Model of toxic fibrosis in Wistar rats: morphological and molecular-genetic parameters of the transition point to cirrhosis
- Autores: Lebedeva E.I.1, Shchastniy A.T.1, Babenka A.S.2
-
Afiliações:
- Vitebsk State Order of Peoples’ Friendship Medical University
- Belarussian State Medical University
- Edição: Volume 18, Nº 3 (2023)
- Páginas: 219-234
- Seção: Original Study Articles
- URL: https://medbiosci.ru/2313-1829/article/view/253484
- DOI: https://doi.org/10.23868/gc546031
- ID: 253484
Citar
Resumo
BACKGROUND: To date, when studying the cellular and molecular genetic mechanisms of liver fibrogenesis in experimental rat models, no attention is paid to the transition point of fibrosis to cirrhosis as a separate stage. As this pathology develops, changes in the cell phenotype and gene expression are dynamic in nature, so it is necessary to evaluate them in a long-term temporal dynamics.
AIM: The aim of this work is to study the morphological and molecular genetic changes in the liver of Wistar rats during nodular parenchymal rearrangement.
METHODS: Fibrosis and cirrhosis of the liver in male Wistar rats was induced with a freshly prepared solution of thioacetamide, which was administered intragastrically through a tube at a dose of 200 mg/kg of body weight 2 times a week for 13 weeks. The level of mRNA of the tweak (tnfsf12), fn14 (tnfrsf12a), ang, vegfa, cxcl12 (sdf), and mmp-9 genes in the liver was detected by real-time polymerase chain reaction. Immunohistochemical study was performed on paraffin sections. α-SMA, FAP, CD68, CD206, CX3CR1, CD45 were used as markers. The area of interlobular veins and interlobular arteries was measured (µm2). The number of sinusoidal capillaries and interlobular veins was counted.
RESULTS: Based on the results obtained, it is possible to establish the transition point of fibrosis to cirrhosis as an independent separate stage of fibrogenesis. This transition was identified at stage F5, and the process itself — from F4/F5 to F6.
With the growth of fibrous tissue and nodular restructuring of the liver parenchyma, no progression of dystrophic processes and an increase in the zones of necrosis and necrobiosis of hepatocytes were noted. The number of α-SMA+ and FAP+ cells in the period F4–F5 did not change (p=0.2073 and p=0.3775, respectively). At the same time, significant F6 cirrhosis was accompanied by an increase in their number by 1.5 times (p <0.00001). Differences in the number of CD68+ cells were revealed only at the F4/F5 stage (2.0 times higher than the control, p <0.00001). The number of CD206+, CX3CR1+ and CD45+ cells remained the same. An increase in the number of interlobular veins (p <0.00001) and a decrease in sinusoidal capillaries (p <0.00001) were found compared to the control.
The transition to cirrhosis was characterized by changes in the expression levels of tweak, fn14, ang, vegfa, cxcl12, and mmp-9 mRNAs, as well as the presence and strength of the relationship between them. Significant correlations were revealed between the target genes (r=0.5–0.84; p <0.01).
CONCLUSION: The transition point of fibrosis to cirrhosis has special morphological and molecular genetic features that expand knowledge about pathomorphological changes in the liver.
Palavras-chave
Texto integral
ВВЕДЕНИЕ
Цирроз печени входит в группу 11 лидирующих болезней, наиболее часто приводящих к смерти людей во всём мире [1, 2]. Однако эффективных терапевтических средств лечения этого заболевания на сегодняшний день не существует [3, 4].
Принято считать, что хронической печёночной недостаточности предшествуют четыре стадии: воспаление, фиброз, цирроз и терминальная стадия заболевания, и/или гепатоцеллюлярная карцинома [2, 5]. Анализ научной литературы показал, что механизмы, определяющие переход от фиброза к необратимому состоянию, мало изучены. Недостаточность стандартизованных воспроизводимых экспериментальных моделей фиброза и цирроза печени существенно затрудняет интерпретацию полученных данных фундаментальных исследований и результатов исследований по сравнительной эффективности лекарственных средств и их конечного терапевтического эффекта. На существующих экспериментальных моделях животных большинство авторов уделяют внимание конкретным, далеко отстоящим друг от друга ключевым позициям: печень в норме, фиброз и цирроз либо фиброгенез не на всём протяжении времени. Несмотря на видимые преимущества (рассматриваются сравнительно резкие переходы от стадии к стадии, что легко регистрируется методами общего морфологического и иммуногистохимического окрашивания, молекулярно-генетическими инструментами), такой подход не позволяет в полной мере оценить динамику протекающих патологических процессов. Получаемые результаты часто представляют собой совокупность фактов, статистически значимых отличий, которые, несомненно, важны в качестве критериев оценки, в том числе и применительно к рутинной клинической диагностике. Однако их недостаточно для понимания направленности процесса внутри одной стадии, а также роли незначительных колебаний изучаемых параметров и характеристик [6–10].
Мы предположили, что точка перехода фиброза печени в цирроз будет иметь исключительные патоморфологические и молекулярно-генетические особенности. За основу были взяты следующие гистологические критерии: нарушение пластинчатого строения паренхимы, разрастание фиброзной ткани, лимфоидно-гистиоцитарная инфильтрация и нарушение кровообращения [11–13]. Результаты ранее проведённых научных исследований показывают, что этим критериям соответствуют шесть генов: tweak (tnfsf12), fn14 (tnfrsf12a), ang, vegfa, cxcl12 (sdf) и mmp-9. При фиброзе печени гены сигнального пути TWEAK/Fn14 могут индуцировать поляризацию макрофагов, деление фибробластов и эпителиальных клеток желчных протоков, ангиогенез и прочие процессы [14, 15]. При хронических заболеваниях печени аномально экспрессируются сигнальные белки, стимулирующие патологический ангиогенез, такие как фактор роста эндотелия сосудов (vascular endothelial growth factor, VEGF) и ангиопоэтин (angiopoietin, ANG) [16, 17]. По последним литературным данным, патологический ангиогенез связан с фиброзом и может выступать в качестве его инициатора. Незначительное количество работ посвящено роли хемокина CXCL12 в развитии фиброза в различных органах. Предположительно он может рассматриваться как мишень для терапии фиброза и цирроза печени [18]. Высокие уровни экспрессии mmp-9 связывают со стимуляцией фиброза и ремоделированием соединительной ткани [19]. Материалы научных работ свидетельствуют о том, что гены tweak (tnfsf12), fn14 (tnfrsf12a), ang, vegfa, cxcl12 (sdf) и mmp-9 редко исследуют совместно. До сих пор неизвестно, взаимосвязаны ли они между собой и как функционируют вместе при фиброзе и циррозе печени. Вероятно, причиной является то, что гены принадлежат к разным молекулярным путям и процессам [20].
Прогрессирование фиброза происходит с участием паренхиматозных, непаренхиматозных клеток печени и пришлых, инфильтрирующих орган клеток [1, 4]. Для исследования были выбраны жиронакапливающие клетки (в том числе звёздчатые клетки печени, липоциты, перисинусоидные клетки, клетки Ито, перициты, стеллатные клетки) и портальные фибробласты — основные источники секреции межклеточного вещества; три субпопуляции макрофагов (тканевые, костномозгового происхождения, активированные по альтернативному противовоспалительному M2-фенотипу); гемопоэтические стволовые клетки. Несмотря на большое количество публикаций, разные авторы высказывают противоречивые мнения о функциях, локализации и изменении количества этих клеток при фиброзе и циррозе печени различной этиологии. На сегодняшний день выделяют три типа клеток, участвующих в синтезе фиброзной соединительной ткани. Это активированные жиронакапливающие клетки, портальные и циркулирующие фибробласты. Вопрос о том, популяция каких клеток на какой стадии фиброза и при какой этиологии является ведущей, остаётся дискуссионным [1, 4, 18, 21]. По-прежнему в отношении свойства пластичности и классификации макрофагов/моноцитов много вопросов остаются без ответа. В зависимости от состояния микроокружения пластичность позволяет звёздчатым макрофагам приобретать широкий спектр функций — от провоспалительных до противовоспалительных [22, 23].
Некоторые исследователи считают несостоятельной бинарную классификацию макрофагов и предполагают, что существует ряд промежуточных состояний их дифференцировки [23].
Вышеизложенное определило цель настоящего исследования — изучить морфологические и молекулярно-генетические изменения печени крыс Wistar при узловой перестройке паренхимы.
МАТЕРИАЛ И МЕТОДЫ
Экспериментальное исследование
В рамках настоящей работы при описании генов применяли названия терминов, принятые в Guidelines for Nomenclature of Genes, Genetic Markers, Alleles, and Mutations in Mouse and Rat (http://www.informatics.jax.org/mgihome/nomen/gene.shtml).
Дизайн исследования одобрен на заседании Комиссии по биоэтике и гуманному обращению с лабораторными животными при Витебском государственном ордена Дружбы народов медицинском университете (протокол № 6 от 03.01.2019). Все манипуляции с животными проводили в соответствии с рекомендациями Европейской конвенции о защите позвоночных животных, используемых для экспериментов или в иных научных целях ETS N 123 от 18.03.1986, Директивой Совета ЕЭС от 24.11.1986 и рекомендациями FELASA Working Group (1994–1996). Фиброз и цирроз печени у крыс-самцов Wistar индуцировали свежеприготовленным раствором тиоацетамида (ТАА; Acros Organics, Бельгия), который вводили интрагастрально через зонд в дозе 200 мг/кг массы тела 2 раза в неделю в течение 13 нед. Крысы контрольной группы получали воду без ТАА в аналогичном объёме. Животных рандомизировали на 3 группы (n=12 в каждой) в зависимости от длительности воздействия ТАА: 9 нед (1-я группа), 11 нед (2-я группа), 13 нед (3-я группа). Подробно экспериментальные процедуры были описаны ранее [24].
Гистологическое, иммуногистохимическое и морфометрическое исследования
После декапитации под кратковременным эфирным наркозом с применением гильотины из большой левой доли печени крыс забирали образцы диаметром 5–10 мм, которые помещали в 10% раствор нейтрального формалина («БиоВитрум», Россия) на фосфатном буфере и фиксировали в течение 24 ч. Затем обрабатывали фиксированный материал с последующей заливкой в парафин с использованием автомата для гистологической обработки ткани STP 120 (Thermo Fisher Scientific, Германия) и станции для заливки ткани парафином EC-350 (Thermo Fisher Scientific, Германия). От каждого животного получали по одному блоку для каждого метода окрашивания и с помощью микротома НМ340Е (MICROM Laborgerждо GmbH, Германия) готовили в среднем по 3–4 среза толщиной 4 мкм и помещали их на предметные стёкла. Для получения обзорных гистологических препаратов срезы печени окрашивали гематоксилином и эозином, а для выявления соединительной ткани — по Маллори с помощью автомата для окраски HMS70 (Thermo Fisher Scientific, Германия). Иммуногистохимическое исследование проводили на парафиновых срезах [25]. Список маркёров представлен в табл. 1.
Таблица 1. Список маркёров, использованных в работе
Table 1. List of markers used in the work
Наименование | Маркёр | Каталожный номер | Разведение |
Моноклональные мышиные антитела α-SMA | Активированных жиронакапливающих клеток | Е-АВ-22155 | 1:1000 |
Поликлональные кроличьи антитела FAP | Активированных портальных фибробластов | Е-АВ-32870 | 1:100 |
Моноклональные мышиные антитела CD68 | Тканевых макрофагов | Е-АВ-22013 | 1:200 |
Поликлональные кроличьи антитела CD206 | Функционального состояния тканевых макрофагов | Е-АВ-70178 | 1:500 |
Поликлональные кроличьи антитела СХ3СR1 | Макрофагов костномозгового происхождения | Е-АВ-33382 | 1:100 |
Поликлональные кроличьи антитела CD45 | Гемопоэтических стволовых клеток | Е-АВ-16319 | 1:200 |
В работе применяли антитела производства Elabscience Biotechnology Co., Ltd (Wuhan, Китай), набор 2-step plus Poly-HRP Anti Rabbit/Mouse IgG Detection System/with DAB Solution; Retrieve-All Antigen (Unmasking System Basic), буфер для разведения антител (BioLegend Inc, США), Твин-20 (Glentham Life Sciences, Великобритания), PBS (Melford, Великобритания). Для лучшей ориентации в препарате и правильной идентификации клеток, содержащих искомый антиген, срезы докрашивали гематоксилином Майера в течение 1 мин. С целью объективной интерпретации результатов для каждой исследуемой серии (группы животных) использовали положительный и отрицательный контроль. Иммуногистохимическую окраску оценивали как положительную только при отсутствии окрашивания в отрицательном контроле и, наоборот, как отрицательную — при окрашивании в положительном контроле.
Гистологические препараты исследовали с использованием компьютерных программ ImageScope Color и cellSens Standard на базе микроскопа Olympus BX51 (Olympus, Япония). Количество клеток α-SMA+, FAP+, CD68+, CD206+, СХ3СR1+, CD45+, междольковых вен и синусоидных капилляров подсчитывали в трёх полях зрения каждого гистологического среза при увеличении объектива 40×. Измеряли площадь междольковых вен и междольковых артерий (мкм2). Степень фиброза определяли с использованием полуколичественной шкалы K.G. Ishak [26].
Оценка уровня мРНК tweak, fn14, ang, vegfa, cxcl12, mmp-9
Фрагменты печени диаметром не более 5 мм помещали в криопробирки и далее — в жидкий азот для хранения до начала процедуры выделения суммарной РНК. Общую фракцию РНК выделяли согласно инструкции производителя набора «АртРНК MiniSpin» («АртБиоТех», Беларусь). Контроль качественных характеристик образцов выполняли с помощью электрофореза в агарозном геле (выборочно) без денатурирующих условий (однократный трис-ацетатный буфер, 2% агарозный гель). Количество суммарной РНК после выделения определяли с помощью спектрофотометрии: длина волны — 260 нм, спектрофотометр SPECORD 250 (Analytik Jena, Германия). Выборочно снимали спектр поглощения 220–340 нм.
Синтез кДНК проводили с использованием олиго (дТ) праймеров и набора реагентов ArtMMLV Total («АртБиоТех», Беларусь) в соответствии с инструкцией производителя. Для каждой реакции использовали 200 нг общей фракции РНК. Олигонуклеотидные праймеры и зонды для проведения полимеразной цепной реакции в режиме реального времени (ПЦР-РВ) выбирали с помощью бесплатного онлайн-приложения Primer3 v. 0.4.0 (http://bioinfo.ut.ee/primer3-0.4.0/). Перечень выбранных молекулярных мишеней, референсный ген и последовательности олигонуклеотидных праймеров представлены в табл. 2 [27] и табл. 3.
Таблица 2. Характеристика генов-мишеней и референсного гена, используемых в исследовании
Table 2. Characterization of target genes and reference gene used in the study
Название гена | Статус | Идентификатор гена в базе NCBI | Референсная последовательность мРНК | Кодируемый белок |
tweak | Мишень | 360548 | NM_001001513.2 | Член суперсемейства фактора некроза опухоли 12, TNF superfamily member 12 |
fn14 | Мишень | 302965 | NM_181086.3 | Член суперсемейства рецепторов фактора некроза опухолей 12А, TNF receptor superfamily member 12A |
ang | Мишень | 305843 | NM_001006992.1 | Ангиогенин |
vegfa | Мишень | 83785 | NM_031836.3 | Фактор роста эндотелия сосудов A |
cxcl12 | Мишень | 24772 | NM_001033883.1 | Хемокин подсемейства CXC |
mmp-9 | Мишень | 81687 | NM_031055.2 | Матриксная протеиназа 9 |
hes1* | Кандидат в референсные гены | 29577 | NM_024360.4 | Фактор транскрипции 1 семейства bHLH (basic helix-loop-helix), hes family bHLH transcription factor 1 |
* ген hes1 использован в качестве референсного гена, поскольку в предварительных экспериментах показал высокий уровень стабильности экспрессии. Первоначально рассматривался как ген-мишень [27].
* the hes1 was used as a reference gene, as it showed a high level of expression stability within the preliminary experiments, it was originally considered as a target gene [27].
Таблица 3. Последовательности специфических олигонуклеотидных праймеров и флуоресцентно-меченых зондов генов-мишеней и референсного гена
Table 3. Sequences of specific oligonucleotide primers and fluorescently labeled probes of target genes and reference gene
Название гена | Последовательность олигонуклеотида, 5’ → 3’ | Модификация 5’/3’ |
tweak (прямой) | CCCATTATGAGGTTCATCCAC | |
tweak (обратный) | TCTCTTCCCAGCCACTCACT | |
tweak (зонд) | GACAGGATGGAGCACAGGCA | FAM/BHQ1 |
fn14 (прямой) | GGATGCGCAGCAGCAC | |
fn14 (обратный) | CAAAACCAGGGCCAGACTAA | |
fn14 (зонд) | CCTGCCCACTTCAGGATGCT | FAM/BHQ1 |
ang (прямой) | TGCGAAAGTATGATGAGGAGAA | |
ang (обратный) | TGTTGCCATGGATAAAGGTG | |
ang (зонд) | ACCTCGCCCTGCAAAGAGGT | FAM/BHQ1 |
vegfa (прямой) | GCAGATCATGCGGATCAAA | |
vegfa (обратный) | ATGCTGCAGGAAGCTCATCT | |
vegfa (зонд) | CCTCACCAAAGCCAGCACAT | FAM/BHQ1 |
cxcl12 (прямой) | CAGATTGTTGCAAGGCTGAA | |
cxcl12 (обратный) | TCCACTTTAATTTCGGGTCAA | |
cxcl12 (зонд) | AAGCAACAACAGACAAGTGTGCA | FAM/BHQ1 |
mmp-9 (прямой) | CTACTCGAGCCGACGTCAC | |
mmp-9 (обратный) | AGAGTACTGCTTGCCCAGGA | |
mmp-9 (зонд) | GATGTGCGTCTTCCCCTTCG | FAM/BHQ1 |
hes1 (прямой) | GAAAGATAGCTCCCGGCATT | |
hes1 (обратный) | CGGAGGTGCTTCACTGTCAT | |
hes1 (зонд) | CCAAGCTGGAGAAGGCAGACA | FAM/BHQ1 |
Использовали метод ПЦР-РВ с реагентами производства компании «Праймтех» (Беларусь). Конечный объём реакционной смеси составлял 25 мкл и содержал все необходимые компоненты в следующих концентрациях: 2 мМ хлорида магния, 0,1 мМ смеси дезоксинуклеотидтрифосфатов, 500 нМ олигонуклеотидов, включая зонд для ПЦР-РВ, 1,25 ед. термостабильной Taq ДНК-полимеразы с соответствующим буферным раствором. Режим термоциклирования: +95 оС — 2 мин, затем 40 циклов: +95 оС — 5 с, +60 оС — 45 с. Проводили детекцию по каналу FAM после каждого цикла с помощью прибора CFX96 touch (BioRad, США). Эффективность реакций определяли с помощью метода стандартной кривой и серий разведений, концентрированных образцов кДНК. Для каждого образца биологического материала ПЦР-РВ выполняли в трёх повторах. В каждой экспериментальной и в контрольной группах все 12 образцов анализировали отдельно для получения наибольшей достоверности и учёта внутригрупповой вариации, фенотипической гетерогенности уровня экспрессии генов.
Эффективность реакций, а также абсолютное число копий, соответствующих мРНК, оценивали методом стандартной кривой. Относительный уровень экспрессии мРНК определяли с помощью метода 2–∆Ct. Эффективность всех реакций варьировала менее чем на 5% и составила 94–97%.
Статистический анализ
Результаты количественных измерений оценивали с использованием программ Statistica 10.0 (StatSoft Inc., США), Microsoft Office Excel (Microsoft, США). Для каждой выборки определяли нормальность частотного распределения каждого признака. Выборки не являлись малыми (n=60>50), поэтому проверку осуществляли по критерию Лиллиефорса. Данные представлены в виде средних арифметических (М) и их соответствующих доверительных интервалов (95% ДИ), медианы и значения 15-го и 85-го процентилей (Ме [15%; 85%]). Об уровне статистической значимости различий изучаемых признаков в группах с нормальным распределением данных судили по t-критерию Стьюдента; в случае отличия выборок от нормального распределения использовали U-критерий Манна–Уитни. Для выявления наличия зависимости между изучаемыми признаками и её силы применяли непараметрическую ранговую корреляцию Спирмена. Различия считали статистически значимыми при р <0,05, если точное значение р не указано.
РЕЗУЛЬТАТЫ
Патогистологическая характеристика печени крыс при узловой перестройке паренхимы
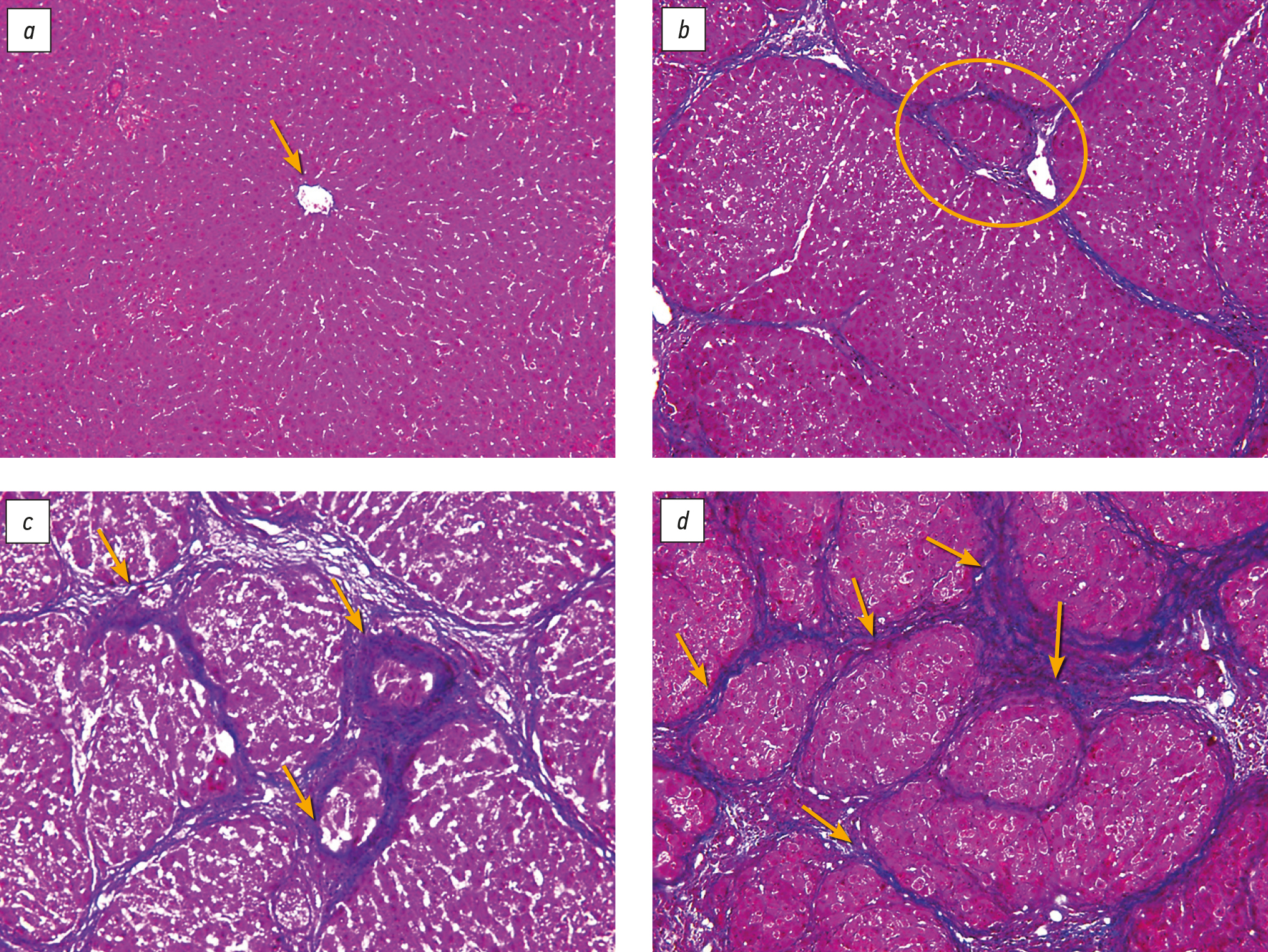
Морфология паренхимы печени контрольных крыс соответствовала критериям нормы — стадия F0 (рис. 1, a).
По истечении 9 нед эксперимента вблизи отдельных триад начинался процесс узелковой трансформации паренхимы с образованием единичных ложных печёночных долек — стадия F4/F5 (рис. 1, b). Отмечены выраженное фиброзное расширение всех портальных зон (портальный и перипортальный фиброз) с полностью сформированными порто-портальными септами (мостовидный фиброз) и диффузный перицеллюлярный фиброз. Площадь соединительной ткани по отношению к общей площади гистологического среза увеличилась в 4,7 раза (p <0,00001) по сравнению с контрольной группой. При дальнейшей интоксикации крыс (11 нед, стадия F5 — неполный цирроз) на гистологических препаратах наблюдали диффузную узловую перестройку паренхимы печени и значительное разрастание фиброзной ткани вокруг портальных зон (рис. 1, c). Её площадь возросла в 6,0 раза (p <0,00001) по сравнению с контролем. К концу эксперимента (13 нед, F6 — достоверный цирроз) выявили тотальное поражение печени, характеризующее образование ложных печёночных долек различной формы и диаметра, диффузный перицеллюлярный фиброз (рис. 1, d). Площадь соединительной ткани увеличилась в 7,4 раза (p <0,00001) по сравнению с контрольной группой. В триадах, фиброзных септах и реже — в паренхиме наблюдали клетки лимфоидно-гистиоцитарного инфильтрата. В паренхиме печени не отмечено прогрессирования дистрофических процессов, увеличения зон некроза и некробиоза гепатоцитов, жировой дистрофии.
Рис. 1. Фрагменты печени крыс контрольной группы (a), через 9 нед (b), 11 нед (c), 13 нед (d) после начала эксперимента. Окраска по Маллори; ×20: a — центральная вена (стрелка); b — ложная печёночная долька (овальная рамка); c — ложные печёночные дольки (стрелки); d — тотальное поражение печени, ложные печёночные дольки (стрелки).
Сосудистые изменения печени крыс в ходе эксперимента
В условиях физиологической нормы в портальных зонах количество междольковых артерий было равным 2,5 [1, 0; 5, 0], междольковых вен — 2,91 [1, 0; 5, 0], синусоидных капилляров — 34,8 [29, 0; 43, 0]. Изменения количества данных сосудов показаны на рис. 2.
Рис. 2. Изменения количества междольковых артерий (a), междольковых вен (b) и синусоидных капилляров (c).
На начальной стадии трансформации фиброза печени в цирроз (F4/F5) количество междольковых вен увеличилось в 4,8 раза (p <0,00001), а синусоидных капилляров — снизилось в 1,6 раза (p <0,00001) по сравнению с контрольной группой. Прогрессирование фиброза печени (F5) сопровождалось увеличением количества междольковых вен в 6,0 раза (p <0,00001) и снижением — синусоидных капилляров в 1,8 раза (p <0,00001) по сравнению с контрольной группой. На стадии цирроза морфометрический анализ выявил увеличение количества междольковых вен в 8,0 раза (p <0,00001) и снижение — синусоидных капилляров в 2,2 раза (p <0,00001) по сравнению с контролем.
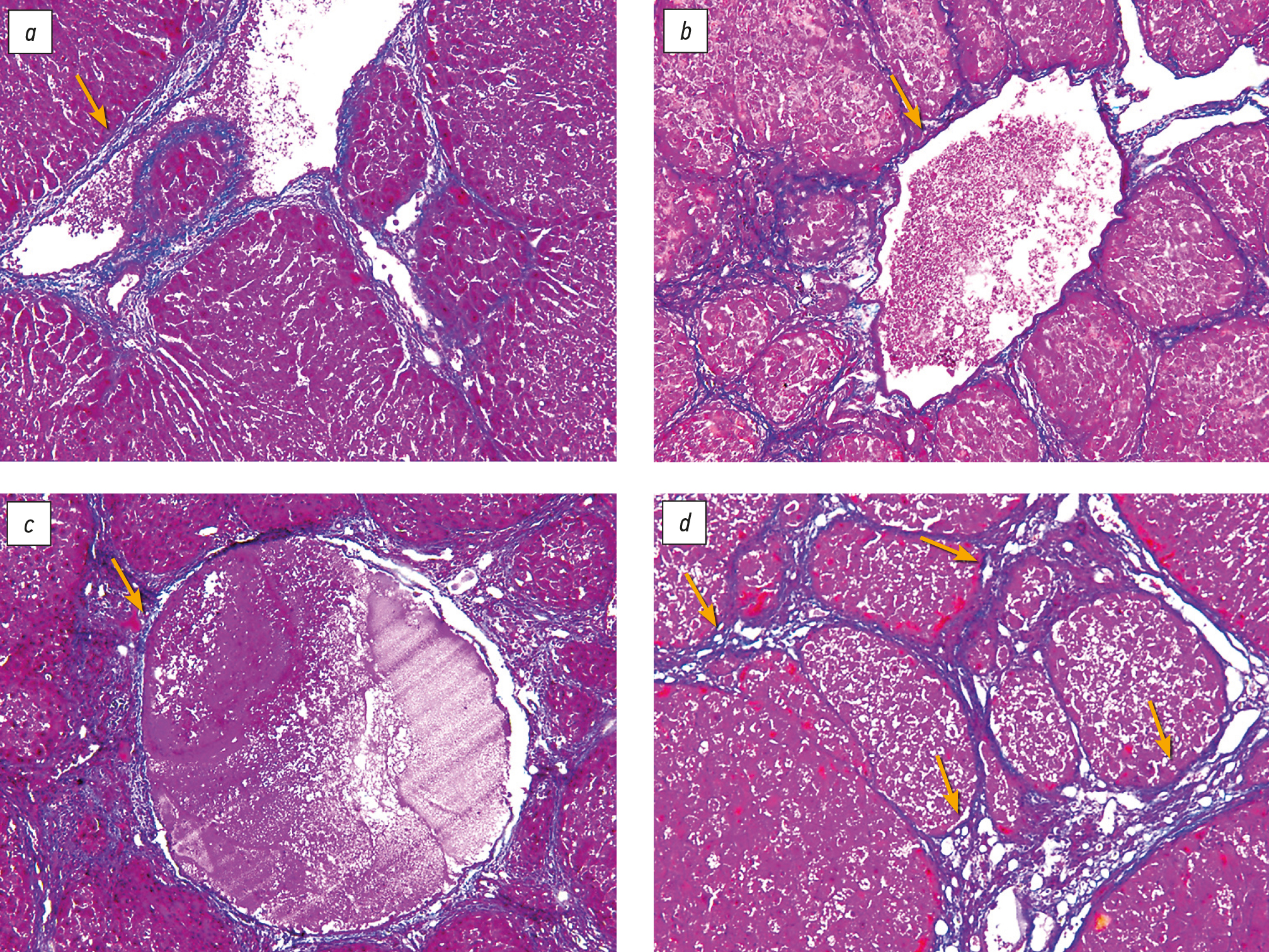
Установили увеличение площади междольковых вен в 6,13 раза при воздействии ТАА в течение 9 нед (p <0,00001), в 7,0 раза — при воздействии в течение 11 нед (p <0,00001) и в 18,0 раза — при воздействии в течение 13 нед (p <0,00001) по сравнению с контрольной группой (рис. 3, а, b). В большинстве случаев междольковые вены приобретали гигантский размер (рис. 3, c).
При этом на всех этапах эксперимента количество междольковых артерий сохранилось на прежнем уровне (р=0,9994). В портальных зонах и фиброзных септах наблюдали выраженный венозный ангиогенез (рис. 3, d).
Рис. 3. Фрагменты печени крыс через 9 нед (a), 11 нед (b), 13 нед (c, d) после начала эксперимента. Окраска по Маллори; ×20; a–c — междольковая вена (стрелка); d — ангиогенез в портальных зонах (стрелки).
Изменения клеточного состава печени
Клетки, экспрессирующие маркёры FAP, α-SMA, CD206, CX3CR1, CD45 в печени контрольных крыс, практически отсутствовали. Клетки CD68+ крыловидной формы (тканевые звёздчатые макрофаги, клетки Купфера) наблюдали преимущественно в синусоидных капиллярах, небольшое их количество отмечали около центральных вен и междольковых сосудов. Изменение количества исследуемых популяций клеток на различных этапах исследования представлено в табл. 4.
Таблица 4. Количество клеток в печени крыс при узловой перестройке паренхимы
Table 4. The number of cells in the liver of rats in the nodular restructuring of the parenchyma
Количество клеток М (95% ДИ: j–q) | Недели эксперимента/стадии фиброза | |||
Контроль | 9 нед/F4/F5 | 11 нед/F5 | 13 нед/F6 | |
FAP+ | — | 14,694 (13,08–16,305) | 17,222 (15,979–18,465) | 21,944 (20,251–23,637) |
α-SMA+ | — | 20,861 (18,958–22,763) | 25,250 (23,064–27,435) | 31,500 (28,381–34,618) |
CD68+ | 8,861 (7,754–9,967) | 17,750 (15,626–19,873) | 11,388 (9,682–13,096) | 12,500 (10,792–14,207) |
CD206+ | — | 18,944 (16,153–21,735) | 22,972 (19,914–26,030) | 25,833 (20,818–30,847) |
CX3CR1+ | — | 8,861 (7,432–10,290) | 9,694 (8,358–11,030) | 11,722 (9,275–14,169) |
CD45+ | — | 14,194 (12,777–15,611) | 13,722 (12,158–15,285) | 15,611 (13,765–17,457) |
В печени крыс выявлены две популяции миофибробластов, экспрессирующие различные маркёры и расположенные в разных зонах печени. На всех этапах эксперимента клетки α-SMA+ определяли преимущественно в синусоидных капиллярах, очагах некроза и соединительнотканных септах (рис. 4, a). Клетки FAP+ располагались в портальных зонах, фиброзных трабекулах и реже — в синусоидных капиллярах (рис. 4, b). Клетки CD206+ округло-вытянутой формы в основном выявлялись в синусоидных капиллярах в виде цепочек на всех этапах эксперимента (рис. 4, c). Клетки CX3CR1+ округлой формы локализовались главным образом в портальных зонах (рис. 4, d). Встречались участки срезов печени с отчётливой миграцией клеток CX3CR1+ из просвета сосуда в паренхиму. Клетки CD45+ отмечали в основном в триадах и септах грубоволокнистой фиброзной ткани.
Рис. 4. Фрагменты печени крыс через 13 нед после начала эксперимента, иммуногистохимическое окрашивание, докраска ге- матоксилином Майера: a — клетки α-SMA+ в синусоидах (стрелки), ×40; b — клетки FAP+ в фиброзных септах (овальные рамки), ×40; c — клетки CD206+ в синусоидах (стрелки), ×60; d — группа клеток CX3CR1+ в портальной зоне (овальная рамка), ×100.
Экспрессия мРНК генов tweak (tnfsf12), fn14 (tnfrsf12a), ang, vegfa, cxcl12 (sdf) и mmp-9
На 9-, 11- и 13-й неделе эксперимента уровень мРНК генов мишеней, за исключением mmp-9/13 нед, статистически значимо изменился по сравнению с контрольной точкой (р <0,001). При этом направленность этих изменений в зависимости от мишени носила различный характер (рис. 5).
Рис. 5. Динамика уровня мРНК генов-мишеней, p <0,01.
Уровень мРНК генов ang, cxcl12 и tweak (tnfsf12) — изначально пониженный по сравнению с контрольной группой (p <0,001 для всех) — также статистически значимо (р <0,001; p=0,013; p <0,001 соответственно) снизился к 11-й неделе эксперимента по сравнению с 9-й неделей. В отличие от них уровень мРНК fn14 (tnfrsf12) и mmp-9 изначально возрос по сравнению с контрольной точкой (p <0,001 для всех), однако по сравнению с 9-й неделей также снизился к 11-й неделе (p <0,001 и p=0,028 соответственно). Альтернативно отреагировал на события, развивающиеся на 11-й неделе эксперимента, ген vegfa. Аналогично ang, cxcl12 и tnfsf12 уровень его мРНК снизился к 9-й неделе по сравнению с контрольной группой, тем не менее к 11-й неделе он статистически незначимо возрос (порядка 10%).
В ходе развития фиброза и перехода его в цирроз изменения затрагивали как силу взаимосвязи между уровнем мРНК генов-мишеней, так и собственно наличие этих связей (рис. 6). В норме ключевую позицию занимает tweak, в то время как на стадии развитого фиброза наблюдается переход акцента на cxcl12. Далее в точке перехода фиброза в цирроз отмечена максимальная взаимосвязь между уровнем мРНК всех генов-мишеней. Напротив, после завершения перехода (на стадии цирроза) практически все связи разрываются или ослабевают.
Рис. 6. Корреляционные связи между уровнем мРНК генов-мишеней; * статистически значимо на уровне р <0,05; ** на уровне р <0,01.
ОБСУЖДЕНИЕ
В современной научной литературе практически отсутствует морфологическая и молекулярно-генетическая характеристика процесса перехода фиброза печени в цирроз. Большинство авторов при изучении фиброгенеза в основном выделяют от трёх до пяти, по их мнению, ключевых точек. При исследовании цирроза печени в девяти временнх точках нам представилось возможным отследить плавное нарастание прогрессии патогистологических изменений и рассмотреть фиброз постадийно [24]. Мы обратили внимание на то, что период с 9-й по 13-ю неделю имеет исключительные морфологические (темпы разрастания фиброзной ткани, смена фенотипического состава и количества клеток) и молекулярно-генетические (изменение уровня экспрессии мРНК) особенности по сравнению с остальными сроками эксперимента.
В рамках настоящей работы представляет интерес тот факт, что период перестройки паренхимы печени (стадия F5, 11 нед) не сопровождался прогрессированием дистрофических процессов, увеличением зон некроза и некробиоза гепатоцитов. Жировую дистрофию не выявили ни на одной из стадий фиброза и цирроза. При сравнении показателей площади соединительной ткани 9-й и 11-й недели между собой статистически значимых отличий не обнаружено (р=0,7912).
Ряд исследователей отмечают, что синтезировать фиброзную соединительную ткань при хронических заболеваниях печени могут различные популяции клеток (жиронакапливающие клетки, портальные фибробласты, циркулирующие фиброциты, гемопоэтические и мезенхимальные стволовые клетки костного мозга). На этом основании они рекомендуют изучать фиброгенную популяцию клеток применительно к этиологии и стадии фиброза печени, так как это имеет первостепенное значение при разработке антифибротических препаратов. Жиронакапливающие клетки в условиях физиологической нормы располагаются в перисинусоидном пространстве, проявляя спокойный фенотип и практически не экспрессируют маркёр миофибробластов α-SMA. Эти клетки накапливают витамин А и жиры, синтезируют цитокины, матриксные металлопротеиназы и их тканевые ингибиторы, обладают низкой пролиферативной активностью и способностью к секреции коллагенов. Вирусные и токсические поражения печени стимулируют их активацию и трансдифференцировку в миофибробластический фенотип. Механизмы трансдифференцировки сложны и не до конца изучены. Данный процесс характеризуется исчезновением в цитоплазме жиронакапливающих клеток липидных капель, изменением организации цитоскелета, избыточной экспрессией α-SMA, цитокинов и коллагенов [22, 28].
Сведений о портальных фибробластах печени не так много. В норме они расположены в соединительной ткани портальных зон, преимущественно вокруг междольковых желчных протоков. Окончательно не установлено, синтезируют ли портальные фибробласты фибриллярные коллагены, типичные для фиброза, или они выполняют другие роли в фиброгенезе, на каких этапах фиброгенеза и при какой этиологии их вклад более значительный. Вопрос о том, являются ли портальные фибробласты второй популяцией клеток, синтезирующих фиброзную ткань, до сих пор остаётся дискуссионным [23].
В рамках настоящей работы количество клеток α-SMA+ и FAP+ как основных продуцентов соединительной ткани в период F4–F5 не изменилось (р=0,2073 и р=0,3775 соответственно). При этом достоверный цирроз F6 сопровождался ростом их числа в 1,50 раза (p <0,00001). Большинство авторов сообщают о постоянном росте числа клеток α-SMA+ [28]. Предположительно на стадиях F4 и F5 срабатывают компенсаторно-приспособительные и/или иные механизмы, которые ещё предстоит изучить.
По данным ряда исследователей, клетки, экспрессирующие маркёр CD68, являются резидентными звёздчатыми макрофагами/клетками Купфера, обладают пластичностью, изменяя свой фенотип в ответ на сигналы микроокружения (M1-фенотип, провоспалительные классически активированные, и M2-фенотип, противовоспалительные альтернативно активированные) [21, 22]. В настоящей работе отличия по количеству клеток CD68+ выявлены только на стадии F4/F5 (в 2,0 раза выше, p <0,00001). При этом число клеток CD206+ (М2-фенотип) на трёх сроках эксперимента на изменилось (р=0,6415). Возможно, при узловой перестройке паренхимы смена микроокружения приводит к трансдифференцировке клеток CD68+ в M1-провоспалительный фенотип или сам процесс дифференцировки в M2-противовоспалительный фенотип по каким-то причинам замедляется/блокируется либо клетки CD68+ выполняют другую роль, которую ещё предстоит изучить. Не отмечены изменения и по количеству клеток CX3CR1+ (макрофаги костномозгового происхождения, р=0,9983) и CD45+ (гемопоэтические стволовые клетки, р=0,9999). Предположительно в печени срабатывают регенераторные, компенсаторно-приспособительные и/или иные процессы, сдерживающие приток данных клеток из костного мозга.
Фиброгенез печени сопровождается патологическим ангиогенезом, и его роль в прогрессировании фиброза и цирроза до сих пор остаётся в центре внимания учёных [29].
В портальных зонах и фиброзных соединительнотканных септах мы выявили выраженный патологический венозный ангиогенез. Полученные нами результаты противоречат данным одних авторов [29] и согласуются с другими [30]. При фиброзе печени мышей, вызванном четырёххлористым углеродом, отмечают снижение количества портальных сосудов (при этом не уточняя, касательно вен или артерий) и увеличение количества центральных вен [29]. Процесс перестройки паренхимы и формирования ложных печёночных долек характеризовался практически полным отсутствием на гистологических препаратах центральных вен. Предположительно это связано с формированием порто-центральных и центро-центральных фиброзных септ, содержащих анастомозы, через которые происходит сброс крови, минуя паренхиму. Выявленное снижение количества синусоидных капилляров связано с уменьшением количества гепатоцитов и увеличением фиброзно-тканевого компонента в печени. Представляет фундаментальный интерес установленное нами отсутствие изменений со стороны междольковых артерий. Стенка артерий имеет более сложное строение по сравнению с венами и, предположительно, вены быстрее подвергаются морфологической перестройке. Возможно, артерии выступают в роли инициатора венозного ангиогенеза. Они запускают процесс формирования микроваскулогенной сети, а она затем перестраивается в венулы. Наши предположения требуют дальнейших исследований. В работах, посвящённых ангиогенезу при фиброзе печени, практически не упоминается об изменении площади междольковых вен. Вероятно, расширение диаметра междольковых вен способствует формированию патологического портального венозного ангиогенеза. При сравнении показателей «количество синусоидных капилляров» (р=0,7985), «число междольковых вен» (р=0,3070), «площадь междольковых вен» (р=0,9999) на 9-й и 11-й неделе эксперимента отличий не выявлено.
В группе контрольных животных наибольшее число связей установлено для гена tweak. Белок-лиганд TWEAK сигнального пути TWEAK/Fn14 широко распространён в тканях и может встречаться как в свободной, так и в связанной с мембраной клеток/органелл форме. Белок TWEAK способен стимулировать выработку провоспалительных цитокинов, контролирует процесс апоптоза, участвует в регуляции пролиферации и миграции клеток эндотелия сосудов, тем самым выступая ангиогенным фактором [31]. Последнее обусловливает выявленные корреляции между уровнем мРНК tweak и ang + vegf, а также cxcl12. При этом уровень мРНК белка-рецептора fn14 также находится в тесной связи с уровнем его лиганда — tweak. Однако на стадии развитого фиброза печени наблюдается переход акцента на ген cxcl12. Белок CXCL12 отвечает за хемотаксис, миграцию клеток и их адгезию, пролиферацию и другие процессы [32]. Уровни мРНК tweak и fn14 разобщаются вследствие участия рецептора fn14 в процессах фиброгенеза. Вероятно, fn14 является рецептором не только для лиганда tweak и/или это попытка его компенсаторного увеличения на поверхности клеток в ответ на снижение уровня лиганда tweak.
Альтернативный характер связей между mmp-9/tweak в контрольной группе и mmp-9/cxcl12, возможно, объясняется сменой клеток, экспрессирующих этот маркёр. Вероятно, уровень мРНК mmp-9 на стадии развитого фиброза поддерживается не теми же клетками, что изначально, и существует возможность того, что эту функцию на себя принимают вновь мигрировавшие клетки, а базовый механизм экспрессии мРНК mmp-9 к этому времени блокируется.
В точке перехода фиброза в цирроз наблюдается максимальное количество корреляционных связей между уровнем мРНК всех генов-мишеней. Скорее всего, это связано с пересечением потока процессов, затухающих на стадии развитого фиброза и начинающихся на стадии цирроза. При циррозе же практически все связи ослабевают или разрываются, что может говорить о полной перестройке процессов на новый строй, соответствующий прогрессированию цирроза, но не фиброза. Выявленные в настоящем исследовании корреляционные связи между генами-мишенями могут свидетельствовать о неоднородности молекулярных процессов, протекающих на стадии фиброза, перехода в цирроз и собственно цирроза. Совместное относительно друг друга изучение генов является необходимым дополнительным параметром при проведении доклинических и фундаментальных исследований.
ЗАКЛЮЧЕНИЕ
На основании полученных результатов можно установить точку перехода фиброза в цирроз как самостоятельный отдельный этап фиброгенеза. В рамках настоящих исследований переход был зафиксирован на стадии F5, а сам процесс — со стадий от F4/F5 до F6. Данный этап имеет особые морфологические и молекулярно-генетические особенности, которые расширяют знания о патоморфологических изменениях печени и представляют фундаментальный и клинический интерес.
ДОПОЛНИТЕЛЬНО
Источник финансирования. Работа выполнена в рамках государственной программы научных исследований «Фундаментальные и прикладные науки — медицине» Министерства здравоохранения Республики Беларусь, задание 2.89 «Изучить роль экспрессии генов NOTCH- и TWEAK-сигнальных путей, участвующих в процессах пролиферации и дифференцировки клеток печени в норме и при её токсическом поражении» (регистрационный номер 20190107).
Конфликт интересов. Авторы декларируют отсутствие явных и потенциальных конфликтов интересов, связанных с публикацией настоящей статьи.
Вклад авторов. Е.И. Лебедева, А.Т. Щастный, А.С. Бабенко — дизайн исследования, обзор литературных источников, обработка и анализ полученных данных, подготовка и написание текста статьи; Е.И. Лебедева и А.С. Бабенко — эксперимент на животных, морфологическое исследование, метод полимеразной цепной реакции в режиме реального времени. Все авторы подтверждают соответствие своего авторства международным критериям ICMJE (все авторы внесли существенный вклад в разработку концепции, проведение исследования и подготовку статьи, прочли и одобрили финальную версию перед публикацией).
ADDITIONAL INFORMATION
Funding source. This study was performed within the framework of State Research Program Fundamental and Applied Sciences for Medicine initiated by the Ministry of Healthcare of the Republic of Belarus; Task 2.89 Investigating The Role of NOTCH- and TWEAK-Signaling Pathway Gene Expression in Proliferation and Differentiation of Normal and Toxically -Defeated Liver Cells (Reg. No. 20190107).
Competing interests. The authors declare that they have no competing interests.
Authors’ contribution. E.I. Lebedeva, A.T. Shchastniy, A.S. Babenka — study design, literature review, data processing and analysis, preparation of materials and writing the text of the article; E.I. Lebedeva, A.S. Babenka — animal experiment, morphological study, real-time PCR. All authors confirm that their authorship complies with the international ICMJE criteria (all authors made a significant contribution to the development of the concept, research and preparation of the article, read and approved the final version before publication).
Sobre autores
Elena Lebedeva
Vitebsk State Order of Peoples’ Friendship Medical University
Autor responsável pela correspondência
Email: lebedeva.ya-elenale2013@yandex.ru
ORCID ID: 0000-0003-1309-4248
Código SPIN: 4049-3213
Cand. Sci. (Biol.)
Belarus, VitebskAnatoly Shchastniy
Vitebsk State Order of Peoples’ Friendship Medical University
Email: rectorvsmu@gmail.com
ORCID ID: 0000-0003-2796-4240
Código SPIN: 3289-6156
Dr. Sci. (Med.), Professor
Belarus, VitebskAndrei Babenka
Belarussian State Medical University
Email: labmdbt@gmail.com
ORCID ID: 0000-0002-5513-970X
Código SPIN: 9715-4070
Cand. Sci. (Chem.), Associate Professor
Belarus, MinskBibliografia
- Liu P, Mao Y, Xie Y, et al. Stem cells for treatment of liver fibrosis/cirrhosis: clinical progress and therapeutic potential. Stem Cell Res Ther. 2022;13(1):356. doi: 10.1186/s13287-022-03041-5
- Ye F, Zhai M, Long J, et al. The burden of liver cirrhosis in mortality: results from the global burden of disease study. Front Public Health. 2022;10:909455. doi: 10.3389/fpubh.2022.909455
- Friedman SL, Pinzani M. Hepatic fibrosis 2022: unmet needs and a blueprint for the future. Hepatology. 2022;75(2):473–488. doi: 10.1002/hep.32285
- Borrello MT, Mann D. Chronic liver diseases: from development to novel pharmacological therapies: IUPHAR Review 37. Br J Pharmacol. 2022. doi: 10.1111/bph.15853
- Huang DQ, Mathurin P, Cortez-Pinto H, Loomba R. Global epidemiology of alcohol-associated cirrhosis and HCC: trends, projections and risk factors. Nat Rev Gastroenterol Hepatol. 2023;20(1):37–49. doi: 10.1038/s41575-022-00688-6
- Elhadidy MG, Elmasry AI, El Nashar EM, et al. Melatonin attenuates thioacetamide-induced liver fibrosis in male rats through modulation of interleukin-6, interleukin-4, apoptosis and urokinase plasminogen activator receptor-associated protein/Endo180. J Physiol Pharmacol. 2022;73(5). doi: 10.26402/jpp.2022.5.05
- Zaafan MA, Abdelhamid AM. Dasatinib ameliorates thioacetamide-induced liver fibrosis: modulation of miR-378 and miR-17 and their linked Wnt/β-catenin and TGF-β/smads pathways. J Enzyme Inhib Med Chem. 2022;37(1):118–124. doi: 10.1080/14756366.2021.1995379
- Sharma N, Shaikh TB, Eedara A, et al. Dehydrozingerone ameliorates thioacetamide-induced liver fibrosis via inhibition of hepatic stellate cells activation through modulation of the MAPK pathway. Eur J Pharmacol. 2022;937:175366. doi: 10.1016/j.ejphar.2022.175366
- Chandrashekar DV, DuBois BN, Rashid M, Mehvar R. Effects of chronic cirrhosis induced by intraperitoneal thioacetamide injection on the protein content and Michaelis–Menten kinetics of cytochrome P450 enzymes in the rat liver microsomes. Basic Clin Pharmacol Toxicol. 2023;132(2):197–210. doi: 10.1111/bcpt.13813
- Shareef SH, Al-Medhtiy MH, Al Rashdi AS, et al. Hepatoprotective effect of pinostrobin against thioacetamide-induced liver cirrhosis in rats. Saudi J Biol Sci. 2023;30(1):103506. doi: 10.1016/j.sjbs.2022.103506
- Parola M, Pinzani M. Liver fibrosis: pathophysiology, pathogenetic targets and clinical issues. Mol Aspects Med. 2019;65:37–55. doi: 10.1016/j.mam.2018.09.002
- Wallace SJ, Tacke F, Schwabe RF, Henderson NC. Understanding the cellular interactome of non-alcoholic fatty liver disease. JHEP Rep. 2022;4(8):100524. doi: 10.1016/j.jhepr.2022.100524
- Alemán-García N, García-García JA, Durán-Padilla MA, et al. Correlation of liver fibrosis quantification by morphometry using HepaScan with the analysis of liver biopsies. A pilot study. Gac Med Mex. 2023;159(2):122–128. doi: 10.24875/GMM.M23000758
- Dwyer BJ, Jarman EJ, Gogoi-Tiwari J, et al. TWEAK/Fn14 signalling promotes cholangiocarcinoma niche formation and progression. J Hepatol. 2021;74(4):860–872. doi: 10.1016/j.jhep.2020.11.018
- Short C, Zhong A, Xu J, et al. TWEAK/FN14 promotes profibrogenic pathway activation in Prominin-1-expressing hepatic progenitor cells in biliary atresia. Hepatology. 2023;77(5):1639–1653. doi: 10.1097/HEP.0000000000000026
- Yang L, Yue W, Zhang H, et al. Dual targeting of angipoietin-1 and von Willebrand factor by microRNA-671-5p attenuates liver angiogenesis and fibrosis. Hepatol Commun. 2022;6(6):1425–1442. doi: 10.1002/hep4.1888
- Lei L, Ei Mourabit H, Housset C, et al. Role of аngiogenesis in the pathogenesis of NAFLD. J Clin Med. 2021;10(7):1338. doi: 10.3390/jcm10071338
- Qin L, Qin J, Zhen X, et al. Curcumin protects against hepatic stellate cells activation and migration by inhibiting the CXCL12/CXCR4 biological axis in liver fibrosis: a study in vitro and in vivo. Biomed Pharmacother. 2018;101:599–607. doi: 10.1016/j.biopha.2018.02.091
- Quintero-Fabián S, Arreola R, Becerril-Villanueva E, et al. Role of matrix metalloproteinases in angiogenesis and cancer. Front Oncol. 2019;9:1370. doi: 10.3389/fonc.2019.01370
- Dong Y, Alonso F, Jahjah T, et al. Angiogenesis invasion assay to study endothelial cell invasion and sprouting behavior. Methods Mol Biol. 2023;2608:345–364. doi: 10.1007/978-1-0716-2887-4_20
- Fuji H, Miller G, Nishio T, et al. The role of mesothelin signaling in portal fibroblasts in the pathogenesis of cholestatic liver fibrosis. Front Mol Biosci. 2021;8:790032. doi: 10.3389/fmolb.2021.790032
- Dhar D, Baglieri J, Kisseleva T, Brenner DA. Mechanisms of liver fibrosis and its role in liver cancer. Exp Biol Med (Maywood). 2020;245(2):96–108. doi: 10.1177/153537021989814
- van der Heide D, Weiskirchen R, Bansal R. Therapeutic targeting of hepatic macrophages for the treatment of liver diseases. Front Immunol. 2019;10:2852. doi: 10.3389/fimmu.2019.02852
- Lebedeva EI, Shchastny AT, Krasochko PA, Babenka AS. A new approach to the morphological assessment of the degree of liver fibrosis in experimental animals. “Transactions of the educational establishment “Vitebsk the Order of “the Badge of Honor” State Academy of Veterinary Medicine”. 2022;58(1):92–100. (In Russ). doi: 10.52368/2078-0109-2022-58-1-92-100
- DJe Korzhevskiy, editor. Teoreticheskie osnovy i prakticheskoe primenenie metodov immunogistohimii. Saint Petersburg: SpecLit; 2014. (In Russ).
- Everhart JE, Wright EC, Goodman ZD, et al. Prognostic value of Ishak fibrosis stage: findings from the hepatitis C antiviral long-term treatment against cirrhosis trial. Hepatology. 2010;51(2):585–594. doi: 10.1002/hep.23315
- Lebedeva EI, Babenko AS, Shchastniy AT. Stability of the sdha, hprt, prl3d1 and hes1 gene expression in a rat liver fibrosis model. Journal Biomed. 2022;18(2):17–30. (In Russ). doi: 10.33647/2074-5982-18-2-17-30
- Wu Y, Li Z, Xiu AY, et al. Carvedilol attenuates carbon tetrachloride-induced liver fibrosis and hepatic sinusoidal capillarization in mice. Drug Des Devel Ther. 2019;13:2667–2676. doi: 10.2147/DDDT.S210797
- Lin Y, Dong MQ, Liu ZM, et al. A strategy of vascular-targeted therapy for liver fibrosis. Hepatology. 2022;76(3):660–675. doi: 10.1002/hep.32299
- Wang L, Zhang Y, Ren Y, et al. Pharmacological targeting of cGAS/STING-YAP axis suppresses pathological angiogenesis and ameliorates organ fibrosis. Eur J Pharmacol. 2022;932:175241. doi: 10.1016/j.ejphar.2022.175241
- Zhang Y, Zeng W, Xia Y. TWEAK/Fn14 axis is an important player in fibrosis. J Cell Physiol. 2021;236(5):3304–3316. doi: 10.1002/jcp.30089
- Zhou W, Guo S, Liu M, et al. Targeting CXCL12/CXCR4 axis in tumor immunotherapy. Curr Med Chem. 2019;26(17):3026–3041. doi: 10.2174/0929867324666170830111531
Arquivos suplementares







