Safety Assessment of the Ultrasound Equipment Effect on the State of Some Fish Species of the Black Sea
- Authors: Sigacheva T.B.1, Gavruseva T.V.1, Skuratovskaya E.N.1, Kirin M.P.1, Moroz N.A.2
-
Affiliations:
- A.O. Kovalevsky Institute of Biology of the Southern Seas of RAS
- «All-Russian Research Institute for Nuclear Power Plants Operation»
- Issue: No 2 (2024)
- Pages: 137-152
- Section: Статьи
- URL: https://medbiosci.ru/2413-5577/article/view/260338
- EDN: https://elibrary.ru/WLEUIH
- ID: 260338
Cite item
Abstract
For the commissioning of ultrasound equipment effective for the microphytofouling control of nuclear power plant hydraulic facilities, field studies are needed to confirm its safety for aquatic organisms, in particular for fish exposed to ultrasound. The paper aims to assess the effect of ultrasound equipment (power 500 W, frequency 27 kHz, current 3 A) on the behavioral response, biochemical and histopathological parameters of some Black Sea fish species in the marine environment (Karantinnaya Bay, Black Sea). The experiment was carried out over three days. In each day the ultrasound equipment was switched on for 1 h at an exposure frequency of 27 kHz. Afterwards, the individuals were kept in tanks for another five days to assess possible delayed effects. The irritating and deterrent influences were established at a short distance (10–30 cm) from the ultrasound equipment. The most pronounced behavioral reactions were recorded in red mullet Mullus ponticus, Black Sea horse mackerel Trachurus ponticus, picarel Spicara flexuosum and common stingray Dasyatis pastinaca, the least pronounced ones were noted in European black scorpionfish Scorpaena porсus. At the same time, fish mortality was not observed in the experimental and control tanks throughout the entire experiments. There were no significant differences between the biochemical parameters in the blood serum and liver, histopathological alteration indices in liver, gills and kidneys, as well as the total indices of alterations in fish from the experimental and control tanks. The obtained results indicate that the ultrasound equipment with the defined characteristics has no negative influence on fish that allows us to recommend this equipment for the application in the technical water supply system of nuclear power plants.
Full Text
Introduction
Today, during operation of nuclear power plants (NPPs) and floating nuclear thermal power plants (FNPPs), deviations in their operation are recorded, caused by accumulation of living organisms (sources of bio-interference) in technological systems. This significantly affects the operational characteristics of technical water supply systems, leads to equipment failure, power reduction of NPP/FNPP power units and, as a consequence, to underproduction of electric power and to economic losses associated with repair, unscheduled maintenance and replacement of process equipment [1].
One of the effective and reagent-free methods of biological interference control is ultrasonic water treatment. Specialists of the Department of Biochemical Technologies and Technological Support of JSC VNIIAES developed ultrasonic equipment (USE) with various radiation modes for protection of hydraulic structures from microphytofouling. As a result of joint work with the staff of the Benthos Ecology Department of A. O. Kovalevsky Institute of Biology of the Southern Seas of the Russian Academy of Sciences (IBSS), the high efficiency of the USE against fouling was established, as well as the optimal mode and frequencies of exposure [1]. At the same time, no field studies confirming the safety of the equipment for hydrobionts, in particular fish, falling within the zone of action of the USE, have been carried out so far. Such studies are a necessary stage of work for safe application of USE at NPPs, heat sinks of which belong to the objects of fishery importance, including sea water areas. The interest in conducting this kind of research in marine waters is generated due to the operation of two NPPs (Leningrad and Kola) and the Akademik Lomonosov FNPP on the territory of the Russian Federation, which use coastal marine areas as heat sinks, as well as the active construction of NPPs by Rosatom in the marine areas of Turkey, Bangladesh, Egypt and India.
To date, the effects of sound and ultrasound on the sensory systems of fish [2] as well as those of focused ultrasound on the peripheral structures of animal and human sensory organs [3] have been well studied. At the same time, information on the effect of ultrasound on fish health in general is still limited in the literature. Most works, as a rule, are aimed at studying the effect of fish barrier ultrasonic devices only on the behavioral responses of fish [4], as well as on studying the effectiveness of ultrasound to control fish ectoparasites [5]. To evaluate the effect of ultrasound on fish reared in offshore structures or on offshore multipurpose platforms combining renewable energy production and aquaculture, S. Knobloch et al. studied the growth, survival and microbiota of laboratory-reared European sea bass (Dicentrarchus labrax) [6]. Ultrasound between 17.5 and 49.7 kHz was found to have no effect on growth and survival of sea bass. However, microbiological analysis using the plate count method and 16S rRNA gene based metataxonomics
showed an impaired microbiota of the gills and skin, including an increase in the number of potential pathogenic bacteria [6]. Other researchers ran a long-term 30-day experiment to assess the effects of low-power (7–9 W) dual-frequency anti-cyanobacterial USE (23 and 46 kHz) under freshwater conditions on growth, blood cortisol levels and antioxidant enzyme activities in carp liver homogenates. The insignificant changes in biochemical parameters noted in the work, according to the authors, indicated the absence of stress conditions in fish and, therefore, any negative effect of the low-power USE with these frequencies of exposure [7].
At the same time, the impact of effective for biofouling control USE (power 500 W, frequency 27 kHz, current 3 A) on behavioral responses of fish, biochemical and histopathological parameters of their tissues/organs in marine conditions has not been assessed so far.
Thus, the work aims to assess the effect of the USE (power 500 W, frequency 27 kHz, current 3 A) on behavioral, biochemical and histopathological parameters of some fish species of the Black Sea in marine conditions.
Material and methods
Experimental studies were carried out in the coastal water area of Sevastopol (Karantinnaya Bay, Black Sea) to assess the impact of USE (developer JSC VNIIAES, Moscow) with a power of 500 W, frequency of 27 kHz, current of 3 A on behavioral responses as well as biochemical and histopathological indicators of fish.
To perform the experiment, the following tasks were set: 1) installation of the experimental equipment (control and experimental cages) and the USE; 2) catch of fish; 3) assessment of the USE effect on behavioral responses of fish and their distribution in the cages, as well as survival rate using video recording equipment; 4) assessment of the USE effect on biochemical and histopathological parameters of fish.
Two cages (control and experimental) were prepared for the experiment. The cages were polypropylene pipe frames with flip lids (length – 4 m, width – 2 m, height – 1 m) covered with 10 mm mesh capron netting. The bottom of the cages was made of reinforced perforated polyvinyl chloride cloth with a mesh of 1.5 mm. To raise the upper edge of the cages 10–15 cm above the water surface, polystyrene foam floats were attached to the upper part of the cages and weights were attached to the lower part. The cages were submerged in the coastal sea area near the laboratory building of IBSS. The control cage was towed away from the experimental area at a distance of 30 m. The experimental cage was secured near the pier for placing the radiating equipment in it. The depth under the cages was 5 m.
In the Sevastopol water area (Black Sea) some species of fish of the Black Sea were caught using bottom traps: red mullet Mullus ponticus Essipov, 1927 – 120 individuals, peacock wrasse Symphodus tinca (Linnaeus, 1758) – 60 individuals, European black scorpionfish Scorpaena porсus Linnaeus, 1758 – 60 individuals, common stingray Dasyatis pastinaca (Linnaeus, 1758) – 4 individuals, thornback ray Raja clavata Linnaeus, 1758 – 2 individuals, Black Sea horse mackerel Trachurus ponticus Aleev, 1956 – 20 individuals, annular seabream Diplodus annularis (Linnaeus, 1758) – 4 individuals, brown meagre Sciaena umbra Linnaeus 1758 – 6 specimens, picarel Spicara flexuosum Rafinesque, 1810 – 6 individuals, damselfish Chromis chromis (Linnaeus, 1758) – 2 individuals.
The fish were equally divided between two cages. The fish were kept in the cages for five days before the experiment in order to adapt the individuals to the conditions in the cages, as well as to exclude from the experiment the individuals injured during catching. The experiment was conducted for three days, on each of which the ultrasound was on for 1 h with a frequency of 27 kHz.
The behavior and distribution of the fish in the experimental and control cages were assessed using an underwater video camera (7/9/10 inch AHD Underwater Fishing Camera, China) and visually by the distance between the fish shoal front and the USE. Fish survival in the experimental cage was assessed by counting dead fish specimens during and after exposure to the USE, while in the control cage it was assessed throughout the experiment. After the end of the three-day experiment on the effect of the USE on the behavioral responses of the fish, individuals remained in the cages for another five days to assess possible delayed effects.
The effect of the USE on biochemical and histopathological parameters was assessed on representatives of different ecological groups of fish – red mullet and European black scorionfish. After removing the fish from the cages, a standard biological analysis of 21 individuals of red mullet and 20 individuals of European black scorionfish was carried out: the main linear and weight characteristics 1) as well as clinical and pathological features [8, 9] were determined. The age of the fish was determined from otoliths 1).
Fish liver and blood serum served as materials for biochemical studies. The content of products of oxidized proteins (OP), lipid peroxidation (LPO), as well as the activity of superoxide dismutase (SOD), catalase (CAT), peroxidase (PER) and cholinesterase (ChE) were determined in fish liver. In liver and serum, alanine aminotransferase (ALT) and aspartate aminotransferase (AST) activities were determined by the methods we described previously [10].
All determinations were performed on a spectrophotometer SF-2000 (OKB Spectr, St. Petersburg, Russia).
For histological analysis, samples of gills, liver and kidneys were fixed for 24–48 h in Davidson's solution and then placed in 70% alcohol. Further processing of histological samples was carried out according to the generally accepted method 2). Sections 4–5 µm thick were stained with hematoxylin-eosin according to Mayer and Romanowsky–Giemsa 2). The histopathological changes detected in fish were analysed using a modified semiquantitative analysis of alterations according to the method of D. Bernet et al. [11], in which the severity factor (w) and the prevalence of lesions in organs (a) were taken into account. Using the above values, the organ index was calculated [11, p. 30]
where org – organ; rp – reaction pattern; alt – change; a – score value; w – importance factor. A high index value indicates a significant degree of damage. The total alteration index 𝐼𝑇 was calculated as the sum of organ indices.
The significance of differences between the samples was evaluated using the Mann–Whitney U-test. Differences were considered reliable at a significance level of p £ 0.05. The statistical analysis was performed using computer programmes Past 3 and Microsoft Office Excel 2016.
Results and discussion
Behavioral responses, distribution and survival of fish
The first day of the experiment. 30 min before the start of the experiment, a radiating device was placed in the experimental cage. The fish moved freely inside the cage without fear of a floating object on the water surface. The red mullet were at the bottom in a group, part of which was under the USE. The peacock wrasses, European black scorpionfish and brown meagres were located in the corners between the cage bottom and the wall. The thornback rays were located at the bottom. The Black Sea horse mackerels, picarels and annular seabreams were grouped together and stayed near the cage wall. The common stingray individuals and damselfish were actively moving in the water column throughout the cage area.
After turning on the USE in the experimental cage, the fish (picarels, annular seabreams, Black Sea horse mackerels, peacock wrasses, European black scorpionfish, brown meagres, a thornback ray), which were not directly exposed to the USE, did not change their behavior and location. Individuals of the common stingray, when approaching the USE again, sharply turned and swam away in the opposite direction, avoiding getting into the radiation zone under the equipment. The red mullets, located at the bottom of the cage under the equipment, began to move towards individuals of their own species, which were out of the range of the equipment.
During the operation of the equipment, the fish tried to avoid the ultrasound zone. While outside the area of the USE, they behaved in the same way as before the start of the equipment.
The second day of the experiment. No fish mortality was observed in the experimental and control cages.
When turning on the USE, the fish were distributed throughout the volume of the cage. At an attempt to drive the group of red mullets into the ultrasound zone, they moved under the equipment, where they stayed for a long time, sometimes rising from the bottom trying to relocate and then again going to the bottom. Visually, these behavioral responses of the red mullets in the exposed area could be characterised as loss of orientation / being stunned. Similar behavioral responses were observed in the horse mackerels, picarels and common stingray. Other fish species that were not in the USE zone moved freely around the cage. The common stingrays occasionally swam under the equipment, but stayed near the bottom, avoiding the water column closer to the equipment. After turning off the radiating equipment, the fish did not change their behavior or location in the cage.
The third day of the experiment. No fish mortality was observed in the experimental and control cages. After turning on the USE in the experimental cage, there was no noticeable effect on fish of all species. They moved calmly throughout the cage area without signs of agitation or loss of orientation.
After the end of the three-day experiment on the effect of USE on the behavioral responses of fish, the individuals were kept in the cages for five days more to assess possible delayed effects. No fish mortality was observed in the experimental and control cages.
Thus, the 27 kHz USE can irritate and repel fish at a short distance (10–30 cm) from the equipment. The most pronounced behavioral responses were observed in the red mullets, horse mackerel, picarels and common stingray, which avoided the area exposed to the USE. The common stingray does not have scales, which probably makes it more sensitive to the effects of the USE. The least pronounced behavioral responses were observed in the European black scorpion fish. Assessment of the survival rate of individuals in the control and experimental cages exposed to ultrasound with a frequency of 27 kHz revealed no negative effect (death of fish). The absence of negative effects on growth and survival of fish was also noted in a 72-day experiment on exposure of sea bass (Dicentrarchus labrax) to ultrasound with a frequency in the range from 17.5 to 49.7 kHz in the form of randomly alternating sequences of cycles [6]. At the same time, the results of our studies allowed us to establish that a more powerful source of radiation (> 500 W) is required to assess the repellent effect of ultrasound at distances greater than 30 cm.
Biochemical studies
The results of biochemical studies showed that there were no significant differences between all analysed parameters in tissues of the red mullet and European black scorpionfish from the experimental and control groups (Table 1).
Table 1. Some biochemical parameters (M ± m) in tissues of red mullet M. ponticus under ultrasound exposure
Parameter | Red mullet | European black scorpionfish | ||
Control | Experiment | Control | Experiment | |
Liver | ||||
TBARS, nmol TBARS/mg protein | 2.370 ± 0.240 | 3.000 ± 0.39 | 4.240 ± 0.700 | 4.020 ± 0.490 |
С356, optical units/mg protein | 0.039 ± 0.007 | 0.049 ± 0.006 | 0.057 ± 0.009 | 0.059 ± 0.012 |
С370, optical units/mg protein | 0.037 ± 0.006 | 0.047 ± 0.006 | 0.052 ± 0.008 | 0.055 ± 0.011 |
С430, optical units/mg protein | 0.014 ± 0.004 | 0.020 ± 0.003 | 0.022 ± 0.005 | 0.024 ± 0.005 |
С530, optical units/mg protein | 0.004 ± 0.002 | 0.006 ± 0.001 | 0.008 ± 0.003 | 0.009 ± 0.001 |
SOD, arbitrary units/mg protein/min | 15.450 ± 2.730 | 23.110 ± 3.710 | 27.300 ± 3.900 | 34.460 ± 2.450 |
CAT, mcat/mg protein | 0.143 ± 0.022 | 0.160 ± 0.016 | 0.090 ± 0.014 | 0.080 ± 0.009 |
PER, optical units/mg protein/min | 0.025 ± 0.009 | 0.016 ± 0.006 | 0.023 ± 0.006 | 0.028 ± 0.005 |
ALT, μmol/h mg protein | 0.430 ± 0.080 | 0.370 ± 0.030 | 0.200 ± 0.020 | 0.160 ± 0.020 |
Continued Table 1
Parameter | Red mullet | European black scorpionfish | ||
Control | Experiment | Control | Experiment | |
AST, μmol/h mg protein | 0.120 ± 0.025 | 0.190 ± 0.030 | 0.057 ± 0.009 | 0.054 ± 0.007 |
ChE, μcat/g protein | 0.360 ± 0.090 | 0.440 ± 0.050 | 0.350 ± 0.060 | 0.031 ± 0.040 |
Glucose, mmol/g tissue | 190.390 ± 37.660 | 182.840 ± 18.700 | 106.640 ± 15.830 | 120.020 ± 18.800 |
Blood serum | ||||
ALT, μmol/h mg protein | 0.013 ± 0.006 | 0.019 ± 0.005 | 0.017 ± 0.007 | 0.010 ± 0.0002 |
AST, μmol/h mg protein | 0.040 ± 0.028 | 0.026 ± 0.010 | 0.007 ± 0.002 | 0.013 ± 0.004 |
Note: TBARS – thiobarbituric acid reactive substances, C356 – neutral aldehydes, C370 – neutral ketones, C430 – basic aldehydes, C530 – basic ketones, SOD – superoxide dismutase, CAT – catalase, PER – peroxidase, ALT – alanine aminotransferase, AST – aspartate aminotransferase, ChE – cholinesterase.
Analysis of the correlation between the intensity of POL and OP and the reactions of the antioxidant (AO) system allows us to assess the nature of the organism's response to a certain stress factor or their complex. The increase in the activity of AR enzymes under the influence of unfavourable environmental factors is a non-specific adaptive reaction of the organism aimed at neutralization of reactive oxygen species.
Reduced or relatively low activity of AO enzymes against the high content of LPO and OP products, on the contrary, indicates a shift of pro-oxidant-antioxidant reactions towards free-radical oxidation of biomolecules and development of oxidative stress preceding pathological conditions in the organism [12–15]. In our studies, the absence of significant differences between the indicators of oxidative stress (content of TBARS, OP products) and the activity of AO enzymes (SOD, CAT, PER) in the liver of fish from the experimental and control groups can indicate that USE (500 W) with a given frequency, periodicity and duration of work did not have any effect on the state of the pro-oxidant-antioxidant system of fish liver. The absence of significant differences between the activity of AO enzymes (SOD, glutathione peroxidase, glutathione-S-transferase) in the liver of carp (Cyprinus carpio) from the experimental and control groups was also noted under the action of low-power ultrasound (7–9 W; 23 and 46 kHz) under freshwater conditions [7].
Other informative biomarkers recommended for the assessment of cytolytic organ damage under oxidative stress are ALT and AST [16, 17]. As a result of cell membrane integrity disruption, aminotransferases are released into the blood. At the same time their activity decreases in the organ and increases in the serum. In our studies, the ALT and AST activity in the liver and serum of the fish from the compared groups did not differ, which also indicates the absence of any effect of ultrasound (with the given characteristics of the equipment, frequency and mode of exposure) on the fish organism.
In combination with the above markers, as a rule, the liver glucose content, an indicator of carbohydrate metabolism, is analysed [18]. The absence of reliable differences between the analysed groups of red mullet and European black scorpionfish may indicate the absence of adaptive/compensatory restructuring of metabolic processes, which is typical for organisms under stress factors of different nature and intensity.
Another important indicator recommended to assess the functioning of the nervous system and protein synthesising function of the liver under stress factors is the enzyme ChE [19]. In our studies, ChE activity in the liver of two fish species from the experimental group did not differ from that of fish from the control group. The obtained results may indicate the absence of ultrasound influence (with the given characteristics of the equipment, frequency and mode of exposure) on the protein synthesising function of the liver.
Histological studies
The integral result of physiological and biochemical changes are histopathological alterations reflecting the severity of pathological processes at the level of tissues and organs [9, 20]. Histological methods of investigation in the fish revealed the following changes.
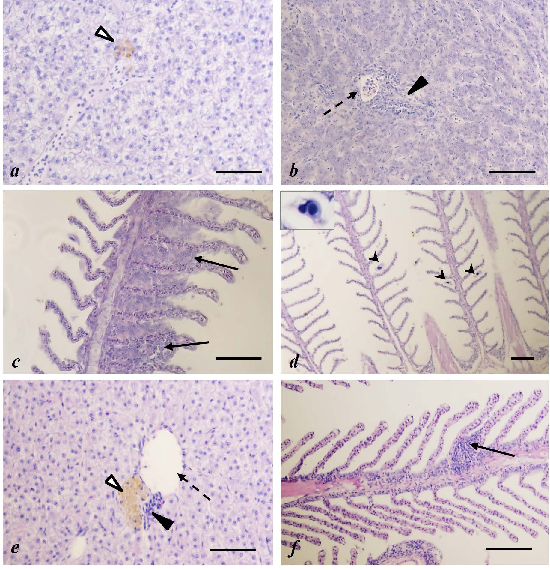
Red mullet. Melanomacrophage centres were most frequently observed in the liver parenchyma (33.3% in the control group and 41.7% in the experimental group) (Fig. 1, a; 2, a). The incidence of lipoid vacuolization of hepatocytes differed insignificantly (22.2 and 25%) (Fig. 2, a). The local inflammatory reaction near blood vessels (Fig. 1, b) was more often observed in the fish of the control group (33.3 vs. 16.7%), and dilation of hepatic sinusoids and blood vessels (8.3% each) was detected in the fish only after exposure to ultrasound. Localised moderate hyperplasia of the respiratory epithelium of the gill lamellae was recorded in the gills, the incidence of which differed insignificantly (22.2 and 25%) (Fig. 1, c; 2, c). Single parasitic protozoa were found on the gill lamellae in the control and experimental groups (66.7 and 33.3%, respectively) (Fig. 1, d; 2, c). Chondroma, a benign tumour of cartilage tissue, was diagnosed in 8.3% of the fish in the experimental group (Fig. 2, c). In the kidneys, no significant differences were found between the analysed groups (Fig. 2, e).
Fig. 1. Histological structure of liver (a, b) and gills (с, d) of red mullet M. ponticus and of European black scorpionfish S. porcus (e – liver, f – gills) under ultrasound exposure. Note: r – melanomacrophage center; 5 – blood vessel dilation; ▲ – local inflammatory reaction; ↑ – epithelial hyperplasia in gill lamellae; – parasitic protozoa on gill lamellae. Scale bar: 50 μm
European black scorpionfish. In the liver, the incidence of lipoid vacuolization of hepatocytes and melanomacrophage centres differed insignificantly (Fig. 2, b), whereas dilation of the hepatic sinusoids (9.1%) and blood vessels (18.2%), as well as local inflammatory reaction (9.1%) were observed only in the fish of the experimental group (Fig. 1, e; 2, b). In the gills, local hyperplasia of the epithelium and fusion of the gill lamellae, as well as dilation of blood vessels were detected only in fish of the experimental group (9.1% each) (Fig. 1, f; 2, d). In the kidneys, melanization of macrophages was most frequently observed (22.2 and 9.1% in the control and experimental groups, respectively). Local inflammatory reaction, hyaline-drop degeneration and necrosis of renal tubule cells were recorded only in the fish of the experimental group (9.1, 27.3 and 9.1%) (Fig. 2, f).
Fig. 2. Incidence (%) of histopathological changes in liver (a, b), gills (c, d) and kidneys (e, f) of red mullet M. ponticus and European black scorpionfish S. porcus (d, e, f) under ultrasound exposure
The revealed disorders of the histological structure of organs mainly belong to the first group of severity [11] and are reversible. It should be noted that the occurrence of protozoan parasites on the gill lamellae of the red mullets in the control group was twice higher than that in the experimental group (Fig. 2, c). Probably, exposure to ultrasound reduced the parasitic load on the gills of the fish. Similar studies were conducted on the salmon reared in marine cages in Southern Chile. It was found that ultrasound reduced the total ectoparasitic load of Caligus rogercresseyi without the use of chemical antiparasitic agents 3).
The comparative analysis of indices of histopathological alterations of the liver, gills and kidneys of the control and experimental groups in two fish species did not reveal reliable differences. The statistical analysis of total alteration indices of the control and experimental groups of the red mullet and European black scorpion fish also showed no significant differences (Table 2).
Table 2. Values of indices of histopathological alterations in organ (M ± m) of red mullet M. ponticus and European black scorpionfish S. porcus under ultrasound exposure
Parameter | Red mullet | European black | |||
Control | Experiment | Control | Experiment | ||
Organ alteration index |
|
|
|
| |
| of liver Il | 0.88 ± 0.78 | 1.00 ± 0.85 | 1.33 ± 1.58 | 1.45 ± 1.69 |
of gills Ig | 1.50 ± 1.33 | 1.16 ± 1.33 | 0.11 ± 0.33 | 0.45 ± 0.07 | |
of kidneys Ik | 1.00 ± 0.50 | 1.08 ± 0.28 | 0.22 ± 0.47 | 0.73 ± 1.48 | |
Total pathology index 𝐼𝑇 | 3.44 ± 1.58 | 3.25 ± 2.17 | 1.67 ± 1.50 | 2.18 ± 2.31 | |
Conclusion
The analysis of behavioral responses of Black Sea fish species (red mullet, peacock wrasse, European black scorpion fish, common stingray, thornback ray, Black Sea horse mackerel, annular seabream, brown meagre, picarel, damselfish) under the action of ultrasound (JSC VNIIAES, Moscow) (power 500 W, frequency 27 kHz, strength 3 A) allowed establishing an irritating and repelling effect on fish at a small distance (10–30 cm) from the equipment. The most pronounced behavioral responses were observed in the red mullet, Black Sea horse mackerel, picarel and common stingray, the least pronounced ones were in the European black scorpion fish. No fish mortality was observed.
The results of biochemical studies showed that there were no significant differences between the analysed parameters (level of OP and POL, activity of AO enzymes, aminotransferases and ChE, and glucose content) in tissues of the European black scorpion fish and red mullet from the experimental and control cages. Indices of histopathological changes in the liver, gills and kidneys, as well as values of the total alteration index in the compared groups of red mullet and European black scorpionfish also did not differ.
Thus, the analysis of behavioral, biochemical and histological parameters of some fish species of the Black Sea suggests absence of negative influence of the USE (JSC VNIIAES, Moscow) (power 500 W, frequency 27 kHz, current 3 A) on the state of health of fish from the experimental group. This allows us to recommend this equipment for use in NPP technical water-supply systems.
[1]) Pravdin, I.F., 1966. [Guideline for Fish Studies (Mainly Freshwater Fish)]. Moscow: Pishchevaya Promyshlennost, 374 p. (in Russian).
[2]) Bancroft, J.D. and Gamble, M., 2008. Theory and Practice of Histological Techniques. New York; London: Churchill Livingstone, 744 p.
[3]) Aquavitro. [Use of Ultrasound in the Control of the Chilean Sea Louse Caligus Rogercresseyi]. [online] Available at: https://aquavitro.org/2016/11/17/ispolzovanie-ultrazvuka-v-kontrole-chilijskoj-morskoj-vshi-caligus-rogercresseyi [Accessed: 24 May 2024].
About the authors
Tatyana B. Sigacheva
A.O. Kovalevsky Institute of Biology of the Southern Seas of RAS
Email: mtk.fam@mail.ru
ORCID iD: 0000-0003-3125-898X
SPIN-code: 4526-5243
Scopus Author ID: 36990852700
ResearcherId: AAP-9877-2020
Senior Research Associate, PhD (Biol.)
Russian Federation, SevastopolTatyana V. Gavruseva
A.O. Kovalevsky Institute of Biology of the Southern Seas of RAS
Email: gavrt2004@mail.ru
ORCID iD: 0000-0002-9102-0861
SPIN-code: 3383-1290
Scopus Author ID: 16202640900
ResearcherId: AAP-9893-2020
Senior Research Associate, PhD (Biol.)
Russian Federation, SevastopolEkaterina N. Skuratovskaya
A.O. Kovalevsky Institute of Biology of the Southern Seas of RAS
Author for correspondence.
Email: skuratovskaya@ibss-ras.ru
ORCID iD: 0000-0003-4501-5065
SPIN-code: 3855-3979
Scopus Author ID: 12241009500
ResearcherId: U-9246-2019
Leading Research Associate, PhD (Biol.)
Russian Federation, SevastopolMaksim P. Kirin
A.O. Kovalevsky Institute of Biology of the Southern Seas of RAS
Email: kirinmaxim@mail.ru
ORCID iD: 0000-0002-4214-565X
Scopus Author ID: 57502865700
Leading Engineer
Russian Federation, SevastopolNatalia A. Moroz
«All-Russian Research Institute for Nuclear Power Plants Operation»
Email: sv_nata@mail.ru
ORCID iD: 0009-0002-5830-5694
SPIN-code: 9772-5896
Head of the Department of Biochemical Technologies and Engineering Support
Russian Federation, MoskowReferences
- Moroz, N.A., Nevrova, E.L., Zamyslova, T.N., Kasyanov, A.B., Petrov, A.N. and Revkov, N.K., 2021. [Methods of Fouling Control at Nuclear Power Plants]. In: M. I. Orlova and V. A. Rodionov, eds., 2021. [Problems of Development of New Generation Protective Coatings against Corrosion, Biofouling and Icing for Marine, Coastal and Terrestrial Objects]. Saint Petersburg: Izd-vo SPbGEU, pp. 94–103 (in Russian).
- Akoev, G.N., ed., 1990. [Sensory Physiology of Sea Fishes (Methodological Aspects)]. Apatity: Kolsky Filial AN SSSR, 128 p. (in Russian).
- Vartanayan, I.A., Gavrilov, L.R., Gershuni, G.V., Rozenblum, A.S. and Tsirulnikov, E.M., 1985. [Sensory Perception (First Effort of Research with Focused Ultrasound)]. Leningrad: Nauka, 189 p. (in Russian).
- Kudryavtsev, V.I., 2002. [On the Problem of Using Acoustic Fields to Control the Behaviour of Fish and Other Aquatic Animals]. In: TRTU, 2002. [Izvestiya TSURE. Proceedings of the Second All-Russian Conference with International Participants Ecology 2002 – Sea and Human]. Taganrog: Izd-vo TRTU, pp. 132–136 (in Russian).
- Svendsen, E., Dahle, S.W., Hagemann, A., Birkevold, J., Delacroix, S. and Andersen, A.B., 2017. Effect of Ultrasonic Cavitation on Small and Large Organisms for Water Disinfection During Fish Transport. Aquaculture Research, 49(3), pp. 1–10. https://doi.org/10.1111/are.13567
- Knobloch, S., Philip, J., Ferrari, S., Benhaim, D., Bertrand, M. and Poirier, I., 2021. The Effect of Ultrasonic Antifouling Control on the Growth and Microbiota of Farmed European Sea Bass (Dicentrarchus labrax). Marine Pollution Bulletin, 164, pp. 112072. https://doi.org/10.1016/j.marpolbul.2021.112072
- Techer, D., Milla, S. and Banas, D., 2017. Sublethal Effect Assessment of a Low-Power and Dual-Frequency Anti-Cyanobacterial Ultrasound Device on the Common Carp (Cyprinus Carpio): A Field Study. Environmental Science and Pollution Research, 24, pp. 5669–5678. https://doi.org/10.1007/s11356-016-8305-6
- Gavruseva, T.V., 2020. The Study of External Pathologies in Fish of the South-Western Coast of the Black Sea. South of Russia: Ecology, Development, 15(1), pp. 118–129. https://doi.org/10.18470/1992-1098-2020-1-118-129
- Au, D.W.T., 2004. The Application of Histocytopathological Biomarkers in Marine Pollution Monitoring: A Review. Marine Pollution Bulletin, 48(9–10), pp. 817–834. https://doi.org/10.1016/j.marpolbul.2004.02.032
- Sigacheva, T. and Skuratovskaya, E., 2022. Application of Biochemical and Morphophysiological Parameters of Round Goby Neogobius melanostomus (Pallas, 1814) for Assessment of Marine Ecological State. Environmental Science and Pollution Research, 29(26), pp. 39323–39330. https://doi.org/10.1007/s11356-022-18962-0
- Bernet, D., Schmidt, H., Meier, W., Burkhardt-Holm, P and Wahli, T., 1999. Histopathology in Fish: Proposal for Protocol to Assess Aquatic Pollution. Journal of Fish Diseases, 22(1), pp. 25–34. https://doi.org/10.1046/j.1365-2761.1999.00134.x
- Van der Oost, R., Beyer, J. and Vermeulen, N.P.E., 2003. Fish Bioaccumulation and Biomarkers in Environmental risk assessment: a review. Environmental Toxicology and Pharmacology, 13(2), pp. 57–149. https://doi.org/10.1016/s1382-6689(02)00126-6
- Stoliar, O.B. and Lushchak, V.I., 2012. Environmental Pollution and Oxidative Stress in Fish. In: V. I. Lushchak, ed., 2012. Oxidative Stress – Environmental Induction and Dietary Antioxidants. London: IntechOpen, pp. 131–166. https://doi.org/10.5772/38094
- Regoli, F. and Giuliani, M., 2014. Oxidative Pathways of Chemical Toxicity and Oxidative Stress Biomarkers in Marine Organisms. Marine Environmental Research, 93, pp. 106–117. https://doi.org/10.1016/j.marenvres.2013.07.006
- Sigacheva, T.B., Chesnokova, I.I., Gostyukhina, O.L., Kholodkevich, S.V., Kuznet-
- sova, T.V., Andreenko, T.I., Kovrigina, N.P., Gavruseva, T.V., Kirin, M.P. and Kurakin, A.S., 2021. Assessment of Recreational Potential of Sevastopol Bays Using Bioindication Methods. South of Russia: Ecology, Development, 16(1), pp. 151–167. https://doi.org/10.18470/1992-1098-2021-1-151-167 (in Russian).
- Tkachenko, H., Kurhaluk, N. and Grudniewska, J., 2013. Effects of Chloramine-T Exposure on Oxidative Stress Biomarkers and Liver Biochemistry of Rainbow Trout, Oncorhynchus mykiss (Walbaum), Brown Trout, Salmo trutta (L.), and Grayling, Thymallus thymallus (L.). Archives of Polish Fisheries, 21(1), pp. 41–51. https://doi.org/10.2478/aopf-2013-0005
- El-Khayat, H.M.M., Hamid, H.A., Gaber, H.S., Mahmoud, K.M.A. and Flefel, H.E., 2015. Snails and Fish as Pollution Biomarkers in Lake Manzala and Laboratory A: Lake Manzala Snails. Fisheries and Aquaculture Journal, 6(4), pp. 1–9. https://doi.org/10.4172/2150-3508.1000153
- Gharaei, A., Ghaffari, M., Keyvanshokooh, S. and Akrami, R., 2011. Changes in Metabolic Enzymes, Cortisol and Glucose Concentrations of Beluga (Huso huso) Exposed to Dietary Methylmercury. Fish Physiology and Biochemistry, 37(3), pp. 485–493. https://doi.org/10.1007/s10695-010-9450-3
- Gad, N.S., 2009. Determination of Glutathione Related Enzymes and Cholinesterase Activities in Oreochromis niloticus and Clarias gariepinus as Bioindicator for Pollution in Lake Manzala. Global Veterinaria, 3(1), pp. 37–44. Available at: http://www.idosi.org/gv/gv3(1)09/7.pdf [Accessed: 26 April 2024].
- Mineev, A.K., 2013. Nonspecific Reactions in Fish from Waters Middle and Lower Volga. Izvestia of Samara Scientific Center of the Russian Academy of Sciences, 15(3-7), pp. 2301–2309 (in Russian).
Supplementary files





