Hypoplasia of the inferior vena cava with hypertrophic azygos/hemiazygos and collateral venous circles of the abdomen: a case report
- Authors: Montatore M.1, Muscatella G.1, Masino F.1, Ricatti G.2, Balbino M.1, Gifuni R.1, Guglielmi G.1,2,3
-
Affiliations:
- Foggia University School of Medicine
- «Monsignor Raffaele Dimiccoli» Hospital
- IRCCS Casa Sollievo della Sofferenza Hospital
- Issue: Vol 5, No 4 (2024)
- Pages: 902-910
- Section: Case reports
- URL: https://medbiosci.ru/DD/article/view/309845
- DOI: https://doi.org/10.17816/DD630215
- ID: 309845
Cite item
Abstract
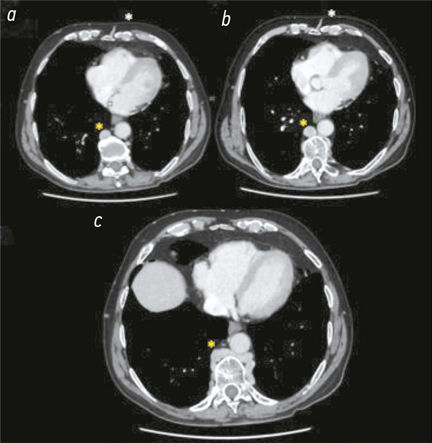
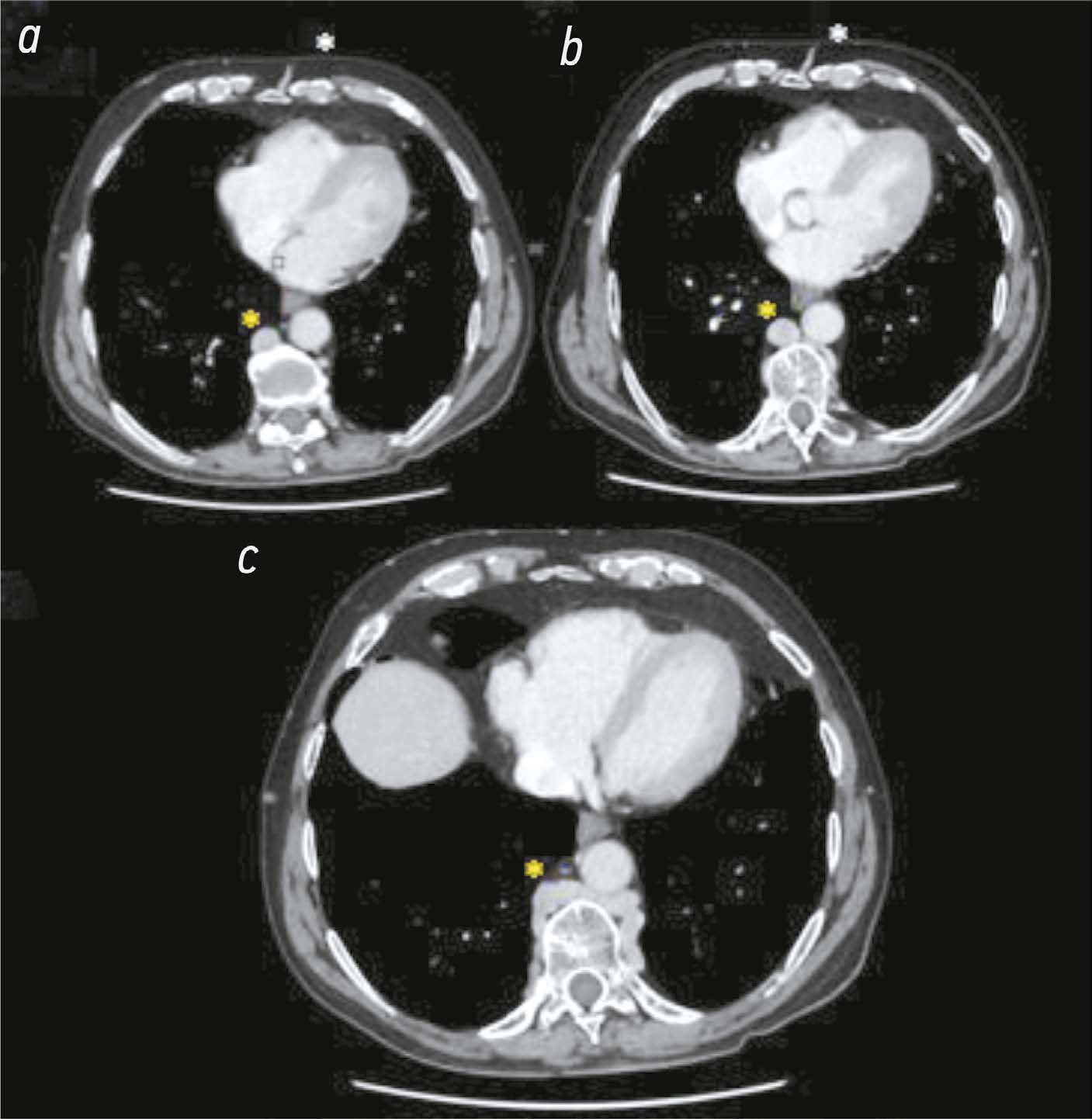
Hypoplasia of the inferior vena cava is a rare congenital vascular defect with various forms; thus, identifying a specific anatomical variant in the literature is challenging. In some cases, the inferior vena cava may also be interrupted. Herein, we present a unique case of of an unknown subrenal hypoplasia of the inferior vena cava with azygos and hemiazygos hypertrophy and the creation of several collateral circles, particularly in the anterior wall of the abdomen, in an asymptomatic 75 year old man. This report not only describes this unusual instance but also quickly demonstrates the variations of the venous system in the abdomen, particularly on the right side, and the inferior vena cava and the azygos system, and explains the significance of imaging in recognizing vascular anomalies. The case was explored using a multiphase computed tomography technique, which correctly identified this complex vascular anomaly. The patient had never experienced symptoms associated with the same vascular defect previously. Moreover, his symptoms did not appear to be related; therefore, a periodic follow up was recommended.
Full Text
##article.viewOnOriginalSite##About the authors
Manuela Montatore
Foggia University School of Medicine
Author for correspondence.
Email: manuela.montatore@unifg.it
ORCID iD: 0009-0002-1526-5047
MD
Italy, FoggiaGianmichele Muscatella
Foggia University School of Medicine
Email: muscatella94@gmail.com
ORCID iD: 0009-0004-3535-5802
MD, Department of Clinical and Experimental Medicine
Italy, FoggiaFederica Masino
Foggia University School of Medicine
Email: federicamasino@gmail.com
ORCID iD: 0009-0004-4289-3289
Department of Clinical and Experimental Medicine, MD
Italy, FoggiaGiovanni Ricatti
«Monsignor Raffaele Dimiccoli» Hospital
Email: g.ricatti@live.com
ORCID iD: 0009-0006-7620-1011
MD
Italy, BarlettaMarina Balbino
Foggia University School of Medicine
Email: marinabalbino93@gmail.com
ORCID iD: 0009-0009-2808-5708
MD, Department of Clinical and Experimental Medicine
Italy, FoggiaRossella Gifuni
Foggia University School of Medicine
Email: rossella.gifuni@unifg.it
ORCID iD: 0009-0009-9679-3861
MD, Department of Clinical and Experimental Medicine
Italy, FoggiaGiuseppe Guglielmi
Foggia University School of Medicine; «Monsignor Raffaele Dimiccoli» Hospital; IRCCS Casa Sollievo della Sofferenza Hospital
Email: giuseppe.guglielmi@unifg.it
ORCID iD: 0000-0002-4325-8330
MD, Professor, Department of Clinical and Experimental Medicine
Italy, Foggia; Barletta; Giovanni RotondoReferences
- Koudounas G, Giannopoulos S, Volteas P, Virvilis D. A unique case of hypoplastic inferior vena cava leading to bilateral iliofemoral venous outflow obstruction and review of literature. J Vasc Surg Cases Innov Tech. 2022;8(4):842–849. doi: 10.1016/j.jvscit.2022.10.010
- Ghandour A, Partovi S, Karuppasamy K, Rajiah P. Congenital anomalies of the IVC–embryological perspective and clinical relevance. Cardiovasc Diagn Ther. 2016;6(6):482–492. doi: 10.21037/cdt.2016.11.18
- Li SJ, Lee J, Hall J, Sutherland TR. The inferior vena cava: anatomical variants and acquired pathologies. Insights Imaging. 2021;12(1):123. doi: 10.1186/s13244-021-01066-7
- Masino F, Muscatella G, Montatore M, et al. A remarkable case report of an interrupted inferior vena cava with hemiazygos and transhepatic continuation. Acta Biomed. 2023;94(5):e2023238. doi: 10.23750/abm.v94i5.15085
- Vignesh S, Bhat TA. Unique Medley of Cardinal Veins: Duplicated Superior and Inferior Venae Cavae With Left Renal Agenesis and Hemiazygos Continuation of Left Inferior Vena Cava With Draiage Into Left Atrium. Vasc Endovascular Surg. 2022;56(3):330–334. doi: 10.1177/15385744211051493
- Liu Y, Guo D, Li J, et al. Radiological features of azygos and hemiazygos continuation of inferior vena cava: A case report. Medicine (Baltimore). 2018;97(17):e0546. doi: 10.1097/MD.0000000000010546
- Chen S. J, Wu M. H, Wang J. K. Clinical implications of congenital interruption of inferior vena cava. J Formos Med Assoc. 2022;121(10):1938–1944. doi: 10.1016/j.jfma.2022.01.021
- Morosetti D, Picchi E, Calcagni A, et al. Anomalous development of the inferior vena cava: Case reports of agenesis and hypoplasia. Radiol Case Rep. 2018;13(4):895–903. doi: 10.1016/j.radcr.2018.04.018
- Sneed D, Hamdallah I, Sardi A. Absence of the Retrohepatic Inferior Vena Cava: What the Surgeon Should Know. Am Surg. 2005;71(6):502–504. doi: 10.1177/00031348050710061
- Sahin H, Pekcevik Y, Aslaner R. Double Inferior Vena Cava (IVC) With Intrahepatic Interruption, Hemiazygos Vein Continuation, and Ivenous Shunt. Vasc Endovascular Surg. 2017;51(1):38–42. doi: 10.1177/1538574416687734
- Demos TC, Posniak HV, Pierce KL, et al. Venous anomalies of the thorax. AJR Am J Roentgenol. 2004;182(5):1139–1150. doi: 10.2214/ajr.182.5.1821139
- Koc Z, Oguzkurt L. Interruption or congenital stenosis of the inferior vena cava: prevalence, imaging, and clinical findings. Eur J Radiol. 2007;62(2):257–266. doi: 10.1016/j.ejrad.2006.11.028
- Mandato Y, Pecoraro C, Gagliardi G, Tecame M. Azygos and hemiazygos continuation: An occasional finding in emergency department. Radiol Case Rep. 2019;14(9):1063–1068. doi: 10.1016/j.radcr.2019.06.003
- Holemans JA. Azygos, not azygous. AJR Am J Roentgenol. 2001;176(6):1602–1602. doi: 10.2214/ajr.176.6.1761602b
Supplementary files






