Genetic diversity of promising accessions of spring soft wheat of russian and kazakh breeding for resistance to leaf and yellow rust
- Authors: Gultyaeva E.I.1, Shaydayuk E.L.1, Veselova V.V.1, Levitin M.M.1
-
Affiliations:
- All Russian Institute of Plant Protection
- Issue: No 2 (2024)
- Pages: 43-48
- Section: Crop production, plant protection and biotechnology
- URL: https://medbiosci.ru/2500-2627/article/view/260365
- DOI: https://doi.org/10.31857/S2500262724020087
- EDN: https://elibrary.ru/GSZKUA
- ID: 260365
Cite item
Full Text
Abstract
The study was carried out to characterize the resistance to leaf and yellow rust in promising spring common wheat accessions and to assess their diversity by Lr and Yr resistance genes for searching of promising genotypes. The material included 36 new varieties and lines, 23 of them of Russian and 13 of Kazakh breeding. Juvenile resistance to leaf and yellow rust was evaluated in the laboratory using test-clones and populations differing in virulence. Resistance to leaf rust at the seedling stage was characterized by 42 % of the accessions. 20 Lr genes were identified using specific PCR markers. Thatcher isogenic lines with identifiable genes served as positive controls. Highly effective genes Lr24 (3 accessions), LrAgi2 (3), partially effective genes Lr9 (4), Lr19 (6), ineffective genes Lr1 (7), Lr3 (13), Lr10 (4), Lr26 (12) and Lr34 (4), and wheat-rye translocation 1AL.1RS with genes of resistance to leaf, stem and yellow rust were identified in spring accessions. Resistant accessions carried two or more Lr genes. According to phytopathological analysis, no highly resistant samples to all used regional populations of the yellow rust pathogen were found. When using molecular markers, no samples with highly effective genes Yr5, Yr10, Yr15, Yr17, Yr24 were detected. Ineffective Lr9 and Yr18 genes were identified in 30 % and 8 % of the lines, respectively. The analysis indicates success in breeding for resistance to leaf rust and the need for advanced breeding for resistance to yellow rust with the involvement of genetically diverse donors.
Full Text
Расширение генетического разнообразия мягкой пшеницы по устойчивости к ржавчинным болезням – актуальная задача современной селекции. Бурая ржавчина (Puccinia triticina Erikss.) – наиболее распространенное заболевание. Оно встречается во всех зонах возделывания культуры. Желтая ржавчина (P. striiformis West.) относится к группе болезней, имеющих региональное значение в годы с прохладным и влажным климатом. С 2000 гг. во всем мире отмечено расширение ареала вредоносности P. striiformis и относительное снижение значимости P. triticina. Обусловлено это адаптацией возбудителя желтой ржавчины к высоким температурам. Заболевание стало приобретать значимость в тех регионах, где ранее его не наблюдали [1, 2].
Генетическая защита – экологически безопасный метод борьбы с ржавчинными болезнями. Ее эффективность предопределяет разнообразие возделываемых сортов по типам и генам устойчивости. Интенсивную селекцию на устойчивость к бурой ржавчине в России проводят с середины прошлого века. За этот период достигнуты определенные успехи. Многие новые сорта, включенные в Государственный реестр селекционных достижений, характеризуются устойчивостью к P. triticina [3, 4]. Селекцию на устойчивость к желтой ржавчине традиционно проводят на Северном Кавказе, где заболевание имеет экономическую значимость [3]. В последние годы развитие болезни стали отмечать и в других регионах РФ, например, в Северо-Западном и Центрально-Черноземном, а также в Западной Сибири [5, 6, 7]. В связи с этим актуально проведение опережающей селекции на устойчивость к этому заболеванию. Предварительный фитопатологический и генетический скрининг новых сортов и перспективного селекционного материала мягкой пшеницы позволяет оценить их потенциал генетической защиты от желтой ржавчины.
С 2000 г. в России и Казахстане реализуется селекционная программа по улучшению яровой пшеницы (Казахстанско-Сибирская сеть улучшения яровой мягкой пшеницы, КАСИБ), в которой участвуют ведущие научно-исследовательские учреждения обеих стран. В рамках этой программы каждые два года предлагаются новые перспективные образцы яровой мягкой пшеницы для мультилокальных испытаний в России и Казахстане по хозяйственно ценным признакам и устойчивости к болезням [8, 9, 10]. Полевые эксперименты в каждой экологической точке организованы по единой схеме. Совместное экологическое изучение объективно отражает уровень прогресса, достигнутого в различных научных учреждениях, и адаптивный потенциал изучаемого материала [8].
Наряду с полевыми исследованиями материал КАСИБ широко изучают в лабораторных условиях по качественным характеристикам зерна и устойчивости к фитопатогенам. Лабораторную оценку его устойчивости к бурой ржавчине и идентификацию генов устойчивости (Lr-генов) традиционно проводят во Всероссийском научно-исследовательском институте защиты растений (Санкт-Петербург) [11]. С 2020 гг. в связи с увеличением значимости желтой ржавчины эти исследования дополнены новым объектом.
Цель исследований – характеристика ювенильной устойчивости к бурой и желтой ржавчинам у образцов яровой мягкой пшеницы питомника КАСИБ-22 и идентификация Lr и Yr генов с использованием молекулярных маркеров.
Для мультилокального изучения в России и Казахстане в 2021–2022 гг. селекционными учреждениями-участниками программы КАСИБ предложено 36 новых перспективных сортов и линий яровой мягкой пшеницы, которые в предварительных испытаниях выделили по комплексу хозяйственно ценных признаков (табл. 1).
Табл. 1. Список образцов яровой мягкой пшеницы питомника КАСИБ-2022
Сорт/Линия | Оригинатор | Происхождение |
Династия | Актюбинская СХОС | Степная 60 × k-29614 (Канада) × Саратовская 29 |
Линия 198/225–2020 | Саратовская 70 × Лют.2143 × Асар | |
Линия 205–2020 | Саратовская 55 × Саратовская 71 × Степная 75 | |
Лютесценс 176/09 | НПЦ ЗХ им. А. И. Бараева | Байтерек × Орал |
Лютесценс 342/08 | Карабалыкская 90 х Акмола 40 | |
Линия 43/94к-07–7 | Павлодарская СХОС | Казахстанская 15 × Омская 18 |
Линия 2/03–09–3 | Лютесценс 251–93–4 × Актобе 130 | |
Лютесценс 77 201/09 | Карабалыкская СХОС | Карабалыкская 7 × Карабалыкская 4 |
Лютесценс 30 22/09 | Шортандинская 125 × Лютесценс 86–91–94–1 | |
Лютесценс 8–12–18 | (Омская 35 × EMB 16) × Омская 35 | |
Лютесценс 2244 | Карагандинская СХОС | Акмола 2 × Лютесценс 253–93–4 |
Лютесценс 2219 | Эритроспермум 78 × Целина 50 | |
Лютесценс 2223 | Лютесценс 1567 × Омская 26 | |
Линия 23/07 | Северо- Казахстанская СХОС | Алтайская 100 × Курганская 5 |
Линия 435/12 | Астана × Омская 36 | |
Линия Чт-11 | Курганский НИИСХ | Омская 28 х Авиада |
Линия Пт-235 | ЧС11№ 28 | |
Линия Пт-311 | ЧС11№ 84 | |
KS 14/09–2 | ООО «Агрокомплекс» Кургансемена» | (Лют.162/84–1 × Chris) × (Целинная 20 × Терция) |
KS 60/09–9 | Лют 290 × 99–7 × Лют. 241 х 00–4 | |
KS 61/09–4 | Лют 290/99–7 × Тулеевская | |
KS 285/12–1586 | Заульбинка × (Лютесценс 123 × Омская 20) | |
Лютесценс 1462 | Самарский НИИСХ | Экада 128 × Тулайковская 110 |
Лютесценс 1486 | Тулайковская 110 × Тулайковская 108 | |
Лютесценс 1489 | F11619ае (Бирюза × Лют. 904) × Тулайковская 110 | |
Линия1616ае14 | Тулайковская 110 х Безенчукская 380 | |
Лютесценс 1356 | СибНИИРС – филиал ИЦиГ СО РАН | (((Новосибирская (Н)31 × Н.15) × Н.15) × Н.15) |
Лютесценс 1364 | (((Новосибирская (Н)31 × Н.15) × Н.15) × Н.15) | |
Агрономическая 5 | Омский ГАУ | Sonata × (TAM 200 × Turaco) × Sonata |
Лютесценс 76–17 | Омская 37 × (KA × NAC) × TRCH × Lut.210.99.10 | |
Лютесценс 82/09–7 | ФГБНУ «Омский АНЦ» | Лют. 242/97–2–45 × Лют. 220/03–52 |
Лютесценс 136/10–1 | Омская 35 × Лют.111/03–3 | |
Лютесценс 71/10–4 | Лют. 403/02–2 × Лют. 219/03–10 | |
Ялуторовка | ФГБОУ ВО ГАУ Северного Зауралья | (Lutescens 210.99.10 × Bavis) × Омская 37 |
ГАУ-11–2016 | Челяба × (Oasis × Skauz) × (BCN × WBLL1) Lutescens 30–94 | |
Челябинка | Челябинский НИИСХ | Ватан × Дуэт |
В лабораторных условиях проводили оценку ювенильной устойчивости образцов яровой пшеницы к возбудителю бурой и желтой ржавчины. В фитопатологическом тесте с бурой ржавчиной использовали три тест-клона P. triticina, маркированные вирулентностью к генам Lr9, Lr19 и Lr26, а также дагестанскую популяцию, собранную в коллекционном посеве пшеницы Дагестанской опытной станции ВИР в 2023 г. (табл. 2). Все тест-клоны (kLr9, kLr19, kLr26) были вирулентны к линиям с генами Lr 1, 2a, 2b, 2c, 3a, 3bg, 3ka, 10, 14a, 14b, 15, 16, 17, 18, 20, 30 и авирулентны к линиям с генами Lr 24, 25, 28, 29, 41, 47, 51. Тест клон kLr9 был авирулентным к Lr19 и Lr26 и вирулентным к Lr9; клон kLr19 – авирулентным к Lr9 и Lr26 и вирулентным к Lr19; kLr26 – авирулентным к Lr9 и Lr19 и вирулентным к Lr26. Дагестанская популяция отличалась от них авирулентностью к Lr 2a, 2b, 2c, 9, 19, 24, 26.
Для инокуляции P. striiformis использовали пять сборных популяций из географически отдаленных регионов: дагестанскую (рDag, сбор – 2023 г.), краснодарскую (рKr, 2022 г.), ленинградскую (рSPb, 2022 г.), саратовскую (рSar, 2023 г.) и новосибирскую (рNov, 2021 г.). Предварительно их вирулентность была изучена на почти изогенных линиях Avocet NIL c генами Yr1, Yr5, Yr6, Yr7, Yr8, Yr9 Yr10, Yr15, Yr17, Yr18, Yr24, Yr27 и сортах-дифференциаторах: Vilmorin 23 (Yr3), Nord Desprez (YrND), Spaldings Prolific (YrSP), Strubes Dickkopf (YrSD). Используемый инфекционный материал P. striiformis характеризовался высоким генетическим разнообразием по признаку вирулентности. Дагестанская популяция была вирулентной к Yr 2, 3, 4, 6, 7, 8, 9, 10, 18, 27, SP, SD, ND, авирулентной к Yr 1, 5, 15, 17, 24; краснодарская – вирулентной к Yr 1, 3, 4, 6, 7, 8, 9, 18, авирулентной к Yr 2, 5, 10, 15, 17, 24, 27, SP, SD, ND; ленинградская – вирулентной к Yr 2, 6, 8, 9, 18, 27, авирулентной к Yr 1, 3, 4, 5, 7, 10, 15, 17, 24, SP, SD, ND; саратовская –вирулентной к Yr 4, 6, 8, 9, 17, 18, 27, SP, ND, авирулентной к Yr 1, 2, 3, 5, 7, 10, 15, 24, SD; новосибирская – вирулентной к Yr 1, 2, 3, 6, 8, 9, 18, 27, SD, ND, авирулентной к Yr 4, 5, 7, 10, 15, 17, 24, SP.
Оценку ювенильной устойчивости образцов пшеницы КАСИБ-22 выполняли по ранее описанным методикам [11, 12]. Растения высевали в сосуды с почвой (по 10 зерен на образец). Инокуляцию бурой ржавчиной проводили в фазе первого листа (8…10 дневные проростки), желтой – в фазе появления второго листа (11…14 дневные проростки). Изучаемые образцы пшеницы опрыскивали суспензией спор каждого изолята/популяции в иммерсионной жидкости 3M™ Novec™ 7100. После заражения бурой ржавчиной растения выдерживали в темноте в течение суток во влажной камере при температуре 20 °C. Затем переносили в светоустановку (температура 20 °C, фотопериод 16 ч день / 8 ч ночь). Спороношение патогена отмечали на 8…9 сутки. После инокуляции популяциями желтой ржавчины сосуды с растениями инкубировали в темноте при температуре 10 °C и влажности 100 % в течение суток, затем переносили в климатическую камеру (Versatile Environmental Test Chamber MLR-352H) со следующими параметрами: день – 16 ч, освещение 15000…20000 люкс, температура 16 °C; ночь – 8 ч, температура 10 °C. Учет проводили через 16…18 дней после заражения.
Учет типа реакции к бурой ржавчине осуществляли по шкале Майнса и Джексона [13]; к желтой ржавчине – по шкале Гасснера и Штрайба [13]: балл 0 – отсутствие симптомов поражения; 0; – некрозы без пустул; 1 – мелкие пустулы, окруженные некрозом; 2 – пустулы среднего размера, окруженные некрозом или хлорозом; 3 – пустулы среднего размера без некроза; 4 – крупные пустулы без некроза. Растения c оценкой 0, 1, 2 балла относили к устойчивым, 3, 4 балла – к восприимчивым.
ДНК выделяли CTAB-методом с использованием набора фирмы «Бигль» из смеси 3 растений. В случае обнаружения расщепления по устойчивости при фитопатологическом тестировании, ДНК выделяли по растениям для 10 проростков. С использованием молекулярных маркеров проводили идентификацию 20 генов – Lr1 (WR003), Lr3 (Xmwg798), Lr9 (SCS5), Lr10 (F1.2245/Lr10–6/r2), Lr19 (SCS265), Lr20 (STS638), Lr21 (Lr21F/R), Lr24 (Sr24≠12, Sr24≠50), Lr25 (Lr25F20/R19), Lr28 (SCS421), Lr29 (Lr29F24), Lr35 (Sr39≠12), Lr39 (GDM35), Lr47 (PS10), Lr50 (GWM382, GDM87), Lr66 (S13-R16), Lr_YrAgi2 (МF2/MR1r2), Yr2 (Wmc364), Yr5 (STS7/8, STS9/10), Yr7 (CFD77), Yr10 (Xpsp3000), Yr15 (Xbarc8), Yr24 (Barc181), Yr25 (Xgwm6), Yr60 (Wmc776, Wmc313), Lr34, Yr18 (csLV34), Lr37, Yr17 (Ventriup/LN2) и 2 транслокаций – 1BL.1RS (Lr26, Yr9) и 1АL.1RS (SCM9) (4,11,12,14–17). Информация об этих маркерах и эффективности Lr и Yr генов, сцепленных с этими маркерами, широко представлена в мировой и отечественный литературе [13, 14, 15]. Маркеры были синтезированы фирмой BioBеagle (Санкт-Петербург). Для постановки ПЦР использовали протоколы, рекомендованные разработчиками маркеров [15, 16, 17], и амплификатор BioRad C1000. Реакционные смеси для ПЦР готовили с использованием реактивов фирмы «Диалат ЛТД». Положительными контролями для бурой ржавчины служили изогенные линии Thatcher с генами Lr1, Lr3, Lr9, Lr10, Lr19, Lr20, Lr21, Lr24, Lr25, Lr26, Lr28, Lr29, Lr35, Lr37, Lr34 и сорта KS90WGRC10 (Lr39), Pavon (Lr47), KS96WGRC36 (Lr50), Челяба 75 (Lr66), Тулайковская 10 (Lr_YrAgi2), для желтой ржавчины – изогенные линии Avoсet с генами Yr5, Yr7, Yr9, Yr10, Yr15, Yr17, Yr18, Yr24 и Yr25. Для разделения ПЦР-продуктов использовали 1,5 %-ный агарозный гель (TBE). Определение размеров продуктов амплификации проводили с использованием маркеров молекулярного веса ДНК 100bp и 1Kbp («Диалат ЛТД»).
Результаты и обсуждение. При проведении фитопатологического анализа высокую устойчивость ко всем клонам и дагестанской популяции P. triticina продемонстрировали 15 образцов (табл. 3), в том числе 14 российской и 1 казахстанской селекции. Линии KS 14/09–2, KS 60/09–9, KS 285/12–1586 и ГАУ-11–2016 были восприимчивы к тест-клону kLr26 и дагестанской популяции (pDag), а линия 23/07 к тест-клону kLr9. Согласно результатам фитопалогического теста у них можно предположить наличие генов Lr26 и Lr9 соответственно. Расщепление по устойчивости выявлено у линии KS 61/09–4 при инокуляции клоном kLr26 и популяцией pDag, а также у сорта Ялуторовка при инокуляции kLr19, kLr26 и pDag, что указывает на гетерогенность этих образцов пшеницы. При инокуляции линии KS 61/09–4 70 % растений продемонстрировали устойчивую реакцию, 30 % восприимчивость. Для сорта Ялуторовка расщепление по устойчивости для указанных клонов и популяции составило 50 %.
Известно [11, 13, 14], что высокую эффективность в защите от бурой ржавчины в России и Казахстане имеют гены Lr24, Lr25, Lr28, Lr29, Lr39(41), Lr45, Lr47, Lr51, Lr53. Частично утратили эффективность гены Lr9, Lr19, Lr21, Lr23, Lr44, Lr48, Lr49, Lr50. Большая часть других Lr-генов [13] по отдельности утратили свою эффективность.
Табл. 2. Характеристика вирулентности инфекционного материала P. triticina и P. striiformis, используемого в исследованиях
Изолят | Происхождение | Вирулентность / авирулентность* |
Puccinia triticina | ||
kLr9 | Челябинская обл, 2022 | 1, 2a, 2b, 2c, 3a, 3bg, 3ka, 9, 10, 14a, 14b, 15, 16, 17, 18, 20, 30 / 19, 24, 26 |
kLr19 | Саратовская обл., 2022 | 1, 2a, 2b, 2c, 3a, 3bg, 3ka, 10, 14a, 14b, 15, 16, 17, 18, 19, 20, 30 / 9, 24, 26 |
kLr26 | Новосибирская обл., 2022 | 1, 2a, 2b, 2c, 3a, 3bg, 3ka, 10, 14a, 14b, 15, 16, 17, 18, 20, 26, 30 / 9, 19, 24 |
pDag | Республика Дагестан, 2023 | 1, 3a, 3bg, 3ka, 10, 14a, 14b, 15, 16, 17, 18, 20, 26, 30 / 2a, 2b, 2c, 9, 19, 24 |
Puccinia striiformis | ||
рDag | Республика Дагестан, 2023 | 2, 3, 4, 6, 7, 8, 9, 10, 18, 27, SP, SD, ND / 1, 5, 15, 17, 24 |
рKr | Краснодарский край, 2022 | 1, 3, 4, 6, 7, 8, 9, 18 / 2, 5, 10, 15, 17, 24, 27, SP, SD, ND |
рSPb | Ленинградская обл., 2022 | 2, 6, 8, 9, 18, 27 / 1, 3, 4, 5, 7, 10, 15, 17, 24, SP, SD, ND |
рSar | Саратовская обл., 2023 | 4, 6, 8, 9, 17, 18, 27б SP, ND / 1, 2, 3, 5, 7, 10, 15, 24, SD |
рNov | Новосибирская обл., 2021 | 1, 2, 3, 6, 8, 9, 18, 27, SD, ND / 4, 5, 7, 10, 15, 17, 24, SP |
*для Puccinia triticina – к линиям Thatcher c генами Lr; для Puccinia striiformis – к линиям Avocet c генами Yr и сортам-дифференциаторам (AvocetNIL: Yr1, Yr5, Yr6, Yr7, Yr8, Yr9 Yr10, Yr15, Yr17, Yr18, Yr24, Yr27; Yr3 – Vilmorin 23, ND – Nord Desprez, SP – Spaldings Prolific, SD – Strubes Dickkopf).
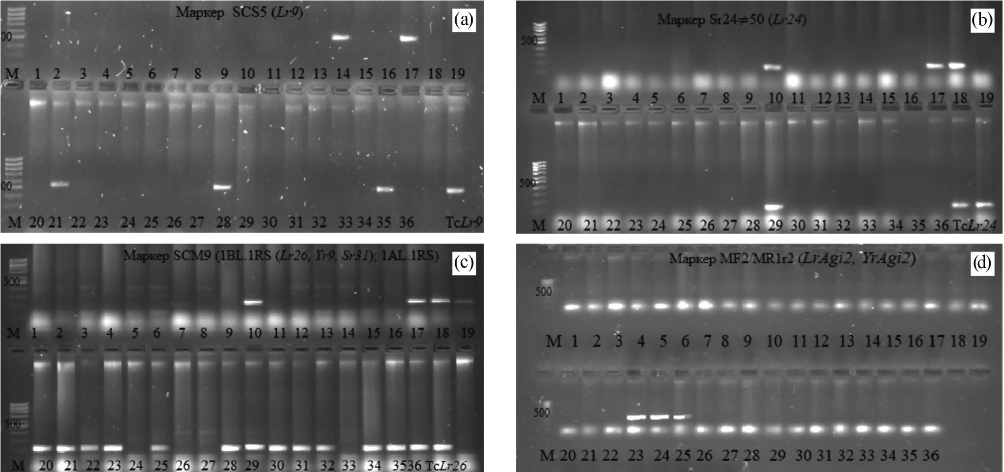
С использованием молекулярных маркеров 20 Lr-генов, широко и умеренно используемых в селекции, установлено высокое генетическое разнообразие материала КАСИБ-22 по устойчивости к бурой ржавчине. У резистентных образцов определены высокоэффективные гены Lr24, LrAgi2, частично утратившие эффективность гены Lr9, Lr19, малоэффективные гены Lr1, Lr3, Lr10, Lr26 и Lr34 и пшенично-ржаная транслокация 1AL.1RS с неидентифицированными генами устойчивости к бурой, стеблевой и желтой ржавчинам (см. табл. 3). Например, с использованием маркера SCS5 отмечено наличие гена Lr9 у линий 23/07, Пт-235, KS 61/09–4, Лютесценс 1364, ГАУ-11–2016 (см. рисунок, а), маркера Sr24≠50 – гена Lr24 у образцов Лютесценс 8–12–18, Линия Пт-235, Линия Пт-311, Агрономическая 5 (см. рисунок, b). При проведении ПЦР с маркером SCM9 положительная реакция показана у 17 образцов из 36 (см. рисунок, с), с маркером МF2/MR1r2 – у образцов Лютесценс 1462, Лютесценс 1486, Лютесценс 1489 (см. рисунок, d).
Электрофореграммы ПЦР образцов яровой пшеницы КАСИБ-22 с маркерами SCS5 (а), Sr24≠50 (b), SCM9 (c) и МF2/MR1r2 (d): М – маркер молекулярного веса (100bp, Диалат); 1…36 – образцы яровой пшеницы согласно перечню в табл. 1.
У устойчивых линий выявлено по несколько генов устойчивости. Высокоэффективный ген Lr24 и транслокация AL.1RS обнаружены у линии Лютесценс (Лют.) 8–12–18 из Казахстана и линий Пт-235, Пт-311, Лют. 76–17 из России (см. табл. 3). Наряду с этими генами у линии Лют.8–12–18 определен ген Lr34, у линии Пт-235– ген Lr9, у линии Пт-311 – ген Lr3.
Табл. 3. Характеристика образцов КАСИБ-22 по устойчивости к бурой и желтой ржавчинам и идентифицированные у них гены устойчивости
Линия, сорт | Тип реакции (балл) | Идентифицированные гены устойчивости | ||||||||
бурая ржавчина | желтая ржавчина | |||||||||
kLr9 | kLr19 | kLr26 | pDag | pDag | pKr | pSPb | pSar | pNov | ||
Династия | 3 | 3 | 3 | 3 | 3 | 3…4 | 3 | 3 | 3 | - |
Линия 198/225-2020 | 3 | 3 | 3 | 3 | 3 | 3 | 3 | 3 | 3 | Lr3 |
Линия 205-2020 | 3 | 3 | 3 | 3 | 3 | 3…4 | 3 | 3 | 3 | - |
Лютесценс 176/09 | 3 | 3 | 3 | 3 | 3 | 3…4 | 3 | 3 | 3 | Lr10 |
Лютесценс 342/08 | 3 | 3 | 3 | 3 | 3 | 3…4 | 3 | 3 | 3 | - |
Линия 43/94к-07-7 | 3 | 3 | 3 | 3 | 3 | 3…4 | 3 | 0 | 3 | - |
Линия 2/03-09-3 | 3...4 | 3 | 3 | 3 | 3 | 3 | 3 | 3 | 3 | - |
Лютесценс 77 201/09 | 3...4 | 3 | 3 | 3 | 3 | 3 | 3 | 3 | 3 | Lr3 |
Лютесценс 30 22/09 | 3...4 | 3 | 3 | 3 | 3…4 | 3 | 2…3 | 3 | 3 | - |
Лютесценс 8-12-18 | 0...1 | 0 | 1 | 0…1 | 3…4 | 3 | 2…3 | 3 | 3 | Lr24, Lr34/Yr18, 1AL.1RS |
Лютесценс 2244 | 3 | 3 | 3 | 3 | 3 | 1…2 | 2 | 3 | 3 | Lr3 |
Лютесценс 2219 | 3 | 3 | 3 | 3 | 3 | 3 | 2…3 | 3 | 3 | - |
Лютесценс 2223 | 3 | 3 | 3 | 3 | 3 | 3…4 | 2…3 | 3 | 3 | Lr3 |
Линия 23/07 | 3 | 0 | 0 | 0 | 3 | 3 | 3…4 | 3 | 3 | Lr1, Lr9 |
Линия 435/12 | 3 | 3 | 3 | 3 | 3…4 | 3…4 | 3 | 3 | 3 | Lr3 |
Линия Чт-11 | 3 | 3 | 3 | 3 | 3 | 3 | 2 | 3 | 3 | - |
Линия Пт-235 | 0 | 0 | 0 | 0 | 3 | 3 | 3 | 3 | 3 | Lr9, Lr24, 1AL.1RS |
Линия Пт-311 | 0 | 0 | 0…1 | 0 | 3 | 3…4 | 3…4 | 0…1 | 3 | Lr3, Lr24, 1AL.1RS |
KS 14/09-2 | 0 | 0 | 3 | 3 | 3 | 3…4 | 3 | 3 | 3 | Lr26/Yr9 |
KS 60/09-9 | 0 | 0 | 3 | 3 | 2…3 | 3…4 | 3…4 | 3 | 3 | Lr1, Lr26/Yr9 |
KS 61/09-4 | 0 | 0 | 0, 3** | 0,3 | 0 | 2 | 3 | 0 | 3 | Lr9 *, Lr26/Yr9 |
KS 285/12-1586 | 0 | 0 | 3 | 3 | 3 | 2…3 | 3 | 3 | 3 | Lr1, Lr26/Yr9 |
Лютесценс 1462 | 0 | 0 | 0 | 0 | 0 | 3 | 2…3 | 0 | 2…3 | Lr19, Lr26/Yr9, LrAgi2 |
Лютесценс 1486 | 0 | 0 | 0 | 0 | 3 | 2 | 3…4 | 3 | 3 | Lr3, Lr19, LrAgi2 |
Лютесценс 1489 | 0 | 0 | 0 | 0 | 3 | 1…2 | 2…3 | 3 | 3 | Lr3, LrAgi2 |
Линия1616ае14 | 0 | 0 | 0 | 0 | 2…3 | 3 | 3 | 3 | 3 | Lr19, Lr26/Yr9 |
Лютесценс 1356 | 0 | 0 | 0 | 0 | 3 | 3…4 | 3…4 | 3 | 3 | Lr1, Lr3, Lr10 |
Лютесценс 1364 | 0 | 0 | 0 | 0...1 | 3 | 3…4 | 3…4 | 3 | 3 | Lr1, Lr3, Lr10 |
Агрономическая 5 | 0 | 0 | 0 | 0...1 | 2 | 2…3 | 2…3 | 2 | 3 | Lr9, Lr26/Yr9 |
Лютесценс 76-17 | 0 | 0 | 0 | 0 | 3 | 3 | 2…3 | 2 | 3 | Lr24, 1AL.1RS |
Лютесценс 82/09-7 | 0 | 0…1 | 0…1 | 0...1 | 3 | 3 | 2…3 | 3 | 3 | Lr1, Lr3, Lr19, Lr26/Yr9 |
Лютесценс 136/10-1 | 0 | 0 | 0 | 0 | 2…3 | 2 | 2…3 | 2 | 3 | Lr3, Lr19,Lr26/Yr9,Lr34/Yr18 |
Лютесценс 71/10-4 | 0 | 0 | 0 | 0 | 3 | 3 | 3 | 3 | 3 | Lr1, Lr19, Lr26/Yr9 |
Ялуторовка | 3 | 0, 3 | 0, 3 | 0, 3 | 0 | 0 | 0…1 | 3 | 3 | Lr3, Lr10, Lr34/Yr18 |
ГАУ-11-2016 | 0 | 0 | 3 | 3 | 0 | 3 | 3 | 3 | 3 | Lr26/Yr9,Lr34/Yr18 |
Челябинка | 0 | 0 | 0 | 0 | 3 | 3 | 3 | 3 | 3 | Lr9, Lr26/Yr9 |
*расщепление при анализе по растениям при использовании маркера гена Lr9; ** расщепление образца по устойчивости в фитопатологическом тесте; - – идентифицируемых генов не выявлено.
В защите от бурой ржавчины эффективной считают стратегию пирамидирования генов устойчивости [3, 8]. Она подразумевает комбинирование в одном генотипе нескольких генов устойчивости. Это могут быть как высокоэффективные гены, так и гены по отдельности, утратившие эффективность. Эффективные их сочетания позволяют существенно продлить срок «полезной жизни» новых сортов. В защите от бурой ржавчины перспективным считают сочетание генов Lr9 (или Lr19) с Lr26. Ген Lr9 утратил свою эффективность в Западной Сибири и на Урале, Lr19 – в Поволжье. Обусловлено это широким возделыванием генетически однородных по Lr9 и Lr19 сортов в указанных регионах. Изоляты P. triticina по отдельности вирулентные к Lr9 и Lr19 имеют высокую представленность в западносибирских и уральских популяциях, при этом все они авирулентны к линии с геном Lr26 [4]. Это обусловливает эффективность пирамидирования генов Lr9 и Lr19 с Lr26. В материале КАСИБ-22 гены Lr9 и Lr26 определены у сортов Агрономическая 5 и Челябинка. В мультилокальных полевых исследованиях КАСИБ и региональных Государственных сортоиспытаниях они выделены по комплексу хозяйственно ценных признаков [9, 18] и в 2023–2024 гг. включены в Государственный реестр селекционных достижений РФ. Линия KS 61/09–14 показала гетерогенность по Lr9. При анализе индивидуальных растений определены растения с двумя генами (Lr9, Lr26) и с одним (Lr26). Расщепление этой линии по устойчивости отмечено и при фитопатологическом тестировании.
Сочетание генов Lr19 и Lr26 выявлено у трех линий селекции Омского АНЦ: Лют. 82/09–7 (+Lr1, Lr3), Лют. 136/10–1 (+Lr3, Lr34), Лют. 71/10–4 (+Lr1). Коммерческие сорта Омская 37 и Омская 38 с генами Lr19 и Lr26 возделываются в Западной Сибири с 2010 гг. и до сих пор характеризуются устойчивостью к бурой ржавчине.
Сочетание генов Lr19 и Lr26 также определено у линий 161ае14 и Лют. 1462, созданных в Самарском НИИСХ. У линии Лют. 1462 дополнительно идентифицирован высокоэффективный ген LrAgi2. Кроме того, он определен еще у двух линий этого селекцентра: Лют. 1486 (+Lr19, Lr3) и Лют. 1489 (+ Lr3). Первые высокоустойчивые к бурой ржавчине сорта с LrAgi2 были созданы в Самарском НИИСХ в начале 2000 гг. (Тулайковская 5, Тулайковская 10). Ген сохраняет свою эффективность в России и Казахстане [6].
В молекулярном анализе присутствие гена Lr26 определено у линий KS 14/09–2, KS 60/09–9 (+Lr1), KS 285/12–1586 (Lr1), ГАУ-11–2016 (+Lr34); гена Lr9 – у линии 23/07 (+Lr1), что согласуется с результатами фитопатологического теста.
У двух высокоустойчивых линий Лют. 1356 и Лют. 1364, созданных в СибНИИРС с участием сортов Новосибирская 15 и Новосибирская 31, определены только малоэффективные гены Lr1, Lr3 и Lr10. Их комбинация не обеспечивает эффективной защиты от ржавчины, что указывает на наличие у этих линий дополнительных Lr-генов, отличающихся от идентифицируемых в представленном анализе. По результатам Государственного сортоиспытания в 2024 г. линия Лют. 1356 включена в Реестр селекционных достижений как сорт Загора Новосибирская. Линия Лют. 1364 проходит государственное сортоизучение как сорт Суенга [9].
Все устойчивые к бурой ржавчине сорта и линии яровой пшеницы, выделенные в представленном анализе, имели высокую резистентность к болезни в полевых условиях [9].
Иммунологические исследования устойчивости к желтой ржавчине продемонстрировали низкий потенциал материала КАСИБ-22. Образцов, устойчивых ко всем региональным популяциям при инокуляции в фазе проростков, не выявлено. Это указывает на отсутствие у них высокоэффективных Yr-генов. Устойчивость к трем популяциям показали сорт Ялуторовка (pDag, pKr, pSPb) и линия KS61/09–4 (pDag, pKr, pSar); к двум популяциям – Лют. 2244 (pKr, pSPb), Лют. 136/10–1 (pKr, pSar), Лют. 1462, Агрономическая (pDag, pSar); к одной – линии 43/94к-07–7 и ПТ-311 (pSar). Число устойчивых образцов к саратовской (17 %), дагестанской (11 %) и краснодарской (11 %) популяциям было выше, чем к ленинградской (5 %). Все изученные образцы были восприимчивы к новосибирской популяции.
Высокой эффективностью в России и Казахстане характеризуются гены Yr5, Yr10, Yr15, Yr17 и Yr24 [7, 19, 20]. С использованием молекулярных маркеров в образцах КАСИБ-22 такие гены не выявлены, что согласуется с результатами фитопатологического тестирования. Также у них не выявлено частично эффективных генов Yr2, Yr7, Yr25 и Yr60. У 11 образцов определено наличие гена Yr9, локализованного в одной транслокации с геном Lr26 и Sr31. У трех линий определено наличие гена Yr18, сцепленного с генами Lr34 и Sr57. Гены Yr9 и Yr18, Lr26 и Lr34 утратили свою эффективность в России [4, 7]. При этом сохраняется эффективность Sr31 и Sr57.
Выводы. В фазе проростков 42 % изученных образцов КАСИБ-22, включающих перспективные сорта и линии яровой мягкой пшеницы российской и казахстанской селекции (23 и 13 образцов соответственно), продемонстрировали резистентность при инокуляции тест-клонами и популяцией P. triticina. Больше всего устойчивых отмечено среди образцов российской селекции (36 %). С использованием молекулярных маркеров показано высокое разнообразие изученного материала по Lr-генам. Выявлены высокоэффективные гены Lr24 и LrAgi2, частично утратившие эффективность гены Lr9 и Lr19, малоэффективные гены Lr1, Lr3, Lr10, Lr26 и Lr34, а также пшенично-ржаная транслокация 1AL.1RS с не идентифицированными генами устойчивости к бурой, стеблевой и желтой ржавчинам. Все устойчивые образцы несли по два и более Lr-генов.
В ходе лабораторной оценки устойчивости к возбудителю желтой ржавчины образцов иммунных ко всем используемым популяциям P. striiformis, которые отличались по географическому происхождению (Северный Кавказ, Северо-Запад, Западная Сибирь), не обнаружено. Устойчивость к трем из пяти популяций продемонстрировали 5 % образцов, к двум – 11 %, к одной – 17 %. В молекулярном анализе у изученных образцов высокоэффективных генов Yr5, Yr10, Yr15, Yr17, Yr24 не обнаружено. Малоэффективные гены Yr9 и Yr18 идентифицированы у 30 % и 8 % линий соответственно.
Результаты проведенного анализа указывают на необходимость опережающей селекции яровой пшеницы на устойчивость к желтой ржавчине с привлечением генетически разнообразных доноров.
ФИНАНСИРОВАНИЕ РАБОТЫ.
Исследования поддержаны Российским научным фондом, проект № 23–26–00042. Никаких дополнительных грантов на проведение или руководство данным конкретным исследованием получено не было.
СОБЛЮДЕНИЕ ЭТИЧЕСКИХ СТАНДАРТОВ.
В работе отсутствуют исследования человека или животных.
КОНФЛИКТ ИНТЕРЕСОВ.
Авторы работы заявляют, что у них нет конфликта интересов.
About the authors
E. I. Gultyaeva
All Russian Institute of Plant Protection
Author for correspondence.
Email: eigultyaeva@gmail.com
доктор биологических наук
Russian Federation, 196608, Cankt-Peterburg-Pushkin, sh. Podbelskogo, 3E. L. Shaydayuk
All Russian Institute of Plant Protection
Email: eigultyaeva@gmail.com
кандидат биологических наук
Russian Federation, 196608, Cankt-Peterburg-Pushkin, sh. Podbelskogo, 3V. V. Veselova
All Russian Institute of Plant Protection
Email: eigultyaeva@gmail.com
Russian Federation, 196608, Cankt-Peterburg-Pushkin, sh. Podbelskogo, 3
M. M. Levitin
All Russian Institute of Plant Protection
Email: eigultyaeva@gmail.com
доктор биологических наук, академик РАН
Russian Federation, 196608, Cankt-Peterburg-Pushkin, sh. Podbelskogo, 3References
- Virulence characterization of Puccinia striiformis f. sp. tritici collections from six countries in 2013 to 2020 / X. Chen, M. Wang, A. Wan, et al. // Canadian Journal of Plant Pathology. 2021. Vol. 43. No. 2. P. 308–322. doi: 10.1080/07060661.2021.1958259.
- Левитин М. М. Распространение болезней растений в условиях глобального изменения климата // Сельскохозяйственные науки и агропромышленный комплекс на рубеже веков. 2016. С. 97–100.
- Генетическая защищенность сортов озимой пшеницы от ржавчинных болезней / Л. А. Беспалова, И. Б. Аблова, Ж. Н. Худокормова и др. // Рисоводство. 2019. Т. 4. № 45. С. 30–37.
- Gultyaeva E., Shaydayuk E., Gannibal P. Leaf rust resistance genes in wheat cultivars registered in Russia and their influence on adaptation processes in pathogen populations // Agriculture. 2021. Vol. 11. No. 4. Article 319. URL: https://www.mdpi.com/2077–0472/11/4/319 (дата обращения: 15.12.2023). doi: 10.3390/agriculture11040319.
- Зеленева Ю.В., Судникова В. П., Бучнева Г. Н. Иммунологическая характеристика сортов озимой мягкой пшеницы в условиях ЦЧР // Труды Кубанского государственного аграрного университета. 2022. № 96. С. 95–99. doi: 10.21515/1999-1703-96-95-99.
- Получение и характеристика линии мягкой пшеницы (Тулайковская 10×Саратовская 29) с интрогрессией хромосомы пырея Thinopyrum intermedium 6Agi2 / Ю. Н. Иванова, К. К. Розенфрид, А. И. Стасюк и др. // Вавиловский журнал генетики и селекции. 2021. Т. 25. Вып. 7. C. 701–712. doi: 10.18699/VJ21.080.
- Gultyaeva E. I., Shaydayuk E. L., Kosman E. Virulence diversity of Puccinia striiformis f. sp. tritici in common wheat in Russian Regions in 2019–2021 // Agriculture. 2022 V. 12 No. 11. Article 1957. URL: https://www.mdpi.com/2077–0472/12/11/1957 (дата обращения: 15.12.2023). doi: 10.3390/agriculture12111957.
- Шаманин В. П., Потоцкая И. В., Кузьмин О. Г. Скрининг сортов яровой мягкой пшеницы питомника КАСИБ к бурой и стеблевой ржавчине в условиях Западной Сибири // Вестник Казанского ГАУ. 2017. Т. 4. № 46. С. 61–66. doi: 10.12737/article_5a5f06807861a9.60475518.
- Агеева Е. В., Капко Т. Н., Советов В. В. Изучение устойчивости к некоторым заболеваниям сортов и линий яровой пшеницы питомника КАСИБ-22 // Письма в Вавиловский журнал генетики и селекции. 2023. Т. 9. Вып. 1. С. 21–29. doi: 18699/LettersVJ-2023-9-04.
- Оценка коллекции сортов сети КАСИБ в условиях южной лесостепи Западной Сибири / В. Е. Пожерукова, В. П. Шаманин, М. С. Гладких и др. // Вестник Омского государственного аграрного университета. 2019. Т. 1. № 33. С. 30–37.
- Гультяева Е. И., Шайдаюк Е. Л., Рсалиев А. С. Идентификация генов устойчивости к бурой ржавчине у образцов яровой мягкой пшеницы российской и казахстанской селекции // Вестник защиты растений. 2019. № 3. С. 41–49. doi: 10.31993/2308-6459-2019-3(101)-41-49.
- Gultyaeva E. I., Shaydayuk E. L. Resistance of modern Russian winter wheat cultivars to yellow rust // Plants. 2023. Vol. 12. No. 19. Article 3471. URL: https://www.mdpi.com/2223–7747/12/19/3471 (дата обращения: 15.12.2023). doi: 10.3390/plants12193471.
- McIntosh R. A., Wellings C. R., Park R. F. Wheat rusts. An atlas of resistance genes. CSIRO Australia: Kluwer Acad. Publ., Dordrecht, the Netherlands, 1995. 213 p.
- Mas Wheat. URL: https://maswheat.ucdavis.edu/ (дата обращения 20.02.2024).
- Rani R., Singh R., Yadav N. R. Evaluating stripe rust resistance in Indian wheat genotypes and breeding lines using molecular markers // Comptes Rendus Biol. 2019. Vol. 342. P. 154–174. doi: 10.1016/j.crvi.2019.04.002.
- Chawla V. Genetic diversity of bread wheat genotypes (Triticum aestivum L.) revealed by microsatellite SSR markers for leaf and stripe rust resistance // J. Pharmacogn. Phytochem. 2019. Vol. 8. P. 86–93.
- Фенотипическая изменчивость селекционных линий мягкой пшеницы (Triticum aestivum L.) по элементам структуры урожая в экологических условиях Западной Сибири и Татарстана / А. И. Стасюк, И. Н. Леонова, М. Л. Пономарева и др. // Сельскохозяйственная биология. 2021. Т. 56. № 1. С. 78–91. doi: 10.15389/agrobiology.2021.1.78rus.
- Характеристики сортов растений, впервые включенных в 2023 году в Государственный реестр селекционных достижений, допущенных к использованию: официальное издание. М: ФГБНУ «Росинформагротех»;2023. 326 с.
- Kokhmetova A., Rsaliyev Sh., Atishova M., et al. Evaluation of wheat germplasm for resistance to leaf rust (Puccinia triticina) and identification the sources of Lr-resistance genes using molecular markers // Plants. 2021. Vol. 10. No. 7. Article 1484. URL: https://www.mdpi.com/2223–7747/10/7/1484 (Дата обращения 15.12.2023). doi: 10.3390/ plants10071484.
- Postulation of Yr resistance genes to stripe rust in 12 commercial wheat cultivars of Russian breeding / I. Matveeva, G. Volkova, Y. Kim, et al. // Siberian Journal of Life Sciences and Agriculture. 2023. Vol. 15. No. 4. P. 158–179. doi: 10.12731/2658-6649-2023-15-4-158-179.
Supplementary files


