About cases of fibrodysplasia ossification progressive
- Authors: Deev R.V.1, Presnyakov E.V.1, Kopylov E.D.1, Podluzhny P.S.1, Kurilin I.S.1, Zhemkov N.I.1
-
Affiliations:
- North-Western State Medical University named after I.I. Mechnikov
- Issue: Vol 17, No 4 (2022)
- Pages: 105-114
- Section: Original Study Articles
- URL: https://medbiosci.ru/2313-1829/article/view/143505
- DOI: https://doi.org/10.23868/gc467495
- ID: 143505
Cite item
Abstract
Fibrodysplasia ossificans progressive is a uniquely rare autosomal dominant disease with complete penetrance that develops as a result of a spontaneous mutation in the type IA activin gene (ACVR1, ALK2), which is a bone morphogenetic protein receptor. The main manifestation of the disease is the development of heterotopic osteogenesis in "soft tissues" — subcutaneously, inter- and intramuscularly.
This report summarizes the results of an intravital pathoanatomical study of erroneously taken biopsy specimens in children of different ages. Correspondence was shown to previously published data that the development of heterotopic ossification is associated with an increase in local tissue manifestations of inflammation — infiltration by CD45, CD68, CD163 cells, immune responses — accumulation of CD3 cells. At the same time, it has been suggested that the development of bone tissue can be associated not only with the development of the process of enchondral osteogenesis, but also in a direct way — due to the direct differentiation of paravascular (adventitial) osteochondrogenic cells (stem stromal cells, multipotent mesenchymal stromal cells) into osteoblasts. The typical structure of ossificates consisting of reticulofibrous bone tissue produced by active osteoblasts and resorbed by CAII-positive giant multinucleated osteoclast cells is shown.
Full Text
ВВЕДЕНИЕ
Фибродисплазия оссифицирующая прогрессирующая (ФОП) — крайне редкое аутосомно-доминантное заболевание с полной пенетрантностью, основным проявлением которого является распространённое образование гетеротопических оссификатов в подкожно-жировой клетчатке, мышцах, сухожилиях и связках спорадически и (или) в ответ на местную травму (ушибы, инъекции, биопсийная инвазия) [1]. Считается, что распространённость ФОП в мире составляет 1 случай на 2 000 000 человек без половой, расовой и этнической предрасположенности [2]. Это заболевание резко снижает качество жизни больных и является инвалидизирующим: по мере прогрессирования пациенты становятся ограниченными в движениях и утрачивают способность к самообслуживанию. ФОП может манифестировать и проявляться клиническими обострениями — так называемыми вспышками, когда формированию гетеротопического оссификата предшествуют признаки местного воспалительного процесса, включающие уплотнение тканей, отёк, болезненность и покраснение «мягких тканей» после воздействия травмирующего фактора. Описаны бессимптомные формы начала внескелетного костеобразования. В большинстве случаев исходом «вспышки» становится сформированный гетеротопический оссификат. В некоторых случаях обострение разрешается без формирования костной ткани [3].
Более 95% случаев ФОП связаны с генной мутацией в домене глицина–серина (GS) рецептора активина IA/активин-подобной киназы 2 (ACVR1/ALK2), являющегося рецептором активина и костного морфогенетического белка (bone morphogenic protein, BMP) [4]. В норме GS-домен, расположенный в интрацеллюлярной части этого трансмембранного протеина, связывается с белком-ингибитором FKBP12, предотвращая активацию в условиях отсутствия или низкой концентрации лигандов, которыми выступают представители суперсемейства TGF-β: активин А, BMP-2, -4, -6, -7 и др. (рис. 1). Функционирование рецепторного аппарата осуществляется через сборку тетрагетеромерного комплекса ACVR1 с рецепторами типа II (AMHR2, ACVR2A или ACVR2B). При связывании с лигандом, например с BMP, рецепторы типа II трансфосфорилируют внутриклеточный домен ACVR1. Затем активируется киназный домен ACVR1, фосфорилируются белки SMAD1/5/8, в свою очередь активируя этот сигнальный каскад, приводящий к скелетогенной дифференцировке клеток. Белки данного каскада функционируют как факторы транскрипции остеогенной и хондрогенной дифференцировки клеток так называемого мезенхимного резерва [5]. Конкурентное связывание рецептора с активином А подавляет передачу сигналов SMAD1/5/8, смещая внутриклеточный сигналинг в сторону активации SMAD2/3. Функционирование рецепторного комплекса с ACVR1mut приводит к интенсификации внутриклеточного сигнального пути SMAD1/5/8 за счёт постоянного фосфорилирования внутриклеточных молекул даже в отсутствие или при низкой концентрации BMP, а также обусловливает потерю способности к конкурентному ингибированию BMP-сигналинга при связывании с активином А [6]. Предполагается, что цитокиновый спектр, потенцирующий этот местный процесс, создают клетки врождённого (макрофаги, тучные клетки) и адаптивного (лимфоциты) иммунитета, непосредственно находящиеся в соединительной ткани разных анатомических областей [7].
Рис. 1. Схема функционирования ACVR1. Слева — тетрагетеромерный мембранный рецепторный комплекс в норме: ACVR1 образует комплексы гетеротетрамерных рецепторов с рецепторами типа II (AMHR2, ACVR2A или ACVR2B); конкурентное связывание рецептора с активином А подавляет передачу сигналов SMAD1/5/8, смещая внутриклеточный сигналинг в сторону активации SMAD2/3. Справа — функционирование рецепторного комплекса с ACVR1mut, при котором происходит повышение активации внутриклеточного сигнального пути SMAD1/5/8 за счёт постоянного фосфорилирования его внутриклеточных частей и потери способности к конкурентному ингибированию BMP-сигналинга при связывании с активином А.
Впервые ФОП была описана в 1692 году французским врачом Гайемом Пэтином. Последний в письме своему коллеге упомянул пациентку, которая «стала твёрдой, как дерево». Одно из первых развёрнутых гистологических исследований костной ткани при ФОП было проведено в 1918 году. В зоне будущей кости J. Rosenstirn обнаружил участки кровоизлияния, окружённые соединительнотканными волокнами, которые со временем постепенно оссифицировались, приобретая вид пластинчатой костной ткани, минуя хрящевую стадию, т.е. происходил эндесмальный остеогистогенез. Кроме этого, был описан и гетеротопический энхондральный остеогистогенез — процесс костеобразования на основе предсуществующей гиалиновой хрящевой ткани. По мнению автора, работавшего более века назад, источником для образования костной ткани являлись клетки крови, в частности эритроциты, которые приобретали ядро, веретенообразную форму и вид костных клеток [8].
В современной научной литературе отсутствуют подробные данные о патоморфологической характеристике ФОП, клеточном составе инфильтрата и критическом анализе механизмов гетеротопической оссификации.
Цель исследования — осуществить гистологическскую характеристику ошибочно взятых биоптатов1 из очагов «вспышек» и гетеротопических оссификатов больных фибродисплазией оссифицирующей прогрессирующей на разных этапах развития.
МАТЕРИАЛ И МЕТОДЫ
Материалом послужил архивный биопсийный материал от пяти пациентов (табл. 1), прооперированных с диагностической целью до установления клинического и генетического диагноза ФОП в различных учреждениях РФ. Впоследствии диагноз М61.1 «Фибродисплазия оссифицирующая прогрессирующая» (МКБ-10) был верифицирован по результатам генетического исследования.
Таблица 1. Краткая клиническая характеристика пациентов
№ п/п | Возраст на момент биопсии | Локализация образования | Длительность анамнеза до биопсии |
1 | 1 год 8 мес | Подкожно-жировая клетчатка в проекции поясничного отдела позвоночного столба | 2,5 нед |
2 | 2 года | Подкожно-жировая клетчатка в проекции шейного отдела позвоночного столба | 5,5 мес |
3 | 4 года 1 мес | Грудино-ключично-сосцевидная мышца | 3,5 мес |
4 | 33 года | Мышца левой голени (без уточнения) | Неизвестно |
5 | 2 года | Подкожно-жировая клетчатка в подлопаточной области (без уточнения) | 1,5 мес |
Полученные фрагменты тканей фиксировали в 10% забуференном растворе формалина. В случае, если биоптат включал минерализованные участки, образец декальцинировали раствором «СофтиДек» («БиоВитрум», Россия) при соотношении объёма объекта и объёма жидкости 1:50. Гистологическую проводку, заливку в парафиновые блоки и микротомию (толщина срезов — 5 мкм) осуществляли по стандартной методике. Препараты окрашивали гематоксилином и эозином, по Маллори, по Массону–Голднеру, толуидиновым синим; проводили иммуногистохимическое исследование с антителами к карбоангидразе II (CAII; OriGene, США), α-гладкомышечному актину (αГМА), CD45, CD68, CD163, CD3 (Cell Marque, США).
РЕЗУЛЬТАТЫ
Полученные тканевые образцы были разделены исходя из клинического периода болезни и структурных особенностей на соответствующие очагам «вспышек», представленные реактивно изменённой соединительной тканью и биоптаты, включающие костную ткань.
Установлено, что участки изменённой дермы, подкожной соединительной ткани, перимизия и эндомизия состоят из реактивно изменённой волокнистой соединительной ткани, характеризующейся высокой клеточностью, лейкоцитарной инфильтрацией и богатой васкуляризацией (рис. 2).
Рис. 2. Строение тканей в очагах «вспышек»: а — некроз мышечной ткани; б — гиперклеточная волокнистая соединительная ткань с участками липоматоза и полнокровными кровеносными сосудами; в — богато васкуляризированная гиперклеточная соединительная ткань; г — миофибробласты и лейомиоциты в реактивно изменённой соединительной ткани; д — клетки CD45; е, ж — клетки CD68; з — клетки CD3. * мышечные волокна. Окраска: а — по Маллори; б, в — гематоксилин и эозин; г, д — иммуногистохимические реакции, продукт окрашен диаминобензидином в коричневый цвет. Ув.: а–в ×100; г–з ×200.
Основным клеточным элементом очагов являются αГМА-положительные веретеновидные миофибробласты и лейомиоциты. Среди клеток лейкоцитарного инфильтрата (CD45+) преобладают макрофаги-гистиоциты, CD3-лимфоциты малочисленны.
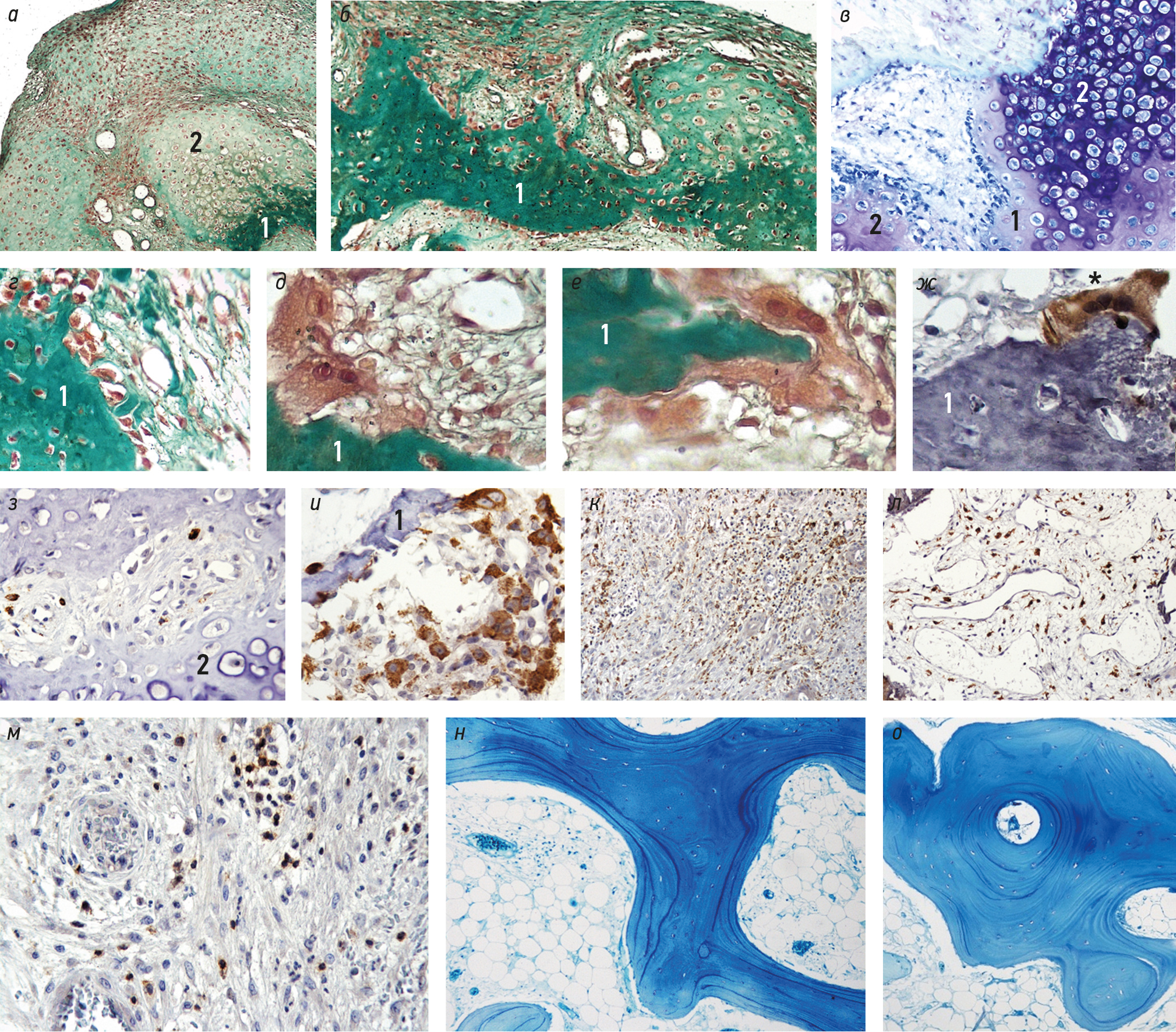
Образцы, включавшие костную ткань, характеризуются наличием трабекул смешанного строения (как гиалиноподобная хрящевая, так и ретикулофиброзная костная ткани (рис. 3)). Следует отметить, что рост таких трабекул осуществляется оппозиционно — с поверхности, посредством дифференцировки мелких оcтеохондрогенных клеток; в ряде случаев они преобразуются в клетки хрящевой ткани и генерируют хрящевой матрикс; в некоторых участках дифференцируются в остеобласты (рис. 3, а–в). Истинного процесса энхондрального остеогенеза с врастанием кровеносных сосудов в поля хрящевой ткани и хондрокластической резорбцией в нашем исследовании не наблюдалось. В самых крупных образцах костные балки представлены высокоминерализованной пластинчатой костной тканью. Причём иногда костные пластинки вокруг сосудов формируют остеоноподобные конструкции.
Рис. 3. Строение гетеротопических оссификатов при ФОП: а–в — костно-хрящевые балки; г — активные остеобласты, строящие ретикулофиброзную костную ткань; д, е — остеокласты, резорбирующие костные трабекулы; ж — CAII-положительная гигантская многоядерная клетка на поверхности костной трабекулы (*); з — клетки CD68 в периваскулярной соединительной ткани вблизи хрящевой части гетеротопических оссификатов; и — CD68-положительные гигантские многоядерные клетки; к — клетки CD68 в реактивно изменённой соединительной ткани; л — клетки CD163 в межбалочном пространстве гетеротопических оссификатов; м — клетки CD3 в реактивно изменённой соединительной ткани; н, о — пластинчатая костная ткань гетеротопических оссификатов. 1 — ретикулофиброзная костная ткань; 2 — гиалиноподобная хрящевая ткань. Окраска: а, б, г–е — по Массону; ж–м — иммуногистохимические реакции, продукт окрашен диаминобензидином в коричневый цвет; н, о — толуидиновый синий. Ув.: а, к, л — ×100; б, в, г, з, и, н, м, о — ×200; д–ж — ×400.
Образовавшийся костный матрикс, по своим тинкториальным характеристикам представляющий собой типичную ретикулофиброзную костную ткань, охотно резорбируется гигантскими многоядерными клетками, которые могут быть идентифицированы как остеокласты (CD68+, CAII+), не дающие положительной иммуногистохимической реакции с маркёром М2-макрофагов — антителами к CD163.
Межбалочное пространство всегда заполнено реактивно изменённой волокнистой соединительной тканью; элементы кроветворного костного мозга не находятся. Такая ткань, как правило, хорошо кровоснабжается, а также содержит тонкостенные венулы. Среди клеток инфильтрата преобладают макрофаги-гистиоциты. CD3-лимфоциты, напротив, редки; они локализуются в периваскулярных участках соединительной ткани либо в виде единичных клеток, либо в немногочисленных кластерах; причём этот субтип клеток обнаружен только в образце от одного пациента.
ОБСУЖДЕНИЕ
Процесс гетеротопической оссификации, формирования скелета конечностей в плодном периоде и постнатальная регенерация костной ткани после перелома в целом схожи и в качестве основного гистогенетического звена включают энхондральный остеогистогенез. Важным отличием процесса внескелетного костеобразования при ФОП является предшествующее воспаление «мягких тканей» с формированием особого полидифферонного ансамбля воспалительных и иммунных клеток в составе инфильтрата [8, 9].
Феномен гетеротопического костеобразования известен весьма широко, большая часть случаев его развития не связана с генетическими причинами и имеет индукционную посттравматическую природу. По определению А.Я. Фриденштейна, гетеротопический остеогенез — это формирование дифференцированной костной ткани вне скелета в местах, не связанных преемственностью с первоначально детерминированной скелетогенной мезенхимой [9]. По его мнению, существуют три группы состояний, индуцирующих остеогенез: некроз тканей; свободная пересадка ауто- и аллокостной ткани (регенерация костной ткани путем индукции по Л.В. Полежаеву, 1964); влияние некоторых типов эпителия (в частности, переходного) в условиях реактивных изменений (некроз, регенерация, свободная пересадка). В клиническом плане этот процесс может развиваться у спинальных больных при заболеваниях центральной нервной системы [10], при реорганизации параоссальных и парартикулярных гематом [11], в послеоперационных рубцах [12], в очагах кальциноза клапанов сердца и зонах атерокальциноза крупных артерий [13], а также при онкогенезе [14–16].
Считается, что процесс гетеротопического формирования кости, вызванный травмой, реализуется посредством энхондральной (а не внутримембранной) оссификации. Однако опубликованы случаи прямого остеогенеза при этом [17]. Механизм образования костной ткани после травмы ЦНС всё ещё изучается, более того, гистологическая картина гетеротопических оссификатов после травмы головного и спинного мозга сходна [18].
Описано, что процесс гетеротопической оссификации проходит несколько стадий. В начале наблюдается интенсивная периваскулярная лимфоцитарная инфильтрация, миграция лимфоцитов в мышечную ткань с явлениями мионекроза. Гибель мышечной ткани подтверждена и нашими наблюдениями (рис. 2, а). Точная причина деструкции не установлена, однако миграция мононуклеаров в поражённую мышцу, развивающаяся при этом, предшествует прогрессии этих местных проявлений (рис. 2, д–ж) [19]. Авторами отмечается интенсивная пролиферативная реакция, связанная с выраженным ангиогенезом и неоваскуляризацией, образованием гиалинового хряща и, в исходе местных изменений, — пластинчатой костной ткани путём энхондральной оссификации.
В некоторых случаях в дифференциально диагностическом ряду ФОП может быть учтён оссифицирующий миозит. Это заболевание характеризуется ограниченным доброкачественным оссифицирующим поражением «мягких тканей», включая подкожно-жировую клетчатку, сухожилия и нервы. Предположено, что пути оссификации при ненаследственных и наследственных формах заболевания отличаются. Негенетические формы гетеротопических оссификатов могут образовываться путём эндохондрального и интрамембранозного процесса. Оссифицирующий миозит всегда демонстрирует процесс интрамембранозной оссификации. Напротив, K.L. Foley и соавт. [20] выявили хрящевую ткань и энхондральную оссификацию в изученных случаях периартикулярной оссификации.
Генетически обусловленные формы гетеротопических оссификатов — ФОП и прогрессирующая костная гетероплазия — демонстрируют различные гистологические характеристики. Высказано мнение, что при ФОП в очагах развития скелетных тканей объём хряща значительно больше, чем при приобретённых состояниях, что, однако, не в полной мере подтверждается образцами, исследованными нами. Согласно опубликованным данным, интрамембранозная оссификация преобладает при прогрессирующей костной гетероплазии [21].
Важным аспектом создания предпосылок к развитию гетеротопических оссификатов является местный цитокиновый статус ткани. По данным литературы, посвящённой вопросам ФОП, клеточно-дифферонный состав оссификатов представлен остеобластами, хондроцитами, хондрокластами, лимфоцитами, макрофагами и тучными клетками.
В ранних биоптатах больных с ФОП обнаружены веретенообразные клетки, экспрессирующие маркёры гладкомышечных клеток — виментин, αГМА [22], что установлено и нами. Эти клетки также экспрессировали белки остеобластического ряда (остеокальцин и костный сиалопротеин) и костный транскрипционный фактор Runx2/Cbfa-1.
Важную роль в процессе воспаления при ФОП выполняют макрофаги, регулирующие иммунный ответ при травме и направление дифференцировки мультипотентных мезенхимальных стволовых клеток [23]. В эксперименте на мышах, мутантных по гену ACVR1, с изолированным дефицитом тучных клеток или макрофагов показано снижение объёма гетеротопической оссификации после мышечной травмы, индуцированной кардиотоксином, приблизительно на 50%, в то время как дефицит обеих клеточных популяций снижает объём вновь образованной костной ткани на 75% в сравнении с контролем. Анализ уровня экспрессии провоспалительных цитокинов и хемокинов также выявил различия между группами мутантных и здоровых мышей [24]. Разнообразие клеточного состава, выявленное при исследовании биоптатов, а также данные литературы позволяют сделать предположение, что взаимодействия между разными видами клеток, включая клетки иммунной системы, вносят вклад в патологический процесс в ответ на повреждение.
Ранее лимфоциты в составе биоптатов были обнаружены только на начальных стадиях патологического процесса [19]. При этом В-лимфоциты располагались преимущественно периваскулярно, тогда как Т-лимфоциты визуализировались внутримышечно. Авторы работы [25] предполагают непосредственное участие в создании индукционного влияния лимфоцитов, экспрессирующих повышенные уровни BMP и ведущих к оссификации, на остеохондрогенные клетки-предшественницы.
В отличие от популяции лимфоцитов, тучные клетки обнаруживались на всех стадиях развития заболевания повсеместно [26]. На ранних стадиях, когда наблюдается периваскулярная инфильтрация Т- и В-лимфоцитов, количество тучных клеток в 10 раз больше, чем в нормальной скелетной мышце. По мере развития изменений в мышечной ткани при ФОП число тучных клеток в биоптате увеличивается в 40–150 раз по сравнению с интактной тканью [26].
ЗАКЛЮЧЕНИЕ
Проведённое исследование пяти образцов тканей, полученных от пациентов с ФОП в различные периоды болезни, показывает целесообразность разделения процесса патологического (гетеротопического) остеогистогенеза на две стадии: 1) «вспышки», при которой местно формируются междифферонные клеточные ассоциации, создающие провоспалительный гистогенетический фон для последующей индукции остеогенной дифференцировки остеохондрогенных клеток-предшественниц; 2) стадию собственно остеогенеза, которая может реализовываться путём прямого энхондрального костеобразования. Сформированная таким образом кость не несёт механической нагрузки и подвергается интенсивному ремоделированию, в котором участвуют клетки типичных для костной ткани дифферонов — остеобластического и остеокластического, а также гистиоцитарного (макрофагального). По-видимому, механизм остеогенеза, тинкториальные свойства новообразованного в гетеротопическом ложе костного матрикса, а также состав клеточного инфильтрата не могут служить надёжным морфологическим дифференциально-диагностическим критерием определения природы гетеротопических оссификатов. Однако расшифровка молекулярных межклеточных связей при гетеротопической оссификации может стать основанием к определению новых терапевтических мишеней для обоснованной патогенетической терапии ФОП.
ДОПОЛНИТЕЛЬНО
Источник финансирования. Исследование и публикация осуществлены на личные средства авторского коллектива.
Конфликт интересов. Авторы декларируют отсутствие явных и потенциальных конфликтов интересов, связанных с публикацией настоящей статьи.
Вклад авторов. Все авторы подтверждают соответствие своего авторства международным критериям ICMJE (все авторы внесли существенный вклад в разработку концепции, проведение исследования и подготовку статьи, прочли и одобрили финальную версию перед публикацией).
1 Инвазивные процедуры строго противопоказаны пациентам с ФОП.
About the authors
Roman V. Deev
North-Western State Medical University named after I.I. Mechnikov
Author for correspondence.
Email: romdey@gmail.com
ORCID iD: 0000-0001-8389-3841
SPIN-code: 2957-1687
MD, Cand. Sci. (Med.), Associate Professor
Russian Federation, Saint PetersburgEvgeny V. Presnyakov
North-Western State Medical University named after I.I. Mechnikov
Email: uvpres@gmail.com
ORCID iD: 0000-0003-1546-5129
SPIN-code: 4001-4715
Russian Federation, Saint Petersburg
Evgeny D. Kopylov
North-Western State Medical University named after I.I. Mechnikov
Email: evgenijkopylov19540@gmail.com
ORCID iD: 0009-0008-9927-5608
SPIN-code: 1118-4358
Russian Federation, Saint Petersburg
Pavel S. Podluzhny
North-Western State Medical University named after I.I. Mechnikov
Email: paul_podluzhny@mail.ru
ORCID iD: 0009-0003-0996-2759
SPIN-code: 7101-0526
Russian Federation, Saint Petersburg
Ivan S. Kurilin
North-Western State Medical University named after I.I. Mechnikov
Email: Kurilin99@icloud.com
ORCID iD: 0000-0002-6379-6523
Russian Federation, Saint Petersburg
Nikita I. Zhemkov
North-Western State Medical University named after I.I. Mechnikov
Email: zhemkovni@gmail.com
ORCID iD: 0009-0003-2423-6544
SPIN-code: 3779-4360
Russian Federation, Saint Petersburg
References
- Petrie KA, Lee WH, Bullock AN, et al. Novel mutations in ACVR1 result in atypical features in two fibrodysplasia ossificans progressiva patients. PLoS One. 2009;4(3):e5005. doi: 10.1371/journal.pone.0005005
- Morales-Piga A, Bachiller-Corral J, Trujillo-Tiebas MJ, et al. Fibrodysplasia ossificans progressiva in Spain: epidemiological, clinical, and genetic aspects. Bone. 2012;51(4):748–755. doi: 10.1016/j.bone.2012.07.002
- Pignolo RJ, Bedford-Gay C, Liljesthrom M, et al. The natural history of flare-ups in fibrodysplasia ossificans progressiva (FOP): a comprehensive global assessment. J Bone Miner Res. 2016;31(3):650–656. doi: 10.1002/jbmr.2728
- Shore E, Xu M, Feldman G, et al. A recurrent mutation in the BMP type I receptor ACVR1 causes inherited and sporadic fibrodysplasia ossificans progressive. Nat Genet. 2006;38(5):525–527. doi: 10.1038/ng1783
- Hildebrand L, Stange K, Deichsel A, et al. The fibrodysplasia ossificans progressiva (FOP) mutation p.R206H in ACVR1 confers an altered ligand response. Cell Signal. 2017;29:23–30. doi: 10.1016/j.cellsig.2016.10.001
- Cappato S, Giacopelli F, Ravazzolo R, et al. The horizon of a therapy for rare genetic diseases: a «druggable» future for fibrodysplasia ossificans progressive. Int J Mol Sci. 2018;19(4):989. doi: 10.3390/ijms19040989
- Convente MR, Wang H, Pignolo RJ, et al. The immunological contribution to heterotopic ossification disorders. Curr Osteoporos Rep. 2015;13(2):116–124. doi: 10.1007/s11914-015-0258-z
- Rosenstirn J. A contribution to the study of myositis ossificans progressiva. Ann Surg. 1918;68(6):591–637. doi: 10.1097/00000658-191812000-00005
- Fridenshtejn AJa. Gistologicheskij analiz inducirovannogo osteogeneza [dissertation]. Moscow; 1959. (In Russ).
- Kesyan GA, Urazgildeev RZ, Dan IM, et al. Heterotopic ossification of large joints, as a complication of injuries and diseases of the central nervous system (review). Vestnik of the Smolensk State Medical Academy. 2017;16(4):154–160. (In Russ).
- Deev RV, Bersenev AV. Rol’ stvolovyh stromal’nyh (mezenhimal’nyh) kletok v formirovanii geterotopicheskih ossifikatov. Kletochnaja transplantologija i tkanevaja inzhenerija. 2005;(1):46–48. (In Russ).
- Reardon MJ, Tillou A, Mody DR, Reardon PR. Heterotopic calcification in abdominal wounds. Am J Surg. 1997;173(2):145–147. doi: 10.1016/S0002-9610(96)00415-1
- Mohler ER 3rd, Gannon F, Reynolds C, et al. Bone formation and inflammation in cardiac valves. Circulation. 2001;103(11):1522–1528. doi: 10.1161/01.cir.103.11.1522
- Ryvkind AV. K voprosu ob uchastii jepitelija v obrazovanii kostnoj tkani. Arhiv patologicheskoj anatomii i patologicheskoj fiziologii. 1936;II(5):111–115. (In Russ).
- Deev RV, Plaksa IL, Baranich AV. Osteogenesis in epitelial tumors on the example of a pilomatricomas. Genes & Cells. 2020;XV(1):60–65. (In Russ). doi: 10.23868/202003008
- Olinici CD, Domşa I, Drăghici A, Munteanu V. Heterotopic bone formation in gastric carcinoma. Case report and discussion of the literature. Rom J Gastroenterol. 2002;11(4):331–333.
- Deev RV, Plaksa IL, Mavlikeev MO, et al. Early stages of regeneration histogenesis in periostal part of bone callus in man. Morphology. 2018;153(2):63–69. (In Russ).
- Wong KR, Mychasiuk R, O’Brien TJ, et al. Neurological heterotopic ossification: novel mechanisms, prognostic biomarkers and prophylactic therapies. Bone Res. 2020;8(1):42. doi: 10.1038/s41413-020-00119-9
- Gannon FH, Valentine BA, Shore EM, et al. Acute lymphocytic infiltration in an extremely early lesion of fibrodysplasia ossificans progressiva. Clin Orthop Re. Res. 1998;(346):19–25.
- Foley KL, Hebela N, Keenan MA, Pignolo RJ. Histopathology of periarticular non-hereditary heterotopic ossification. Bone. 2018;109:65–70. doi: 10.1016/j.bone.2017.12.006
- Meyers C, Lisiecki J, Miller S, et al. Heterotopic ossification: a comprehensive review. JBMR Plus. 2019;3(4):e10172. doi: 10.1002/jbm4.10172
- Gannon FH, Kaplan FS, Olmsted E, et al. Bone morphogenetic protein 2/4 in early fibromatous lesions of fibrodysplasia ossificans progressiva. Hum Pathol. 1997;28:339–343. doi: 10.1016/s0046-8177(97)90133-7
- Pignolo RJ, Suda RK, Kaplan FS. The fibrodysplasia ossificans progressiva lesion. Clinic Rev Bone Miner Metab. 2005;(3):195–200. doi: 10.1385/BMM:3:3-4:195
- Kaplan FS, Le Merrer M, Glaser DL, et al. Fibrodysplasia ossificans progressiva. Best Pract Res Clin Rheumatol. 2008;22(1):191–205. doi: 10.1016/j.berh.2007.11.007
- Shafritz AB, Shore EM, Gannon FH, et al. Overexpression of an osteogenic morphogen in fibrodysplasia ossificans progressiva. N Engl J Med. 1996;335(8):555–561. doi: 10.1056/NEJM199608223350804
- Gannon FH, Glaser D, Caron R, et al. Mast cell involvement in fibrodysplasia ossificans progressiva. Hum Pathol. 2001;32(8):842–848. doi: 10.1053/hupa.2001.26464
Supplementary files




