Nasal Angiomyolipoma (Clinical Case)
- Авторлар: Shestopalova M.A.1, Galkina T.A.1, Lischuk S.V.1
-
Мекемелер:
- A.I. Burnasyan Federal Medical Biophysical Center
- Шығарылым: № 1 (2023)
- Беттер: 54-57
- Бөлім: CLINICAL OBSERVATIONS
- URL: https://medbiosci.ru/2782-6430/article/view/351486
- DOI: https://doi.org/10.33266/2782-6430-2023-1-54-57
- ID: 351486
Дәйексөз келтіру
Толық мәтін
Аннотация
Angiomyolipoma (AML) is a rare benign tumor originating from mesenchial tissue [1]. Most often, this tumor affects the kidneys and is 0.3–3% [1-3]. Extrarenal AML is observed very rarely (about 40 cases have been described in the literature). After the kidneys, AML is most often found in the liver, then in descending order: in the uterus, brain, vagina, penis, nasal cavity, hard palate, abdominal wall, fallopian tubes, spermatic cord, colon, retroperitoneal space. To date, 6 cases of AML of the nasal cavity have been officially registered [ ]. As a rule, they are hamartomic lesions containing smooth muscles, vascular network and mature adipose tissue. This article presents a clinical observation of a patient with such a rare pathology as AML of the nasal cavity. The use of a complex of histological and immunohistochemical diagnostic methods makes it possible to make the correct diagnosis
Негізгі сөздер
Толық мәтін
Доброкачественные новообразования полости носа — это группа патологических новообразований, локализирующихся в носу, которым не свойственно наличие метастазов и злокачественный рост. Такие новообразования могут образоваться из любых тканей, в отличие от сарком и карцином, их морфологическое происхождение можно определить при микроскопической диагностике.
Доброкачественные новообразования полости носа и околоносовых пазух вначале имеют бессимптомное течение [7]. По мере роста новообразования могут демонстрировать яркую клиническую картину по типу заложенности носа, дискомфорта в проекции пораженной пазухи, затруднения носового дыхания одной или двумя половинами носа, иногда носовое кровотечение и другие.
Диагностика доброкачественных патологических процессов в условиях современного оториноларингологического стационара не вызывает особого труда. В настоящее время наиболее предпочтителен метод мультиспиральной компьютерной томографии и 3D-компьютерной томографии околоносовых пазух [9]. Данный метод исследования помогает более детально определить локализацию патологического процесса, верифицировать последний, оценить границы образования, их соотношение с окружающими структурами, повреждение или разрушение прилежащих органов и тканей [8, 9] и составить более четкий план хода оперативного вмешательства [10]. При отсутствии необходимости хирургического лечения компьютерная томография позволяет также оценить эффективность консервативной терапии.
Как правило, лечение доброкачественных новообразований полости носа и околоносовых пазух (ОНП) в стадию клинических проявлений в основном хирургическое.
В данной статье представлено наше клиническое наблюдение за пациентом с редкой доброкачественной опухолью полости носа ангиомиолипомой полости носа.
Пациент Д., 70 лет, поступил в клинику в феврале 2022года с диагнозом: Доброкачественное новообразование полости носа. Медикаментозно-зависимый ринит. Деформация перегородки носа. Пациент был госпитализирован в оториноларингологическое отделение ГНЦ ФМБЦ им. А.И. Бурназяна ФМБА России для обследования и дальнейшего лечения.
На момент поступления пациент предъявлял жалобы на затруднение носового дыхания, заложенность носа, больше слева, выделения из носа с примесью крови, зависимость от деконгестантов. Из данных анамнеза известно, что жалобы беспокоят более 1 года. С целью облегчения носового дыхания на ночь использовал деконгестанты. В настоящее время эффект после деконгестантов значительно сократился по времени, использует до 2-3 раз за ночь и более 5 раз в течение дня. Консультирован врачом оториноларингологом. В ходе осмотра и по данным КТ ОНП диагностировано новообразование преддверия полости носа слева, в связи, с чем пациент был направлен для дальнейшего обследования и лечения в отделение оториноларингологии ГНЦ ФМБЦ им. А.И. Бурназяна ФМБА России.
При осмотре пациента в отделении: форма наружного носа и область ОНП не изменены, пальпация и перкуссия б/б. При эндоскопии полости носа отмечается, что слизистая оболочка полости носа розовая с явлениями субатрофии. В носовых ходах патологического отделяемого нет. Перегородка носа смещена влево от средней оси в передних отделах. Нижние носовые раковины пастозные, справа: гипертрофирована, при анемизации сокращается; слева: под нижней носовой раковиной определяется новообразование розового цвета, с бугристой поверхностью, в передних отделах покрыто геморрагическими корочками, на обозримом участке до 0.8см в диаметре. Носовое дыхание затруднено с обеих сторон, больше слева.
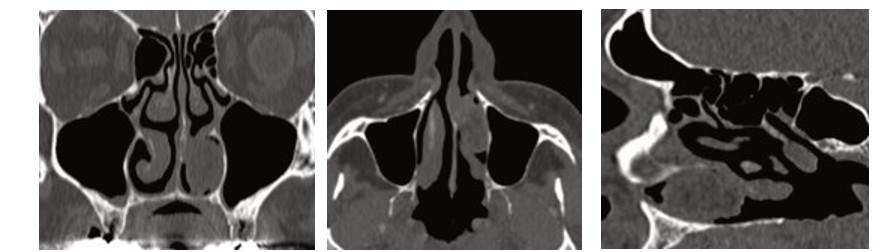
По данным КТ ОНП с в/в контрастированием в просвете нижнего носового хода слева (между медиальной костной стенкой верхнечелюстной пазухи и носовой перегородкой, сверху ограничена нижней носовой раковиной) определяется объемное образование неоднородной структуры с преобладанием жировой компоненты, обтурирует просвет, размеры: аксиальные 25,1˟11,4 мм, коронарный 22,5мм. При контрастировании отмечается неоднородное накопление контраста до +130 едН (преимущественно по контуру и в передних отделах), жировая компонента накапливает до +4 едН. В отсроченную фазу отмечается частичное вымывание контраста. Пневматизация ОНП не изменена, отмечается незначительное утолщение слизистой по нижней стенке правой верхнечелюстной пазухи толщиной до 3мм. Носовая перегородка выраженно отклонена влево на уровне среднего носового хода, в том числе за счет костного шипа до 7-8мм (рис. 1: а,б,в).
Учитывая данные осмотра и КТ ОНП с в/в контрастированием, жалобы и анамнез пациента, 28.02.22г. под эндотрахеальным наркозом (ЭТН) выполнено хирургическое вмешательство в объеме эндоскопического эндоназального удаления доброкачественного новообразования полости носа слева, кристотомия и двусторонняя подслизистая вазотомия нижних носовых раковин.
Макроскопически опухоль представлена узлом мягкоэластичной консистенции размером 2х1,5х1,2см. На разрезе ткань опухоли однородного желтоватого вида с белесоватой капсулой, толщиной до 0.2см.
Гистологическое описание: присланное полиповидное образование представлено тремя компонентами: разрастаниями зрелой жировой ткани, пучками гладких мышц и толстостенными сосудами с гиалинозом. По периферии образования определяется небольшой участок фиброзированной слизистой с диффузно-очаговой лимфоцитарной инфильтрацией, выстланный респираторным эпителием с плоскоклеточной метаплазией.
Описанные морфологические изменения более всего соответствуют ангиомиолипоме.
Для подтверждения диагноза проводится иммуногистохимическое (ИГХ) исследование. ИГХ исследование проводилось на срезах с парафинового блока на автоматическом иммуностейнере
Рис. 1. Компьютерная томография ОНП (а - фронтальная проекция; б - аксиальная проекция; в – сагиттальная проекция). Fig. 1. Computed tomography of the paranasal sinuses (a frontal projection; b axial projection; c sagittal projection).
Рис. 1. Гистологические микропрепараты:
2а полиповидное образование представлено тремя компонентами: разрастаниями зрелой жировой ткани, пучками гладких мышц и толстостенными сосудами (окраска Гематоксилин-Эозин, ув. х10);
2бтолстостенные сосуды с утолщенной стенкой за счет перицитарная компоновки пучков гладких гладких мышц (окраска Гематоксилин-Эозин, ув. х40);
2в новообразование частично покрыто респираторным эпителием, частично с эрозированной поверхностью (окраска Гематоксилин-Эозин, ув. х40);
2гновообразование частично покрыто респираторным эпителием, частично с эрозированной поверхностью (окраска Гематоксилин-Эозин, ув. х100);
2д SMA ИГХ экспрессия гладкомышечного актина (Smooth Muscle Actin) в утолщенных стенках сосудов. Fig. 2. Histological slides:
2a polypoid formation is represented by three components: growths of mature adipose tissue, smooth muscle bundles and thick-walled vessels (Hematoxylin-Eosin stain, magnification x10);
2b thick-walled vessels with a thickened wall due to the pericytic arrangement of bundles of smooth smooth muscles (Hematoxylin-Eosin stain, x40 magnification)
2c the neoplasm is partially covered with respiratory epithelium, partially with an eroded surface (Hematoxylin-Eosin stain, magnification x40);
2d the neoplasm is partially covered with respiratory epithelium, partially with an eroded surface (Hematoxylin-Eosin stain, magnification x100);
e SMA IHC expression of smooth muscle actin (Smooth Muscle Actin) in thickened vessel walls.
Ventana BenchMark Ultra c использованием антител к Melanosome(HMB45), MART-1/melan A(A103), Actin, Muscle (HUC1-1), CD117/c-KIT (9.7). Результаты: В гладкомышечном компоненте опухоли определяется выраженная экспрессия SM Actin. Тучные клетки экспрессируют CD117.В клетках опухоли отсутствует экспрессия: HMB45, Melan-A (рис.2: а,б,в,г,д).
С учетом морфологической картины и результатов ИГХ-исследования в присланном материале ангиомиолипома полости носа.
Послеоперационный период протекал без осложнений. Послеоперационная эластичная передняя тампонада носа удалена на 2-ые сутки после операции, силиконовые сплинты удалены на 3-и сутки после операции. В послеоперационном периоде пациент получал антибактериальную, обезболивающую, противоотечную и антикоагулянтную терапию, местно ирригационную терапию. Пациент выписан из стационара на 6-сутки в удовлетворительном состоянии с восстановленным носовым дыханием.
Заключение
Ангиомиолипома носа является достаточно редкой патологией. Представленное в данной статье собственное клиническое наблюдение демонстрирует возможности компьютерной томографии с внутривенным контрастным усилением в выявлении новообразований полости носа и их точной локализации, что позволило изначально предположить у пациента наличие доброкачественного новообразования. Хотя АМЛ является редким поражением, его следует учитывать при дифференциальной диагностике полиповидных образований в носу, особенно при одностороннем процессе.
Несмотря на все достоинства современных методов лучевой диагностики, окончательная верификация описанного патологического процесса возможна лишь при сочетании лучевых методов и комплексного морфологического исследования (гистологические и иммуногистохимические методы диагностики).
Авторлар туралы
M. Shestopalova
A.I. Burnasyan Federal Medical Biophysical Center
Хат алмасуға жауапты Автор.
Email: mayama05@rambler.ru
Moscow
T. Galkina
A.I. Burnasyan Federal Medical Biophysical Center
Email: mayama05@rambler.ru
Moscow
S. Lischuk
A.I. Burnasyan Federal Medical Biophysical Center
Email: mayama05@rambler.ru
Moscow
Әдебиет тізімі
- Fegan J.E., Shah H.R., Mukunyadzi P., et al. Extrarenal Retroperitoneal Angiomyolipoma // South Med. J. 1997. V.90, No. 1. P. 59-62.
- Oesterling J.E., Fishman E.K., Goldman S.M., Marshall F.F. The Management of Renal Angiomyolipoma // J. Urol. 1986. No. 135. P. 1121-1124.
- Stone C.H., Lee M.W., Amin M.B., et al. Renal Angiomyolipoma: Further Immunophenotypic Characterization of an Expanding Morphologic Spectrum // Arch. Pathol. Lab. Med. 2001. No. 125. P. 751-758.
- Eble J.N. Angiomyolipoma of Kidney // Semin. Diagn. Pathol. 1998. No. 15. P. 21.
- Perić A., Sotirović J., Folić M., Đurdević B.V. Angiomyolipoma Originating From the Nasal Vestibule: A Case Report // Ear Nose Throat J. 2021. doi: 10.1177/01455613211036241.
- Suna Erkiliç, N Emrah Koçer, Semih Mumbuç, Muzaffer Kanlikama. Nasal Angiomyolipoma // Acta Otolaryngol. 2005. V.125, No.4. P. 446-448.
- Pierse J.E., Stern A. Benign Cysts and Tumors of the Paranasal Sinuses // Oral and Maxillofacial Surgery Clinics of North America. 2012. V.24, No. 2. P. 249-264.
- Захарченко А.Н. Современные методики неинвазивной диагностики доброкачественных новообразований полости носа, околоносовых пазух и носоглотки // Российская оториноларингология. 2001. No 1. С. 51-55.
- Karpishchenko S.A., Osipenko E.V. Frontoethmoidal Osteoma: Diagnosis and Surgical Treatment // Folia Otorhinolaryngologiae et Pathologiae Respiratoriae. 2014. V.20, No. 4. P. 11-13.
- Зубарева А.А. Дифференциальная диагностика заболеваний околоносовых пазух с использованием магнитно-резонансной томографии // Российская оториноларингология. 2000. No 3. С. 125-130.
Қосымша файлдар


