Study of the role of long non-coding RNA ROX in maintaining of the dosage compensation complex in Drosophila melanogaster
- Authors: Babosha V.A.1, Georgiev P.G.1, Maksimenko O.G.1
-
Affiliations:
- Institute of Gene Biology RAS
- Issue: Vol 514, No 1 (2024)
- Pages: 56-59
- Section: Articles
- URL: https://medbiosci.ru/2686-7389/article/view/258939
- DOI: https://doi.org/10.31857/S2686738924010109
- EDN: https://elibrary.ru/KRFHXD
- ID: 258939
Cite item
Full Text
Abstract
The proteins MSL1, MSL2, MSL3, MLE, MOF and non-coding RNAs roX1 and roX2 form the Drosophila dosage compensation complex (DCC), which specifically binds to the X chromosome of males. It is known that non-coding RNA roX are primary component of the DCC in the process of assembly and spreading of the complex among the X chromosome of males. However, it still remains unclear the role of this RNA in maintaining the structure of the already assembled complex. In this work, we have shown that the full-assembled complex of dosage compensation dissociates rather weakly when treated with RNases: the MLE helicase is effectively released from the complex, and the remaining protein components, MSL1, MSL2 and MSL3, undergo partial disassembly and continue to be part of subcomplexes. The results confirm the importance of the non-coding RNA roX2 not only in the processes of initiation of CDK assembly, but also at the stage of maintaining the structure of the already assembled complex.
Keywords
Full Text
Дозовая компенсация у дрозофилы направлена на увеличение экспрессии генов единственной Х-хромосомы самцов с целью выравнивания с двумя Х-хромосомами самок. В этом процессе ключевую роль играет РНК-белковый комплекс дозовой компенсации (КДК), состоящий из белков MSL1, MSL2, MSL3, MLE, MOF и длинных некодирующих РНК, roX1 и roX2 [1; 2]. Исходно КДК привлекается на специфичные последовательности, распределенные по Х-хромосоме (сайты первичного посадки, СПП), с которых происходит распространение КДК преимущественно на кодирующие части генов [3]. roX1 и roX2 представляют собой некодирующие РНК, различающиеся по размерам, последовательности, уровню экспрессии в клетках самцов, но являются взаимозаменяемыми в составе комплекса дозовой компенсации [4]. В их составе присутствуют небольшие консервативные участки, необходимые для функционирования КДК. Белок MLE необходим для включения РНК внутрь комплекса, при этом roX могут сохраняться в составе комплекса и в отсутствие MLE [5; 6]. roX контактируют с MLE и MSL2 посредством консервативных участков с определенной вторичной структурой, состоящей из нескольких шпилек [5; 6]. В отсутствие roX происходит нарушение паттернов распределения белков КДК вдоль Х-хромосомы [7]. Известно, что распространение КДК зависит от активности транскрипции генов roX, что является косвенным подтверждением инициации процесса сборки полного комплекса или его отдельных модулей непосредственно на новосинтезируемой РНК [8]. Последовательность этапов сборки комплекса остается малоизученной, однако известно, что в отсутствие хеликазной активности MLE КДК теряет способность к распространению за пределы мест связывания КДК с хроматином, что может говорить о необходимости roX для формирования полного КДК, способного к связыванию с Х-хромосомой за пределами СПП [9].
Целью данной работы стало изучение влияния деградации РНК на общую организацию комплекса дозовой компенсации Drosophila melanogaster с целью демонстрации значения нкРНК roX в поддержании структуры и состава комплекса. В рамках данного исследования были проведены аналитическое ультрацентрифугирование в сахарозном градиенте и коиммунопреципитация компонентов комплекса до и после обработки РНКазами А и III.
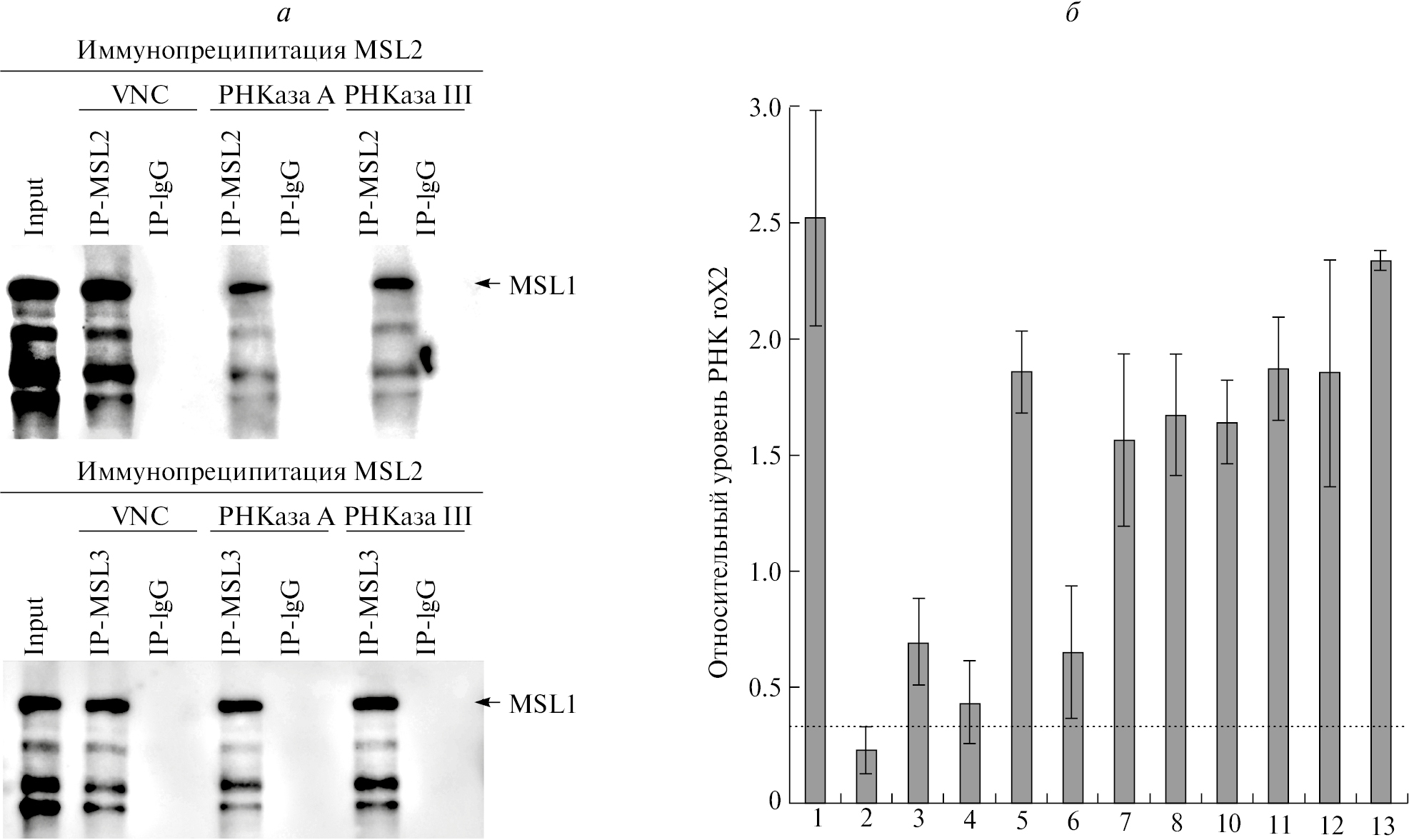
В качестве исходного материала использовался ядерный лизат культуры клеток S2 Drosophila melanogaster, имеющих эмбриональное происхождение и считающихся преимущественно мужскими. Полученный лизат делили на три части: без обработки нуклеазами с добавлением ванадил-рибонуклеозидного комплекса (VNC, неспецифичный ингибитор РНКаз), с обработкой РНКазой А (с преимущественной специфичностью к одноцепочечным участкам РНК) и с обработкой РНКазой III (с преимущественной специфичностью к двуцепочечным участкам РНК). После соответствующей обработки экстрактов проводили аналитическое ультрацентрифугирование и коиммунопреципитацию полученных образцов. Аналитическое ультрацентрифугирование проводили на ультрацентрифуге Beckman L7 с ротором типа 70.1 TI в трехдюймовых пробирках Quick-Seal в сахарозном градиенте 10–40 % в течение 2 ч 15 мин при 55000 rpm. По окончании ультрацентрифугирования последовательно отбирались фракции объёмом 500±50 мкл с одновременной спектрофотометрической и кондуктометрической регистрацией. Из фракций осаждались белки в присутствии ТХУ, после чего растворялись в 70 мкл фосфатно-солевого буфера. Затем проводили белковый электрофорез с последующим иммуноблот-анализом на компоненты КДК: MSL1, MSL2, MSL3, MLE. Коиммунопреципитацию проводили также со всеми 3 типами образцов – без обработки и с обработкой РНКазами А и III с антителами, специфично узнающими белки MSL2 и MSL3. Результаты иммунопреципитации анализировали про помощи иммуноблот-анализа с антителами, специфично узнающими белок MSL1.
После фракционирования образца экстракта, не обработанного нуклеазами, все исследуемые белки КДК обнаруживаются в тяжелых фракциях (рис. 1, а). При этом для белка MSL1 характерна преимущественная локализация во фракциях 2, 5–7, MSL2–1, 3–6, MSL3–2–9. Для MLE четкий сигнал детектировать не удалось. Таким образом, можно предположить, что КДК соответствует примерно 5–7 фракциям. Коиммунопреципитация также показала, что белки MSL1, MSL2 и MSL3 достаточно эффективно копреципитируются из экстракта, не обработанного нуклеазами (рис. 2, а).
Рис. 1. Выявление компонентов КДК в сахарозном градиенте 10–40%. (а) Лизат без обработки нуклеазой, с VNC. (б) Лизат, обработанный РНКазой А. (в) Лизат, обработанный РНКазой III. Иммуноблот-а- нализ проведен с антителами, специфично узнаю- щими белки MSL1, MSL2, MSL3, MLE. Цифрами отмечены номера собранных фракций от 1 до 13 (от «тяжелой» к «легкой»).
Рис. 2. (а) Результаты иммунопреципитации ядерных экстрактов, выделенных из культуры клеток S2, с антителами, специфично узнающими белки MSL2 и MSL3, или с иммуноглобулинами G кролика (отрицательный контроль). Экстракты проходили 3 вида обработки: 1) без нуклеаз, обработаны неспецифичным ингибитором РНКаз VNC, 2) с добавлением РНКазы А, 3) с добавлением РНКазы III. Иммунопреципитаты анализировались при помощи иммуноблот-анализа на присутствие белка MSL1 в образцах. ‘input’ – исходный экстракт; IP-MSL2 – образец после иммунопреципитации антителами, специфично узнающими белок MSL2; IP-MSL3 – образец после иммунопреципитации антителами, специфично узнающими белок MSL3; IP-IgG – образец после иммунопреципитации иммуноглобулинами G кролика. (б) Выявление РНК roX2 во фракциях, полученных после аналитического ультрацентрифугирования в сахарозном градиенте 10-40% ядерного экстракта из культуры клеток S2. Пунктирной линией отмечен уровень фона. Стандартные отклонения построены по результатам четырех измерений.
Из аликвот фракций, полученных после ультрацентрифугирования ядерного лизата, не обработанного нуклеазами, выделялась РНК с последующей обратной транскрипцией для мониторинга количества некодирующей РНК roX в полученных фракциях методом количественной ПЦР с детекцией результатов в режиме реального времени c использованием праймеров и TaqMan-пробы к roX2. Праймеры к другой некодирующей РНК roX1 не использовались, так как в популяции S2-клеток данная нкРНК практически не экспрессируется [10]. В результате проведенного анализа (рис. 2, б) roX2 была выявлена во всех фракциях, но выраженный пик детектировался с 5 по 13.
После обработки экстракта РНКазой А в условиях, обеспечивающих специфичное расщепление одноцепочечной РНК, белки MSL1, MSL2 стали детектироваться почти во всех фракциях от тяжелых до легких, за исключением только самых легких 12 и 13 (Рис. 1б). Аналогичная картина была получена с MSL1 и MSL3 для образца, обработанного РНКазой III в условиях, обеспечивающих специфичное расщепление двуцепочечной РНК (рис. 1, в).
Для MSL3 после обработки РНКазой А наблюдался существенный сдвиг в сторону легких фракций. И только один белок, MLE, после обработки РНКазами практически полностью диссоциировал из комплекса и оказывался в самой легкой фракции.
Эксперименты по коиммунопреципитации белков из экстрактов, обработанных РНКазами А и III, показали сходные результаты (рис. 2, а). При иммунопреципитации антителами, специфично узнающими белок MSL3, белок MSL1 продолжает копреципитироваться с эффективностью, сходной с экстрактом, не обработанным нуклеазами. В то же время при иммунопреципитации антителами, специфично узнающими белок MSL2, детектируется примерно двукратное снижение уровня белка MSL1 в образцах иммунопреципитатов по сравнению с преципитатом из экстракта, не обработанного нуклеазами.
Полученные результаты свидетельствуют о том, что нкРНК roX не играет ключевую роль в поддержании целостности КДК. В то же время, так как наблюдаются изменения профилей распределения белков КДК по фракциям после обработки РНКазами и несколько меняется эффективность преципитации белков MSL1 и MSL2, можно предположить, что roX является одним из регуляторов стабилизации КДК. Ее удаление из предварительно собранного комплекса способно привести к полной диссоциации только белка MLE, что должно иметь фатальное значение in vivo, остальные компоненты остаются в виде полных или частично разобранных комплексов. В частности, по результатам иммунопреципитации можно предположить существование РНК-независимого субкомплекса MSL1-MSL3. Хотя можно предположить, что roX1 выполняет аналогичную функции в структуре КДК, исследование её роли требует отдельных экспериментов. Дальнейшие исследования в данной области необходимы для детального описания всех этапов сборки и разборки КДК.
БЛАГОДАРНОСТИ
Авторы благодарны Пирогову С.А. за помощь в проведении части экспериментов.
ИСТОЧНИК ФИНАНСИРОВАНИЯ
Исследование выполнено за счет Российского научного фонда, грант № 21-04-00211. В работе использовалось оборудование, приобретенное при финансовой поддержке Министерства образования и науки РФ в рамках соглашения № 075-15-2021-668.
КОНФЛИКТ ИНТЕРЕСОВ
Конфликт интересов отсутствует.
About the authors
V. A. Babosha
Institute of Gene Biology RAS
Author for correspondence.
Email: v.babosha@gmail.com
Russian Federation, Moscow
P. G. Georgiev
Institute of Gene Biology RAS
Email: v.babosha@gmail.com
Academician of the RAS
Russian Federation, MoscowO. G. Maksimenko
Institute of Gene Biology RAS
Email: maksog@mail.ru
Russian Federation, Moscow
References
- Samata M., Akhtar A. Dosage Compensation of the X Chromosome: A Complex Epigenetic Assignment Involving Chromatin Regulators and Long Noncoding RNAs // Annual Review of Biochemistry. 2018. Vol. 87. Dosage Compensation of the X Chromosome. № 1. P. 323–350.
- Kuroda M. I., Hilfiker A., Lucchesi J. C. Dosage Compensation in Drosophila-a Model for the Coordinate Regulation of Transcription // Genetics. 2016. V. 204. № 2. С. 435–450.
- Straub T., Grimaud C., Gilfillan G. D., et al. The chromosomal high-affinity binding sites for the Drosophila dosage compensation complex // PLoS genetics. 2008. V. 4. № 12. P. e1000302.
- Meller V. H., Rattner B. P. The roX genes encode redundant male-specific lethal transcripts required for targeting of the MSL complex // The EMBO Journal. 2002. V. 21. № 5. P. 1084–1091.
- Maenner S., Müller M., Fröhlich J., et al. ATP-dependent roX RNA remodeling by the helicase maleless enables specific association of MSL proteins // Molecular Cell. 2013. V. 51. № 2. P. 174–184.
- Ilik I. A., Quinn J. J., Georgiev P., et al. Tandem Stem Loops in roX RNAs Act Together to Mediate X Chromosome Dosage Compensation in Drosophila // Molecular cell. 2013. V. 51. № 2. P. 156–173.
- Li F., Schiemann A. H., Scott M. J. Incorporation of the noncoding roX RNAs alters the chromatin-binding specificity of the Drosophila MSL1/MSL2 complex // Molecular and Cellular Biology. 2008. V. 28. № 4. P. 1252–1264.
- Kelley R. L.,, Lee O.-K., Shim Y.-K. Transcription rate of noncoding roX1 RNA controls local spreading of the Drosophila MSL chromatin remodeling complex // Mechanisms of development. 2008. V. 125. № 11–12. P. 1009–1019.
- Morra R., Smith E. R., Yokoyama R., Lucchesi J. C. The MLE subunit of the Drosophila MSL complex uses its ATPase activity for dosage compensation and its helicase activity for targeting // Molecular and Cellular Biology. 2008. V. 28. № 3. P. 958–966.
- Johansson A.-M., Stenberg P., Larsson J. msl2 mRNA is bound by free nuclear MSL complex in Drosophila melanogaster // Nucleic Acids Research. 2011. V. 39. № 15. P. 6428–6439.
Supplementary files




