Neuronal and muscle differentiation of mammalian cells is accompanied by a change of PHF10 isoform expression
- Authors: Bayramova D.O.1,2, Azieva A.M.3, Feoktistov A.V.1,2, Georgieva S.G.1, Soshnikova N.V.1,2
-
Affiliations:
- Department of Transcription Factors, Engelhardt Institute of Molecular Biology, Russian Academy of Sciences
- Engelhardt Institute of Molecular Biology, Russian Academy of Sciences
- National Research Center "Kurchatov Institute"
- Issue: Vol 514, No 1 (2024)
- Pages: 96-100
- Section: Articles
- URL: https://medbiosci.ru/2686-7389/article/view/258952
- DOI: https://doi.org/10.31857/S2686738924010189
- EDN: https://elibrary.ru/KHXBYO
- ID: 258952
Cite item
Full Text
Abstract
The PBAF chromatin remodeling complex of the SWI/SNF family plays a critical role in the regulation of gene expression during tissue differentiation and organism development. The subunits of the PBAF complex have domains responsible for binding to N-terminal histone sequences. It determines the specificity of binding of the complex to chromatin. PHF10, a specific subunit of the PBAF complex, contains a DPF domain, which is a unique chromatin interaction domain. A PHF10 isoform that lacks the DPF domain is also present in vertebrate cells. This work shows that during neuronal and muscle differentiation of human and mouse cells, the expression of PHF10 isoforms changes: the form that does not have DPF replaces the form in which it is present. Replacement of PHF10 isoforms in the PBAF complex may affect its selectivity in the regulation of genes in differentiating cells.
Keywords
Full Text
Ремоделирование хроматина осуществляется специальными комплексами, которые изменяют положение нуклеосом относительно ДНК за счет энергии гидролиза АТФ. Среди них семейство комплексов типа SWI/SNF принимает участие в регуляции экспрессии генов [1]. Нокаут субъединиц комплекса является летальным для организма или приводит к дефектам развития определенных органов [2]. Семейство SWI/SNF включает в себя три типа комплексов, которые отличаются субъединичным составом: BAF, PBAF, GBAF [3]. Комплексы содержат порядка 10–12 субъединиц, из которых часть является общими, а другие специфичными для каждого из комплексов. Ряд субъединиц комплекса имеют домены, узнающие различные модификации N-концевых последовательностей гистонов, что определяет взаимодействие комплекса с конкретным районом хроматина [4].
Комплекс PBAF отличается от остальных комплексов семейства наличием модуля связывания хроматина, состоящего из четырех белков: BAF200, BAF180, BRD7 и PHF10. Каждый из этих белков содержит домены, распознающие модификации N-концов гистонов, что позволяет комплексу специфично локализоваться на хроматине.
Субъединица PHF10 играет важную роль в функционировании комплекса, так как нокаут гена PHF10 у мышей является эмбриональной леталью [5]. PHF10 имеет внутреннюю структурированную часть, состоящую из WHD домена и двух альфа-спиралей (рис. 1, а и б).
Ранее мы показали, что у PHF10 имеются изоформы, отличающиеся N- и C-концами (рис. 1, а) [6]. В результате старта с альтернативных промоторов белковые изоформы могут содержать (PHF10-Pl и PHF10-Sl) или не содержать (PHF10-Ps, PHF10-Ss) N-концевые 46 аминокислот. В результате альтернативной терминации С-конец изоформ оканчивается DPF-доменом (PHF10-Pl и PHF10-Ps, обобщенное название PHF10-P) или вместо него – сайтом конъюгирования SUMO1 – PDSM мотивом (PHF10-Sl и PHF10-Ss, обобщенное название PHF10-S). DPF принадлежит к группе PHD- доменов, взаимодействующих с N-концевыми последовательностями гистонов. DPF является уникальным доменом, присутствующим всего в нескольких белках [7]. Согласно моделированию DPF белка PHF10 способен связываться с H3K14ac N-концом гистона [8]. H3K14aс модификация характерна для активирующихся генов и локализуется на промоторах и кодирующей части генов [9].
Рис. 1. (а) Схема изоформ PHF10. Обозначены характерные домены и мотивы изоформ PHF10. (б) Предсказанная структура PHF10-Pl (Q8WUB8) согласно Alpha Fold database (https://alphafold.ebi.ac.uk/entry/Q8WUB8). (в) Экспрессия изоформ PHF10-P, PHF10-S и их соотношение в различных тканях человека согласно базе данных GTEx (The Genotype-Tissue Expression (GTEx) Project data). По оси ординат TPM (количество транскриптов на миллион прочтений в образце).
Помимо различной доменной организации изоформы имеют различные паттерны фосфорилирования. Более всего между собой отличаются PHF10-Pl и PHF10-Ss изоформы (рис. 1, а).
При миелоидной дифференцировке PHF10-P рекрутируются на промоторы специфических генов [10] и участвуют в привлечении РНК-полимеразы II [6]. Также для PHF10-P изоформ была показана важная роль в поддержании пролиферации нейрональных предшественников и фибробластов [11, 12]. Про роль PHF10-S изоформ известно гораздо меньше. Мы установили, что они включаются в комплекс PBAF альтернативно PHF10-P изоформам, фосфорилируются по другим аминокислотам и за счет этого гораздо стабильнее PHF10-P изоформ [13]. В большинстве клеточных линий онкогенного происхождения экспрессируются и PHF10-P и PHF10-S изоформы, что затрудняет изучение их функций.
В данной работе мы выяснили, что из всех тканей человека наиболее обогащенными PHF10-S изоформами являются нервная и мышечная ткани. Также мы показали, что при дифференцировке клеточных линий по нейрональному и мышечному пути начинают экспрессироваться PHF10-Ss изоформы и значительно снижается экспрессия PHF10-Pl изоформ. Это явление «переключения экспрессии изоформ» является консервативным процессом и наблюдается на человеческих и мышиных культурах нейрональных клеток.
Для изучения функциональных особенностей изоформ мы проанализировали экспрессию DPF- содержащих и не содержащих изоформ и их соотношение в различных тканях человека, представленных в GTEx (The Genotype-Tissue Expression Project data) базе данных (рис. 1, в) [14]. Оба типа изоформ экспрессируются практически во всех тканях и примерно на одном уровне. Однако в тканях мозга (кора больших полушарий и мозжечок на графике), сердца (предсердие и левый желудочек на графике) и в мышечных тканях (скелетные мышцы) экспрессия изоформ DPF- не содержащих изоформ (PHF10-S) преобладает.
Поскольку ранее было показано, что DPF-содержащая форма нужна для пролиферации клеток, мы предположили, что ее замена в тканях на изоформу, не содержащую DPF, может быть связана с дифференцировкой клеток. Для дальнейшего исследования связи этих процессов были выбраны несколько клеточных линий и проведена их дифференцировка. Линию человека SH-SY5Y нейронального происхождения дифференцировали в течение трех дней с помощью ATRA (all-trans retinoic acid) (10M) с последующим добавлением фактора BDNF (50нг/мл) в нейробазальной среде с добавлением 1x B27 и Глутамакса. На всем протяжении дифференцировки с помощью световой микроскопии фиксировали изменения клеточного фенотипа и постепенное формирование нейритов (рис. 2, б, левая панель). Также мы отбирали клетки, лизировали и проводили Вестерн-блоттинг с окрашиванием антителами к PHF10, узнающими все изоформы PHF10, полученными нами ранее [6]. Количество белка выравнивали по экспрессии тубулина (рис. 2, а, правая панель). Уже на пятый день мы детектировали уменьшение экспрессии DPF-содержащей изоформы PHF10-Ps изоформ и увеличение PHF10-Sl, которая не содержит DPF. Кроме того, началась экспрессия PHF10-Ss изоформы, которых не было в недифференцированных клетках. На десятый день мы переставали детектировать экспрессию PHF10-Pl и PHF10-Ps становилась еще меньше, однако значительно усиливалась экспрессия PHF10-Ss (рис. 2, а, правая панель). Таким образом, при нейрональной дифференцировке клеток человека мы наблюдали изменение экспрессии изоформ PHF10: PHF10-Pl переставала экспрессироваться, а PHF10-Ss начинала и вместе с PHF10-Sl становились преобладающими в дифференцированных SH-SY5Y-клетках.
Рис. 2. (а) и (б) Нейрональная дифференцировка клеток человека линии SH-SY5Y (А) и клеток мыши линии Neuro 2a (б): левая панель – визуализация с помощью негативного контрастирования фенотипа клеток в течение десяти дней дифференцировки; правая панель – Вестерн-блоттинг изоформ PHF10 без дифференцировки, в середине и по окончании дифференцировки. Изоформы обозначены справа. Слева показан маркер молекулярных масс – 55 и 70кДа. Окраска антителами к тубулину использовалась как контроль нанесения в обоих случаях.
Дифференцировку другой линии нейронального происхождения, клеток мыши Neuro2A проводили в течение десяти дней с помощью ATRA. Фенотип этих клеток несколько отличался от SH-SY5Y, однако они также давали нейриты и переставали делиться к концу дифференцировки (рис. 2, б, левая панель). Экспрессию изоформ Phf10 также детектировали с помощью Вестерн-блоттинга и окрашивания антителами против Phf10 (рис. 2, б, правая панель). К десятому дню дифференцировки мы также наблюдали прекращение экспрессии Phf10-Pl изоформы, увеличение экспрессии Phf10-Sl и мощную экспрессию изоформы Phf10-Ss. Однако в отличие от SH-SY5Y экспрессия Phf10-Ps не менялась, что возможно связано с тем, что некоторые процессы и сигнальные пути в культуре клеток Neuro2A могут отличаться от in vivo дифференцировки. В целом тенденция смены экспрессии изоформ Phf10-Pl на Phf10-Ss наблюдалась и в данных клетках мыши, что свидетельствует о консервативности молекулярных механизмов, регулирующих «переключение изоформ» и важности PHF10-Ss изоформ в нервной ткани млекопитающих.
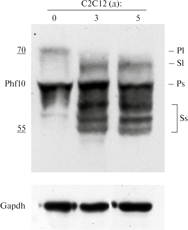
Также была проведена дифференцировка линии иммортализованных мышиных скелетных миобластов C2C12 по мышечному пути с помощью замены в клеточной среде 20 % бычьей сыворотки на 1 % лошадиную сыворотку [15]. Методом Вестерн-блоттинга уже на третий и на пятый дни дифференцировки были обнаружены изменения уровней экспрессии изоформ Phf10. Баланс изоформ смещался в сторону изоформ, не содержащих DPF: прекращалась экспрессия Phf10-Pl, а уровень Phf10-Ss и Phf10-Sl изоформ возрастал (рис. 3).
Рис. 3. Вестерн-блоттинг изоформ Phf10 в процессе миогенной дифференцировки клеток мыши линии С2С12. Изоформы обозначены справа. Слева показан маркер молекулярных масс – 55 и 70кДа. Окраска антителами к белку Gapgh использовалась как контроль нанесения.
Таким образом, при нейрональной и миогенной дифференцировке клеток млекопитающих (мыши и человека) происходит смена экспрессии изоформ PHF10. Изоформы, не содержащие DPF замещают изоформы с DPF-доменом. В частности, PHF10-Pl перестает экспрессироваться, и заменяется на PHF10-Ss изоформу, которая не детектируется в недифференцированных клетках, но становится преобладающей в конечно-дифференцированных клетках.
При дифференцировке клеток происходит изменения в транскрибирующихся генах: меняются их эпигенетические модификации, структура хроматина и организация в пространстве. Это приводит к тому, что экспрессия некоторых генов, в частности генов пролиферации, ингибируется и активируется экспрессия тканеспецифических генов. Ранее было показано, что некоторые субъединицы PBAF имеют гомологи, которые экспрессируются в определенных клетках и тканях [3]. Таким образом, состав комплексов SWI/SNF может быть специфичен для определенных типов клеток.
Изоформы PHF10 включаются в состав комплекса PBAF альтернативно и придают комплексу определенную специфичность в отношении хроматина, с которым комплекс предпочитает связываться. DPF домен изоформ PHF10-P потенциально связывает H3K14ac N-конец гистона [8]. H3K14aс локализуется на промоторах и кодирующей части генов и возникает на тканеспецифичных генах, в процессе активации их de novo [9]. PHF10-Ss изоформа не содержит этот домен, но вместо этого домена способна ковалентно конъюгировать SUMO1 [6]. SUMO1 может связываться с SIM мотивами (Sumo interaction motives) других белков. Помимо этого, PHF10-Pl и PHF10-Ss имеют разные паттерны фосфорилирования: у PHF10-Pl фосфорилирование более десяти серинов и треонинов в неструктурированной части N-конца PHF10, а у PHF10-Ss такому интенсивному фосфорилированию подвергается неструктурированная часть ближе к С-концу [13]. Разные модификации также могут способствовать избирательности комплекса PBAF, включающие разные изоформы, в отношении взаимодействующих белков и транскрипционных факторов.
ИСТОЧНИК ФИНАНСИРОВАНИЯ
Данная работа была поддержана грантом Российского фонда фундаментальных исследований (№ 21-14-00258).
КОНФЛИКТ ИНТЕРЕСОВ
Конфликт интересов отсутствует.
СОБЛЮДЕНИЕ ЭТИЧЕСКИХ СТАНДАРТОВ
Настоящая статья не содержит каких-либо исследований с использованием животных в качестве объектов.
About the authors
D. O. Bayramova
Department of Transcription Factors, Engelhardt Institute of Molecular Biology, Russian Academy of Sciences; Engelhardt Institute of Molecular Biology, Russian Academy of Sciences
Email: so2615@gmail.com
Russian Federation, Moscow; Moscow
A. M. Azieva
National Research Center "Kurchatov Institute"
Email: so2615@gmail.com
Russian Federation, Moscow
A. V. Feoktistov
Department of Transcription Factors, Engelhardt Institute of Molecular Biology, Russian Academy of Sciences; Engelhardt Institute of Molecular Biology, Russian Academy of Sciences
Email: so2615@gmail.com
Russian Federation, Moscow; Moscow
S. G. Georgieva
Department of Transcription Factors, Engelhardt Institute of Molecular Biology, Russian Academy of Sciences
Email: so2615@gmail.com
Academician of the RAS
Russian Federation, MoscowN. V. Soshnikova
Department of Transcription Factors, Engelhardt Institute of Molecular Biology, Russian Academy of Sciences; Engelhardt Institute of Molecular Biology, Russian Academy of Sciences
Author for correspondence.
Email: so2615@gmail.com
Russian Federation, Moscow; Moscow
References
- Moshkin Y. M., et al. // Mol Cell Biol. 2012. V. 32. № 3. P. 675–688.
- Sokpor G., et al. // Front Mol Neurosci. 2017. V. 10. P. 243.
- Centore R. S., et al // Trends Genet. 2020. V. 36. № 12. P. 936–950.
- Singh A., et al. // Cell Biochem Biophys. 2023. V. 81. № 2. P. 167–187.
- Krasteva V., et al. // Exp Hematol. 2017. V. 48. P. 58–71.
- Brechalov A. V., et al. // Cell Cycle. 2014. V. 13 № 12. P. 1970–1979.
- Soshnikova N. V., et al. // Acta Naturae. 2020. V. 12. № 4. P. 57–65.
- Chugunov A. O., et al. // Int J Mol Sci. 2021. V. 22. № 20.
- Regadas I., et al. // Mol Cell. 2021. Vol. 81. № 8. P. 1766–1780.
- Viryasova G. M., et al .// Biochim Biophys Acta Mol Cell Res. 2019. V. 1866. № 12. P. 118525.
- Lessard J., et al // Neuron. 2007. V. 55. № 2. P. 201–215.
- Banga S. S., et al. // Cytogenet Genome Res. 2009. V. 126. № 3. P. 227–242.
- Tatarskiy V. V.et al. // Sci Rep. 2017. V. 7. № 1. P. 5645.
- GTEx Consortium // Nat Genet. 2013. V. 45. № 6. P. 580–585.
- Jing L., et al. // Bio Protoc. 2012. V. 2. № 10.
Supplementary files





