Detecting new lung cancer cases using artificial intelligence: clinical and economic evaluation of a retrospective analysis of computed tomography scans 2 years after the COVID-19 pandemic
- Authors: Zukov R.A.1,2, Safontsev I.P.1,2, Klimenok M.P.2, Zabrodskaya T.E.2, Merkulova N.A.2, Chernina V.Y.3, Belyaev M.G.3, Goncharov M.Y.3,4,5, Omelyanovskiy V.V.6,7,8, Ulianova K.A.9, Soboleva E.A.3,5, Blokhina M.E.10, Nalivkina E.A.10, Gombolevskiy V.A.3,4,11,12
-
Affiliations:
- Professor V.F. Voino-Yasenetsky Krasnoyarsk State Medical University
- Krasnoyarsk Regional Clinical Oncological Dispensary named after A.I. Kryzhanovskogo
- IRA Labs
- Artificial Intelligence Research Institute AIRI
- Skolkovo Institute of Science and Technology
- Center for Expertise and Quality Control of Medical Care
- Russian Medical Academy of Continuous Professional Education
- Financial Research Institute
- Ministry of Health of the Russian Federation
- AstraZeneca Pharmaceuticals LLC
- World-Class Research Center «Digital biodesign and personalized healthcare»
- Sechenov First Moscow State Medical University
- Issue: Vol 5, No 4 (2024)
- Pages: 725-739
- Section: Original Study Articles
- URL: https://medbiosci.ru/DD/article/view/309832
- DOI: https://doi.org/10.17816/DD630885
- ID: 309832
Cite item
Abstract
BACKGROUND: Chest computed tomography (CT) is the main modality used to diagnose lung lesions caused by COVID-19 infection. Since 2020, the use of this modality in the Krasnoyarsk krai has increased. However, the incidence of lung cancer decreased by 5.2%. The current situation has raised concerns about missing radiographic signs typical of lung cancer and has stimulated the search for new diagnostic modalities using artificial intelligence (AI) for data analysis.
AIM: The aim of the study was to evaluate the feasibility of using an AI algorithm to search for lung nodules based on chest CT data obtained during the COVID-19 pandemic to identify lung cancer.
MATERIALS AND METHODS: The retrospective study included chest CT scans of patients from Krasnoyarsk krai diagnosed with COVID-19 reported in the PACS base between 1 November 2020 and 28 February 2021. The interval between chest CT and AI analysis ranged from two years and one month to two years and five months. Chest-IRA algorithm was used. AI detected lung nodules with a volume greater than 100 mm3. The radiologists divided the results into three groups based on the potential for lung cancer. The assessment of the economic benefits of using the AI algorithm considered the cost of wages and savings in the treatment of early stage lung cancer, which affects gross regional product.
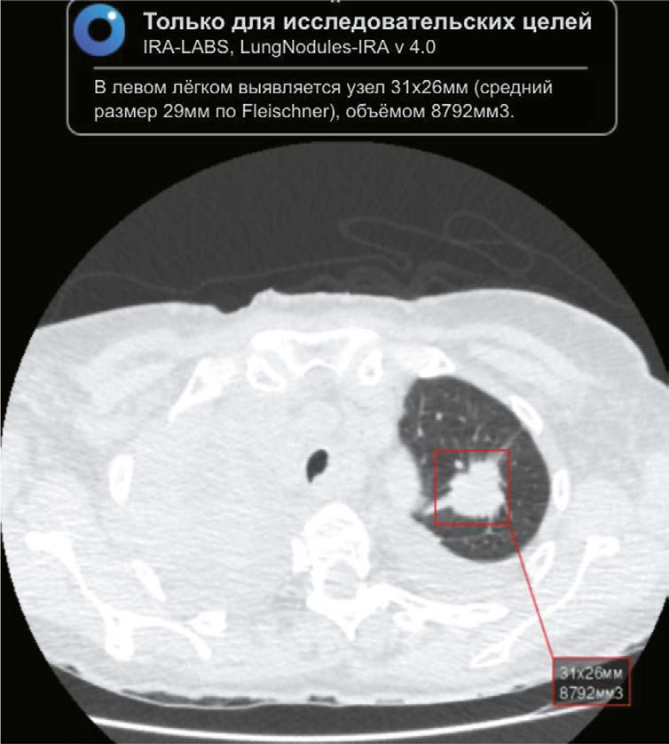
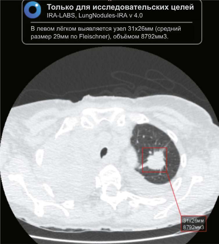
RESULTS: The AI algorithm identified nodules in 484 out of 10,500 CT scans. A total of 192 patients with a high potential for lung cancer, 103 with no signs and 60 with inconclusive signs were identified, and 112 patients with a high and moderate potential for lung cancer did not seek medical care. AI confirmed 100 (28.2%) histologically proven cases of lung cancer, with stages I–II detected in 35%.
Using AI instead of radiologists would save 25 months and 4 days of work, which is equal to 2 million 430 thousand rubles. Expected budget savings due to early detection of lung cancer vary from 10 million 600 thousand to 12 million 500 thousand rubles for each 10,500 CTs. The total economic effect for a five year period would be from 259 million 400 thousand rubles to 305 million 100 thousand rubles.
CONCLUSIONS: The use of AI to evaluate chest CT scans demonstrates high performance in identifying lung nodules, including those in patients with COVID-19, confirming its potential use for early detection of incidental lung nodules that might otherwise be missed.
Full Text
##article.viewOnOriginalSite##About the authors
Ruslan A. Zukov
Professor V.F. Voino-Yasenetsky Krasnoyarsk State Medical University; Krasnoyarsk Regional Clinical Oncological Dispensary named after A.I. Kryzhanovskogo
Author for correspondence.
Email: zukov_rus@mail.ru
ORCID iD: 0000-0002-7210-3020
SPIN-code: 3632-8415
MD, Dr. Sci. (Medicine), Professor
Russian Federation, Krasnoyarsk; KrasnoyarskIvan P. Safontsev
Professor V.F. Voino-Yasenetsky Krasnoyarsk State Medical University; Krasnoyarsk Regional Clinical Oncological Dispensary named after A.I. Kryzhanovskogo
Email: sip@onkolog24.ru
ORCID iD: 0000-0002-8177-6788
SPIN-code: 1548-5565
MD, Cand. Sci. (Medicine), Assoc. Prof., Depart. of Oncology and Radiation Therapy with a Postgraduate Course, Deputy Head Physician
Russian Federation, Krasnoyarsk; KrasnoyarskMarina P. Klimenok
Krasnoyarsk Regional Clinical Oncological Dispensary named after A.I. Kryzhanovskogo
Email: klimenokmp@onkolog24.ru
ORCID iD: 0009-0001-7849-0770
SPIN-code: 7179-8793
MD
Russian Federation, KrasnoyarskTatyana E. Zabrodskaya
Krasnoyarsk Regional Clinical Oncological Dispensary named after A.I. Kryzhanovskogo
Email: ZabrodskayaTE@onkolog24.ru
ORCID iD: 0000-0003-4987-5222
SPIN-code: 8365-3582
MD
Russian Federation, KrasnoyarskNatalya A. Merkulova
Krasnoyarsk Regional Clinical Oncological Dispensary named after A.I. Kryzhanovskogo
Email: MerkulovaNA@onkolog24.ru
ORCID iD: 0009-0006-9254-1331
MD
Russian Federation, KrasnoyarskValeria Yu. Chernina
IRA Labs
Email: v.chernina@ira-labs.com
ORCID iD: 0000-0002-0302-293X
SPIN-code: 8896-8051
MD
Russian Federation, MoscowMikhail G. Belyaev
IRA Labs
Email: belyaevmichel@gmail.com
ORCID iD: 0000-0001-9906-6453
SPIN-code: 2406-1772
Cand. Sci. (Physics and Mathematics)
Russian Federation, MoscowMikhail Yu. Goncharov
IRA Labs; Artificial Intelligence Research Institute AIRI; Skolkovo Institute of Science and Technology
Email: mig0nch@yandex.ru
ORCID iD: 0009-0009-8417-0878
Russian Federation, Moscow; Moscow; Moscow
Vitaly V. Omelyanovskiy
Center for Expertise and Quality Control of Medical Care; Russian Medical Academy of Continuous Professional Education; Financial Research Institute
Email: vvo@rosmedex.ru
ORCID iD: 0000-0003-1581-0703
SPIN-code: 1776-4270
MD, Dr. Sci. (Medicine), Professor
Russian Federation, Moscow; Moscow; MoscowKsenia A. Ulianova
Ministry of Health of the Russian Federation
Email: UlyanovaKA@minzdrav.gov.ru
ORCID iD: 0000-0002-3462-0123
SPIN-code: 6491-6072
Russian Federation, Moscow
Evgenia A. Soboleva
IRA Labs; Skolkovo Institute of Science and Technology
Email: e.soboleva@ira-labs.com
ORCID iD: 0009-0009-4037-6911
Russian Federation, Moscow; Moscow
Maria E. Blokhina
AstraZeneca Pharmaceuticals LLC
Email: mariya.blokhina@astrazeneca.com
ORCID iD: 0009-0002-9008-9485
MD
Russian Federation, MoscowElena A. Nalivkina
AstraZeneca Pharmaceuticals LLC
Email: elena.nalivkina@astrazeneca.com
ORCID iD: 0009-0003-5412-9643
Russian Federation, Moscow
Victor A. Gombolevskiy
IRA Labs; Artificial Intelligence Research Institute AIRI; World-Class Research Center «Digital biodesign and personalized healthcare»; Sechenov First Moscow State Medical University
Email: gombolevskii@gmail.com
ORCID iD: 0000-0003-1816-1315
SPIN-code: 6810-3279
MD, Cand. Sci. (Medicine)
Russian Federation, Moscow; Moscow; Moscow; MoscowReferences
- Siegel RL, Miller KD, Jemal A. Cancer statistics, 2020. CA Cancer J Clin. 2020;70(1):7–30. doi: 10.3322/caac.21590
- Kaprin AD, Starinsky VV, Shakhzadova AO, editors. Malignant neoplasms in Russia in 2021 (morbidity and mortality). Moscow: P. Herzen MORI – the branch of the FSBI NMRRC of the Ministry of Health of the Russian Federation, 2022. (In Russ).
- Сhest-IRA [Internet]; 2020. [cited 2024 May 16]. Available from: https://mosmed.ai/service_catalog/chestira/
- Morozov SP, Vladzimirsky AV, Klyashtorny VG, et al. Clinical trials of software based on intelligent technologies (Radiology). Series «Best Practices of Radiology and Instrumental Diagnostics». N 56. Moscow: SBHI «SPCC for DTT of MHD», 2019. (In Russ).
- Armato SG 3rd, McLennan G, Bidaut L, et al. The lung image database consortium (LIDC) and image database resource initiative (IDRI): a completed reference database of lung nodules on CT scans. Med Phys. 2011;38(2):915–931. doi: 10.1118/1.3528204
- Goncharov M, Pisov M, Shevtsov A, et al. CT-Based COVID-19 triage: dep multitask learning improves joint identification and severity quantification. Med Image Anal. 2021;71:102054. doi: 10.1016/j.media.2021.102054
- MacMahon H, Naidich DP, Goo JM, et al. Guidelines for management of incidental pulmonary nodules detected on CT images: from the Fleischner Society 2017. Radiology. 2017;284(1):228–243. doi: 10.1148/radiol.2017161659
- Rate agreement of the compulsory medical system of Krasnoyarsk Territory. In: territorial fund of compulsory medical insurance; 2012– [cited 2024 May 16]. Available from: https://www.krasmed.ru/content/18137/page.html
- Kaprin AD, Starinsky VV, Shakhzadova AO. State of oncological care for the Russian population in 2021. Moscow: P. Herzen MORI — the branch of the FSBI NMRRC of the Ministry of Health of the Russian Federation, 2022. (In Russ).
- National Lung Screening Trial Research Team. Reduced lung cancer mortality with low dose computed tomographic screening. N Engl J Med. 2011;365(5):395–409. doi: 10.1056/NEJMoa1102873
- Gusamova NV, Komleva MI, Saphontsev IP, et al. Lung cancer screening by LDCT. Results for 2015–2017 years RSBHCI «Krasnoyarsk Regional Clinical Oncological Dispensary named after A.I. Kryzhanovsky». In: Modern achievements of oncology in clinical practice. Proceedings of the All Russian scientific and practical conference. Krasnoyarsk, 2018. P. 54–57. (In Russ).
- Ardila D, Kiraly AP, Bharadwaj S, et al. End to end lung cancer screening with three dimensional deep learning on low dose chest computed tomography. Nat Med. 2019;25(6):954–961. doi: 10.1038/s41591-019-0447-x
- Goncalves S, Fong PC, Blokhina M. Artificial intelligence for early diagnosis of lung cancer through incidental nodule detection in low and middle income countries acceleration during the COVID-19 pandemic but here to stay. Am J Cancer Res. 2022;12(1):1–16.
- Graf M, Makowski M, Gawlitza J, Gassert F. Cost–effectiveness of artificial intelligence support in computed tomography–based lung cancer screening. Cancers (Basel). 2022;14(7):1729. doi: 10.3390/cancers14071729
Supplementary files









