Клиническое наблюдение болезни Крона с поздним дебютом семейной средиземноморской лихорадки
- Авторы: Ганич Е.Г.1, Давыдов Д.А.1, Кузнецова Д.А.1, Горбачева Д.Ш.1, Сидоренко Д.В.1, Лапин С.В.1, Назаров В.Д.1, Девяткина Е.А.1, Щукина О.Б.1
-
Учреждения:
- ФГБОУ ВО «Первый Санкт-Петербургский государственный медицинский университет имени академика И.П. Павлова» Минздрава России
- Выпуск: Том 53, № 4 (2025)
- Страницы: 217-225
- Раздел: КЛИНИЧЕСКИЕ НАБЛЮДЕНИЯ
- URL: https://medbiosci.ru/2072-0505/article/view/356854
- DOI: https://doi.org/10.18786/2072-0505-2025-53-014
- ID: 356854
Цитировать
Полный текст
Аннотация
Редкое сочетание болезни Крона (БК) и семейной средиземноморской лихорадки (ССЛ) представляет собой сложное коморбидное состояние, характеризующееся сходством иммунологических особенностей патогенеза и клинических проявлений. На клиническом примере показаны трудности дифференциальной диагностики, а также терапевтические дилеммы, связанные с необходимостью одновременного контроля двух иммуноопосредованных заболеваний.
Описано клиническое наблюдение пациента мужского пола армянской национальности с рецидивирующей абдоминальной болью, хронической диареей, эпизодами динамической кишечной непроходимости и потерей веса. При обследовании в 39 лет выявлены признаки системного воспаления: повышение скорости оседания эритроцитов до 62 мм/ч, С-реактивного белка до 63 мг/л, фекального кальпротектина до 1039 мкг/г. При эндоскопическом обследовании обнаружены язвы желудка (0,7 × 0,5 см), стриктура подвздошной кишки (непроходимая для эндоскопа), а также множественные язвы терминального отдела подвздошной кишки (9 баллов по SES-CD), гистологическое заключение: хронический язвенный илеит с высокой активностью. Через год по результатам молекулярно-генетического тестирования выявлен гомозиготный патогенный вариант гена MEFV c.2177T>C (p.Val726Ala), подтверждающий наличие ССЛ с сохраняющейся активностью (повышение сывороточного амилоида А до 32,3 мкг/мл). Пациенту был установлен диагноз стриктурирующей БК с тяжелым прогрессирующим течением (А2L1L4B2p) и колхицин-резистентной ССЛ. По поводу БК пациент последовательно получал адалимумаб, упадацитиниб, устекинумаб с частичным ответом и последующей илеоцекальной резекцией, по поводу ССЛ – колхицин (без эффекта) и канакинумаб с полным купированием атак. Обсуждалось, но не было принято окончательное решение о назначении двух таргетных препаратов по двум нозологиям. На момент написания статьи (январь 2025 г.) у пациента сохраняется эндоскопическая активность БК и отсутствуют атаки ССЛ на фоне терапии устекинумабом и колхицином.
У пациентов с БК, особенно армянской этнической принадлежности, с нетипичными абдоминальными болями и при резистентности к терапии необходимо исключать ССЛ. Молекулярно-генетическое тестирование на мутации гена MEFV должно быть включено в алгоритм обследования, так как их наличие следует рассматривать как фактор, модифицирующий течение БК и ассоциированный с тяжестью заболевания и высоким риском развития осложнений. Препараты, эффективные при ССЛ (канакинумаб), могут не контролировать прогрессирование БК, а терапия, направленная на БК (адалимумаб, устекинумаб), не всегда купирует проявления ССЛ. Открытым остается вопрос о безопасности и эффективности комбинации биологических препаратов. Данное наблюдение подчеркивает необходимость междисциплинарного подхода, разработки четких критериев оценки активности сочетанной патологии, дальнейших исследований по оптимизации терапии подобных случаев.
Полный текст
Болезнь Крона (БК) – хроническое воспалительное заболевание желудочно-кишечного тракта (ЖКТ), характеризующееся рецидивирующим течением, прогрессирующим поражением кишечной стенки и риском тяжелых осложнений [1]. В основе патогенеза БК лежит сложное взаимодействие генетических факторов, нарушений иммунного ответа и дисбиоза кишечника. Ключевую роль играют мутации в генах, регулирующих врожденный иммунитет (NOD2 / CARD15), аутофагию (ATG16L1) и воспалительные процессы (NLRP3, IL23R) [2]. Ряд авторов относит БК к полигенным аутовоспалительным заболеваниям, при которых нарушается работа инфламмасомы и усиливается реакция на кишечную микробиоту [2, 3].
Семейная средиземноморская лихорадка (ССЛ) – аутовоспалительное заболевание, которое, в отличие от БК, является моногенным и связано с мутациями в гене MEFV, кодирующем белок пирин. Это приводит к неконтролируемому воспалению с эпизодами лихорадки, серозита и артрита [4]. ССЛ имеет четкую этническую принадлежность: главные носители патогенных вариантов MEFV – турки, армяне, евреи, а также коренные жители стран Средиземноморского региона (Южная Европа, Северная Африка, Ближний Восток, страны Закавказья). В России ССЛ наиболее часто встречается среди представителей армянской и азербайджанской этнических групп [5]. Несвоевременная диагностика ССЛ может привести к развитию системного амилоидоза – одного из самых серьезных и поздних осложнений заболевания, которое возникает в результате отложений нерастворимого белка амилоида во внеклеточном матриксе тканей различных систем и органов, в частности почек, сердечно-сосудистой и нервной систем, легких, печени и ЖКТ [6].
Примечательно, что гены MEFV и NOD2 / CARD15 локализованы на одной хромосоме (16p13), а их белковые продукты принадлежат к одному семейству белков и играют роль в регуляции апоптоза, высвобождении цитокинов и воспалении [7]. У пациентов с БК часто выявляют полиморфизм гена MEFV, что ассоциировано с более тяжелым течением болезни, внекишечными проявлениями и риском амилоидоза [8, 9]. Присутствие двух нозологий у одного пациента может создавать диагностические трудности вследствие схожести симптомов БК и ССЛ.
Представляем клинический случай мужчины армянской национальности с сочетанием ССЛ и стриктурирующей формы БК, свидетельствующий о важности генетического тестирования и междисциплинарного подхода у пациентов с сочетанной аутоиммунной и аутовоспалительной патологией.
Клиническое наблюдение
Из анамнеза пациента Ч. известно, что в 2012 г. (в возрасте 32 лет) после эмоционального стресса он впервые отметил эпизоды дискомфорта в эпигастральной области и учащенного жидкого стула. В амбулаторных условиях обследовался у гастроэнтеролога. По результатам эзофагогастродуоденоскопии (ЭГДС) выявлены эрозивный дуоденит, поверхностный гастрит и гиперпластические эрозии антрального отдела желудка. По данным илеоколоноскопии (ИКС) зафиксированы множественные продольные язвы слизистой оболочки терминального отдела подвздошной кишки, в области илеоцекального клапана – отек слизистой и несколько язв под фибрином. При гистологическом исследовании биоптатов измененной слизистой выявлен хронический илеит. По совокупности данных установлен диагноз БК. Пациент получал препараты месалазина, курсы антибактериальной терапии, глюкокортикостероиды внутривенно с переходом на пероральный прием. Лечение способствовало временному улучшению самочувствия, однако сохранялся жидкий стул до 2–3 раз в сутки и дискомфорт в верхней части живота.
В дальнейшем с 2015 г. с частотой 2–3 раза в год возникали эпизоды динамической кишечной непроходимости, разрешающиеся самопроизвольно, однако длительное время пациент у гастроэнтеролога не наблюдался. В августе 2019 г. абдоминальная боль и вздутие живота усилились, уменьшился аппетит, увеличилась частота дефекации до 5 раз в сутки с жидким и кашицеобразным стулом, произошла немотивированная потеря массы тела до 7 кг в течение 2 месяцев.
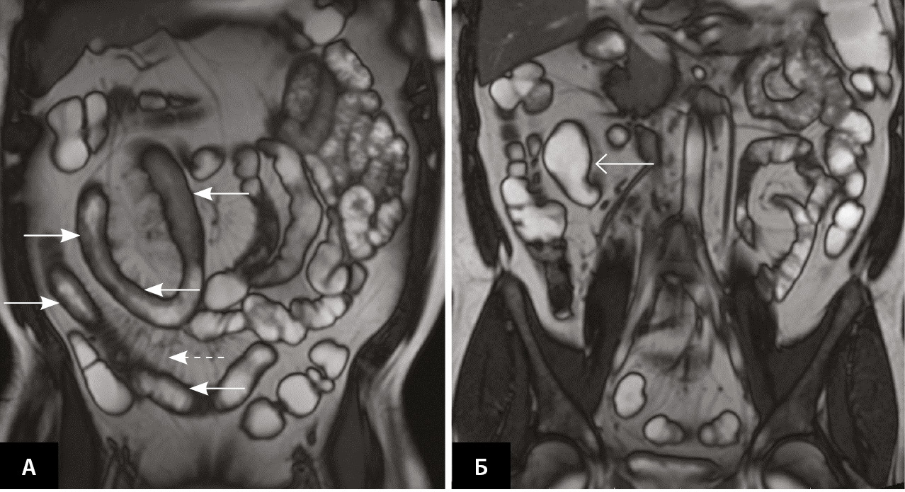
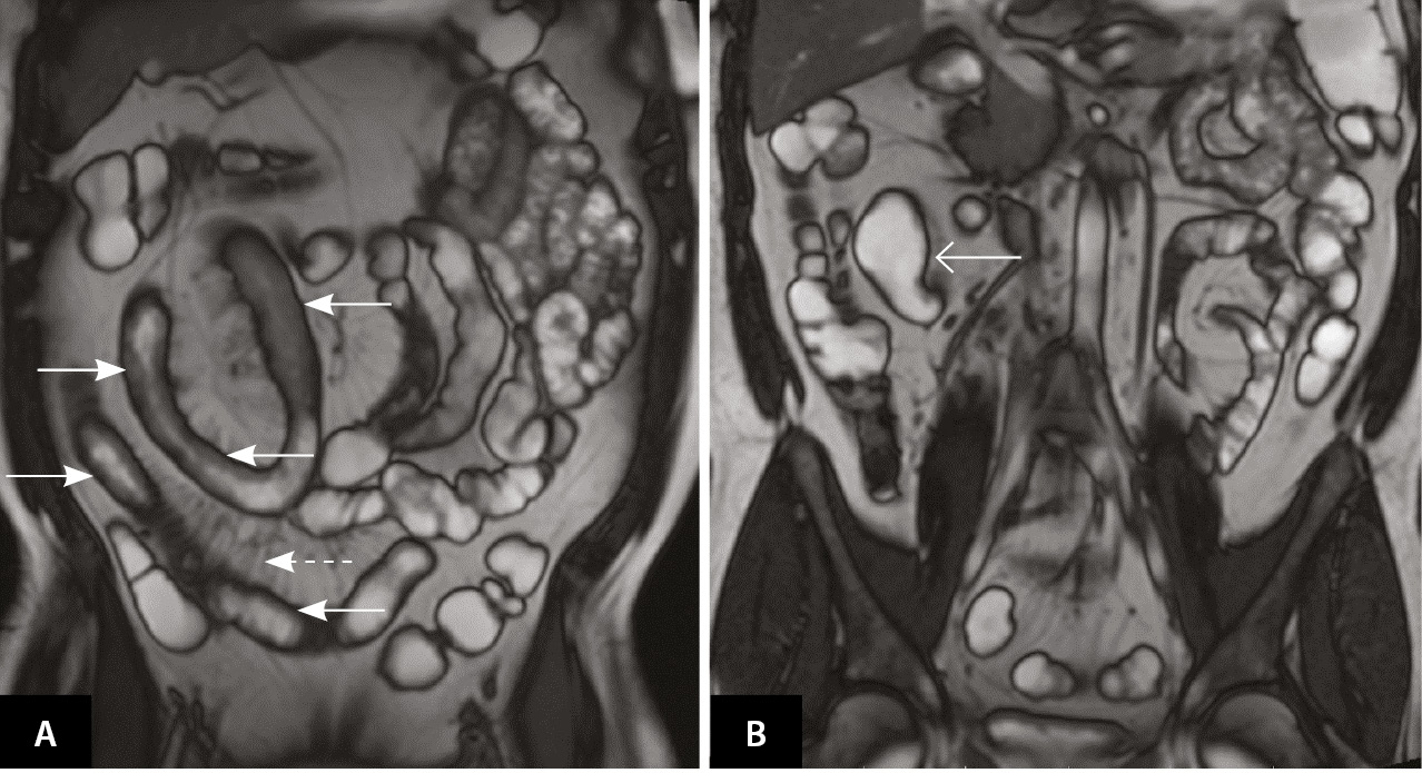
Осенью 2019 г. (в возрасте 39 лет) пациент обратился в кабинет воспалительных заболеваний кишечника (ВЗК) ФГБОУ ВО «Первый Санкт-Петербургский государственный медицинский университет имени академика им. И. П. Павлова» Минздрава России. При лабораторном обследовании выявлено повышение скорости оседания эритроцитов до 62 мм/ч (норма (N) – 2–15 мм/ч), С-реактивного белка (СРБ) до 63,01 мг/л (N ≤ 5 мг/л), фекального кальпротектина (ФК) до 1039 мкг/г (N ≤ 50 мкг/г). Результат ЭГДС: по большой кривизне тела желудка язвенный дефект 0,7 × 0,5 см, дно язвы под фибрином с налетом гематина, край умеренно приподнятый. Гистологическое исследование биоптата слизистой оболочки желудка: эпителизирующаяся острая эрозия фундального отдела желудка, хронический фундальный гастрит со слабым воспалительным компонентом, минимальной активностью, обсеменения Helicobacter pylori не выявлено. При ИКС наблюдалось сужение подвздошной кишки (на 5 см дистальнее баугиниевой заслонки), непроходимое для эндоскопа диаметром 12 мм, отек и гиперемия слизистой оболочки терминального отдела подвздошной кишки с утолщенными ворсинами и множественными сливными афтозно-язвенными дефектами под фибрином, а также деформация илеоцекального клапана с формированием на поверхности плоских язвенных дефектов до 1,0–1,5 см (9 баллов по SES-CD (англ. Simple Endoscopic Score for Crohn’s Disease – Простая эндоскопическая шкала БК)). При гистологическом исследовании обнаружен хронический сегментарный эрозивно-язвенный илеит с фокально выраженным воспалительным компонентом и высокой активностью, толстокишечной метаплазией эпителия; хронический сегментарный эрозивно-язвенный баугинит с фокально выраженным воспалительным компонентом и высокой активностью, распространенной воспалительной инфильтрацией в подслизистом слое, без признаков гранулематозного компонента; поверхностный колит с минимальным воспалительным компонентом, без активности. По данным магнитно-резонансной энтерографии выявлены признаки стриктурирующей формы БК умеренной активности (по классификации J. Panes) с поражением дистальных петель и терминального отдела подвздошной кишки (рис. 1).
Рис. 1. Магнитно-резонансная энтерография (01.10.2019), Т1-взвешенное изображение после внутривенного контрастного усиления (гадобутрол, 5 мл), фронтальная проекция: A – асимметричное утолщение стенки в дистальных петлях подвздошной кишки и терминальном отделе подвздошной кишки (сплошные стрелки), незначительно выраженная сосудистая реакция брыжейки (пунктирная стрелка); Б – престенотическое расширение подвздошной кишки перед местом поражения (открытая стрелка)
По результатам выполненного обследования подтверждено предположение о стриктурирующей форме БК с тяжелым прогрессирующим течением. В связи с высокой клинической, лабораторной и эндоскопической активностью БК принято решение об инициации генно-инженерной биологической терапии с последующим плановым оперативным вмешательством, и 14.11.2019 инициирована терапия ингибитором фактора некроза опухоли α (ФНО-α) адалимумабом (препарат Хумира) 160–80 мг подкожно с клиническим и лабораторным ответом. Далее пациент получал поддерживающую терапию адалимумабом 40 мг подкожно 1 раз в 2 недели. Достигнуто клиническое улучшение: прошли боли, стул стал кашицеобразный, 2–3 раза в сутки. При контрольной ИКС 23.01.2020 выявлена положительная динамика воспалительных изменений слизистой с сохранением субкомпенсированной стриктуры терминального отдела подвздошной кишки (6 баллов по SES-CD).
Несмотря на положительную клиническую, лабораторную и эндоскопическую динамику на фоне терапии адалимумабом, получаемой с февраля по июнь 2020 г., примерно 2 раза в месяц на фоне переохлаждения отмечались эпизоды приступов острой спастической боли в животе с иррадиацией в спину, не купируемой приемом спазмолитиков. В контрольных анализах во время приступов регистрировались нейтрофильный лейкоцитоз (лейкоциты – 14,4 × 109/л) и повышение СРБ до 18,7 мг/л. Данные клинико-лабораторные проявления, а также факт армянской этнической принадлежности пациента заставили задуматься о наличии у него ССЛ. Выполнено молекулярно-генетическое тестирование на определение мутаций гена MEFV, по результатам которого выявлен патогенный гомозиготный генотип c.2177T>C; p.Val726Ala. В июне 2020 г. пациент консультирован ревматологом. Подтвержден диагноз ССЛ с типичными неполными атаками, соответствующими I фенотипу заболевания [10], назначена терапия колхицином 1,0–1,5 мг в сутки. Однако на фоне постоянного приема препарата приступы абдоминальной боли сохранялись.
К сентябрю 2020 г. пациент начал отмечать постепенное ухудшение самочувствия в виде возвращения разлитой абдоминальной боли, в том числе в ночное время, и увеличения кратности стула до 6 раз в сутки. При этом атаки ССЛ сохранялись с прежней частотой. В связи с хорошей приверженностью и переносимостью терапии доза колхицина была увеличена до 3,0 мг в сутки, но без эффекта. Во время очередной инъекции адалимумаба (23-е введение) выполнено исследование остаточной концентрации препарата в крови – 2,6 мкг/мл (низкие значения), ввиду чего доза адалимумаба была увеличена до 80 мг 1 раз в 2 недели подкожно, также без улучшения. В связи с отсутствием эффекта от проводимой терапии (повышение СРБ, сохранение приступов боли в животе) пациент был повторно консультирован ревматологом, принято решение о назначении генно-инженерной биологической терапии блокатором интерлейкина-1 канакинумабом (препарат Иларис).
В начале февраля 2021 г. терапия адалимумабом была отменена, 17.02.2021 инициирована терапия канакинумабом 150 мг 1 раз в 4 недели подкожно и снижена доза колхицина до 1,5 мг в сутки. На этом фоне пациент отметил полное прекращение атак ССЛ. После отмены адалимумаба через несколько месяцев стали рецидивировать эпизоды динамической кишечной непроходимости. Пациент отказывался от проведения хирургического лечения и в течение последующих 2 лет продолжал наблюдаться у гастроэнтеролога. Периодически на фоне болевого синдрома в анализах отмечалось повышение СРБ. Получал курсами метронидазол, преднизолон внутривенно, с временным положительным эффектом. Продолжалась также терапия канакинумабом 1 раз в 4 недели с полным контролем атак ССЛ. В апреле 2022 г. выполнена энтероскопия, выявлены единичные эрозии проксимального отдела подвздошной кишки, множественные язвы терминального отдела подвздошной кишки, стриктура илеоцекального клапана (рис. 2). Пациент согласился на оперативное вмешательство.
Рис. 2. Энтероскопия от 08.04.2022: множественные сливающиеся эрозии и язвы под фибрином (сплошная стрелка), участки гиперемии слизистой оболочки в терминальном отделе подвздошной кишки (пунктирные стрелки)
В условиях хирургического отделения СПбГБУЗ «Городская клиническая больница № 31» 02.03.2023 пациенту выполнена резекция слепой кишки, 100 см подвздошной кишки с формированием илеоасцендоанастомоза по поводу множественных стриктур подвздошной кишки (рис. 3). Последнее введение канакинумаба выполнено 10.03.2024.
Рис. 3. Фото операционного материала. Препарат тонкой кишки со стриктурами и феноменом «ползучий жир»
В рамках профилактики послеоперационного рецидива и контроля приступов ССЛ по совместному с ревматологом решению 17.03.2023 назначен прием селективного ингибитора янус-киназы 1-го типа (JAK-1) упадацитиниба (препарат Ранвэк) 30 мг в сутки. На фоне терапии отмечена положительная динамика в виде нормализации стула и набора веса. Приступов ССЛ не было. В контрольных анализах признаков системной воспалительной активности и лейкоцитоза не наблюдалось.
В конце июня 2023 г. на фоне продолжающейся терапии упадацитинибом 30 мг возник послеоперационный рецидив БК (послабление и учащение стула, появление потливости, СРБ – 11,1 мг/л, ФК – 549 мкг/г). По данным видеокапсульной эндоскопии: афтозно-язвенное поражение проксимальных отделов тощей кишки до зоны анастомоза, язвенное поражение зоны неоилеума. В связи с неэффективностью ингибитора JAK-1 в рамках профилактики послеоперационного рецидива 26.07.2023 инициирована терапия ингибитором интерлейкина-12/23 устекинумабом (препарат Стелара), с переходом на поддерживающую терапию по 90 мг каждые 8 недель подкожно, с улучшением самочувствия.
В октябре 2023 г. в рамках оценки уровня системного и кишечного воспалительного ответа и мальабсорбции желчных кислот выполнено определение содержания ФК – 287,69 мкг/г, сывороточного амилоида А в крови – 19,2 мг/мл (N ≤ 10 мг/мл), желчных кислот в стуле – 105,25 мкмоль/г (N ≤ 7,0 мкмоль/г) и ионного дефицита в стуле – до 25,36 мОсмоль/кг (N = 50–125 мОсмоль/кг). Полученные результаты указывают на умеренный воспалительный процесс в кишечнике, риск развития вторичного амилоидоза и выраженную мальабсорбцию желчных кислот после перенесенной илеоцекальной резекции. В целях генетического подтверждения ССЛ, исключения других моногенных аутовоспалительных заболеваний и обнаружения дополнительных модифицирующих генетических факторов, ассоциированных с БК, выполнено молекулярно-генетическое тестирование с использованием панели генов при аутовоспалительных заболеваниях (MEFV, MVK, TNFRSF1A, NLRP3, NOD2, LPIN2, PLCG2, PSTPIP1, IL1RN, IL10RA и IL10RB) с помощью метода NGS (англ. next generation sequencing – секвенирование следующего поколения). Подтвержден патогенный гомозиготный вариант c.2177T>C; p.Val726Ala гена MEFV. При этом в других исследованных генах патогенных и вероятно патогенных вариантов не обнаружено.
В январе 2024 г. зафиксировано нарастание лабораторной активности заболевания: ФК – 681,9 мкг/г, СРБ – 16,6 мг/л (N ≤ 5,0 мг/л). По результатам капсульной эндоскопии 04.03.2024: БК; эндоскопическая активность; распространенное поражение: желудок, двенадцатиперстная кишка, тощая, подвздошная кишка (неоилеум), толстая кишка; положительная динамика (уменьшение размера язв) в сравнении с предыдущим исследованием.
В связи с признаками потери ответа на устекинумаб проведена оптимизация терапии в виде сокращения интервала введения препарата до 4 недель, с положительной лабораторной динамикой. В настоящее время продолжается поддерживающая терапия устекинумабом (90 мг подкожно каждые 4 недели), но без достижения эндоскопической ремиссии БК. При этом отсутствуют атаки ССЛ, пациент продолжает прием колхицина 3,0 мг/сут. Однако лабораторно сохраняется активность ССЛ: кальпротектин (S100 A8/A9) в крови – 14,98 мкг/мл (N ≤ 2,9 мкг/мл), сывороточный амилоид А – 32,3 мкг/мл (N ≤ 10 мг/мл). Обсуждалось, но не было принято решение о назначении двух таргетных препаратов по двум нозологиям. Пациент находится под динамическим наблюдением гастроэнтеролога и ревматолога, ведется обсуждение тактики, в том числе рассматриваются альтернативные терапевтические подходы.
Обсуждение
В приведенном клиническом наблюдении описано редкое сочетание БК с поздним дебютом ССЛ. Оба заболевания имеют общие клинические и биологические характеристики: боль в животе, диарея, лихорадка, артралгия, хроническое рецидивирующее течение и воспалительный характер поражения, связанный с нейтрофильной инфильтрацией в месте повреждения и нарушением регуляции апоптоза [11]. Наличие патогенных вариантов гена MEFV многими исследователями предложено рассматривать в качестве дополнительного неблагоприятного фактора, оказывающего модифицирующее воздействие на течение ВЗК [7, 12, 13]. При этом, учитывая этнический характер распространенности ССЛ, у пациентов с ВЗК в армянской популяции рекомендуется выполнение генетического тестирования MEFV, особенно в случаях атипичного течения ВЗК, резистентного к традиционному лечению, и недифференцированного колита [13].
Выявленный у нашего пациента патогенный гомозиготный вариант c.2177T>C; p.Val726Ala в гене MEFV является одним из трех генотипов, связанных с поздним дебютом ССЛ. Позднее начало ССЛ по сравнению с дебютом в возрасте до 40 лет ассоциировано с более легким фенотипом заболевания, характеризующимся значительно меньшей частотой лихорадки, кожных проявлений и болей в груди [14].
Вместе с тем представляют интерес данные о так называемом энтероколите, ассоциированном с геном MEFV, который клинически и эндоскопически имитирует ВЗК и отвечает на терапию колхицином. Показано, что псевдополипозоподобные и правосторонние поражения слизистой оболочки толстой кишки, подобные таковым при язвенном колите, с вовлечением прямой кишки могут быть признаками эндоскопической картины ССЛ с энтероколитом [15]. В исследованиях T. Kitade и соавт. [16] и A. Demir и соавт. [17] эндоскопическая картина поражения тонкой кишки при ССЛ характеризовалась покраснением, наличием афт, эрозий и язв. Вовлечение терминального отдела подвздошной кишки описано у японских [18] и турецких пациентов с ССЛ [19]. Кроме того, несмотря на растущее число зарегистрированных случаев, клинические и эндоскопические признаки энтероколита, связанного с патогенными вариантами гена MEFV, остаются неясными. В описанном нами клиническом наблюдении мы можем говорить о двух заболеваниях – БК и ССЛ с поздним дебютом, так как помимо эпизодов острого живота с некоторой задержкой стула, типичных для ССЛ, клиническая картина характеризовалась хронической диареей и абдоминальной болью, перианальными проявлениями, а распространенное трансмуральное поражение кишечника в итоге привело к стриктурирующим осложнениям болезни, потребовавшим хирургического вмешательства. В пользу сочетания заболеваний свидетельствует разнонаправленный эффект терапевтического вмешательства: так, в данном случае терапия канакинумабом оказалась высокоэффективным средством подавления атак ССЛ, но не приводила к замедлению прогрессирования поражения кишечника в рамках БК.
Хроническое течение активного воспалительного процесса с повышением содержания сывороточного амилоида А в крови пациента приводит к развитию вторичного АА-амилоидоза. Кишечный амилоидоз может проявляться болью в животе, кишечной непроходимостью, синдромом мальабсорбции, тяжелой диареей и интестинальной псевдообструкцией, реже – иметь бессимптомное течение [20]. Увеличение содержания желчных кислот в стуле пациента указывает на нарушение их всасывания, обусловленное резекцией протяженного участка подвздошной кишки, что клинически проявляется хологенной диареей [21].
Сочетание индивидуальных стратегий лечения – основополагающий подход при БК и ССЛ. Показано, что тяжесть БК увеличивается при наличии патогенных вариантов гена MEFV и, более того, использование традиционных методов лечения (не генно-инженерной биологической терапии) не позволяет достичь клинической ремиссии [7]. В некоторых случаях активность ВЗК у пациента с наличием патогенных вариантов в гене MEFV не могла контролироваться до начала лечения колхицином [15, 22].
Ведение ССЛ и ВЗК у одного пациента сопряжено с необходимостью комплексного подхода с учетом безопасности назначаемой терапии. Колхицин используется в первой линии терапии ССЛ и в большинстве случаев позволяет достигнуть полного клинического и лабораторного ответа. Колхицин-резистентное течение ССЛ наблюдается в 5–10% случаев. Однако при хорошей переносимости данный препарат рекомендуется назначать всем пациентам с ССЛ, так как он обладает доказанной эффективностью в профилактике системного АА-амилоидоза [23]. Известно, что колхицин нередко ассоциирован с желудочно-кишечной токсичностью (тошнота, рвота, диарея и боль в животе), что может осложнить ведение пациента с ВЗК [24].
Ингибиторы ФНО-α, включая адалимумаб, широко применяются в терапии ВЗК. Согласно клиническим рекомендациям EULAR (англ. European League Against Rheumatism – Европейская антиревматическая лига) (2016), препараты этого класса могут контролировать атаки ССЛ вплоть до достижения полной ремиссии у пациентов с резистентностью к колхицину [25]. Стоит отметить, что количество исследований, посвященных изучению ингибиторов ФНО-α при ССЛ, ограничено, и большинство данных получено из описания отдельных клинических случаев или небольших обсервационных исследований [26].
Несмотря на то что ингибиторы ФНО-α продемонстрировали эффективность у пациентов с ССЛ, доказательная база по ним менее обширна по сравнению с препаратами, таргетно воздействующими на интерлейкин-1β, которые показывают более стабильные результаты в терапии ССЛ. Согласно данным рандомизированного двойного слепого плацебо-контролируемого исследования III фазы CLUSTER, клинический ответ на канакинумаб к 16-й неделе наблюдался у 61% пациентов по сравнению с 6% в группе плацебо (p < 0,001). При этом ремиссия заболевания (определяемая как значение индекса активности аутовоспалительных заболеваний < 10) была достигнута у 52% пациентов [27]. Результаты нерандомизированных и обсервационных исследований также подтверждают высокую эффективность канакинумаба при ССЛ [28]. На основании этих данных препарат рекомендован в качестве терапии второй линии при колхицин-резистентных формах ССЛ, что и определило наш выбор после неэффективности адалимумаба. Тем не менее на фоне достижения контроля над симптомами ССЛ мы наблюдали клиническое и эндоскопическое прогрессирование БК после отмены адалимумаба. В то время как экспериментальные данные свидетельствуют о вовлечении интерлейкина-1 в патогенез ВЗК [29], клинические наблюдения выявляют парадоксальный эффект: в ряде случаев прием ингибиторов ИЛ-1β ассоциирован с дебютом ВЗК или обострением существующего заболевания. Таким образом, при сочетании ССЛ и БК применение антагонистов интерлейкина-1β требует особой осторожности, так как их профиль эффективности и безопасности при коморбидной патологии остается недостаточно изученным.
У нашего пациента после хирургического вмешательства канакинумаб был отменен. В качестве профилактики послеоперационного рецидива БК был выбран ингибитор JAK-1 упадацитиниб, что обусловлено данными о сохранении его эффективности во второй и последующих линиях терапии [29]. Кроме того, известно о 6 случаях назначения неселективного ингибитора JAK тофацитиниба при ССЛ, при этом у 3 пациентов был отмечен полный ответ и у 3 – частичный [30]. На момент написания данной статьи (январь 2025 г.) в литературе (поиск производился по PubMed, Google Scholar, eLibrary) отсутствуют свидетельства применения упадацитиниба при ССЛ. Примечательно, что на фоне его приема у нашего пациента не отмечалось атак ССЛ. Однако в связи с неэффективностью ингибитора JAK-1 в рамках профилактики послеоперационного рецидива была проведена смена поддерживающей терапии на ингибитор интерлейкина-12/23 устекинумаб.
Заключение
Наше клиническое наблюдение иллюстрирует диагностические и терапевтические сложности при позднем дебюте ССЛ в сочетании с БК, что обусловлено сходством патогенетических механизмов и клинических проявлений. У пациентов с ВЗК, особенно определенных этнических групп, молекулярно-генетическое тестирование на ССЛ следует включать в алгоритм дифференциальной диагностики аутовоспалительных синдромов даже в отсутствие типичной симптоматики.
Выявление патогенного варианта р.V726A гена MEFV следует рассматривать как значимый модифицирующий фактор течения БК, ассоциированный с повышенной тяжестью заболевания, недостаточным ответом на иммуносупрессивную терапию, высоким риском осложнений (включая вторичный амилоидоз), неблагоприятным хирургическим прогнозом.
В настоящее время не выработана дефиниция низкой активности ССЛ, не ясен долгосрочный прогноз. Кроме того, не определены показания для назначения двух генно-инженерных биологических препаратов в случае сочетания ССЛ и ВЗК, как у нашего пациента.
Дополнительная информация
Согласие пациента
Пациент добровольно подписал информированное согласие на публикацию персональной медицинской информации в обезличенной форме в журнале «Альманах клинической медицины».
Финансирование
Работа проведена без привлечения дополнительного финансирования со стороны третьих лиц.
Конфликт интересов
Авторы декларируют отсутствие явных и потенциальных конфликтов интересов, связанных с публикацией настоящей статьи.
Участие авторов
Е.Г. Ганич, Д.А. Давыдов – курация, лечение пациента, сбор и анализ данных литературы, написание и редактирование текста; Д.А. Кузнецова – получение, анализ и интерпретация клинико-лабораторных результатов исследования пациента, анализ данных литературы, подготовка и написание текста; Д.Ш. Горбачева – курация и хирургическое лечение пациента, редактирование итогового варианта текста; Д.В. Сидоренко – выполнение и интерпретация молекулярно-генетического обследования пациента; С.В. Лапин – переработка важного научного и интеллектуального содержания статьи, редактирование текста; В.Д. Назаров – анализ и интерпретация результатов лабораторного обследования пациента, анализ данных литературы; Е.А. Девяткина – сбор биоматериала, подготовка и выполнение молекулярно-генетического обследования пациента; О.Б. Щукина – курация пациента, диагностический мониторинг и лечение пациента, редактирование и утверждение итогового варианта текста рукописи. Все авторы прочли и одобрили финальную версию статьи перед публикацией, согласны нести ответственность за все аспекты работы и гарантируют, что ими надлежащим образом были рассмотрены и решены вопросы, связанные с точностью и добросовестностью всех частей работы.
Благодарности
Коллектив авторов благодарит Собко Виктора Юрьевича за консультирование и предоставление фотографий магнитно-резонансной энтерографии, Григоряна Вадима Вирабовича за предоставление фотографий операционного материала.
Об авторах
Екатерина Георгиевна Ганич
ФГБОУ ВО «Первый Санкт-Петербургский государственный медицинский университет имени академика И.П. Павлова» Минздрава России
Автор, ответственный за переписку.
Email: dr.ganich@yandex.ru
ORCID iD: 0000-0003-1376-4651
врач-гастроэнтеролог кабинета воспалительных заболеваний кишечника поликлиники с клинико-диагностическим центром
Россия, 197022, г. Санкт-Петербург, ул. Льва Толстого, 6–8Денис Андреевич Давыдов
ФГБОУ ВО «Первый Санкт-Петербургский государственный медицинский университет имени академика И.П. Павлова» Минздрава России
Email: davydov.rheum@gmail.com
ORCID iD: 0000-0002-5524-1616
канд. мед. наук, врач-ревматолог кардиологического отделения № 2 клиники Научно-исследовательского института ревматологии и аллергологии Научно-клинического исследовательского центра, ассистент кафедры терапии госпитальной с курсом аллергологии и иммунологии имени академика М.В. Черноруцкого с клиникой
Россия, 197022, г. Санкт-Петербург, ул. Льва Толстого, 6–8Дарья Александровна Кузнецова
ФГБОУ ВО «Первый Санкт-Петербургский государственный медицинский университет имени академика И.П. Павлова» Минздрава России
Email: lariwar@mail.ru
ORCID iD: 0000-0001-5318-354X
SPIN-код: 6110-6168
Scopus Author ID: 57211460283
ResearcherId: AAL-2712-2020
канд. мед. наук, врач клинической лабораторной диагностики лаборатории диагностики аутоиммунных заболеваний Научно-методического центра Минздрава России по молекулярной медицине
Россия, 197022, г. Санкт-Петербург, ул. Льва Толстого, 6–8Дина Шафиковна Горбачева
ФГБОУ ВО «Первый Санкт-Петербургский государственный медицинский университет имени академика И.П. Павлова» Минздрава России
Email: dinadoc9@gmail.com
ORCID iD: 0009-0002-2407-9641
врач-колопроктолог кабинета воспалительных заболеваний кишечника поликлиники с клинико-диагностическим центром
Россия, 197022, г. Санкт-Петербург, ул. Льва Толстого, 6–8Дарья Владимировна Сидоренко
ФГБОУ ВО «Первый Санкт-Петербургский государственный медицинский университет имени академика И.П. Павлова» Минздрава России
Email: si-do-renko@mail.ru
ORCID iD: 0000-0001-8503-0759
врач лабораторный генетик лаборатории диагностики аутоиммунных заболеваний Научно-методического центра Минздрава России по молекулярной медицине
Россия, 197022, г. Санкт-Петербург, ул. Льва Толстого, 6–8Сергей Владимирович Лапин
ФГБОУ ВО «Первый Санкт-Петербургский государственный медицинский университет имени академика И.П. Павлова» Минздрава России
Email: svlapin@mail.ru
ORCID iD: 0000-0002-4998-3699
SPIN-код: 9852-7501
канд. мед. наук, зав. лабораторией диагностики аутоиммунных заболеваний Научно-методического центра Минздрава России по молекулярной медицине
Россия, 197022, г. Санкт-Петербург, ул. Льва Толстого, 6–8Владимир Дмитриевич Назаров
ФГБОУ ВО «Первый Санкт-Петербургский государственный медицинский университет имени академика И.П. Павлова» Минздрава России
Email: nazarov19932@mail.ru
ORCID iD: 0000-0002-9354-8790
канд. мед. наук, зав. лабораторией молекулярной диагностики Научно-методического центра Минздрава России по молекулярной медицине
Россия, 197022, г. Санкт-Петербург, ул. Льва Толстого, 6–8Екатерина Алексеевна Девяткина
ФГБОУ ВО «Первый Санкт-Петербургский государственный медицинский университет имени академика И.П. Павлова» Минздрава России
Email: e.deviatkina@list.ru
ORCID iD: 0000-0003-1905-3324
аспирант кафедры клинической лабораторной диагностики с курсом молекулярной медицины, врач лабораторный генетик лаборатории диагностики аутоиммунных заболеваний Научно-методического центра Минздрава России по молекулярной медицине
Россия, 197022, г. Санкт-Петербург, ул. Льва Толстого, 6–8Оксана Борисовна Щукина
ФГБОУ ВО «Первый Санкт-Петербургский государственный медицинский университет имени академика И.П. Павлова» Минздрава России
Email: burmao@gmail.com
ORCID iD: 0000-0001-8402-0743
д-р мед. наук, профессор кафедры общей врачебной практики (семейной медицины), заведующая кабинетом воспалительных заболеваний кишечника поликлиники с клинико-диагностическим центром
Россия, 197022, г. Санкт-Петербург, ул. Льва Толстого, 6–8Список литературы
- Seyedian SS, Nokhostin F, Malamir MD. A review of the diagnosis, prevention, and treatment methods of inflammatory bowel disease. J Med Life. 2019;12(2):113–122. doi: 10.25122/jml-2018-0075.
- Padoan A, Musso G, Contran N, Basso D. Inflammation, autoinflammation and autoimmunity in inflammatory bowel diseases. Curr Issues Mol Biol. 2023;45(7):5534–5557. doi: 10.3390/cimb45070350.
- Abacar K, Macleod T, Direskeneli H, McGonagle D. How underappreciated autoinflammatory (innate immunity) mechanisms dominate disparate autoimmune disorders. Front Immunol. 2024;15:1439371. doi: 10.3389/fimmu.2024.1439371.
- Lancieri M, Bustaffa M, Palmeri S, Prigione I, Penco F, Papa R, Volpi S, Caorsi R, Gattorno M. An update on familial Mediterranean fever. Int J Mol Sci. 2023;24(11):9584. doi: 10.3390/ijms24119584.
- Костик ММ, Жогова ОВ, Лагунова НВ, Ивановский СВ, Колобова ОЛ, Мельникова ЛН. Семейная средиземноморская лихорадка: современные подходы к диагностике и лечению. Вопросы современной педиатрии. 2018;17(5):371–380. doi: 10.15690/vsp.v17i5.1953.
- Mirioglu S, Uludag O, Hurdogan O, Kumru G, Berke I, Doumas SA, Frangou E, Gul A. AA Amyloidosis: A contemporary view. Curr Rheumatol Rep. 2024;26(7):248–259. doi: 10.1007/s11926-024-01147-8.
- Sahin S, Gulec D, Günay S, Cekic C. Evaluation of the clinical effects and frequency of MEFV gene mutation in patients with inflammatory bowel disease. Gastroenterol Res Pract. 2021;2021:5538150. doi: 10.1155/2021/5538150.
- Papadopoulos VP, Antoniadou C, Ritis K, Skendros P. MEFV mutations in IBD patients: A systematic review and meta-analysis. J Gastrointestin Liver Dis. 2022;31(1):85–97. doi: 10.15403/jgld-4070.
- Akyuz F, Besisik F, Ustek D, Ekmekçi C, Uyar A, Pinarbasi B, Demir K, Ozdil S, Kaymakoglu S, Boztas G, Mungan Z, Gul A. Association of the MEFV gene variations with inflammatory bowel disease in Turkey. J Clin Gastroenterol. 2013;47(3):e23–e27. doi: 10.1097/MCG.0b013e3182597992.
- Soriano A, Manna R. Familial Mediterranean fever: New phenotypes. Autoimmun Rev. 2012;12(1):31–37. doi: 10.1016/ j.autrev.2012.07.019.
- Villani AC, Lemire M, Louis E, Silverberg MS, Collette C, Fortin G, Nimmo ER, Renaud Y, Brunet S, Libioulle C, Belaiche J, Bitton A, Gaudet D, Cohen A, Langelier D, Rioux JD, Arnott ID, Wild GE, Rutgeerts P, Satsangi J, Vermeire S, Hudson TJ, Franchimont D. Genetic variation in the familial Mediterranean fever gene (MEFV) and risk for Crohn's disease and ulcerative colitis. PLoS One. 2009;4(9):e7154. doi: 10.1371/journal.pone.0007154.
- Fidder HH, Chowers Y, Lidar M, Sternberg M, Langevitz P, Livneh A. Crohn disease in patients with familial Mediterranean fever. Medicine (Baltimore). 2002;81(6):411–416. doi: 10.1097/00005792-200211000-00001.
- Fidder H, Chowers Y, Ackerman Z, Pollak RD, Crusius JB, Livneh A, Bar-Meir S, Avidan B, Shinhar Y. The familial Mediterranean fever (MEVF) gene as a modifier of Crohn's disease. Am J Gastroenterol. 2005;100(2):338–343. doi: 10.1111/j.1572-0241.2005.40810.x.
- Kriegshäuser G, Enko D, Hayrapetyan H, Atoyan S, Oberkanins C, Sarkisian T. Clinical and genetic heterogeneity in a large cohort of Armenian patients with late-onset familial Mediterranean fever. Genet Med. 2018;20(12):1583–1588. doi: 10.1038/gim.2018.46.
- Saito D, Hibi N, Ozaki R, Kikuchi O, Sato T, Tokunaga S, Minowa S, Ikezaki O, Mitsui T, Miura M, Sakuraba A, Hayashida M, Miyoshi J, Matsuura M, Nakase H, Hisamatsu T. MEFV gene-related enterocolitis account for some cases diagnosed as inflammatory bowel disease unclassified. Digestion. 2020;101(6):785–793. doi: 10.1159/000502640.
- Kitade T, Horiki N, Katsurahara M, Totoki T, Harada T, Tano S, Yamada R, Hamada Y, Inoue H, Tanaka K, Gabazza EC, Hayashi H, Tanaka M, Takei Y. Usefulness of small intestinal endoscopy in a case of adult-onset familial Mediterranean fever associated with jejunoileitis. Intern Med. 2015;54(11):1343–1347. doi: 10.2169/internalmedicine.54.3690.
- Demir A, Akyüz F, Göktürk S, Evirgen S, Akyüz U, Örmeci A, Soyer Ö, Karaca C, Demir K, Gundogdu G, Güllüoğlu M, Erer B, Kamalı S, Kaymakoglu S, Besisik F, Gül A. Small bowel mucosal damage in familial Mediterranean fever: Results of capsule endoscopy screening. Scand J Gastroenterol. 2014;49(12):1414–1418. doi: 10.3109/00365521.2014.976838.
- Asakura K, Yanai S, Nakamura S, Kawaski K, Eizuka M, Ishida K, Endo M, Sugai T, Migita K, Matsumoto T. Familial Mediterranean fever mimicking Crohn disease: A case report. Medicine (Baltimore). 2018;97(1):e9547. doi: 10.1097/MD.0000000000009547.
- Beşer OF, Kasapçopur O, Cokuğraş FC, Kutlu T, Arsoy N, Erkan T. Association of inflammatory bowel disease with familial Mediterranean fever in Turkish children. J Pediatr Gastroenterol Nutr. 2013;56(5):498–502. doi: 10.1097/MPG.0b013e31827dd763.
- Bathobakae L, Ansari N, Mahmoud A, Hasan S, Yuridullah R, Qayyum S, Rae S. Gastric, colonic, and rectal amyloidosis in the setting of familial Mediterranean fever: A unique cause of intractable diarrhea. Case Rep Gastrointest Med. 2024;2024:6679725. doi: 10.1155/2024/6679725.
- Кузнецова ДА, Лапин СВ, Губонина ИВ. Нарушение метаболизма желчных кислот при воспалительных заболеваниях кишечника. Альманах клинической медицины. 2023;51(1):1–13. doi: 10.18786/2072-0505-2023-51-007.
- Sag E, Demir F, Ercin ME, Kalyoncu M, Cakir M. Neonatal ulcerative colitis associated with familial Mediterranean fever: A case report. Rheumatol Int. 2018;38(1):137–140. doi: 10.1007/s00296-017-3848-5.
- Yildirim D, Kardas RC, Gun M, Kaya B, Vasi I, Duran R, Karadeniz H, Avanoglu Guler A, Kucuk H, Erden A, Goker B, Ozturk MA, Tufan A. Colchicine-intolerant familial Mediterranean fever patients: A comparative study between different colchicine doses and IL-1 inhibitor monotherapy. Int Immunopharmacol. 2024;128:111491. doi: 10.1016/j.intimp.2024.111491.
- Stewart S, Yang KCK, Atkins K, Dalbeth N, Robinson PC. Adverse events during oral colchicine use: A systematic review and meta-analysis of randomised controlled trials. Arthritis Res Ther. 2020;22(1):28. doi: 10.1186/s13075-020-2120-7.
- Ozen S, Demirkaya E, Erer B, Livneh A, Ben-Chetrit E, Giancane G, Ozdogan H, Abu I, Gattorno M, Hawkins PN, Yuce S, Kallinich T, Bilginer Y, Kastner D, Carmona L. EULAR recommendations for the management of familial Mediterranean fever. Ann Rheum Dis. 2016;75(4):644–651. doi: 10.1136/annrheumdis-2015-208690.
- Kuemmerle-Deschner JB, Gautam R, George AT, Raza S, Lomax KG, Hur P. A systematic literature review of efficacy, effectiveness and safety of biologic therapies for treatment of familial Mediterranean fever. Rheumatology (Oxford). 2020;59(10):2711–2724. doi: 10.1093/rheumatology/keaa205.
- De Benedetti F, Gattorno M, Anton J, Ben-Chetrit E, Frenkel J, Hoffman HM, Koné-Paut I, Lachmann HJ, Ozen S, Simon A, Zeft A, Calvo Penades I, Moutschen M, Quartier P, Kasapcopur O, Shcherbina A, Hofer M, Hashkes PJ, Van der Hilst J, Hara R, Bujan-Rivas S, Constantin T, Gul A, Livneh A, Brogan P, Cattalini M, Obici L, Lheritier K, Speziale A, Junge G. Canakinumab for the treatment of autoinflammatory recurrent fever syndromes. N Engl J Med. 2018;378(20):1908–1919. doi: 10.1056/NEJMoa1706314.
- Carter JD, Valeriano J, Vasey FB. Crohn disease worsened by anakinra administration. J Clin Rheumatol. 2003;9(4):276–277. doi: 10.1097/01.RHU.0000081265.06408.e4.
- Шелыгин ЮА, Ивашкин ВТ, Ачкасов СИ, Решетов ИВ, Маев ИВ, Белоусова ЕА, Варданян АВ, Нанаева БА, Адамян ЛВ, Драпкина ОМ, Намазова-Баранова ЛС, Разумовский АЮ, Ревишвили АШ, Хатьков ИЕ, Шабунин АВ, Ливзан МА, Сажин АВ, Тимербулатов ВМ, Хлынова ОВ, Абдулганиева ДИ, Абдулхаков РА, Александров ТЛ, Алексеева ОП, Алексеенко СА, Аносов ИС, Бакулин ИГ, Барышева ОЮ, Болихов КВ, Веселов ВВ, Головенко ОВ, Губонина ИВ, Долгушина АИ, Жигалова ТН, Каграманова АВ, Кашников ВН, Князев ОВ, Костенко НВ, Ликутов АА, Ломакина ЕЮ, Лоранская ИД, Макарчук ПА, Мингазов АФ, Москалев АИ, Назаров ИВ, Никитина НВ, Одинцова АХ, Омельяновский ВВ, Осипенко МФ, Ощепков АВ, Ситки СИ, Скалинская МИ, Сурков АН, Сушков ОИ, Тарасова ЛВ, Успенская ЮБ, Фролов СА, Чашкова ЕЮ, Шифрин ОС, Щербакова ОВ, Щукина ОБ, Шкурко ТВ, Павленко ВВ, Полуэктова ЕА, Родоман ГВ, Сегаль АМ. Клинические рекомендации. Болезнь Крона (К50), взрослые. Колопроктология. 2023;22(3):10–49. doi: 10.33878/2073-7556-2023-22-3-10-49.
- Boyadzhieva Z, Ruffer N, Burmester G, Pankow A, Krusche M. Effectiveness and safety of JAK inhibitors in autoinflammatory diseases: A systematic review. Front Med (Lausanne). 2022;9:930071. doi: 10.3389/fmed.2022.930071.
Дополнительные файлы





