THE XMAS-2 PROTEIN OF DROSOPHILA MELANOGASTER UNDERGOES CLEAVAGE INTO TWO FRAGMENTS
- Authors: Kurshakova M.M.1, Georgieva S.G.1, Kopytova D.V.1
-
Affiliations:
- Institute of Molecular Biology, Russian Academy of Sciences
- Issue: Vol 509, No 1 (2023)
- Pages: 166-169
- Section: Articles
- URL: https://medbiosci.ru/2686-7389/article/view/135642
- DOI: https://doi.org/10.31857/S2686738922700111
- EDN: https://elibrary.ru/NAZLMZ
- ID: 135642
Cite item
Full Text
Abstract
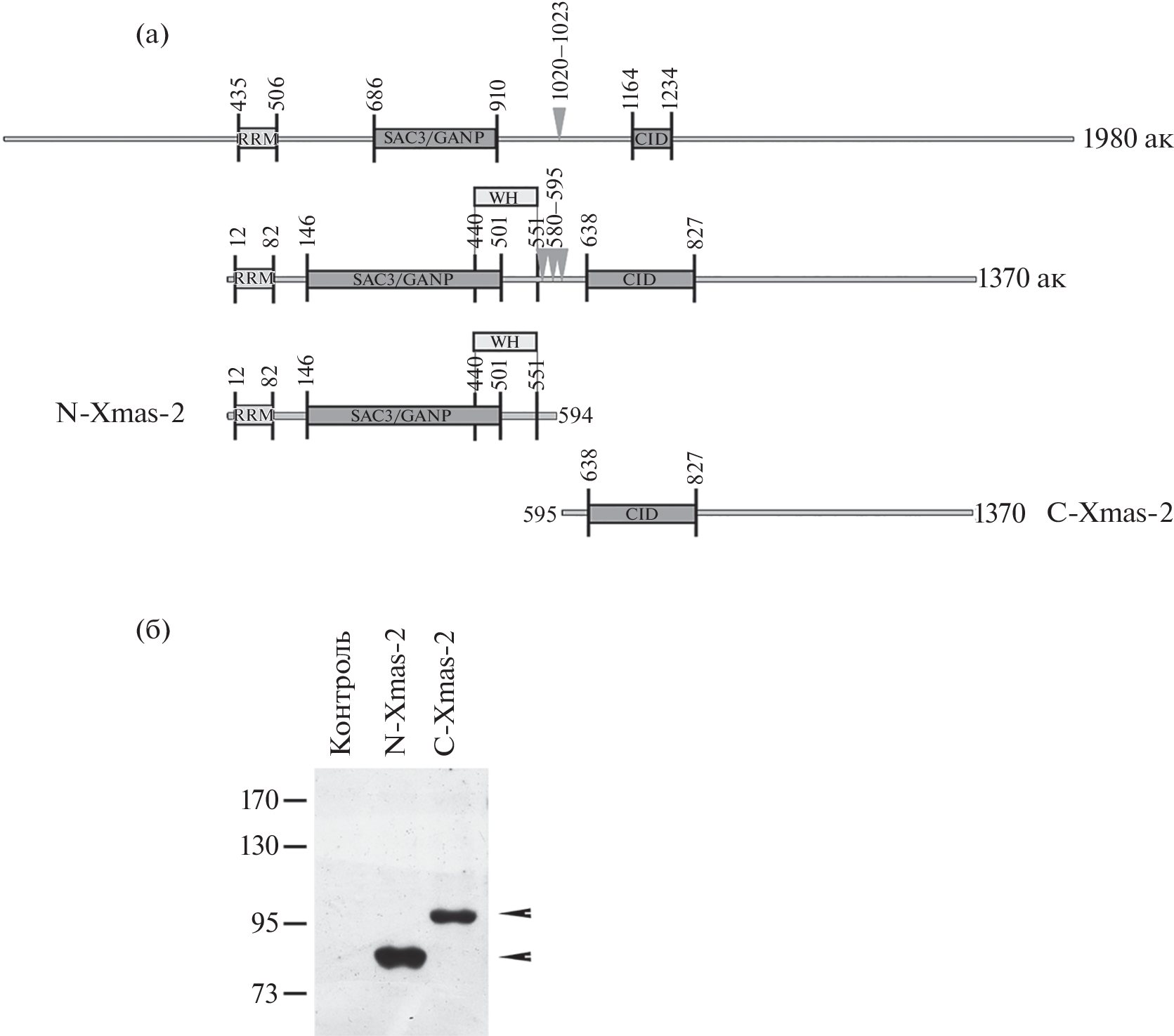
The TREX-2 complex integrates several stages of gene expression, such as transcriptional activation and mRNA export. In D. melanogaster TREX-2 consists of four main proteins: Xmas-2, ENY2, PCID2, and Sem1p. Xmas-2 protein is the core subunit of the complex with which other TREX-2 subunits interact. Xmas-2 homologues have been found in all higher eukaryotes. Previously, it was shown that the human Xmas-2 homologue, GANP protein can undergo cleavage into two parts, probably during apoptotic cell death. We showed that the Xmas-2 protein of D. melanogaster also can split into two fragments. The resulting fragments of the protein correspond to the two large domains of Xmas-2. Protein splitting is observed both in vivo and in vitro. However, Xmas-2 cleavage in D. melanogaster is observed under normal conditions and is probably a part of the mechanism of transcription and mRNA export regulation in D. melanogaster.
Keywords
About the authors
M. M. Kurshakova
Institute of Molecular Biology, Russian Academy of Sciences
Email: d_dmitrieva@mail.ru
Russian Federation, Moscow
S. G. Georgieva
Institute of Molecular Biology, Russian Academy of Sciences
Email: d_dmitrieva@mail.ru
Russian Federation, Moscow
D. V. Kopytova
Institute of Molecular Biology, Russian Academy of Sciences
Author for correspondence.
Email: d_dmitrieva@mail.ru
Russian Federation, Moscow
References
- Wende W., Friedhoff P., Sträßer K. Mechanism and Regulation of Co-transcriptional mRNP Assembly and Nuclear mRNA Export // Advances in experimental medicine and biology. United States. 2019. V. 1203. P. 1–31.
- Fischer T. et al. The mRNA export machinery requires the novel Sac3p-Thp1p complex to dock at the nucleoplasmic entrance of the nuclear pores // The EMBO journal. England. 2002. V. 21. № 21. P. 5843–5852.
- Jani D. et al. Functional and structural characterization of the mammalian TREX-2 complex that links transcription with nuclear messenger RNA export // Nucleic acids research. England. 2012. V. 40. № 10. P. 4562–4573.
- Kurshakova M.M. et al. SAGA and a novel Drosophila export complex anchor efficient transcription and mRNA export to NPC // The EMBO journal. England. 2007. V. 26. № 24. P. 4956–4965.
- Rodríguez-Navarro S. et al. Sus1, a functional component of the SAGA histone acetylase complex and the nuclear pore-associated mRNA export machinery // Cell. United States. 2004. V. 116. № 1. P. 75–86.
- Jani D. et al. Sus1, Cdc31, and the Sac3 CID region form a conserved interaction platform that promotes nuclear pore association and mRNA export // Molecular cell. United States. 2009. V. 33. № 6. P. 727–737.
- Ellisdon A.M. et al. Structural basis for the assembly and nucleic acid binding of the TREX-2 transcription-export complex // Nature structural & molecular biology. United States. 2012. V. 19. № 3. P. 328–336.
- Dimitrova L. et al. Structural Characterization of the Chaetomium thermophilum TREX-2 Complex and its Interaction with the mRNA Nuclear Export Factor Mex67:Mtr2 // Structure (London, England : 1993). United States. 2015. V. 23. № 7. P. 1246–1257.
- Jani D., Valkov E., Stewart M. Structural basis for binding the TREX2 complex to nuclear pores, GAL1 localisation and mRNA export // Nucleic acids research. England. 2014. V. 42. № 10. P. 6686–6697.
- Kopytova D. et al. ORC interacts with THSC/TREX-2 and its subunits promote Nxf1 association with mRNP and mRNA export in Drosophila // Nucleic acids research. 2016. V. 44. № 10. P. 4920–4933.
- Куршакова М.М., Копытова Д.В., Георгиева С.Г. Исследование взаимодействия Xmas-2, основного белка TREX-2 комплекса экспорта мРНК, и белка Orc3, субъединицы ORC комплекса D. melanogaster // Доклады АН. 2021. Т. 496. С. 66–69.
- Wickramasinghe V.O. et al. MCM3AP is transcribed from a promoter within an intron of the overlapping gene for GANP // Journal of molecular biology. 2011. V. 406. № 3. P. 355–361.
Supplementary files





