Создание клеточной модели на основе индуцированных плюрипотентных стволовых клеток для изучения функций гена UBE2A
- Авторы: Федоренко А.В.1,2, Хомякова Е.А.3, Сурдина А.В.3, Секретова Е.К.3, Лиманская Т.В.3, Беликова Л.Д.3,4, Воловиков Е.А.3,4, Гридина М.М.5, Хабарова А.А.5, Кашеварова А.А.6, Федотов Д.А.6, Зеркаленкова Е.А.7, Лагарькова М.А.8, Лебедев И.Н.6, Богомазова А.Н.1,4
-
Учреждения:
- Федеральный научно-клинический центр физико-химической медицины имени академика Ю.М. Лопухина ФМБА России
- Сколковский институт науки и технологий
- Федеральный научно-клинический центр физико-химической медицины имени академика Ю. М. Лопухина ФМБА России
- Научно-исследовательский институт медицинской генетики Томского национального исследовательского медицинского центра Российской академии наук
- Федеральный исследовательский центр Институт цитологии и генетики Сибирского отделения Российской академии наук
- Научно-исследовательский институт медицинской генетики, Томский национальный исследовательский медицинский центр Российской академии наук
- Национальный медицинский исследовательский центр детской гематологии, онкологии и иммунологии имени Дмитрия Рогачева
- Федеральный научно-клинический центр физико-химической медицины имени академика Ю.М. Лопухина ФМБА
- Выпуск: Том 19, № 2 (2024)
- Страницы: 297-313
- Раздел: Оригинальные исследования
- URL: https://medbiosci.ru/2313-1829/article/view/262959
- DOI: https://doi.org/10.17816/gc623799
- ID: 262959
Цитировать
Аннотация
Обоснование. Белок UBE2A относится к семейству E2 убиквитин-связывающих ферментов, которые участвуют в процессе убиквитинирования белков-субстратов. Известно, что мутации гена UBE2A связаны с синдромом врождённой Х-сцепленной умственной отсталости типа Насименто. До сих пор остаётся неизвестным, каким образом дисфункция гена UBE2A приводит к нарушению развития центральной нервной системы.
Цель исследования — создание клеточной модели на основе индуцированных плюрипотентных стволовых клеток (ИПСК) для изучения молекулярных и клеточных функций гена UBE2A в нейрогенезе.
Методы. Используя геномное CRISPR-Cas9-редактирование и лентивирусную трансдукцию, мы создали клеточную модель на основе ИПСК двух здоровых доноров, включающую изогенные ИПСК с нокаутом и индуцибельной гиперэкспрессией гена UBE2A. Дополнительно к изогенным системам мы получили линию ИПСК путём репрограммирования мононуклеаров периферической крови пациента, которому поставлен диагноз Х-сцепленной умственной отсталости типа Насименто и у которого выявлена делеция, целиком захватывающая локус гена UBE2A.
Результаты. Полученные ИПСК демонстрируют морфологию, подобную эмбриональным стволовым клеткам. Они экспрессируют маркёры плюрипотентных клеток OCT4, SOX2, SSEA-4 и TRA-1-81 и имеют нормальный кариотип. Обнаружено, что у ИПСК с нокаутом или гиперэкспрессией гена UBE2A происходит статистически значимое увеличение размера клеточного ядра по сравнению с изогенным контролем.
Заключение. Созданная клеточная модель на основе ИПСК может быть использована для фундаментальных исследований функций гена UBE2A в нейрогенезе.
Полный текст
ВВЕДЕНИЕ
Белок UBE2A, кодируемый одноимённым Х-сцепленным геном, относится к семейству E2 убиквитин-связывающих ферментов и участвует в процессе убиквитинирования — присоединения короткого полипептида убиквитина к белкам-субстратам. В процессе переноса убиквитина на белковые субстраты UBE2A взаимодействует с разными E3-убиквитинлигазами, с каждой из которых он участвует в различных клеточных процессах. Например, при митофагии белок UBE2A взаимодействует с убиквитинлигазой PARKIN [1], при регуляции транскрипции через моноубиквитинирование гистона H2B — с убиквитинлигазой RNF20/RNF40 [2], а при репарации путём синтеза ДНК через повреждение — с убиквитинлигазой RAD18 [3]. В 2023 году также было показано, что UBE2A взаимодействует с нейроспецифичной убиквитинлигазой UBR4 [4].
Белок UBE2A очень консервативен, его последовательность длиной 152 аминокислотных остатка идентична у человека, мыши и шпорцевой лягушки, а у дрожжей имеется его очень близкий гомолог — белок Rad6. Несмотря на консервативность, косвенно свидетельствующую о функциональной важности белка UBE2A, его отсутствие не является летальным. Делеции и мутации в гене UBE2A приводят к развитию синдрома Насименто — X-сцепленной умственной отсталости, проявляющейся задержкой психического развития и нарушением интеллекта у носителей [5, 6]. Данное заболевание развивается крайне редко; согласно базе данных VarSome, описано не более трёх десятков случаев умственной отсталости, связанной с мутациями в этом гене [7]. Известно также, что у матерей пациентов с синдромом Насименто, являющихся носительницами патогенных мутаций в гене UBE2A, в соматических клетках наблюдается сдвиг от случайной инактивации Х-хромосом к полностью неслучайной инактивации конкретной Х-хромосомы [6, 8].
Интересно, что база данных VarSome содержит сведения также о дупликациях локуса, включающего ген UBE2A. Часть описанных у пациентов дупликаций связана с умственной отсталостью, т.е. нельзя исключить также патогенное влияние увеличенной дозы гена UBE2A.
Пока неизвестно, как именно белок UBE2A участвует в процессе формирования центральной нервной системы. Сложность изучения роли этого белка в нейрогенезе заключается, в частности, во множественности его партнёров среди E3-убиквитинлигаз и разнообразии клеточных процессов, в которых он участвует. Кроме того, изучение белка UBE2A затрудняется тем, что в клетках млекопитающих существует гомолог гена UBE2A — ген UBE2B, расположенный на хромосоме 5. Аминокислотные последовательности белков, кодируемых генами UBE2A и UBE2B, у человека обладают 96% идентичностью [9]. Сходство последовательностей вызывает немало вопросов о сходстве их функциональной активности, однако следует отметить, что соотношение продуктов этих генов в разных органах и тканях неодинаково [5], более того, мутации в данных генах приводят к неодинаковым фенотипическим проявлениям [10].
Для изучения молекулярных механизмов наследственных заболеваний in vitro во множестве современных исследований используют клеточные модели на основе индуцированных плюрипотентных стволовых клеток (ИПСК). Одним из преимуществ ИПСК является то, что они могут быть получены из клеток пациентов с точно установленным диагнозом [11]. Кроме того, благодаря технологии геномного (например, CRISPR-Cas9) редактирования можно создавать изогенные линии ИПСК, отличающиеся только по определённой мутации, что позволяет исключить влияние генетического фона. ИПСК способны к дифференцировке в различные типы клеток, в том числе и в нейральные клетки. Их также можно применять для получения трёхмерных клеточных структур — органоидов, включая мозговые органоиды [12]. Таким образом, ИПСК могут быть использованы для изучения патологий развития не только на клеточном, но и на тканевом уровне [13]. В частности, ИПСК пациентов с врождёнными заболеваниями развития головного мозга могут быть дифференцированы в интересующий тип нейральных клеток (например, нейроны переднего мозга) для последующего исследования молекулярных патогенетических механизмов [14].
В этой работе мы описываем две независимые изогенные клеточные системы ИПСК, включающие ИПСК с нокаутом и индуцибельной гиперэкспрессией гена UBE2А, созданные нами из ИПСК здоровых доноров при помощи геномного CRISPR-Cas9-редактирования и лентивирусной трансдукции соответственно. В дополнение к изогенным клеточным системам мы получили линию ИПСК из лимфоцитов периферической крови пациента с синдромом Насименто и делецией 167 тыс. п.о. длинного плеча Х-хромосомы, которая захватывает 5 генов, в том числе и ген UBE2A [8].
Цель исследования — создание клеточной модели на основе ИПСК, предназначенной для изучения молекулярных и клеточных функций гена UBE2A в нейрогенезе.
МАТЕРИАЛЫ И МЕТОДЫ
Условия культивирования клеток
Индуцированные плюрипотентные стволовые клетки культивировали в среде mTeSR1 (STEMCELL Technologies, Канада) с 50 ед./мл пенициллина-стрептомицина («ПанЭко», Россия) на покрытых Матригелем (Corning, США) чашках Петри при 37 °C в CO2-инкубаторе в атмосфере 5% CO2 и влажности 80%. Пассирование клеток проводили с использованием 0,05% трипсина–ЭДТА (Gibco, США) и 10 мкМ ROCK-ингибитора Y27632 (Miltenyi Biotec, Германия). Спонтанную дифференцировку ИПСК выполняли через стадию формирования эмбриоидных телец, как описано ранее [15].
Клетки HEK 293 и HEK 293 Phoenix культивировали в среде DMEM (Gibco), обогащённой 10% фетальной бычьей сывороткой (FBS, англ. fetal bovine serum) (Thermo Fisher Scientific, США), 2 мM глутамина («ПанЭко»), 50 ед./мл пенициллина-стрептомицина, при 37 °C и 5% CO2. Смену среды проводили каждые 72 ч. Клетки пассировали с использованием 0,05% трипсина–ЭДТА.
Отсутствие контаминации микоплазмой клеточных культур подтверждали при помощи ПЦР, как описано в [16].
Геномное CRISPR-Cas9-редактирование индуцированных плюрипотентных стволовых клеток
Для подбора направляющей РНК (нРНК), комплементарной участку второго экзона гена UBE2A, был использован онлайн-ресурс CRISPOR [17]. Олигонуклеотиды, кодирующие нРНК (табл. 1), были клонированы в плазмиду PX458 (Addgene, № 48138), несущую гены, которые кодируют нуклеазу Cas9 и зелёный флуоресцентный белок (GFP, англ. green fluorescent protein). Трансфекцию проводили с помощью реагента TransIT-LT1 (Mirus Bio, США) по протоколу производителя. GFP-положительные клетки сортировали при помощи FACS Melody (BD, США) на второй день после трансфекции и высевали при низкой плотности в среду mTeSR1 с 10 мкМ ROCK-ингибитора Y27632 и CloneR (STEMCELL Technologies). Спустя 10 дней ИПСК высевали в индивидуальные лунки 48-луночного планшета (Corning).
Таблица 1. Олигонуклеотиды, использованные в работе
Table 1. Oligonucleotides used in the study
Роль | Ген/локус | Размер продукта, п.н. | Прямой/обратный праймер (5ʹ-3ʹ) |
Референсный ген (ОТ-ПЦР) | GAPDH | 118 | GAAGGTGAAGGTCGGAGTCA/GTTGAGGTCAATGAAGGGGTC |
Маркёры плюрипотентности | SOX2 | 278 | AACCAGCGCATGGACAGTTAGA/CTTGACCACCGAACCCAT |
SALL4 | 303 | TGGCGGAGAGGGCAAATAACAT/GCTGAAGAACTCCGCACA | |
OCT4 | 887 | CCTTCGCAAGCCCTCATTTCGCA/AGTTTGAGCATCCCTCGC | |
DPPA5 | 331 | AAGATGGGAACTCTCTCCCCGG/CGCAAGTTTGAGCATCCCTCGC | |
LIN28 | 92 | TTCGGCTTCCTGTCCATGAC/CCTTCCATGTGCAGCTTACTC | |
SALL4 | 183 | GTGCTCTTCCAGAGCCCTTT/AACCTTGACATAGGTCGGCG | |
TDGF1 | 98 | GCTGCTTTCCTCAGGCATT/ACGTGCAGACGGTGGTAGTT | |
Детекция микоплазмы | 16S рРНК | 705–708 | ACTCCTACGGGAGGCAGCAGTA/TGCACCATCTGTCACTCTGTTAACCTC |
Для синтеза направляющей РНК | UBE2A | — | CACCGTCCTCCAGCCGGAGTCA/GCGAAACCGCTGACTCCGGCTGGAGGAC |
Для секвенирования по Сэнгеру | UBE2A | 523 | CGACCCTCGACTTCGGAGAAAC/ATTTTCCCCTACCCGCT |
Для переноса CDS гена UBE2A | CDS UBE2A | 452–459 | ATGTCCACCCCGGCTCGG/TCAACAATCACGCCAGCTTTGTTCTACTA |
Для анализа количественной ОТ-ПЦР | мРНК UBE2A | 100 | GACTTCAAGAGGTTGCAGG/CTTCAGGCCCGAAAATGA |
Для анализа интеграции трансактиватора | FUdelta-rtTA | 133 | AACGCACTGTACGCTCTGTC/CCGCTTTCGCACTTTAGCTG |
Для анализа интеграции эписомных трансгенов | pCE-OCT4 | 106 | CCCTGTCTCTGTCACCACTC/ CACACCAGCCACCACCTTC |
pCE-KLF4 | 131 | ATGCGACCGAGCATTTTCC/ CACACCAGCCACCACCTTC | |
pCE-SOX2 | 107 | CATGTCCCAGCACTACCAGAG/ TTTGTTTGACAGGAGCGACAAT | |
pCE-LIN28 | 113 | AGAAATCCACAGCCCTACCC/ CACACCAGCCACCACCTTC | |
pCE-L-MYC | 122 | GGCTGAGAAGAGGATGGCTAC/ TTTGTTTGACAGGAGCGACAAT | |
pCE-mp53DD | 236 | CGTAAACGCTTCGAGATGTTCC/ CACACCAGCCACCACCTTC | |
EBNA1 | 122 | CGGGGTAGAGGACGTGAAAG/ GGAGACCCGGATGATGATGAC | |
VPS4A | 98 | GGCAACCACTGCTAATCTACTT/ GCCACAAAGGACCACCTATT | |
Верификация делеции | HEXB | 136 | CCGGGCACAATAGTTGAAGT/ TCCTCCAATCTTGTCCATAGC |
UBE2A | 92 | CAAAGCTGGCGTGATTGTTG/ GGAGTAGGGAGGTGACAAACA | |
SEPTIN6 | 112 | GACACCCTGTTCAACACCAAA/ GCTTTAGCCTCACGTTGCTC | |
Потенциальные нецелевые эффекты редактирования | SNX11 | 114 | TGGAAAGTCCCACTCTCCCA/CATGATCTCCTCCCACAGCC |
Примечание: ОТ-ПЦР — ПЦР с обратной транскрипцией, CDS — вирус с кодирующей последовательностью.
Note: ОТ-ПЦР — reverse transcription polymerase chain reaction, CDS — coding sequence.
Из отобранных клонов ИПСК была выделена ДНК с помощью набора «М-сорб» («Синтол», Россия) по протоколу производителя. Для оценки результатов геномного редактирования проведено секвенирование по Сэнгеру. Потенциальные нецелевые сайты CRISPR-Cas9-редактирования генома выбирали с помощью онлайн-ресурса Off-Spotter [18]. Затем выполняли ПЦР с праймерами (см. табл. 1), охватывающими потенциальные нецелевые сайты редактирования, полученные ампликоны секвенировали по Сэнгеру.
Лентивирусная трансдукция индуцированных плюрипотентных стволовых клеток
Для получения лентивирусов использовали вирус с трансактиватором системы tet-ON (Addgene, кат. № 43915), вирус с кодирующей последовательностью (CDS, англ. coding sequence) гена UBE2A, вирус с GFP LeGO-G2 (Addgene, № 25917). Вирус с CDS гена UBE2A был получен с помощью переноса CDS гена UBE2A из плазмиды pDEST17-Ube2A (Addgene, кат. № 15780) в плазмиду pFU-tet-o-hSox2 (Addgene, кат. № 19779). Клетки HEK 293 Phoenix трансфицировали вспомогательными плазмидами, содержащими вирусные гены Rev, RRE, VSV-G, и целевой плазмидой в соотношении 19:37:7:37% соответственно при помощи Унифектина-56 по протоколу производителя (ИБХ РАН, Россия). Сбор супернатанта с вирусными частицами производили через 48 и 72 ч. Супернатант фильтровали через фильтр 0,45 мкм. Для подсчёта титра лентивирусов клетки инфицировали супернатантом с вирусом, несущим ген GFP, в различных разведениях (1:1, 1:5, 1:25, 1:125, 1:625). Титр подсчитывали, определяя процент GFP-положительных клеток.
За день до трандукции ИПСК высевали на 12-луночный планшет (Corning) в плотности 40 тыс./см2. Клетки трансдуцировали двумя лентивирусами: с трансактиватором системы tet-ON и с CDS гена UBE2A. MOI (англ. multiplicity of infection) обоих вирусов была равна 10. Через 48 ч клетки рассевали в низкой плотности. Спустя 10 дней отбирали клоны ИПСК. Наличие вставки целевых плазмид в геноме подтверждено с помощью ПЦР с использованием двух пар праймеров: на фрагмент CDS гена UBE2A и на фрагмент кассеты системы tet-ON (см. табл. 1).
Репрограммирование лимфоцитов
После получения информированного согласия представителя пациента с синдромом Насименто произведён забор крови. Репрограммирование лимфоцитов периферической крови выполняли, как было описано ранее [19, 20]. Всего в 500 тыс. мононуклеарных клеток периферической крови методом электропорации с помощью Neon Transfection System (Thermo Fisher Scientific) было внесено 5 неинтегративных эписом (Addgene, № 41813–41814, № 41855–41857), суммарно в количестве 6 мкг. В процессе репрограммирования и получения клонов ИПСК клетки культивировали в среде DMEM/F12, содержащей 20% заменителя сыворотки Knockout, 1% GlutaMAX-I, 1% заменимых аминокислот, 1% пенициллина-стрептомицина, 0,1 мМ β-меркаптоэтанола и 10 нг/мл рекомбинантного белка bFGF (все реактивы от Thermo Fisher Scientific), на слое фидерных клеток. Отбор полученных клонов ИПСК проводили механически. На 2–5-м пассаже ИПСК переводили в бесфидерные условия: в среду mTESR1 на чашки, покрытые Матригелем. Проверку на интеграцию эписомных векторов в геном ИПСК проводили на 12–18-м пассаже при помощи количественной ПЦР с праймерами на все внесённые трансгены. Для подтверждения делеции использовали ПЦР в реальном времени с праймерами на гены UBE2A и SEPT6, локализованные в области делеции, а также с контрольными праймерами на ген HEXB (см. табл. 1).
Проточная цитометрия
Суспензию ИПСК получали с использованием 0,05% раствора трипсина–ЭДТА. Для окрашивания поверхностных маркёров SSEA-4 и TRA-1-81 собранные клетки инкубировали с первичными антителами в течение 15 мин при комнатной температуре. При окрашивании ядерного маркёра OCT4 клетки фиксировали в 4% растворе параформальдегида (Sigma-Aldrich, США) в течение 15 мин на льду, затем их обрабатывали 80% холодным этанолом в течение 30 мин на льду, потом инкубировали с первично-мечеными антителами (табл. 2) в фосфатно-солевом буфере (PBS) («ПанЭко») с добавлением 2% FBS при 4 °C в течение 60 мин. Для окрашивания на поверхностные маркёры SSEA-4 и TRA-1-81 образцы инкубировали с вторичными антителами (табл. 3) при 4 °C в течение 30 мин в темноте. Анализ проводили с помощью проточного цитометра NovoCyte (Agilent, США).
Таблица 2. Первичные антитела, использованные в работе
Table 2. Primary antibodies used in the study
Антитело | Производитель, кат. № | RRID |
Rabbit IgG anti-OCT4 | Abcam, ab18976 | RRID:AB_444714 |
Mouse Alexa Fluor 488 anti-Oct4 (Oct3) | Sony Biotechnology, 3868525 | RRID:AB_2940931 |
Rabbit IgG anti-SOX2 | Abcam, ab97959 | RRID:AB_2341193 |
Mouse IgG3 anti-SSEA-4 | DSHB, MC-813-70 | RRID:AB_528477 |
Mouse IgM anti-TRA-1-81 | Cell Signaling Technology, 4745 | RRID:AB_2119060 |
Mouse IgG2b, kappa anti-Tubulin β 3 (TUBB3)/Clone: AMC0115 | ABclonal, A18132 | RRID:AB_2861923 |
Rabbit IgG anti-human HNF3β/FOXA2 | ABclonal, A19053 | RRID:AB_2862546 |
Rabbit IgG anti-human Vimentin/Clone: SP20 | Thermo Fisher, RM-9120-S0 | RRID:AB_722371 |
Mouse IgG1 anti-human cytokeratin PAN (CK PAN) | «ПраймБиоМед», 10-310046 | RRID:AB_2940932 |
Rabbit IgG anti-UBE2A | Thermo Fisher Scientific, PA5-112140 | RRID:AB_2866876 |
Rabbit anti-human TATA binding protein TBP | Abcam, ab63766 | RRID:AB_1281140 |
Таблица 3. Вторичные антитела, использованные в работе
Table 3. Secondary antibodies used in the study
Антитело | Производитель, кат. № | RRID |
Goat anti-Mouse IgG (H+L) Cross-Adsorbed Secondary Antibody, Alexa Fluor 555 | Thermo Fisher Scientific, A21422 | RRID:AB_2535844 |
Goat anti-Rabbit IgG (H+L) Cross-Adsorbed Secondary Antibody, Alexa Fluor 488 | Thermo Fisher Scientific, A11008 | RRID:AB_143165 |
Goat anti-Mouse IgG (H+L) Highly Cross-Adsorbed Secondary Antibody, Alexa Fluor 647 | Thermo Fisher Scientific, A21236 | RRID:AB_2535805 |
Rabbit anti-Mouse IgG (whole molecule) Peroxidase antibody | Sigma-Aldrich, A9044 | RRID:AB_258431 |
Goat anti-rabbit IgG (whole molecule) Peroxidase antibody | Sigma-Aldrich, A9169 | RRID:AB_258434 |
Иммуноцитохимическое окрашивание
Клетки фиксировали в 4% растворе параформальдегида, разведённом на PBS в течение 10 мин, затем проводили пермеабилизацию в 0,1% Тритоне Х-100 (Sigma-Aldrich) в течение 10 мин и инкубировали с блокирующим раствором, состоящим из PBS, 0,1% Tween 20 (Thermo Fisher Scientific), 2,5% FBS, 2,5% сыворотки козы (Thermo Fisher Scientific), в течение 30 мин. Все процедуры выполняли при комнатной температуре. Первичные антитела инкубировали с клетками в течение ночи при 4 °С, вторичные флуоресцентно-меченые антитела инкубировали 30–45 мин при комнатной температуре. Ядра окрашивали DAPI (Sigma-Aldrich). Препараты анализировали на флуоресцентном микроскопе Eclipse Ni-E (Nikon, Япония), оборудованном камерой Qi2 (Nikon), микрофотометрию проводили с использованием программного обеспечения BR NIS-Elements (Nikon).
Вестерн-блоттинг
Для получения белковых лизатов клеточный осадок ресуспендировали в буфере RIPA (50 мМ Tris HCl; 150 мМ NaCl; 0,5% Sodium deoxylcholate; 0,1% SDS), инкубировали в течение часа при 4 °С, далее хранили при температуре –70 °С. Белковые лизаты смешивали с двукратным буфером Лэммли (Bio-Rad, США), инкубировали в течение 5 мин при 95 °С, на лунку геля наносили 10 мкг тотального белка. Под тягой готовили и заливали 10% полиакриламидный разделяющий гель и 5% полиакриламидный концентрирующий гель. Белковый электрофорез проводили в вертикальной камере (Bio-Rad) при 100 V в трис-глициновом буфере с SDS. Перенос белков с геля на мембрану PVDF проводили в приборе Trans-Blot Turbo (Bio-Rad) в течение 30 мин при 25 V. Затем блокировали неспецифическое связывание антител с помощью инкубации в 5% обезжиренном молоке (Bio-Rad), далее инкубировали с первичными антителами в течение ночи при 4 °С (см. табл. 2). На следующий день отмывали мембрану PBST (PBS + 0,1% Tween 20); в течение часа инкубировали с вторичными антителами, конъюгированными с пероксидазой хрена; затем отмывали раствором PBST. Визуализировали на гель-документирующей системе ChemiDoc (Bio-Rad) с помощью реактивов ECL Femto-Sensitivity (Invitrogen, США).
Кариотипирование
Кариотипирование проводили, как описано ранее [14].
Выделение РНК и проведение полимеразной цепной реакции с обратной транскрипцией
Выделение РНК проводили с использованием набора RNAeasy Mini Kit (QIAGEN, США). Для синтеза комплементарной ДНК (кДНК) использовали вырожденные d(N)10 праймеры («Евроген», Россия) и набор для обратной транскрипции M-MLV («Евроген») в соответствии с инструкциями производителя. Количественную ОТ-ПЦР (ПЦР с обратной транскрипцией) выполняли с использованием специфических праймеров (см. табл. 1) на амплификаторе CFX96 Touch (Bio-Rad). ПЦР проводили в объёме 20 мкл, использовали готовую смесь 5X qPCRmix-HS SYBR («Евроген»), концентрация праймеров в реакции составляла 500 нМ. Каждая реакция была поставлена в двух технических повторностях.
Соблюдение этических стандартов
Исследование рассмотрено и одобрено этической комиссией Федерального научно-клинического центра физико-химической медицины имени академика Ю.М. Лопухина ФМБА России (протокол № 1 от 1.06.2021 г.). Представитель пациента добровольно подписал форму информированного согласия, утверждённую в составе протокола исследования этическим комитетом НИИ медицинской генетики Томского национального исследовательского медицинского центра Российской академии наук (протокол № 3 от 17.05.2018).
РЕЗУЛЬТАТЫ
Создание и валидация клеточной модели для изучения функций гена UBE2A
В настоящем исследовании мы создали две изогенные клеточные системы ИПСК, включающие линии с нокаутом гена UBE2A и с индуцибельной гиперэкспрессией гена UBE2A (рис. 1, a). Данная модель создана на основе полученных ранее двух линий ИПСК, репрограммированных из фибробластов кожи здоровых доноров: линии IPSRG4S (RCPCMi009-A) с мужским кариотипом [21] и линии IPSFD5S с женским кариотипом [22]. Линия IPSRG4S, нокаутная по гену UBE2A, была тоже получена ранее [14].
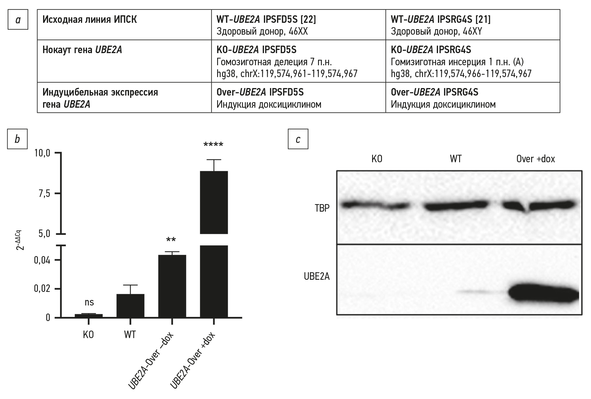
Рис. 1. Клеточная модель на основе ИПСК здоровых доноров для изучения гена UBE2A: a — состав клеточной модели; b — валидация методом количественной ОТ-ПЦР изогенной системы, созданной на основе линии IPSFD5S, при помощи анализа экспрессии гена UBE2A; c — валидация изогенной системы, созданной на основе линии IPSFD5S, при помощи вестерн-блоттинга с антителами к белку UBE2A. Здесь: KO — KO-UBE2A IPSFD5S; WT — WT-UBE2A IPSFD5S; –dox — Over-UBE2A IPSFD5S без индукции диксициклином; Over +dox — Over-UBE2A IPSFD5S после индукции доксициклином; 2-ΔΔCq — относительная экспрессия, вычисленная по алгоритму «дельта-дельта Cq»; TBP — ТАТА-связывающий белок; ** различия с WT статистически значимы, p <0,01; **** различия с WT статистически значимы, p <0,0001; ns — различия с WT статистически не значимы
Fig. 1. Cell model based on iPSCs of healthy donors for studying UBE2A gene: a — iPSC lines of the cell model; b — validation of the iPSCs derived from IPSFD5S by analysis of UBE2A gene expression; c — validation of the iPSCs derived from IPSFD5S by western blotting with antibodies to UBE2A protein. Here: KO — KO-UBE2A IPSFD5S; WT — WT-UBE2A IPSFD5S; –dox — Over-UBE2A IPSFD5S without doxycycline induction; Over +dox — Over-UBE2A IPSFD5S after doxycycline induction; 2-ΔΔCq — relative expression, calculated with delta-delta Сq algorithm; TBP — TATA binding protein; ** difference with WT is significant, p <0.01; **** difference with WT is significant, p <0.0001; ns — difference with WT in not significant
Из ИПСК IPSFD5S получена изогенная линия ИПСК с нокаутом (KO, англ. knockout) гена UBE2A при помощи геномного CRISPR-Cas9-редактирования. Геномное CRISPR-Cas9-редактирование линии IPSFD5S проводили с использованием нРНК, комплементарной последовательности второго экзона гена UBE2A. Редактирование привело к гомозиготной делеции размером 7 п.н. в месте отжига нРНК. Эта делеция в свою очередь приводит к формированию преждевременного стоп-кодона в матричной РНК (мРНК) и, следовательно, к её нонсенс-опосредованному распаду. Отсутствие экспрессии белка UBE2A в отобранной нокаутной линии подтверждено при помощи вестерн-блоттинга (рис. 1, c). Полученная линия ИПСК KO-UBE2A IPSFD5S сохранила ЭСК-подобную морфологию (ЭСК — эмбриональные стволовые клетки) и нормальный кариотип (46, XX). Кроме того, эта линия демонстрировала экспрессию маркёров плюрипотентности (OCT4, NANOG, TRA-1-81, SSEA-4) и способность формировать производные трёх зародышевых листков (рис. 2, b–f).
Рис. 2. Характеристика линии ИПСК IPSFD5S, нокаутной по гену UBE2A: a — локализация направляющей РНК, использованной при редактировании, и полученной делеции размером 7 п.н. во втором экзоне гена UBE2A; b — ЭСК-подобная морфология колонии ИПСК IPSFD5S; c — анализ экспрессии маркёров плюрипотентного состояния OCT4, NANOG, SSEA-4 И TRA-1-81 в ИПСК IPSFD5S методом иммуноцитохимического окрашивания, DAPI — синий цвет, соответствующий маркёр — зелёный или красный; d — анализ экспрессии маркёров плюрипотентного состояния OCT4, SSEA-4 и TRA-1-81 в ИПСК IPSFD5S методом проточной цитометрии; e — анализ экспрессии генов, характерных для плюрипотентного состояния, в ИПСК IPSFD5S методом количественной ОТ-ПЦР; f — дифференциальное GTG-окрашивание метафазных хромосом выявило в ИПСК IPSFD5S нормальный кариотип 46, XY. Ex — экзоны, RT+ — синтез кДНК с использованием обратной транскриптазы; RT– — синтез кДНК без использования обратной транскриптазы; APC-A — флуоресценция аллофикоцианина, площадь; FITC-A — флуоресценция флуоресцеина, площадь. Остальные обозначения см. в тексте
Fig. 2. Characterization of KO-UBE2A IPSFD5S line: a — localization of gRNA used for CRISPR-Cas9 genome editing and the obtained 7 bp deletion in the second exon of the UBE2A gene; b — ESC-like morphology of KO-UBE2A IPSFD5S; c — immunocytochemical staining for pluripotency markers OCT4, NANOG, SSEA-4 AND TRA-1-81, DAPI — blue color, corresponding marker — green or red; d — cytometry analysis for pluripotency markers OCT4, SSEA-4 and TRA-1-81; e — analysis of pluripotency state-specific gene expression in IPSFD5S IPSCs by quantitative RT-PCR; f — differential GTG staining of metaphase chromosomes revealed a normal 46, XX karyotype in KO-UBE2A IPSFD5S line. Ex — exon, RT+ — cDNA synthesis using reverse transcriptase; RT– — cDNA synthesis using no reverse transcriptase; APC-A — allophycocyanin fluorescence, area; FITC-A — fluorescein fluorescence, area. See text for other designations
Поскольку имеются данные в пользу патогенного эффекта увеличенной дозы гена UBE2A, было решено дополнить изогенные системы линиями с увеличенной экспрессией рассматриваемого гена. При получении ИПСК с индуцибельной гиперэкспрессией гена UBE2A использовали лентивирусную трансдукцию, для чего собирали два вируса: вирус с трансактиватором системы tet-ON и вирус с CDS гена UBE2A. При помощи лентивирусной трансдукции ИПСК IPSRG4S и IPSFD5S получены соответствующие изогенные линии ИПСК с tet-ON-индуцибельной гиперэкспрессией гена UBE2A. Значимое повышение экспрессии данного гена в ответ на обработку клеток доксициклином в течение 72 ч было подтверждено при помощи количественной ОТ-ПЦР и вестерн-блоттинга (рис. 1, b; см. рис. 1, c). Необходимо отметить, что в ИПСК, прошедших лентивирусную трансдукцию, мы наблюдали некоторое повышение экспрессии гена UBE2A даже без индукции доксициклином (данные не показаны). Это может быть связано с несовершенством генетической трансгенной конструкции, в которой промотор трансгена не является полностью «молчащим» в отсутствие индукции доксициклином, что способно становиться ещё более явным за счёт множественных вставок трансгена при лентивирусной трансдукции.
Получение и характеристика клеточной линии индуцированных плюрипотентных стволовых клеток пациента с делецией гена UBE2A
Для более детального изучения роли гена UBE2A в развитии умственной отсталости была создана линия ИПСК IPS67-7 путём репрограммирования лимфоцитов периферической крови пациента с Х-сцепленной умственной отсталостью типа Насименто. У данного пациента ранее была выявлена гемизиготная делеция участка длинного плеча Х-хромосомы размером 167,5 тыс. п.о. [8], что приводит к полному отсутствию в его геноме пяти генов, включая ген UBE2A (рис. 3, a).
Рис. 3. Характеристика линии ИПСК IPS67-7, полученной из лимфоцитов пациента с синдромом Насименто: a — локализация делеции размером 167,5 тыс. п.о. с указанием захваченных делецией генов [8]; b — ЭСК-подобная морфология колонии ИПСК IPS67-7; c — анализ экспрессии маркёров плюрипотентного состояния OCT4, SSEA-4 и TRA-1-81 в ИПСК IPS67-7 методом проточной цитометрии; d — анализ экспрессии генов, характерных для плюрипотентного состояния, в ИПСК IPS67-7 методом количественной ОТ-ПЦР (в качестве положительного контроля служила кДНК ЭСК HUES9, в качестве отрицательного контроля взяты кДНК фибробластов здорового донора); e — анализ экспрессии маркёров плюрипотентного состояния OCT4, SOX2, SSEA-4 И TRA-1-81 в ИПСК IPS67-7 методом иммуноцитохимического окрашивания, DAPI — синий цвет, соответствующий маркёр — зелёный или красный; f — анализ производных спонтанной дифференцировки ИПСК IPS67-7 методом иммуноцитохимического окрашивания; для выявления эктодермальных производных использованы антитела к βIII-тубулину (βIII-tubulin) и панцитокератину (PAN CK), для выявления мезодермальных производных — антитела к виментину (vimentin), для выявления энтодермальных производных — антитела к FOXA2 (HNF3B), DAPI — синий цвет, соответствующий маркёр — зелёный цвет; g — дифференциальное GTG-окрашивание метафазных хромосом выявило в ИПСК IPS67-7 нормальный кариотип 46, XY; h — ПЦР-тест не выявил микоплазменной контаминации клеток; 67-7 — ДНК, выделенная из линии IPS67-7; –K — отрицательный контроль, H2O — технический контроль ПЦР, +К — положительный контроль; i — верификация наличия делеции в геноме линии IPS67-7 методом количественной ПЦР с праймерами на гены UBE2A и SEPT6, входящие в состав делеции. В качестве референсного был использован ген HEXB; *** p <0,001; **** p <0,0001. Обозначения см. в тексте
Fig. 3. Characterization of IPSC line IPS67-7 derived from lymphocytes of a patient with Nascimento syndrome: a — localization of 167.5 Kbp deletion with indication of genes captured by the deletion [8]; b — ESC-like morphology of IPS67-7 colony; c — flow cytometry analysis for pluripotency markers OCT4, SSEA-4 and TRA-1-81 in IPS67-7; d — RT-qPCR analysis for pluripotent gene expression , cDNA of HUES9 ESCs served as a positive control, cDNA of healthy donor fibroblasts was taken as a negative control; e — immunocytochemical staining analysis for pluripotency markers OCT4, SOX2, SSEA-4 AND TRA-1-81, DAPI — blue color, corresponding marker — green or red; The scale bar corresponds to 100 μm; f — immunocytochemical staining analysis of spontaneous differentiation derivatives of IPS67-7. Antibodies to βIII-tubulin (βIII-tubulin) and pancytokeratin (PAN CK) were used to detect ectodermal derivatives, antibodies to vimentin (vimentin) were used to detect mesodermal derivatives, antibodies to FOXA2 (HNF3B) were used to detect entodermal derivatives, DAPI — blue, corresponding marker — green; scale bar — 100 µm; g — differential GTG staining of metaphase chromosomes revealed a normal 46, XY karyotype in IPS67; h — PCR test did not reveal mycoplasma contamination of cells, 67-7 — DNA isolated from IPS67-7 cells, –K — negative control, H2O — PCR technical control, +K — positive control; i — verification of the deletion in IPS67-7 by quantitative PCR with primers for UBE2A and SEPT6 genes. The HEXB gene was used as a reference gene; *** p <0.001; **** p <0.0001. See text for designations
Для получения ИПСК из лимфоцитов пациента с Х-сцепленной умственной отсталостью проведена трансфекция неинтегрирующими эписомными плазмидными векторами, экспрессирующими факторы репрограммирования: OCT4, MYC, LIN28, SOX2, KLF4. Эписомы также несли гены, кодирующие вспомогательные факторы, которые повышают эффективность репрограммирования: белок EBNA1 и С-терминальный фрагмент белка p53 мыши mp53DD [18].
Полученная линия ИПСК IPS67-7 охарактеризована на наличие плюрипотентности. Клеточная линия ИПСК демонстрировала типичную морфологию плюрипотентных стволовых клеток человека (рис. 3, b) и высокую пролиферативную активность. Проточная цитофлуориметрия подтвердила высокую экспрессию маркёров плюрипотентности: транскрипционного фактора OCT4 и поверхностных маркёров SSEA-4 и TRA-1-81 (рис. 3, c). Экспрессия генов плюрипотентности LIN28, SALL4, TDGF1 подтверждена методом количественной ОТ-ПЦР, при этом положительным контролем выступала линия ЭСК HUES9, отрицательным контролем — фибробласты кожи здорового донора (рис. 3, d). Визуализация биомаркёров плюрипотентности (транскрипционных факторов OCT4 и SOX2 и поверхностных маркёров SSEA-4 и TRA-1-81) проведена с помощью иммуноцитохимического окрашивания (рис. 3, e). Способность формировать три зародышевых листка (энто-, мезо- и эктодерму) клетками IPS67-7 подтверждена с помощью спонтанной in vitro дифференцировки через стадию эмбриоидных телец. Полученные дифференцированные клетки демонстрировали экспрессию биомаркёров эктодермы (панцитокератин, βIII-тубулин), мезодермы (виментин) и энтодермы (FOXA2) (рис. 3, f). Анализ кариотипа, проведённый на 14-м пассаже, показал, что полученная линия ИПСК демонстрирует стабильный хромосомный состав и нормальный кариотип (46, XY) (рис. 3, g). При помощи количественной ПЦР с праймерами, специфичными к делетированному участку X-хромосомы, подтверждено наличие делеции в ИПСК пациента с синдромом Насименто (рис. 3, i). Полученные ИПСК на 18-м пассаже проверены на интеграцию эписом в геном. Эта проверка показала, что геном полученной линии содержит трансгены OCT4, EBNA1 и mp53DD, причём трансген mp53DD сохраняет заметную экспрессию в ИПСК на 18-м пассаже (данные не показаны).
Морфометрия клеточного ядра в линиях индуцированных плюрипотентных стволовых клеток полученной модели
При проведении иммуноцитохимического окрашивания во время характеристики полученных линий ИПСК стало очевидно, что нокаут гена UBE2A и его гиперэкспрессия приводят к увеличению размеров ядер клеток (рис. 4). Морфометрический анализ в линиях ИПСК полученной модели показал значимое увеличение площади ядер в модифицированных ИПСК, причём наиболее яркий эффект наблюдался в ИПСК с индуцибельной гиперэкспрессией гена UBE2A (табл. 4).
Рис. 4. Площадь клеточного ядра у линий ИПСК с нокаутом п. 54 (KO) и гиперэкспрессией гена UBE2A п. 46 (Over +dox) статистически значимо больше, чем у исходной линии IPSFD5S п. 52 (WT); ** отличия от исходной линии ИПСК статистически значимы, p <0,01; t-критерий Стьюдента, **** отличия от исходной линии статистически значимы, p <0,0001; t-критерий Стьюдента. Бар — 25 мкм, усы гистограммы означают стандартную ошибку среднего
Fig. 4. Cell nuclei area in KO-UBE2A IPSFD5S p. 54 (KO) and Over-UBE2A IPSFD5S p. 52 (Over +dox) is significantly larger than in the isogenic normal IPSFD5S p. 46 (WT), ** difference from the normal IPSCs is significant, p <0.01; Student’s t-test; **** difference from the normal IPSCs is significant, p <0.0001, Student’s t-test. Scale bar — 25 μm, histogram whiskers indicate standard error of mean
Таблица 4. Результаты измерений площади клеточного ядра в индуцированных плюрипотентных стволовых клетках клеточной модели
Table 4. Results of measurements of nuclei area in the induced pluripotent stem cells of cell model
Линия индуцированных плюрипотентных стволовых клеток | Статус гена UBE2A | Измерено ядер | Площадь ядра ± SEM, мкм² |
IPSFD5S | Дикий тип | 2127 | 101,4±0,9 |
KO-UBE2A IPSFD5S | Нокаут | 2130 | 148,7±1,3** |
Over-UBE2A IPSFD5S | Гиперэкспрессия | 10225 | 220,6±0,8**** |
IPSRG4S | Дикий тип | 1007 | 156,9±2,6 |
KO-UBE2A IPSRG4S | Нокаут | 1600 | 188,4±2,5** |
Over-UBE2A IPSRG4S | Гиперэкспрессия | 2457 | 278,6±1,7**** |
IPS67-6 | Делеция | 282 | 136,7±2,8 |
** различия с изогенными нормальными индуцированными плюрипотентными стволовыми клетками статистически значимы, p <0,01; t-критерий Стьюдента; **** различия с изогенными нормальными индуцированными плюрипотентными стволовыми клетками статистически значимы, p <0,0001; t-критерий Стьюдента.
** differences with isogenic normal induced pluripotent stem cells were statistically significant, p <0.01; Student’s t-test; **** differences with isogenic normal induced pluripotent stem cells were statistically significant, p <0.0001; Student’s t-test.
Увеличение ядер в нокаутных ИПСК удалось зафиксировать только в сравнении с изогенной исходной линией ИПСК. Например, у ИПСК IPSFD5S средняя площадь ядер составляет 101,4±0,9 мкм², а в изогенном нокаутном клоне — 148,7±1,3 мкм², и это ниже, чем у нормальных мужских ИПСК IPSRG4S (см. табл. 4). Однако у нокаутных производных мужских ИПСК IPSRG4S средняя площадь ядра больше, чем в исходных нормальных ИПСК, и составляет 188,4±2,5 мкм² (см. табл. 4). Средняя площадь ядра у ИПСК пациента с делецией гена UBE2A близка по размеру к нокаутным клонам женской линии FD5S и равна 136,7±2,8 мкм² (см. табл. 4).
ОБСУЖДЕНИЕ
Белок UBE2A очень консервативен, и его аминокислотная последовательность является идентичной среди позвоночных [5]. Следовательно, можно предположить, что существует высокое селективное давление, направленное против возникновения новых вариантов белка. Кроме того, селекцией, по крайней мере на уровне соматических клеток, можно объяснить тот факт, что в клетках крови у матерей пациентов с синдромом Насименто наблюдается 100% неслучайная инактивация Х-хромосомы [6, 8]. Однако нокаут по этому гену не является летальным у мышей, и только гомозиготный нокаут гена UBE2A приводит к стерильности у самок [9]. Для объяснения такого противоречия можно предположить, что мутации в гене UBE2A могут быть нелетальными только в определённом генетическом контексте. В пользу такого предположения говорит крайняя редкость синдрома Насименто, а также установленный нами факт, что эффект нокаута гена UBE2A на площадь клеточного ядра в ИПСК можно обнаружить только при сравнении изогенных клеток. Таким образом, созданная нами модель, включающая две изогенные системы ИПСК и ИПСК пациента с синдромом Насименто, может помочь не только изучить эффект дисфункции гена UBE2A вне влияния генетического фона, но и показать, как дисфункция этого гена проявляется в различном генетическом окружении.
В нашей работе мы репрограммировали лимфоциты крови пациента с синдромом Насименто неинтегративным способом с использованием эписомной трансфекции [18]. Однако полученные нами ИПСК демонстрируют интеграцию в геном трёх (OCT4, EBNA1 и mp53DD) из семи трансгенов, которые были внесены при репрограммировании. Трансген OCT4 кодирует транскрипционный фактор OCT4, который является одним из четырёх основных факторов репрограммирования, входящих в так называемый коктейль Яманаки [23]. Трансген EBNA1 кодирует белок вируса Эпштейна–Барр EBNA1, который способствует экстрахромосомной репликации эписом, а также может связывать белок p53 и предотвращать его активность в качестве транскрипционного фактора. Трансген mp53DD кодирует С-терминальный фрагмент белка p53 мыши, который обладает доминантно-негативным действием, препятствуя образованию функциональных тетрамеров белка p53 [18]. Трансгены EBNA1 и OCT4 не демонстрируют экспрессии в ИПСК на 18-м пассаже, т.е. можно предположить, что они подверглись эпигенетическому сайленсингу, обычно происходящему с вносимыми экзогенными факторами по завершении репрограммирования. Известно, что остаточная активность экзогенных факторов репрограммирования нарушает способность ИПСК к дифференцировке [24], в то время как мы показали, что полученные нами ИПСК пациента способны к дифференцировке в производные всех трёх зародышевых листков. Таким образом, можно предположить, что интегрировавший трансген OCT4 подвергся надёжному сайленсингу.
Мы обнаружили, что, в отличие от трансгенов EBNA1 и OCT4, антиапоптотический трансген mp53DD продолжает экспрессироваться в ИПСК пациента 18-го пассажа. Известно, что плюрипотентные стволовые клетки человека в культуре in vitro предрасположены к повышению дозы антиапоптотических генов. Так, тонкий цитогенетический анализ более 120 линий ЭСК человека показал, что во многих из них наблюдается рекуррентная дупликация региона 20q11.21, содержащего антиапоптотический ген BCL2L1 [25]. Интеграция трансгена mp53DD и сохранение его экспрессии даже в ИПСК продвинутых пассажей говорит о невозможности использования полученной линии ИПСК IPS67-7 в исследованиях, где изучаются апоптоз или цитотоксичность. Тем не менее данная линия ИПСК прошла все тесты на плюрипотентность, в том числе и на способность к дифференцировке в производные трёх зародышевых листков, поэтому её можно использовать как дополнительную к нашей изогенной системе, созданной на основе ИПСК двух здоровых доноров.
Количественная ОТ-ПЦР показала, что нокаут гена UBE2A приводит к незначительному снижению количества мРНК UBE2A, и валидировать нокаут в ИПСК удалось только при помощи вестерн-блоттинга с антителами к белку UBE2A. По данным базы данных The Human Proteome Atlas [26], доступные на рынке коммерческие антитела не обладают достаточной специфичностью к UBE2A из-за кросс-реактивности к его очень близкому гомологу, белку UBE2B. Иными словами, валидация успешности нокаута в нашей работе стала возможной из-за того, что экспрессия белка UBE2B в ИПСК значительно ниже, чем белка UBE2A. Однако кросс-реактивность антител не позволяет применять вестерн-блоттинг или иммуноцитохимическое окрашивание в дифференцированных нейральных клетках-предшественниках, где использованные антитела к UBE2A «узнавали» некий белковый продукт даже в клетках пациента при полном отсутствии локуса гена UBE2A (данные не показаны). Полученная нами клеточная модель, в состав которой входят ИПСК с делецией и гиперэкспрессией гена UBE2A, может служить хорошей валидационной базой для получения антител, специфичных к UBE2A без кросс-реактивности к UBE2B.
Мы обнаружили, что ИПСК с нокаутом или гиперэкспрессией гена UBE2A характеризуются большей средней площадью ядер по сравнению с исходной линией ИПСК. Ранее аномальное увеличение клеточных ядер продемонстрировано для клеток с гиперэкспрессией гена UBE2B, который обладает высокой гомологией с геном UBE2A [27]. Увеличение средней площади ядра в клеточной популяции может быть связано со множеством причин, например: с увеличением доли клеток на стадии G2, уплощением клеток за счёт увеличения клеточной адгезии, изменениями в динамике ядерно-цитоплазматического транспорта и т.д.
ЗАКЛЮЧЕНИЕ
В данной работе мы создали клеточную модель на основе ИПСК для изучения роли гена UBE2A в патогенезе синдрома Насименто. Данная модель содержит две изогенные клеточные системы, созданные на основе ИПСК двух здоровых доноров. Изогенные клеточные системы состоят из ИПСК c нокаутом гена UBE2A, ИПСК с индуцибельной гиперэкспрессией гена UBE2A и нормальных исходных ИПСК. Модель дополнена линией ИПСК пациента с cиндромом Насименто, который вызван делецией участка X-хромосомы, содержащего ген UBE2A. С помощью данной модели мы впервые показали, что как нокаут, так и гиперэкспрессия гена UBE2A приводят к значительному увеличению средней площади ядер в ИПСК по сравнению с изогенным контролем. Мы также продемонстрировали, что морфологический эффект нокаута гена UBE2A в ИПСК можно выявить только в изогенном контексте, что, вероятно, говорит о важности генетического фона для проявления мутаций в гене UBE2A. Полученная модель может быть использована для фундаментальных исследований функций гена UBE2A, включая его молекулярные и клеточные функции в нейрогенезе. Возможно также её использование для получения антител, специфичных к белку UBE2A и не обладающих кросс-реактивностью к гомологичному белку UBE2B.
ДОПОЛНИТЕЛЬНАЯ ИНФОРМАЦИЯ
Благодарности. Авторы благодарят Центр высокоточного редактирования генома и генетических технологий для биомедицины Федерального научно-клинического центра физико-химической медицины имени академика Ю.М. Лопухина ФМБА России за помощь в секвенировании по Сэнгеру.
Источник финансирования. Исследование выполнено за счёт гранта Российского научного фонда № 21-65-00017.
Конфликт интересов. Авторы декларируют отсутствие явных и потенциальных конфликтов интересов, связанных с публикацией настоящей статьи.
Вклад авторов. Е.А. Хомякова и А.В. Федоренко выполняли культуральную и молекулярно-генетическую часть работы, связанную с генетической модификацией ИПСК и их характеристикой, внесли равный вклад в подготовку статьи; М.М. Гридина, А.А. Хабарова получали ИПСК пациента с синдромом Насименто; А.А. Кашеварова, Д.А. Федотов, Т.В. Лиманская выполняли характеристику ИПСК пациента; А.В. Сурдина и Л.Д. Беликова провели анализ экспрессии маркёров плюрипотентности методом иммуноцитохимического окрашивания и проточной цитометрии соответственно; Е.А. Воловиков и Е.К. Секретова осуществляли вестерн-блоттинг; Е.А. Зеркаленкова выполнила анализ кариотипа линий ИПСК; М.А. Лагарькова, И.Н. Лебедев и А.Н. Богомазова разработали дизайн эксперимента, провели анализ полученных данных и участвовали в написании статьи.
ADDITIONAL INFORMATION
Acknowledgments. We are grateful to the Center for High-Precision Genome Editing and Genetic Technologies for Biomedicine of the Lopukhin Federal Research and Clinical Center of Physical-Chemical Medicine for assistance in Sanger sequencing.
Funding source. This work was supported by the Russian Scientific Foundation (grant N 21-65-00017).
Competing interests. The authors declare that they have no competing interests.
Authors’ contribution. E.A. Khomyakova and A.V. Fedorenko performed the cultivation and genetic modification of iPSCs and their characterization and contributed equally to the article; M.M. Gridina and A.A. Khabarova obtained iPSCs from a patient with Nascimento syndrome; A.A. Kashevarova, D.A. Fedotov, and T.V. Limanskaya characterized the iPSCs of the patient; A.V. Surdina and L.D. Belikova analyzed the expression of pluripotency markers by immunocytochemical staining and flow cytometry, respectively; E.A. Volovikov and E.K. Sekretova performed western blotting; E.A. Zerkalenkova analyzed the karyotype of IPSC lines; M.A. Lagarkova, I.N. Lebedev, and A.N. Bogomazova developed the design of the experiment, analyzed the obtained data, and participated in writing the article.
Об авторах
Алиса Витальевна Федоренко
Федеральный научно-клинический центр физико-химической медицины имени академика Ю.М. Лопухина ФМБА России; Сколковский институт науки и технологий
Email: afedorenko00@gmail.com
ORCID iD: 0009-0008-1090-2477
Россия, Москва; Москва
Екатерина Александровна Хомякова
Федеральный научно-клинический центр физико-химической медицины имени академика Ю. М. Лопухина ФМБА России
Email: kate.hom@gmail.com
ORCID iD: 0000-0001-5387-5554
SPIN-код: 1573-1381
Россия, Москва
Анастасия Владимировна Сурдина
Федеральный научно-клинический центр физико-химической медицины имени академика Ю. М. Лопухина ФМБА России
Email: asya.surdina@gmail.com
ORCID iD: 0000-0002-5484-2049
SPIN-код: 5261-7407
канд. биол. наук
Россия, МоскваЕлизавета Константиновна Секретова
Федеральный научно-клинический центр физико-химической медицины имени академика Ю. М. Лопухина ФМБА России
Email: Sekretova.1999@mail.ru
ORCID iD: 0000-0001-7859-920X
SPIN-код: 4618-0793
Россия, Москва
Татьяна Викторовна Лиманская
Федеральный научно-клинический центр физико-химической медицины имени академика Ю. М. Лопухина ФМБА России
Email: perunat@bk.ru
ORCID iD: 0009-0001-9177-2342
SPIN-код: 1443-7747
Россия, Москва
Лилия Дмитриевна Беликова
Федеральный научно-клинический центр физико-химической медицины имени академика Ю. М. Лопухина ФМБА России; Научно-исследовательский институт медицинской генетики Томского национального исследовательского медицинского центра Российской академии наук
Email: shuvalova_l@inbox.ru
ORCID iD: 0000-0003-0887-3415
SPIN-код: 2949-7522
Россия, Москва; Томск
Егор Алексеевич Воловиков
Федеральный научно-клинический центр физико-химической медицины имени академика Ю. М. Лопухина ФМБА России; Научно-исследовательский институт медицинской генетики Томского национального исследовательского медицинского центра Российской академии наук
Email: volovikovea@gmail.com
ORCID iD: 0000-0002-0346-6194
SPIN-код: 7413-0278
Россия, Москва; Томск
Мария Михайловна Гридина
Федеральный исследовательский центр Институт цитологии и генетики Сибирского отделения Российской академии наук
Email: gridina@bionet.nsc.ru
ORCID iD: 0000-0002-7972-5949
SPIN-код: 4251-8865
канд. биол. наук
Россия, НовосибирскАнна Александровна Хабарова
Федеральный исследовательский центр Институт цитологии и генетики Сибирского отделения Российской академии наук
Email: khabarova@bionet.nsc.ru
ORCID iD: 0000-0002-9425-9763
SPIN-код: 7440-7804
канд. биол. наук
Россия, НовосибирскАнна Александровна Кашеварова
Научно-исследовательский институт медицинской генетики, Томский национальный исследовательский медицинский центр Российской академии наук
Email: anna.kashevarova@medgenetics.ru
ORCID iD: 0000-0002-0716-4302
SPIN-код: 2161-4386
канд. биол. наук
Россия, ТомскДмитрий Андреевич Федотов
Научно-исследовательский институт медицинской генетики, Томский национальный исследовательский медицинский центр Российской академии наук
Email: dmitry.fedotov@medgenetics.ru
ORCID iD: 0000-0002-0295-3230
SPIN-код: 2631-6989
Россия, Томск
Елена Александровна Зеркаленкова
Национальный медицинский исследовательский центр детской гематологии, онкологии и иммунологии имени Дмитрия Рогачева
Email: eazerkalenkova@gmail.com
ORCID iD: 0000-0001-9634-5828
SPIN-код: 4866-1393
канд. биол. наук
Россия, МоскваМария Андреевна Лагарькова
Федеральный научно-клинический центр физико-химической медицины имени академика Ю.М. Лопухина ФМБА
Email: lagar@rcpcm.org
ORCID iD: 0000-0001-9594-1134
SPIN-код: 4315-1701
д-р биол. наук, член-корреспондент РАН
Россия, МоскваИгорь Николаевич Лебедев
Научно-исследовательский институт медицинской генетики, Томский национальный исследовательский медицинский центр Российской академии наук
Email: igor.lebedev@medgenetics.ru
ORCID iD: 0000-0002-0482-8046
SPIN-код: 5312-9250
д-р биол. наук, профессор РАН
Россия, ТомскАлександра Никитична Богомазова
Федеральный научно-клинический центр физико-химической медицины имени академика Ю.М. Лопухина ФМБА России; Научно-исследовательский институт медицинской генетики Томского национального исследовательского медицинского центра Российской академии наук
Автор, ответственный за переписку.
Email: abogomazova@rcpcm.org
ORCID iD: 0000-0003-1549-1984
SPIN-код: 8093-8009
канд. биол. наук, доцент
Россия, Москва; ТомскСписок литературы
- Haddad D.M., Vilain S., Vos M., et al. Mutations in the intellectual disability gene Ube2a cause neuronal dysfunction and impair parkin-dependent mitophagy // Mol Cell. 2013. Vol. 50, N 6. P. 831–843. doi: 10.1016/j.molcel.2013.04.012
- Fu J., Liao L., Balaji K.S., et al. Epigenetic modification and a role for the E3 ligase RNF40 in cancer development and metastasis // Oncogene. 2021. Vol. 40, N 3. P. 465–474. doi: 10.1038/s41388-020-01556-w
- Yamada T., Imamachi N., Imamura K., et al. Systematic analysis of targets of pumilio-mediated mRNA decay reveals that PUM1 repression by DNA damage activates translesion synthesis // Cell Rep. 2020. Vol. 31, N 5. P. 107542. doi: 10.1016/j.celrep.2020.107542
- Barnsby-Greer L., Mabbitt P.D., Dery M.A., et al. An atypical E3 ligase module in UBR4 mediates destabilization of N-degron substrates // bioRxiv. 2023. doi: 10.1101/2023.05.08.539884
- Nascimento R.M., Otto P.A., de Brouwer A.P., Vianna-Morgante A.M. UBE2A, which encodes a ubiquitin-conjugating enzyme, is mutated in a novel X-linked mental retardation syndrome // Am J Hum Genet. 2006. Vol. 79, N 3. P. 549–555. doi: 10.1086/507047
- Czeschik J.C., Bauer P., Buiting K., et al. X-linked intellectual disability type Nascimento is a clinically distinct, probably underdiagnosed entity // Orphanet J Rare Dis. 2013. Vol. 8. P. 146. doi: 10.1186/1750-1172-8-146
- Kopanos C., Tsiolkas V., Kouris A., et al. VarSome: the human genomic variant search engine // Bioinformatics. 2019. V. 35, N 11. P. 1978–1980. doi: 10.1093/bioinformatics/bty897
- Tolmacheva E.N., Kashevarova A.A., Nazarenko L.P., et al. Delineation of clinical manifestations of the inherited Xq24 microdeletion segregating with sXCI in mothers: two novel cases with distinct phenotypes ranging from UBE2A deficiency syndrome to recurrent pregnancy loss // Cytogenet Genome Res. 2020. Vol. 160, N 5. P. 245–254. doi: 10.1159/000508050
- Roest H.P., Baarends W.M., de Wit J., et al. The ubiquitin-conjugating DNA repair enzyme HR6A is a maternal factor essential for early embryonic development in mice // Mol Cell Biol. 2004. Vol. 24, N 12. P. 5485–5495. doi: 10.1128/MCB.24.12.5485-5495.2004
- Foglizzo M., Day C.L. E2 enzymes: lessons in ubiquitin transfer from XLID patients // Nat Chem Biol. 2019. Vol. 15, N 1. P. 6–7. doi: 10.1038/s41589-018-0191-4
- Park I.H., Arora N., Huo H., et al. Disease-specific induced pluripotent stem cells // Cell. 2008. Vol. 134, N 5. P. 877–886. doi: 10.1016/j.cell.2008.07.041
- Eremeev A.V., Lebedeva O.S., Bogomiakova M.E., et al. Cerebral organoids — challenges to establish a brain prototype // Cells. 2021. Vol. 10, N 7. P. 1790. doi: 10.3390/cells10071790
- Crook J.M., Wallace G., Tomaskovic-Crook E. The potential of induced pluripotent stem cells in models of neurological disorders: implications on future therapy // Expert Rev Neurother. 2015. Vol. 15, N 3. P. 295–304. doi: 10.1586/14737175.2015.1013096
- Deshpande A., Yadav S., Dao D.Q., et al. Cellular phenotypes in human iPSC-derived neurons from a genetic model of autism spectrum disorder // Cell Rep. 2017. Vol. 21, N 10. P. 2678–2687. doi: 10.1016/j.celrep.2017.11.037
- Хомякова E.A., Федоренко А.В., Сурдина А.В., и др. Создание линии индуцированных плюрипотентных стволовых клеток RCPMi009-A-1 с нокаутом гена UBE2A с помощью технологии редактирования генома CRISPR/Cas9 // Онтогенез. 2024. (In press). doi: 10.31857/S0475145023060046
- van Kuppeveld F.J., van der Logt J.T., Angulo A.F., et al. Genus-and species-specific identification of mycoplasmas by 16S rRNA amplification // Appl Environ Microbiol. 1992. Vol. 58, N 8. P. 2606–2615. Corrected and republished from: Appl Environ Microbiol. 1993. Vol. 59, N 2. P. 655. doi: 10.1128/aem.58.8.2606-2615.1992
- Concordet J.P., Haeussler M. CRISPOR: intuitive guide selection for CRISPR/Cas9 genome editing experiments and screens // Nucleic Acids Res. 2018. Vol. 46, W1. P. W242–W245. doi: 10.1093/nar/gky354
- Pliatsika V., Rigoutsos I. “Off-Spotter”: very fast and exhaustive enumeration of genomic lookalikes for designing CRISPR/Cas guide RNAs // Biol Direct. 2015. Vol. 10. P. 4. doi: 10.1186/s13062-015-0035-z
- Okita K., Yamakawa T., Matsumura Y., et al. An efficient nonviral method to generate integration-free human-induced pluripotent stem cells from cord blood and peripheral blood cells // Stem Cells. 2013. Vol. 31, N 3. P. 458–466. doi: 10.1002/stem.1293
- Gridina M.M., Nurislamov A.R., Minina J.M., et al. Generation of iPS cell line (ICGi040-A) from skin fibroblasts of a patient with ring small supernumerary marker chromosome 4 // Stem Cell Res. 2022. Vol. 61. P. 102740. doi: 10.1016/j.scr.2022.102740
- Holmqvist S., Lehtonen Š., Chumarina M., et al. Creation of a library of induced pluripotent stem cells from Parkinsonian patients // NPJ Parkinsons Dis. 2016. Vol. 2. P. 16009. doi: 10.1038/npjparkd.2016.9
- Benedetti M.C., D’Andrea T., Colantoni A., et al. Cortical neurons obtained from patients-derived GNAO1 iPSCs show altered differentiation and functional properties // bioRxiv. 2023. doi: 10.1101/2023.06.15.545051
- Shi Y., Inoue H., Wu J.C., Yamanaka S. Induced pluripotent stem cell technology: a decade of progress // Nat Rev Drug Discov. 2017. Vol. 16, N 2. P. 115–130. doi: 10.1038/nrd.2016.245
- Ramos-Mejía V., Montes R., Bueno C., et al. Residual expression of the reprogramming factors prevents differentiation of iPSC generated from human fibroblasts and cord blood CD34+ progenitors // PLoS One. 2012. Vol. 7, N 4. P. e35824. doi: 10.1371/journal.pone.0035824
- International Stem Cell Initiative; Amps K., Andrews P.W., et al. 2011. Screening ethnically diverse human embryonic stem cells identifies a chromosome 20 minimal amplicon conferring growth advantage // Nat Biotechnol. 2011. Vol. 29, N 12. P. 1132–1144. doi: 10.1038/nbt.2051
- Uhlén M., Björling E., Agaton C., et al. A human protein atlas for normal and cancer tissues based on antibody proteomics // Mol Cell Proteomics. 2005. Vol. 4, N 12. P. 1920–1932. doi: 10.1074/mcp.M500279-MCP200
- Shekhar M.P., Lyakhovich A., Visscher D.W., et al. Rad6 overexpression induces multinucleation, centrosome amplification, abnormal mitosis, aneuploidy, and transformation. // Cancer Res. 2002. Vol. 62, N 7. P. 2115–2124.
Дополнительные файлы





