An unknown situs viscerum inversus totalis, accidentally discovered after computed tomography
- Authors: Montatore M.1, Balbino M.1, Masino F.1, Ruggiero T.2, Guglielmi G.1,2,3
-
Affiliations:
- University of Foggia
- Dimiccoli Hospital
- Casa Sollievo della Sofferenza Hospital
- Issue: Vol 5, No 2 (2024)
- Pages: 370-378
- Section: Case reports
- URL: https://medbiosci.ru/DD/article/view/264846
- DOI: https://doi.org/10.17816/DD625432
- ID: 264846
Cite item
Abstract
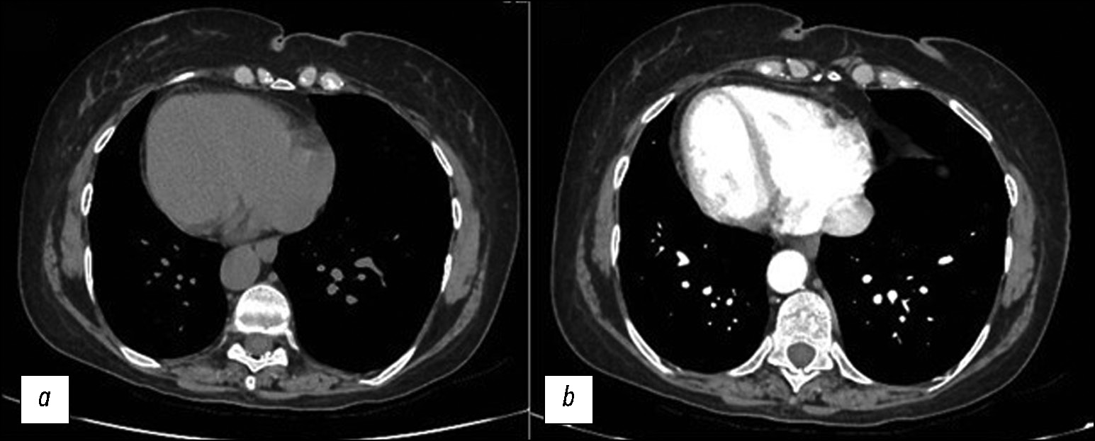
Benign situs inversus totalis of the viscerum is often diagnosed accidentally, rarely in adults, and more frequently in children and neonates, affecting both sexes. In this report, a young female patient accidentally discovered a situs inversus totalis after computed tomography for acute abdominal pain. In this uncommon anatomical abnormality, the major visceral organs are reversed in the opposite direction. This report highlights the importance of being aware of and considering situs inversus in clinical practice, particularly when interpreting imaging findings and planning medical procedures. This is critical for differential diagnosis and comorbidities that may affect those patients.
The cause of situs inversus totalis is still unknown; however, this condition is frequently asymptomatic, particularly in infants, and is sometimes associated with other syndromes. The patient arrived at the emergency department with left flank pain, nausea, and fever. In the first ultrasonography, a strange anatomy was suspected; thus, a contrasted computed tomography was performed. The patient had never had a computed tomography scan before. The identification of situs inversus totalis was unexpected and coincidental; the computed tomography images were carefully examined. In patients with chest or abdominal pain, clinicians may consider situs inversus totalis based on computed tomography, particularly if without clinical and imaging history. This knowledge can help in the differential diagnosis, avoiding unneeded interventions. Moreover, comorbidities that affect several systems, particularly cardiovascular and pulmonary systems, affect quite a few patients with situs inversus totalis, who require careful examination and lifelong monitoring.
Full Text
##article.viewOnOriginalSite##About the authors
Manuela Montatore
University of Foggia
Email: manuela.montatore@unifg.it
ORCID iD: 0009-0002-1526-5047
MD
Italy, FoggiaMarina Balbino
University of Foggia
Email: marinabalbino93@gmail.com
ORCID iD: 0009-0009-2808-5708
MD
Italy, FoggiaFederica Masino
University of Foggia
Email: federicamasino@gmail.com
ORCID iD: 0009-0004-4289-3289
MD
Italy, FoggiaTupputi Ruggiero
Dimiccoli Hospital
Email: rutudott@gmail.com
MD
Italy, BarlettaGiuseppe Guglielmi
University of Foggia; Dimiccoli Hospital; Casa Sollievo della Sofferenza Hospital
Author for correspondence.
Email: giuseppe.guglielmi@unifg.it
ORCID iD: 0000-0002-4325-8330
MD, Professor
Italy, Foggia; Barletta; FoggiaReferences
- Spoon JM. Situs inversus totalis. Neonatal Netw. 2001;20(1):59–63. doi: 10.1891/0730-0832.20.1.63
- Eitler K, Bibok A, Telkes G. Situs Inversus Totalis: A Clinical Review. Int J Gen Med. 2022;15:2437–2449. doi: 10.2147/IJGM.S295444
- Tsoucalas G, Thomaidis V, Fiska A. Situs inversus Totalis: Always recall the uncommon. Clin Case Rep. 2019;7(12):2575–2576. doi: 10.1002/ccr3.2433
- Hernanz-Schulman M. Situs inversus? N Engl J Med. 1994;331(3):205. doi: 10.1056/NEJM199407213310317
- Chen XQ, Lin SJ, Wang JJ, et al. “Reverse life”: A rare case report of situs inversus totalis combined with cardiac abnormalities in a young stroke. CNS Neurosci Ther. 2022;28(9):1458–1460. doi: 10.1111/cns.13879
- Chudnoff J, Shapiro H. Two cases of complete stius inversus. Anat. Rec. 2005;74(2):189–194. doi: 10.1002/ar.1090740207
- Baillie M. An Account of a Remarkable Transposition of the Viscera in the Human Body. Lond Med J. 1789;10(Pt 2):178–197.
- Taussig HB. Congenital Malformations of the Heart. New York: Commonwealth Fund; 1948.
- Choe YH, Kim YM, Han BK, Park KG, Lee HJ. MR imaging in the morphologic diagnosis of congenital heart disease. Radiographics. 1997;17(2):403–422. doi: 10.1148/radiographics.17.2.9084081
- Chen W, Guo Z, Qian L, Wang L. Comorbidities in situs inversus totalis: A hospital-based study. Birth Defects Res. 2020;112(5):418–426. doi: 10.1002/bdr2.1652
- Cholst MR. Discrepancies in pain and symptom distribution; position of the testicles as a diagnostic sign in situs inversus totalis. Am. J. Surg. 1947;73(1):104–107. doi: 10.1016/0002-9610(47)90297-3
- Mayo CW, Rice RG. A statistical review of seventy-six cases of situs inversus totalis with special reference to biliary disease. Tr. West. 1948;56:188.
- Pipal DK, Pipal VR, Yadav S. Acute Appendicitis in Situs Inversus Totalis: A Case Report. Cureus. 2022;14(3):e22947. doi: 10.7759/cureus.22947
- Mayo CW, Rice RG. Situs inversus totalis: a statistical review of data on 76 cases with special reference to disease of the biliary tract. Arch Surg (1920). 1949;58(5):724–730.
- Borude S, Jadhav S, Shaikh T, Nath S. Laparoscopic sleeve gastrectomy in partial situs inversus. J Surg Case Rep. 2012;2012(5):8. doi: 10.1093/jscr/2012.5.8
- Blegen HM. Surgery in situs inversus. Ann. Surg. 1949;129(2):244–259. doi: 10.1097/00000658-194902000-00009
- Block FB, Michael MA. Acute appendicitis in complete transposition of viscera: report of a case with symptoms referable to right side mechanism of pain in visceral diseases. Ann. Surg. 1938;107(4):511–516. doi: 10.1097/00000658-193804000-00005
Supplementary files









