cgh.2014.07.061.
- Sharma S, Gupta A. Visceral Artery Interventions in Takayasu's Arteritis. Semin Intervent Radiol. 2009;26(3):233–244. doi: 10.1055/s-0029-1225668.
- Han C, Duan C, Zhang S, Spiegel B, Shi H, Wang W, Zhang L, Lin R, Liu J, Ding Z, Hou X. Digestive Symptoms in COVID-19 Patients With Mild Disease Severity: Clinical Presentation, Stool Viral RNA Testing, and Outcomes. Am J Gastroenterol. 2020;115(6):916–923. doi: 10.14309/ajg.0000000000000664.
- Александров СС, Редников АА, Доманин АА, Александров СА. О многообразии клинических проявлений болезни Такаясу. Верхневолжский медицинский журнал. 2013;11(1):9–14.
- Хруцкая МС, Панкратова ЮЮ, Семеняко СВ, Парфененко ТВ. Язвенный колит с внекишечными проявлениями. Лечебное дело. 2016;48(2):74–78.
- Enç F, Yorulmaz E, Pehlivanoğlu V, Tuncer I, Kiziltaş S, Erbahçeci A. Takayasu's arteritis in a case diagnosed as Crohn's disease. Turk J Gastroenterol. 2007;18(4):250–253.
- Seyahi E. Takayasu arteritis: an update. Curr Opin Rheumatol. 2017;29(1):51–56. doi: 10.1097/BOR.0000000000000343.
- Sy A, Khalidi N, Dehghan N, Barra L, Carette S, Cuthbertson D, Hoffman GS, Koening CL, Langford CA, McAlear C, Moreland L, Monach PA, Seo P, Specks U, Sreih A, Ytterberg SR, Van Assche G, Merkel PA, Pagnoux C; Vasculitis Clinical Research Consortium (VCRC); Canadian Vasculitis Network (CanVasc). Vasculitis in patients with inflammatory bowel diseases: A study of 32 patients and systematic review of the literature. Semin Arthritis Rheum. 2016;45(4):475–482. doi: 10.1016/j.semarthrit.2015.07.006.
- Хлынова ОВ, Туев АВ, Василец ЛМ, Кузнецова ЕС. Заболевания сердечно-сосудистой системы и воспалительные заболевания кишечника: коморбидность или полиморбидность? Пермский медицинский журнал. 2017;34(2):94–102. doi: 10.17816/pmj34294-102.
- Rellecke P, Strauer BE. Kardiovaskuläre Manifestationen bei chronisch-entzündlichen Darmerkrankungen [Chronic inflammatory bowel disease and cardiovascular complications]. Med Klin (Munich). 2006;101 Suppl 1: 56–60. German.
- Akiyama S, Fujii T, Matsuoka K, Yusuke E, Negi M, Takenaka K, Nagahori M, Ohtsuka K, Isobe M, Watanabe M. Endoscopic features and genetic background of inflammatory bowel disease complicated with Takayasu arteritis. J Gastroenterol Hepatol. 2017;32(5):1011–1017. doi: 10.1111/jgh.13640.
- Wada A, Higashiyama M, Hirata D, Ito S, Tanemoto R, Nishii S, Mizoguchi A, Inaba K, Sugihara N, Hanawa Y, Horiuchi K, Akita Y, Narimatsu K, Komoto S, Tomita K, Hokari R. Changes in Colonic Inflammation Related with Takayasu Arteritis during a 10-year Observation Period. Intern Med. 2022;61(4):475–480. doi: 10.2169/internalmedicine.7287-21.
- Samson M, Espígol-Frigolé G, Terrades-García N, Prieto-González S, Corbera-Bellalta M, Alba-Rovira R, Hernández-Rodríguez J, Audia S, Bonnotte B, Cid MC. Biological treatments in giant cell arteritis & Takayasu arteritis. Eur J Intern Med. 2018;50:12–19. doi: 10.1016/j.ejim.2017.11.003.
- Гончарова НС, Самохвалова МВ, Пахомов АВ, Зверев ДА, Моисеева ОМ. Артериит Такаясу. Обзор литературы. Артериальная гипертензия. 2013;19(6):478–486. doi: 10.18705/1607-419X-2013-19-6-478-476.
- Park HS, Do YS, Park KB, Kim DK, Choo SW, Shin SW, Cho SK, Hyun D, Choo IW. Long term results of endovascular treatment in renal arterial stenosis from Takayasu arteritis: angioplasty versus stent placement. Eur J Radiol. 2013;82(11):1913–1918. doi: 10.1016/j.ejrad.2013.06.019.
Дополнительные файлы




