Shear wave elastography values of thrombus in patients with lower extremity deep vein thrombosis for pulmonary embolism detection: the ROC analysis
- Authors: Akramova E.G.1, Kapustina E.P.1
-
Affiliations:
- Kazan (Volga Region) Federal University
- Issue: Vol 52, No 1 (2024)
- Pages: 10-16
- Section: ARTICLES
- URL: https://medbiosci.ru/2072-0505/article/view/257855
- DOI: https://doi.org/10.18786/2072-0505-2024-52-002
- ID: 257855
Cite item
Full Text
Abstract
Rationale: Thrombosis of the iliac (IV) and femoral veins (FV) is one of the most common causes of pulmonary embolism (PE). Modern ultrasound scanners are equipped with the technology of shear wave elastography, which gives a quantitative assessment of thrombus stiffness by Young's modulus reconstruction. However, the lack of convincing data on the role of thrombus stiffness for clinical manifestations of PE hinders the active use of shear wave elastography to diagnose the risk of embolism.
Aim: To determine the threshold values of the venous thrombus Young’s modulus for deep venous thrombosis (DVT) of the lower extremities complicated by massive PE and/or PE with acute cor pulmonale (ACP).
Materials and methods: This was a single center cross-sectional study in 101 patients who were hospitalized with the diagnosis of acute (duration of less than 2 weeks) or subacute (from 2 weeks to 3 months) IV and FV thrombosis. Doppler ultrasound of the lower extremity veins and echocardiography were done in all patients. Forty eight patients with clinical signs of PE had chest computed tomography. The venous thrombus stiffness was assessed by shear wave elastography with the Young's modulus reconstruction. We performed the ROC analysis for mean values of the Young's modulus for proximal segments of IV and FV thrombi in patients with DVT and massive PE and ACP.
Results: PE was diagnosed in 40.6% (26/64) of the patients hospitalized with acute DVT and in 54.1% (20/37) of those with subacute DVT. Echocardiographic signs of ACP in massive PE were found in 47.4% (9/19) of the patients, in submassive and minor PE in 55.6% (15/27). In DVT complicated with PE, the ROC analysis of the shear wave elastography results gave the following threshold values of the mean Young’s modulus for the proximal thrombus segment: for acute IV thrombosis + PE and ACP, ≤ 16.7 kPa (AUC 0.714, sensitivity 100%, specificity 42.1%), in subacute IV thrombosis + PE and APC, ≤ 23.7 kPa (0.939, 100 and 90.9%, respectively), in acute FV thrombosis + massive PE, ≥ 9.5 kPa (0.706, 100 and 50%, respectively), in subacute FV thrombosis + massive PE, ≥ 24.4 kPa (0.550, 60.0 and 68.8%, respectively).
Conclusion: Shear wave elastography of deep vein thrombi of the lower extremities makes it possible to identify patients with PE and ACP during acute and subacute IV thrombosis and to determine massive PE in acute FV thrombosis.
Full Text
С начала 2000-х гг. регистрируют неуклонный рост числа случаев тромбоэмболии легочной артерии (ТЭЛА), в последние годы значительный вклад в эту тенденцию внесла пандемия коронавируса [1, 2]. Тромбоз илиокавальных и бедренных вен (БВ) становится источником ТЭЛА в 35,1% случаев по данным патологоанатомического и в 65,3% – по данным клинического исследования [3]. Крупные тромбы, сформировавшиеся в этих венах, при отрыве могут вызвать окклюзию ствола и главных ветвей легочной артерии – массивную ТЭЛА с летальным исходом. Международная классификация болезней 10-го пересмотра, несмотря на многообразие клинико-морфологических вариантов ТЭЛА, выделяет лишь два: I26.0 – легочная эмболия с упоминанием об остром легочном сердце (ОЛС) и I26.9 – легочная эмболия без упоминания об ОЛС.
Обязательным методом обследования пациентов с тромбозом глубоких вен (ТГВ) нижних конечностей признано ультразвуковое исследование, оценивающее эмбологенность тромба по характеристикам проксимального сегмента: эхогенности, контуру и степени подвижности флотирующей головки [4]. Дополнение ультразвукового исследования компрессионной эластографией позволяет качественно охарактеризовать физические параметры тромба. Современные ультразвуковые сканеры оснащены технологией эластографии сдвиговой волной, количественно оценивающей жесткость тромба по модулю Юнга и обладающей меньшей субъективностью, чем компрессионная эластография [5]. Однако публикации по ее применению у пациентов с ТГВ в условиях стационара единичны [6, 7]. Небольшое число обследованных в этих работах и противоречивость результатов в отношении роли жесткости тромба для клинического проявления ТЭЛА сдерживают активное использование данного объективного метода диагностики состояния тромбов в клинической практике.
Цель исследования – установить пороговые значения модуля Юнга венозного тромба, свидетельствующие об осложнении ТГВ нижних конечностей массивной ТЭЛА и/или ТЭЛА с ОЛС.
Материал и методы
В рамках поперечного исследования проанализированы результаты дуплексного сканирования вен нижних конечностей с использованием эластографии сдвиговой волной и данные эхокардиографии 101 пациента, госпитализированного в Медико-санитарную часть Казанского федерального университета с января 2022 по ноябрь 2023 г. с диагнозом ТГВ нижних конечностей с проксимальной границей тромба на уровне БВ и подвздошной вены (ПВ). ТГВ расценивали как острый при обращении за медицинской помощью в течение 2 недель после появления симптомов (n = 64), как подострый – при длительности от 2 недель до 3 месяцев (n = 37) (табл. 1).
Таблица 1. Клинико-анамнестическая характеристика пациентов с тромбозом глубоких вен нижних конечностей, абс. (%)
Признак | Острая стадия (n = 64) | Подострая стадия (n = 37) | |||||
ТЭЛА+ | ТЭЛА- (n = 38) | ТЭЛА+ | ТЭЛА- (n = 17) | ||||
ОЛС+ (n = 15) | ОЛС- (n = 11) | ОЛС+ (n = 9) | ОЛС- (n = 11) | ||||
Мужчины Женщины | 12 (80) 3 (20) | 8 (72,7) 3 (27,3) | 18 (47,4) 20 (52,6) | 5 (55,6) 4 (44,4) | 5 (45,5) 6 (54,5) | 9 (52,9) 8 (47,1) | |
Возраст, годы: < 40 40–60 > 60 | 4 (26,7) 3 (20) 8 (53,3) | 1 (9,1) 4 (36,4) 6 (54,5) | 7 (18,4) 9 (23,7) 22 (57,9) | 2 (22,2) 2 (22,2) 5 (55,6) | 2 (18,2) 3 (27,3) 6 (54,5) | 1 (5,9) 6 (35,3) 10 (58,8) | |
ПВ БВ | 7 (46,7) 8 (53,3) | 1 (9,1) 10 (90,9) | 18 (47,4) 20 (52,6) | 3 (33,3) 6 (66,7) | 4 (36,4) 7 (63,6) | 7 (41,2) 10 (58,8) | |
Флотирующий тромб | 6 (40) | 7 (63,6) | 20 (52,6) | 3 (33,3) | 1 (9,1) | 8 (47,1) | |
ТЭЛА: массивная субмассивная немассивная | 6 (40) 9 (60) – | 4 (36,4) 6 (54,5) 1 (9,1) | – – – | 3 (33,4) 3 (33,3) 3 (33,3) | 6 (54,5) 4 (36,4) 1 (9,1) | – – – | |
«+» – наличие признака, «-» – отсутствие признака, БВ – бедренная вена, ОЛС – острое легочное сердце, ПВ – подвздошная вена, ТЭЛА – тромбоэмболия легочной артерии
Протокол исследования одобрен локальным этическим комитетом ФГБОУ ВО «Казанский (Приволжский) федеральный университет» (протокол № 43 от 24.10.2023). Все участники исследования подписали информированное добровольное согласие на использование своих медицинских данных в научных целях.
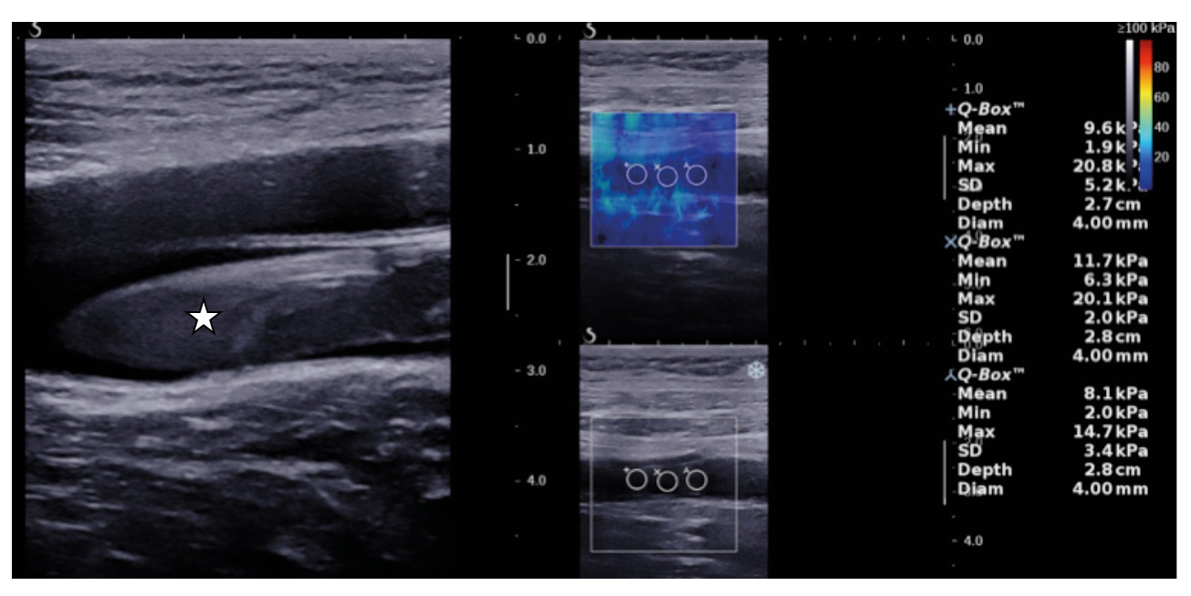
В первые сутки поступления в стационар всем пациентам выполняли дуплексное сканирование вен нижних конечностей с эластографией сдвиговой волной на аппарате Aixplorer (Supersonic Imagine, Франция). При исследовании ПВ использовали конвексный датчик (1–6 МГц); БВ, подколенной (ПКВ) и заднебольшеберцовых вен (ЗББВ) – линейный датчик (2–10 МГц). Для проведения эластографии сдвиговой волной после визуализации просвета вены, содержащей тромб, датчик фиксировали без компрессии. Поскольку растущей частью тромба является его верхняя граница, контрольный объем (Q-box) устанавливали при тромбозе ПВ на проксимальную часть тромба ПВ; при тромбозе БВ – на проксимальную часть тромба БВ. Измерения в средней части тромба ПКВ и ЗББВ проводили всем пациентам. Диаметр Q-box подбирали на 1–2 мм меньше размера тромба. По результатам трехкратного измерения модуля Юнга, отражающего жесткость тромба, в окнах одинакового размера программа эластографии сдвиговой волной в полуавтоматическом режиме выдает средние значения в килопаскалях (кПа) (рис. 1).
Рис. 1. Ультразвуковое изображение тромба бедренной вены: слева – В-режим, справа – определение жесткости тромба с указанием значений модуля Юнга в трех измерениях сиспользованием эластографии сдвиговой волной
В первые сутки госпитализации всем пациентам проводили также эхокардиографию на ультразвуковом сканере GE Vivid E80. При визуализации острой дилатации и дисфункции правого желудочка диагностировали ОЛС (соотношение правого и левого желудочка более 1, аномальное движение межжелудочковой перегородки, выраженная трикуспидальная регургитация, признак 60/60, симптом МакКоннелла, тромб в правых отделах сердца, гипокинез правого желудочка, легочная гипертензия, систолическая экскурсия трикуспидального кольца в М-режиме менее 16 мм, систолическая скорость трикуспидального кольца в импульсно-волновом режиме тканевого доплера менее 9,5 см/с) [8].
Рентгеновскую компьютерную томографию грудной полости с внутривенным болюсным контрастированием на томографе Canon Aquilion Prime SP провели 48 пациентам с ТГВ и клиническими признаками ТЭЛА в первые часы госпитализации. При выявлении тромбоэмболов в основном стволе и главных ветвях легочной артерии диагностировали массивную ТЭЛА; в долевых и сегментарных ветвях – субмассивную; в малом круге артерий мелкого калибра – немассивную.
Статистическую обработку данных осуществляли с использованием надстройки для Microsoft Excel AtteStat: версия 12.0.5 (И. П. Гайдышев, Россия). Тип распределения рядов определяли по критерию Колмогорова – Смирнова, статистическую значимость различий – непараметрическим методом по критерию Манна – Уитни. Результаты представлены средним значением ± стандартное отклонение (Mean ± SD), медианой (Ме), минимальным (min) и максимальным (max) значениями. Проведен ROC-анализ средних значений модуля Юнга проксимального сегмента тромба ПВ и БВ у пациентов с острым и подострым ТГВ при массивной ТЭЛА и развитии ОЛС. Критическим уровнем значимости при проверке статистических гипотез принят p < 0,05.
Результаты
У 40,6% (26/64) госпитализированных с острой стадией ТГВ и 54,1% (20/37) с подострой стадией выявили ТЭЛА по данным компьютерной томографии (см. табл. 1). Частота ТЭЛА не зависела от локализации тромба (в ПВ – у 37,5% (15/40), в БВ – у 50,8% (31/61); р = 0,259), наличия флотирующего тромба (у пациентов с флотирующим тромбом – в 37,8% (17/45), без такового – в 51,8% (29/56); р = 0,228) и состояния глобальной систолической функции левого желудочка (при фракции выброса левого желудочка ≤ 50% – у 70% (7/10); при > 50% – у 42,9% (39/91); р = 0,160).
На фоне тромбоза ПВ и БВ у 41,3% (19/46) пациентов с ТЭЛА наблюдали поражение ствола и главных ветвей легочной артерии. Эхокардиографические признаки ОЛС при массивном варианте визуализировали у 47,4% (9/19), тогда как при субмассивном и немассивном – у 55,6% (15/27; р = 0,639); при сохранной фракции выброса левого желудочка – у 53,8% (21/39) обследованных и при ≤ 50% – у 42,9% (3/7; p = 0,646). Следовательно, развитие ОЛС при ТГВ не зависело от объема поражения сосудов легких и сократимости левого желудочка.
Средние значения модуля Юнга тромба ПВ у пациентов с тромбозом ПВ в сочетании с ТЭЛА и ОЛС были меньше, чем при изолированном тромбозе ПВ (табл. 2). Вместе с тем при остром и подостром тромбозе БВ, осложненном ТЭЛА и ОЛС, средние значения модуля Юнга тромба БВ оказались выше, чем в подгруппах без осложнений. Средние значения модуля Юнга тромбов ПКВ и ЗББВ между подгруппами с наличием ТЭЛА и без ТЭЛА статистически значимо не различались.
Таблица 2. Среднее значение модуля Юнга тромба на разных уровнях венозного русла нижних конечностей в зависимости от стадии тромбоза глубоких вен, кПа
Уровень | Острая стадия (n = 64) | p1 | p2 | Подострая стадия (n = 37) | p3 | p4 | ||||
ТЭЛА+ | ТЭЛА- (n = 38) | ТЭЛА+ | ТЭЛА- (n = 17) | |||||||
ОЛС+ (n = 15) | ОЛС- (n = 11) | ОЛС+ (n = 9) | ОЛС- (n = 11) | |||||||
ПВ | 12,3 ± 3,1 12,2; 6,8–16,7 | 14,3* – | 15,4 ± 4,5 15,2; 10,0–28,7 | 0,049 | – | 18,5 ± 8,2 22,8; 9,0–23,7 | 31,9 ± 2,7 32,2; 29,0–34,3 | 30,8 ± 7,5 32,7; 14,5–36,7 | 0,038 | 0,388 |
БВ | 13,8 ± 4,6 13,8; 6,1–20,0 | 12,9 ± 5,4 11,6; 7,1–22,7 | 10,4 ± 5,4 8,1; 6,2–27,9 | 0,048 | 0,070 | 31,1 ± 11,1 32,3; 13,6–45,1 | 26,0 ± 16,0 17,1; 3,5–55,5 | 22,0 ± 10,0 20,0; 8,2–43,7 | 0,041 | 0,461 |
ПКВ | 13,6 ± 2,8 13,7; 9,0–18,7 | 13,9 ± 4,3 12,4; 6,0–21,0 | 13,4 ± 4,3 12,7; 5,9–25,7 | 0,354 | 0,433 | 24,8 ± 9,0 24,0; 8,8–38,3 | 22,2 ± 13,8 21,5; 6,3–56,0 | 23,1 ± 6,5 24,7; 10,5–31,0 | 0,191 | 0,270 |
ЗББВ | 14,3 ± 2,5 15,0; 10,3–18,0 | 14,4 ± 3,2 13,7; 9,4–19,0 | 15,3 ± 4,9 14,7; 4,2–28,3 | 0,357 | 0,303 | 22,7 ± 4,7 22,9; 13,3–30,7 | 21,4 ± 5,0 21,3; 15,0–30,0 | 26,9 ± 9,2 24,0; 13,0–44,0 | 0,135 | 0,327 |
«+» – наличие признака, «-» – отсутствие признака, БВ – бедренная вена, ЗББВ – заднебольшеберцовая вена, ОЛС – острое легочное сердце, ПВ – подвздошная вена, ПКВ – подколенная вена, ТГВ – тромбоз глубоких вен, ТЭЛА – тромбоэмболия легочной артерии
Данные представлены в виде среднего значения и стандартного отклонения (Mean ± SD); медианы (Me), минимального и максимального значений (min–max). Жирным шрифтом выделены статистически значимые различия между подгруппами
* Пациент с острым тромбозом ПВ и ТЭЛА в отсутствие ОЛС оказался единственным; это не позволило провести полноценный анализ
При развитии массивной ТЭЛА у пациентов с острым тромбозом БВ медиана среднего значения модуля Юнга равнялась 13,8 кПа (Mean ± SD: 13,9 ± 3,8; min–max: 9,5–20,4), что было выше, чем в группе без ТЭЛА (р = 0,021); при субмассивной ТЭЛА – 12 кПа (соответственно 13,0 ± 5,5; 6,1–22,7; p = 0,081) (рис. 2). При подостром тромбозе БВ различия отсутствовали: при массивной ТЭЛА медиана среднего значения модуля Юнга была 20,0 кПа (21,0 ± 8,2; 13,0–32,0; p = 0,478) и субмассивной – 24,5 кПа (27,3 ± 14,6; 13,5–54,1; p = 0,257).
Рис. 2. Среднее значение модуля Юнга при остром и подостром тромбозе бедренной вены в зависимости от наличия субмассивной и массивной тромбоэмболии легочной артерии (ТЭЛА)
ROC-анализ среднего значения модуля Юнга проксимального сегмента тромба БВ позволил установить пороговые значения жесткости, свидетельствующие об осложнениях в виде массивной ТЭЛА и ОЛС (табл. 3). По величине площади под кривой (AUC) качество модели, учитывающей наличие массивной ТЭЛА при остром тромбозе БВ, оценивается как «хорошее» (0,7–0,8), в остальных вариантах тромбоза БВ характеризуется как «среднее» (0,6–0,7) или «неудовлетворительное» (0,5–0,6).
Таблица 3. Результаты ROC-анализа среднего значения модуля Юнга проксимального сегмента венозного тромба при остром и подостром тромбозе подвздошных и бедренных вен в зависимости от вариантов их осложнения – массивная тромбоэмболия легочной артерии (по данным компьютерной томографии) и наличие острого легочного сердца (при эхокардиографии)
Стадия тромбоза | ТЭЛА | Оптимальный порог, кПа | AUC | Чувствительность/специфичность, % |
Бедренная вена | ||||
острая | с ОЛС массивная | ≥ 11 ≥ 9,5 | 0,675 0,706 | 87,5/63,3 100/50,0 |
подострая | с ОЛС массивная | ≥ 24,4 ≥ 24,4 | 0,655 0,550 | 83,3/57,1 60,0/68,8 |
Подвздошная вена | ||||
острая | с ОЛС массивная | ≤ 16,7 ≤ 16,7 | 0,714 0,683 | 100/42,1 100/40,0 |
подострая | с ОЛС массивная | ≤ 23,7 ≥ 29,0 | 0,939 0,500 | 100/90,9 100/31,4 |
AUC – площадь под кривой (англ. area under the curve), ОЛС – острое легочное сердце, ТЭЛА – тромбоэмболия легочной артерии
В подгруппе пациентов с острым тромбозом ПВ в сочетании с массивной ТЭЛА медиана среднего значения модуля Юнга равнялась 12,8 кПа (12,5 ± 3,3; 6,8–16,7, не отличаясь от значений в подгруппе без ТЭЛА: p = 0,071); с подострым тромбозом ПВ и субмассивной ТЭЛА – 23,2 кПа (22,5 ± 10,4; 9,0–34,3; p = 0,100); с подострым тромбозом ПВ и массивной ТЭЛА – 30,3 кПа (31,1 ± 2,6; 29,0–34,0; p = 0,345). Анализ данных подгруппы комбинации острого тромбоза ПВ и субмассивной ТЭЛА не проводили из-за ее малочисленности (2 человека).
По результатам ROC-анализа данных среднего значения модуля Юнга тромба ПВ, качество модели в отношении осложнения ТЭЛА ОЛС на подострой стадии тромбоза ПВ оказалось отличным (AUC > 0,9), на острой стадии – хорошим, тогда как в отношении осложнения массивной ТЭЛА – неудовлетворительным и средним соответственно (см. табл. 3).
Обсуждение
Пациентов с ТГВ рекомендуют госпитализировать при наличии высокого риска развития осложнений и/или показаний к хирургическому вмешательству [4]. В данное исследование были включены только больные, госпитализированные с такими показаниями, что и объясняет высокую долю (45,5%) пациентов с ТЭЛА. Наиболее опасными для жизни данного контингента считают массивную ТЭЛА и ее осложнение ОЛС, которые были выявлены у 33,7% (34/101) обследованных.
По мере старения венозного тромба возрастает его жесткость, количественно оцениваемая ультразвуковой эластографией сдвиговой волной [9, 10]. Физические свойства венозного тромба отражают изменения морфологического состава. Первоначально в головке тромба преобладают эритроциты, позже увеличивается доля фибриновых волокон, ухудшая сократимость и повышая склонность к эмболизации [11]. По результатам электронной микроскопии обнаружено, что при ТЭЛА спонтанное объемное сокращение сгустка (ретракция) нарушается значительнее, чем при изолированном ТГВ [12]. В данной работе эластография сдвиговой волной выявила значимые изменения жесткости проксимального отдела венозного тромба только при массивной ТЭЛА и ТЭЛА, осложненной ОЛС.
Тромбоэмболом становится растущая проксимальная часть венозного тромба, оставляющая в месте своего формирования периферическую часть [3]. Сравнение данных электронной микроскопии высокого разрешения 25 венозных тромбов, полученных путем открытой тромбэктомии, и 10 посмертных легочных эмболов показало отсутствие морфологических различий между ними [11]. Таким образом, по механическим свойствам тромба вблизи его проксимальной границы можно судить о жесткости легочного эмбола у пациентов с ТЭЛА и потенциальной эмбологенности венозного тромба. Знание пороговых количественных ультразвуковых параметров венозного тромба, отражающих развитие тромбоэмболических осложнений у пациентов с ТГВ, позволит своевременно и объективно оценить эмбологенную опасность.
Компьютерная томография, используемая для верификации ТЭЛА, не только дорогостоящий, но и небезопасный метод, поэтому необходимость его применения должна иметь убедительные доказательства. Пороговые значения жесткости венозного тромба, установленные с использованием ROC-анализа данных эластографии сдвиговой волной, позволяют персонифицировать потребность проведения компьютерной томографии. Хорошее качество и 100% чувствительность моделей зависимости ТЭЛА от величины среднего значения модуля Юнга проксимальной части венозного тромба у пациентов с ТГВ расширяют область применения эластографии сдвиговой волной в клинической практике.
Ограничения исследования
Исследование было одноцентровое с небольшим количеством пациентов. Компьютерную томографию проводили строго по показаниям (наличие клинических признаков ТЭЛА), что не исключает вероятность включения лиц с бессимптомной ТЭЛА в группу пациентов с неосложненным ТГВ. Ограничением ультразвуковой эластографии сдвиговой волной является неудовлетворительное качество визуализации ПВ.
Заключение
При диагностике осложнений ТЭЛА по данным ROC-анализа результатов эластографии сдвиговой волной определены следующие пороговые значения среднего значения модуля Юнга проксимального сегмента тромба: у пациентов с тромбозом ПВ – ≤ 16,7 кПа при длительности заболевания менее 2 недель, ≤ 23,7 кПа при длительности заболевания от 2 недель до 3 месяцев; с тромбозом БВ – ≥ 9,5 и ≥ 24,4 кПа соответственно. Эластография сдвиговой волной тромбов глубоких вен нижних конечностей позволяет выделить пациентов с осложнением массивной ТЭЛА и/или ТЭЛА с ОЛС.
Дополнительная информация
Финансирование
Работа проведена без привлечения дополнительного финансирования со стороны третьих лиц.
Конфликт интересов
Авторы декларируют отсутствие явных и потенциальных конфликтов
интересов, связанных с публикацией настоящей статьи.
Участие авторов
Э.Г. Акрамова – концепция и дизайн исследования, написание и редактирование текста, утверждение итогового варианта текста рукописи; Е.П. Капустина – концепция и дизайн статьи, набор клинического материала, сбор материала, статистическая обработка данных, анализ и интерпретация результатов, написание и редактирование текста. Все авторы прочли и одобрили финальную версию статьи перед публикацией, согласны нести ответственность за все аспекты работы и гарантируют, что ими надлежащим образом были рассмотрены и решены вопросы, связанные с точностью и добросовестностью всех частей работы.
About the authors
Endge G. Akramova
Kazan (Volga Region) Federal University
Author for correspondence.
Email: akendge@rambler.ru
ORCID iD: 0000-0002-1900-7726
SPIN-code: 3011-7847
MD, PhD, Associate Professor, Physician, Departments of Ultrasound and Functional Diagnostics, Medical Unit; Professor, Chair of Preventive Medicine, Institute of Fundamental Medicine and Biology
Russian Federation, ul Kremlevskaya 18–1, Kazan, 420008Ekaterina P. Kapustina
Kazan (Volga Region) Federal University
Email: kap-katya85@yandex.ru
ORCID iD: 0009-0001-1053-7309
SPIN-code: 8857-8400
Ultrasound Physician, Department of Ultrasound, Medical Unit; Associate Professor, Chair of Preventive Medicine, Institute of Fundamental Medicine and Biology
Russian Federation, ul Kremlevskaya 18–1, Kazan, 420008References
- Barco S, Valerio L, Gallo A, Turatti G, Mahmoudpour SH, Ageno W, Castellucci LA, Cesarman-Maus G, Ddungu H, De Paula EV, Dumantepe M, Goldhaber SZ, Guillermo Esposito MC, Klok FA, Kucher N, McLintock C, Ní Áinle F, Simioni P, Spirk D, Spyropoulos AC, Urano T, Zhai ZG, Hunt BJ, Konstantinides SV. Global reporting of pulmonary embolism-related deaths in the World Health Organization mortality database: Vital registration data from 123 countries. Res Pract Thromb Haemost. 2021;5(5):e12520. doi: 10.1002/rth2.12520.
- Poor HD. Pulmonary Thrombosis and Thromboembolism in COVID-19. Chest. 2021;160(4):1471–1480. doi: 10.1016/j.chest.2021.06.016.
- Sazhin AV, Lebedev IS, Gavrilov SG, Nechay TV, Shishkina DI, Nechai VS, Efremova OI, Kirienko AI. [Causes of Pulmonary Embolism According to Autopsies and Clinical Examination]. Flebologiya [Phlebology]. 2019;13(3):202–210. Russian. doi: 10.17116/flebo201913031202.
- Seliverstov EI, Lobastov KV, Ilyukhin EA, Apkhanova TV, Akhmetzyanov RV, Akhtyamov IF, Barinov VE, Bakhmetiev AS, Belov MV, Bobrov SA, Bozhkova SA, Bredikhin RA, Bulatov VL, Vavilova TV, Vardanyan AV, Vorobiev NA, Gavrilov EK, Gavrilov SG, Golovina VI, Gorin AS, Dzhenina OV, Dianov SV, Efremova OI, Zhukovets VV, Zamyatin MN, Ignatiev IA, Kalinin RE, Kamaev AA, Kaplunov OA, Karimova GN, Karpenko AA, Kasimova AR, Katelnitskaya OV, Katelnitsky II, Katorkin SE, Knyazev RI, Konchugova TV, Kopenkin SS, Koshevoy AP, Kravtsov PF, Krylov AYu, Kulchitskaya DB, Laberko LA, Lebedev IS, Malanin DA, Matyushkin AV, Mzhavanadze ND, Moiseev SV, Mushtin NE, Nikolaeva MG, Pelevin AV, Petrikov AS, Piradov MA, Pikhanova ZhM, Poddubnaya IV, Porembskaya OYa, Potapov MP, Pyregov AV, Rachin AP, Rogachevsky OV, Ryabinkina YuV, Sapelkin SV, Sonkin IN, Soroka VV, Sushkov SA, Schastlivtsev IV, Tikhilov RM, Tryakin AA, Fokin AA, Khoronenko VE, Khruslov MV, Tsaturyan AB, Tsed AN, Cherkashin MA, Chechulova AV, Chuiko SG, Shimanko AI, Shmakov RG, Yavelov IS, Yashkin MN, Kirienko AI, Zolotukhin IA, Stoyko YuM, Suchkov IA. Prevention, Diagnostics and Treatment of Deep Vein Thrombosis. Russian Experts Consensus. Flebologiya [Phlebology]. 2023;17(3):152–296. Russian. doi: 10.17116/flebo202317031152.
- Shiina T, Nightingale KR, Palmeri ML, Hall TJ, Bamber JC, Barr RG, Castera L, Choi BI, Chou YH, Cosgrove D, Dietrich CF, Ding H, Amy D, Farrokh A, Ferraioli G, Filice C, Friedrich-Rust M, Nakashima K, Schafer F, Sporea I, Suzuki S, Wilson S, Kudo M. WFUMB guidelines and recommendations for clinical use of ultrasound elastography: Part 1: basic principles and terminology. Ultrasound Med Biol. 2015;41(5):1126–1147. doi: 10.1016/j.ultrasmedbio.2015.03.009.
- Santini P, Esposto G, Ainora ME, Lupascu A, Gasbarrini A, Zocco MA, Pola R. Ultrasound Elastography to Assess Age of Deep Vein Thrombosis: A Systematic Review. Diagnostics (Basel). 2023;13(12):2075. doi: 10.3390/diagnostics13122075.
- Bosio G, Zenati N, Destrempes F, Chayer B, Pernod G, Cloutier G. Shear Wave Elastography and Quantitative Ultrasound as Biomarkers to Characterize Deep Vein Thrombosis In Vivo. J Ultrasound Med. 2022;41(7):1807–1816. doi: 10.1002/jum.15863.
- Konstantinides SV, Meyer G, Becattini C, Bueno H, Geersing GJ, Harjola VP, Huisman MV, Humbert M, Jennings CS, Jiménez D, Kucher N, Lang IM, Lankeit M, Lorusso R, Mazzolai L, Meneveau N, Ní Áinle F, Prandoni P, Pruszczyk P, Righini M, Torbicki A, Van Belle E, Zamorano JL; ESC Scientific Document Group. 2019 ESC Guidelines for the diagnosis and management of acute pulmonary embolism developed in collaboration with the European Respiratory Society (ERS). Eur Heart J. 2020;41(4):543–603. doi: 10.1093/eurheartj/ehz405.
- Durmaz F, Gultekin MA. Efficacy of Shear Wave Elastography in the Differentiation of Acute and Subacute Deep Venous Thrombosis. Ultrasound Q. 2021;37(2):168–172. doi: 10.1097/RUQ.0000000000000563.
- Kapustina EP, Akramova EG, Khamzina FT, Lukanikhin VA, inventors; FGAOU HE KFU, assignee. [Method for ultrasonic diagnosis of the age of a venous thrombus by shear wave elastography]. Russian Federation patent 2780928. 2022 Oct 4.
- Chernysh IN, Nagaswami C, Kosolapova S, Peshkova AD, Cuker A, Cines DB, Cambor CL, Litvinov RI, Weisel JW. The distinctive structure and composition of arterial and venous thrombi and pulmonary emboli. Sci Rep. 2020;10(1):5112. doi: 10.1038/s41598-020-59526-x.
- Peshkova AD, Malyasyov DV, Bredikhin RA, Le Minh G, Andrianova IA, Tutwiler V, Nagaswami C, Weisel JW, Litvinov RI. Reduced Contraction of Blood Clots in Venous Thromboembolism Is a Potential Thrombogenic and Embologenic Mechanism. TH Open. 2018;2(1):e104–e115. doi: 10.1055/s-0038-1635572.
Supplementary files



