Сell model for experimental research in keratoconus pathogenesis
- Authors: Subbot A.M.1, Novikov I.A.1, Patejuk L.S.1, Kobzeva A.V.1, Avetisov S.J.1,2
-
Affiliations:
- M.M. Krasnov Research Institute of Eye Diseases
- I.M. Sechenov First Moscow State Medical University (Sechenov University)
- Issue: Vol 18, No 1 (2023)
- Pages: 69-77
- Section: Original Study Articles
- URL: https://medbiosci.ru/2313-1829/article/view/143240
- DOI: https://doi.org/10.23868/gc321383
- ID: 143240
Cite item
Abstract
INTRODUCTION: Certain mineral elements dismetabolism is known to play an important part in the pathogenesis of the corneal degenerative and dystrophic diseases, as metalloenzymes participate in connective tissues metabolism affecting their properties. Thus, in keratoconus corneal tissue is depleted in iron, copper and zinc, what could be the underlying cause of cornea biomechanical properties impairment. Keratoconus modeling is complicated and practically not reproducible in animals, therefore cell models elaboration is very much in demand. Definite mineral elements content must be reduced in order to simulate pathological changes specific for keratoconic corneas.
PURPOSE: The aim of this study was an elaboration of a cell model suitable for keratoconus pathogenesis research. This goal achieving involved solving the following tasks: 1) to develop a tissue-engineered system that mimic healthy corneal stroma; 2) to develop a technique for selective depletion of the nutrient medium by mineral elements involved in keratoconus pathogenesis; 3) to assess the possibility of the designed tissue-engineered system growth in the depleted nutrient medium.
MATERIAL AND METHODS: The study was carried out with the primary culture of human keratocytes, which were used to build tissue-engineered systems of three types: on silicone, on a membrane, without a carrier. Cell cultures morphology was evaluated by light and electron microscopy. The nutrient media were zinc depleted via decationization of fetal bovine serum using two types of ion-exchange resins; mineral elements concentrations were evaluated by means of inductively coupled plasma mass spectrometry.
RESULTS: The tissue system engineered without a carrier in form of cell sheet was chosen as the most convenient model. The decationization of the serum by means of Chelex 100 resin was shown to be a successful method for tenfold zinc concentration reduction in the nutrient medium. Keratocytes cultivation in the form of cell sheet on a zinc-depleted medium was successfully approved.
CONCLUSION: Elaborated tissue-engineered system could be considered as a model of the corneal stroma under specific for keratoconus conditions of zinc depletion.
Keywords
Full Text
ВВЕДЕНИЕ
Патогенез ряда заболеваний роговицы сопряжён с биомеханической несостоятельностью соединительной ткани. В частности, при кератоконусе наблюдается нарушение биомеханических свойств роговицы, как следствие, теряется её опорная функция, что приводит к «выпячиванию» и истончению центральной зоны и стойкой утрате зрительных функций [1–4].
Основные изменения при кератоконусе отмечают в строме роговицы, включающей ортогонально ориентированные в толще основного вещества волокна коллагена и клеточный компонент — кератоциты (специфические тканевые фибробласты). В качестве причин кератоконуса, факторов риска и механизмов его развития отмечены генетические аномалии; нарушения обмена со стороны основного вещества стромы роговицы (в частности, аномальное распределение протеогликанов и гликопротеинов); механические раздражители и факторы окружающей среды (трение глаз, присутствие в воздухе аллергенов, экологические и климатические особенности, включая радионуклидное загрязнение) [1–7]. Выдвинута также гипотеза об изменении кислотности слёзной жидкости как пускового механизма порочного круга, приводящего к иммобилизации минеральных элементов халькофильной группы (меди, цинка и железа) на периферии роговицы и к региональному обеднению ими центральной зоны [8]. Это приводит к нарушению активности ферментов, кофакторами и ингибиторами которых являются ионы данных металлов [9–11]. Недостаточность матриксных металлопротеиназ, гидроксилаз, супероксиддисмутаз, лизилоксидазы и других металлозависимых ферментов сказывается на процессах синтеза и метаболизма коллагена в строме роговицы, изменении её «биомеханики» и, как следствие, приводит к развитию кератэктазии.
До сих пор так и не удалось воспроизвести на животных моделях нарушения биомеханических свойств стромы роговицы, характерные для кератоконуса. В связи с этим актуальным становится использование клеточных технологий, которые позволяют работать с человеческим материалом in vitro, в том числе в виде тканеподобных структур, а также дают возможность моделирования этого заболевания в лабораторном эксперименте и оценки биомеханических свойств полученных конструкций [12]. Перечислим методы, которыми можно оценить «биомеханическую устойчивость». Первый — это атомно-силовая микроскопия, позволяющая оценивать вязко-эластические свойства материала, а именно его модуль упругости, который получают путём математической обработки силовых кривых, регистрируемых при касании образца зондом прибора. При этом носитель для образца должен быть достаточно твёрдым, чтобы не вносить своего упругого вклада. Другой вариант — тесты, характеризующие твёрдость материала через регистрацию сопротивляемости образца приложенному давлению (вдавливанию индентора или прокалыванию им). При небольшой толщине испытываемого материала для проведения такого теста с минимальными искажениями под ним должна быть схожая по прочностным характеристикам подложка. Третьим, «классическим» вариантом оценки биомеханических свойств является семейство «разрывных тестов», когда образец растягивают, как правило, по одной оси до момента его разрыва. Апробировать подобными техниками клеточную конструкцию без носителя проблематично из-за маленьких размеров и сложной геометрии края. Поэтому чаще всего такие тесты выполняют на клеточных системах на тонком носителе. Из вариативности методов оценки биомеханических свойств очевидно, что в дизайн эксперимента следует заложить разные варианты культивирования.
Необходимым условием воспроизведения в клеточной модели «минерального» патогенеза кератоконуса становится подбор соответствующего химического окружения, в котором должен соблюдаться патологический дисбаланс элементов. Коммерческие питательные среды для поддержания жизнеспособности клеточных культур имеют строго определённый, заявленный производителем состав. Однако основным источником минеральных компонентов, как правило, служит добавляемая в качестве источника факторов роста фетальная бычья сыворотка крови, не стандартизированная по содержанию химических элементов. Возможно, именно с отсутствием общепринятых подходов к селективной элиминации химических элементов из «стандартной» культуральной среды сложного состава связан тот факт, что изучению клеточных систем в условиях дефицита определённых неорганических ионов, в частности цинка и меди, посвящены лишь единичные работы. В настоящее время апробированы два принципиальных подхода к изъятию двухвалентных микроэлементов из среды. Первая методика базируется на добавлении к питательной среде хелатирующего агента, такого как TPEN (N,N,N’,N’-тетракис(2-пиридинилметил)-1,2-этандиамин). Вторая заключается в пропускании обрабатываемого раствора через ионообменную смолу. Добавление хелатирующего агента представляется более эргономичным способом элиминирования ионов из среды. Однако этот метод имеет принципиальный недостаток: само вещество-хелатор может обладать модулирующим эффектом на клетки, что делает невозможным установление природы наблюдаемого в эксперименте эффекта [13]. Использование ионообменной смолы — более трудоёмкий процесс, но в качестве явного преимущества метода нужно отметить факт практического отсутствия побочных эффектов, за исключением потери определённой белковой фракции из сыворотки [14].
Цель исследования — разработка клеточной модели для изучения патогенеза кератоконуса.
МАТЕРИАЛ И МЕТОДЫ
Как известно, клеточные технологии позволяют воспроизводить тканеподобные структуры в различных вариантах (сфероиды, графты, пласты). Исходя из этого, на первом этапе данного исследования выбирали наиболее подходящий вариант культивирования тканеподобной структуры как модели стромы роговицы для последующей оценки её биомеханических свойств. На втором этапе выбирали оптимальный вариант изъятия из клеточного окружения интересующего химического элемента. Третьим этапом растили оптимальную клеточную модель в условиях обеднения питательной среды.
Тканеинженерные конструкции
Источником клеток служил кадаверный материал — роговичные диски, не востребованные для кератопластики (исследование проводили в соответствии с принципами Хельсинкской декларации (2013), использовали кадаверный материал, не востребованный в ходе операции и подлежащий утилизации). Клетки третьего пассажа, полученные методом проращивания из экспланта, засевали в концентрации 300 тыс./см2 на один из нижеуказанных носителей: чашки Петри диаметром 35 мм (SPL Life Sciences, Корея); культуральные планшеты на 24 лунки (SPL Life Sciences, Корея), покрытые силиконовым компаундом «Юнисил-9628» («Пента Юниор», Россия); полупроницаемые вкладки ThinCert с диаметром пор 0,4 мкм и площадью ростовой поверхности 33,6 мм2 (Greiner Bio-One, Австрия). Клеточные конструкции растили в течение недели при 37,0 °С во влажной атмосфере с 5,0% СО2 в среде DMEM high glucose (Gibco, США), в которую были добавлены глютамин (Gibco, США) до 2 мМ, фетальная бычья сыворотка (Sigma-Aldrich, США) до 10% и аскорбиновая кислота (Sigma-Aldrich, США) до 50 мкг/мл; смену среды осуществляли каждые 2–3 дня.
Наблюдения за ростом клеток проводили на микроскопе Axio Vert.A1 (Carl Zeiss, Германия), используя режим фазового контраста. Оценку строения тканеподобных структур выполняли на полутонких срезах, окрашенных гематоксилином и эозином, и по результатам сканирующей электронной микроскопии на приборе EVO LS 10 (Carl Zeiss, Германия) в режиме низкого вакуума (EP, 70 Па) при ускоряющем напряжении 20 кВ после лантаноидного контрастирования — обработки набором BioREE-A («Глаукон», Россия).
Селективное обеднение питательной среды
Изъятие интересующих элементов проводили методом декатионизации фетальной бычьей сыворотки (Sigma-Aldrich, США) с использованием двух типов ионообменных смол на основе следующего протокола: хроматографическую стеклянную колонку заполняли ионообменной смолой одного из двух типов: Lewatit MonoPlus C249 (Lanxess, Германия) или Chelex 100 (Sigma-Aldrich, США), массой 50 г; заливали в колонку 100 мл 70% раствора этилового спирта (РФК, Россия) и экспонировали в течение часа для стерилизации; промывали колонку хроматографической дистиллированной водой («Компонент-Реактив», Россия) для удаления остатков спирта; в обработанную колонку со смолой заливали 50 мл сыворотки и экспонировали 10 мин; сливали сыворотку из колонки; повторяли обработку 20 раз при комнатной температуре; полученную сыворотку стерилизовали фильтрованием через шприцевой фильтр с диаметром пор 0,22 мкм (Corning, США).
Концентрацию химических элементов в полученной сыворотке оценивали методом масс-спектрометрии с индуктивно связанной плазмой (ИСП-МС). Аликвоту обработанной сыворотки в паре с аликвотой необработанной отдавали для заверки элементного состава в лабораторию Федерального исследовательского центра «Фундаментальные основы биотехнологии» РАН на приборе Aurora M90 (Bruker Optik GmbH, Германия). По результатам выявленного элементного состава выбирали наиболее подходящий катионит.
Апробирование модели
Полученную в результате декатионизации сыворотку использовали для реализации третьей задачи — культивирования кератоцитов в условиях деплеции интересующего минерального элемента. На следующие сутки после засева опытные образцы переводили на обеднённую питательную среду и растили в течение недели в тех же условиях, что и контрольные образцы.
РЕЗУЛЬТАТЫ
На предварительном этапе работы установлено, что для формирования многослойной конструкции плотность засева клеток должна быть порядка 300 тыс./см2 носителя.
Первым был апробирован способ формирования клеточного пласта без дополнительного носителя — на поверхности пластиковой чашки Петри диаметром 35 мм.
После засева в высокой плотности клетки на 2–3-й день организовывали взаимно-перпендикулярные ламели, морфологически сходные с организацией пластин коллагеновых волокон и кератоцитов в строме роговицы (рис. 1).
Fig. 1. The cell layer formed on the surface of the cell culture plastic plate on the fourth day of cultivation (phase-contrast microscopy). The dotted lines mark the keratocytes orthogonal orientation.
Изготовить срезы для оценки морфологических особенностей клеточного пласта, выращенного таким образом, можно было, только сняв его с подложки. Для этого после недели культивирования клеточный пласт отделяли от пластика путем тракции. При анализе полученных срезов методами световой (рис. 2, a) и электронной микроскопии (рис. 2, b) видно, что клеточный пласт представлен несколькими слоями кератоцитов.
Рис. 2. Срез клеточного пласта, сформированного на поверхности культурального пластика (звёздочками отмечены ядра кератоцитов): a — световая микроскопия, окраска гематоксилином и эозином; b — сканирующая электронная микроскопия, лантаноидное контрастирование, режим детекции обратно-рассеянных электронов.
Fig. 2. A section of the cell layer formed on the surface of the cell culture plastic plate (keratocyte nuclei are marked with asterisks): a — light microscopy, staining with hematoxylin and eosin; b — scanning electron microscopy, lanthanide contrast, backscattered electron detection mode.
В качестве варианта выращивания клеточного пласта на «мягком» носителе опробована технология выращивания кератоцитов на силиконовом компаунде. Однако в первые дни при культивировании клеток на подложке из силикона наблюдали формирование клеточных агрегатов по типу сфероидов (рис. 3), что, вероятно, происходило по причине низкой адгезии.
Fig. 3. Cellular aggregates formed on the silicone plate (phase-contrast microscopy). «Spheroids» are marked with asterisks.
При выращивании же клеточного пласта с предварительной обработкой поверхности силикона раствором фибронектина (10 мкг/см2) наблюдали равномерную адгезию клеток с формированием пласта из 2–3 взаимно-перпендикулярно расположенных слоёв (аналогичного тому, что был получен в случае с культивированием на «голом» пластике). Однако на третьи сутки после засева отмечена токсическая реакция с гибелью кератоцитов.
При культивировании на мембране ThinCert визуализация клеток в фазовом контрасте была затруднена из-за конструкции вкладки, содержащей множественные поры. С помощью флуоресцентной микроскопии удалось оценить взаиморасположение клеток: оно было менее равномерным, чем при других вариантах культивирования, с тенденцией к скоплению по краям лунки. Вероятно, этому способствовал «краевой эффект» мениска жидкости. Изготовление срезов при таком варианте культивирования было возможно без снятия пласта с носителя и позволило констатировать, что данная схема позволяет получить клеточный пласт толщиной около 10 мкм (по результатам гистологии и сканирующей электронной микроскопии (рис. 4), однако такую схему мы посчитали неоптимальной для оценки биомеханических свойств конструкции из-за её неоднородности.
Fig. 4. A section of the cell layer cultured on a semipermeable inlay (keratocyte nuclei are marked with asterisks): a — light microscopy, staining with hematoxylin and eosin; b — scanning electron microscopy, lanthanide contrast, backscattered electron detection mode.
После апробирования протокола декатионизации с помощью двух типов ионообменных смол удалось подобрать вариант, позволяющий эффективно снизить концентрацию цинка в используемой сыворотке.
Заверка концентрации химических элементов методом ИСП-МС показала, что при применении в качестве катионита Chelex 100 снижение концентрации цинка было 21-кратным. Обработка ионообменной смолой Lewatit MonoPlus C249 не приводила к снижению концентрации цинка в сыворотке. Конкретные значения элементного состава приведены в табл. 1.
Таблица 1. Концентрация минеральных элементов в сыворотке до и после обработки катионитами
Table 1. Mineral elements concentrations in serum before and after cationite passing
Элемент, размерность | Сыворотка | ||
до обработки | после обработки Lewatit MonoPlus C249 | после обработки Chelex 100 | |
Na, мг/л | 2310 | 2410 | 2180 |
Mg, мг/л | 28,1 | 0,99 | 0,07 |
P, мкг/л | 97 000 | 91 000 | 85 000 |
S, мг/л | 478 | 455 | 424 |
K, мг/л | 430 | 13 | 150 |
Ca, мг/л | 130 | 2,7 | 0,87 |
Mn, мкг/л | 26 | 16 | 12 |
Fe, мкг/л | 2700 | 2300 | 2200 |
Co, мкг/л | 0,77 | 0,46 | 0,47 |
Cu, мкг/л | 140 | 130 | 120 |
Zn, мкг/л | 2100 | 2100 | 100 |
Клетки культивировали в смеси базовой среды DMEM и 10% сыворотки. Содержащиеся в базовой среде минеральные макроэлементы, в том числе K, Mg и Ca, восполнили их потерю после декатионизации. При этом результирующая среда оставалась обеднённой по цинку в связи с тем, что этот элемент содержится в базовой DMEM лишь в следовых количествах. Таким образом, концентрация цинка в питательной среде снижалась в 10 раз по сравнению с исходной. Дрейф концентрации остальных химических элементов составлял не более 15%.
В питательной среде до обработки сыворотки концентрация цинка составляла 221 мкг/л, что условно соответствует данным литературы о концентрации цинка в водянистой влаге [15]. После обеднения содержание цинка снизилось до 22 мкг/л, и его концентрация стала соответствовать уровню, который характерен для слёзной жидкости [16].
Таким образом, установлено, что использование метода декатионизации позволяет получить селективно обеднённую катионами халькофильных металлов ростовую среду: в данном случае обеднённую цинком. При этом катионообменник Chelex 100 более эффективно удаляет цинк по сравнению со смолой Lewatit MonoPlus C249.
Полученная обеднённая цинком среда в течение недели успешно поддерживала жизнеспособность кератоцитов, выращенных в форме клеточного пласта без носителя (рис. 5).
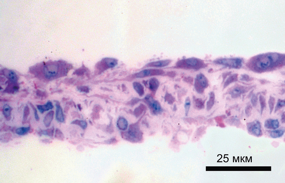
Fig. 5. A section of a cell layer formed on the surface of a cell culture plastic plate and grown in a zinc depleted medium. Stained with hematoxylin and eosin.
ОБСУЖДЕНИЕ
В силу невоспроизводимости на животных моделях этиопатогенеза кератоконуса и нехватки донорской ткани, ограничивающей эксперименты на тканевых культурах, создание клеточных моделей представляет одно из направлений решения проблемы. Кроме того, тканеинженерные конструкции отвечают современным тенденциям ухода от экспериментов над животными [17–20].
Из опробованных способов формирования клеточной конструкции оптимальным для последующего анализа можно считать вариант культивирования клеточного пласта без дополнительного носителя.
В литературе есть примеры использования подобных клеточных моделей для оценки роли оксидативного стресса как потенциального триггера прогрессирования кератоконуса [21]. Одной из задач нашего исследования был поиск способа обработки реагентов для деплеции минеральных элементов. Эта задача частично решена путём подбора режима обработки сыворотки, при котором в окружении кератоцитов на порядок снижается концентрация одного из ключевых минералов, задействованных в этой энзимопатии, — цинка [22].
За счёт двух полученных результатов — подбора модельного объекта и разработки методики селективного обеднения — показана возможность роста кератоцитов в форме клеточного пласта на полученной среде, деплетированной по цинку.
ЗАКЛЮЧЕНИЕ
Задача разработки клеточной модели изучения кератоконуса, адаптированной для проведения последующих биомеханических тестов, решена путём формирования клеточных пластов, повторяющих пространственное взаимно-перпендикулярное ламеллярное строение роговичной стромы, и подбора метода обеднения питательной среды. Результаты настоящего экспериментального исследования свидетельствуют о возможности изучения патогенеза кератоконуса in vitro в рамках «минеральной» гипотезы его формирования.
ДОПОЛНИТЕЛЬНАЯ ИНФОРМАЦИЯ
Источник финансирования. Авторы заявляют об отсутствии внешнего финансирования при проведении исследования.
Конфликт интересов. Авторы декларируют отсутствие явных и потенциальных конфликтов интересов, связанных с публикацией настоящей статьи.
Вклад авторов: А.М. Суббот — дизайн исследования, сбор экспериментального материала, обзор литературы, сбор и анализ литературных источников, подготовка и написание текста статьи; И.А. Новиков — дизайн исследования, сбор экспериментального материала; Л.С. Патеюк — обзор литературы, сбор и анализ литературных источников, подготовка и написание текста статьи; А.В. Кобзева — сбор экспериментального материала, обзор литературы, сбор и анализ литературных источников, подготовка и написание текста статьи; С.Э. Аветисов — дизайн исследования, написание текста и редактирование статьи. Все авторы подтверждают соответствие своего авторства международным критериям ICMJE (все авторы внесли существенный вклад в разработку концепции, проведение исследования и подготовку статьи, прочли и одобрили финальную версию перед публикацией).
Благодарности. Авторы выражают благодарность сотрудникам Лаборатории ядерно-физических и масс-спектральных методов анализа Института проблем технологии микроэлектроники и особо чистых материалов РАН за методологическую помощь.
ADDITIONAL INFORMATION
Funding source. This study was not supported by any external sources of funding.
Competing interests. The authors declare that they have no competing interests.
Authors' contribution: A.M. Subbot — design of the research, collection of experimental material, literature review, collection and analysis of literary sources, preparation and writing of the text of the article; I.A. Novikov — design of the research, collection of experimental material; L.S. Patejuk — literature review, collection and analysis of literary sources, preparation and writing of the text of the article; A.V. Kobzeva — collection of experimental material, literature review, collection and analysis of literary sources, preparation and writing of the text of the article; S.Je. Avetisov — design of the research, writing of the text and editing of the article. All authors confirm that their authorship meets the international ICMJE criteria (all authors have made a significant contribution to the development of the concept, research and preparation of the article, read and approved the final version before publication).
Acknowledgements. The authors are grateful to the staff of the Laboratory of Nuclear Physics and Mass Spectral Methods for Analysis at the Institute of Microelectronics and High-Purity Materials Technology of the Russian Academy of Sciences for their methodological assistance.
About the authors
Anastasija M. Subbot
M.M. Krasnov Research Institute of Eye Diseases
Email: kletkagb@gmail.ru
ORCID iD: 0000-0002-8258-6011
SPIN-code: 3898-2570
MD, Cand. Sci. (Med.)
Russian Federation, MoscowIvan A. Novikov
M.M. Krasnov Research Institute of Eye Diseases
Email: ivan.a.novikov@gmail.com
ORCID iD: 0000-0003-4898-4662
SPIN-code: 3560-1550
Russian Federation, Moscow
Ljudmila S. Patejuk
M.M. Krasnov Research Institute of Eye Diseases
Email: sweethailtoyou@mail.ru
ORCID iD: 0000-0002-5757-6719
SPIN-code: 9389-6307
MD, Cand. Sci. (Med.)
Russian Federation, MoscowAnna V. Kobzeva
M.M. Krasnov Research Institute of Eye Diseases
Author for correspondence.
Email: akobzdoc@gmail.com
ORCID iD: 0000-0002-0771-8934
SPIN-code: 3602-5940
MD, Cand. Sci. (Med.)
Russian Federation, MoscowSergej Je. Avetisov
M.M. Krasnov Research Institute of Eye Diseases; I.M. Sechenov First Moscow State Medical University (Sechenov University)
Email: s.avetisov@niigb.ru
ORCID iD: 0000-0001-7115-4275
SPIN-code: 9784-0459
MD, Dr. Sci. (Med.)
Russian Federation, Moscow; MoscowReferences
- Davidson AE, Hayes S, Hardcastle AJ, Tuft SJ. The pathogenesis of keratoconus. Eye (Lond). 2014;28(2):189–195. doi: 10.1038/eye.2013.278
- Soiberman U, Foster JW, Jun AS, Chakravarti S. Pathophysiology of keratoconus: what do we know today. Open Ophthalmol J. 2017;11:252–261. doi: 10.2174/1874364101711010252
- Mas Tur V, MacGregor C, Jayaswal R, et al. A review of keratoconus: diagnosis, pathophysiology, and genetics. Sur Ophthalmol. 2017;62(6):770–783. doi: 10.1016/j.survophthal.2017.06.009
- Ferrari G, Rama P. The keratoconus enigma: a review with emphasis on pathogenesis. Ocul Surf. 2020;18(3):363–373. doi: 10.1016/j.jtos.2020.03.006
- Kulicov AN, Churashov SV, Kamilova TA, Reituzov VA. Molecular genetic aspects of keratoconus pathogenesis. Ophthalmology Journal. 2017;10(2):62–71. (In Russ). doi: 10.17816/OV10262-71
- Kasparova EA. Modern ideas about the etiology and pathogenesis of keratoconus. The Russian Annals of Ophthalmology. 2002;118(3):50–53. (In Russ).
- Avetisov SE, Novikov IA, Pateiuk LS. Keratoconus: etiological factors and accompanying manifestations. The Russian Annals of Ophthalmology. 2014;130(4):110–116. (In Russ).
- Avetisov SE, Mamikonyan VR, Novikov IA, et al. Abnormal distribution of trace elements in keratoconic corneas. The Russian Annals of Ophthalmology. 2015;131(6):34–42. (In Russ).
- Avcyn AP, Zhavoronkov AA, Rish MA, i dr. Mikrojelementozy cheloveka: jetiologija, klassifikacija, organopatologija. Moscow: Medicina; 1991. (In Russ).
- Severin ES. Biohimija. Moscow: GEOTAR-Media; 2020. (In Russ).
- Blanco A, Blanco G. Medical biochemistry. Academic Press; 2017. 806 p.
- Karamichos D, Zareian R, Guo X, et al. Novel in vitro model for keratoconus disease. J Funct Biomater. 2012;3(4):760–775. doi: 10.3390/jfb3040760
- Cho YE, Lomeda RA, Ryu SH, et al. Cellular Zn depletion by metal ion chelators (TPEN, DTPA and chelex resin) and its application to osteoblastic MC3T3-E1 cells. Nutr Res Pract. 2007;1(1):29–35. doi: 10.4162/nrp.2007.1.1.29
- Carpentieri U, Myers J, Daeschner CW 3rd, Haggard ME. Observations on the use of a cation exchange resin for the preparation of metal-depleted media for lymphocyte culture. J Biochem Biophys Methods. 1987;14(2):93–100. doi: 10.1016/0165-022x(87)90044-3
- Dolar-Szczasny J, Święch A, Flieger J, et al. Levels of trace elements in the aqueous humor of cataract patients measured by the inductively coupled plasma optical emission spectrometry. Molecules. 2019;24(22):4127. doi: 10.3390/molecules24224127
- Cancarini A, Fostinelli J, Napoli L, et al. Trace elements and diabetes: assessment of levels in tears and serum. Exp Eye Res. 2017;154:47–52. doi: 10.1016/j.exer.2016.10.020
- Sharif R, Priyadarsini S, Rowsey TG, et al. Corneal tissue engineering: an in vitro model of the stromal-nerve interactions of the human cornea. J Vis Exp. 2018;(131):e56308. doi: 10.3791/56308
- Ghezzi CE, Rnjak-Kovacina J, Kaplan DL. Corneal tissue engineering: recent advances and future perspectives. Tissue Eng Part B Rev. 2015;21(3):278–287. doi: 10.1089/ten.TEB.2014.0397
- Karamichos D. Ocular tissue engineering: current and future directions. J Funct Biomater. 2015;6(1):77–80. doi: 10.3390/jfb6010077
- Karamichos D, Hjortdal J. Keratoconus: tissue engineering and biomaterials. J Funct Biomater. 2014;5(3):111–134. doi: 10.3390/jfb5030111
- Karamichos D, Hutcheon AE, Rich CB, et al. In vitro model suggests oxidative stress involved in keratoconus disease. Sci Rep. 2014;(4):4608. doi: 10.1038/srep04608
- Lasagni Vitar RM, Bonelli F, Rama P, Ferrari G. Nutritional and metabolic imbalance in keratoconus. Nutrients. 2022;14(4):913. doi: 10.3390/nu14040913
Supplementary files






