Radiological evaluation of a calyceal diverticulum presenting with hematuria
- Authors: Masino F.1, Montatore M.1, Eusebi L.2, Gifuni R.1, Muscatella G.1, Balbino M.1, Sortino G.2, Pitoni L.2, Guglielmi G.1,3,4
-
Affiliations:
- Foggia University School of Medicine
- Carlo Urbani Hospital
- Dimiccoli Hospital
- IRCCS Casa Sollievo della Sofferenza Hospital
- Issue: Vol 5, No 3 (2024)
- Pages: 592-600
- Section: Reviews
- URL: https://medbiosci.ru/DD/article/view/310040
- DOI: https://doi.org/10.17816/DD623209
- ID: 310040
Cite item
Full Text
Abstract
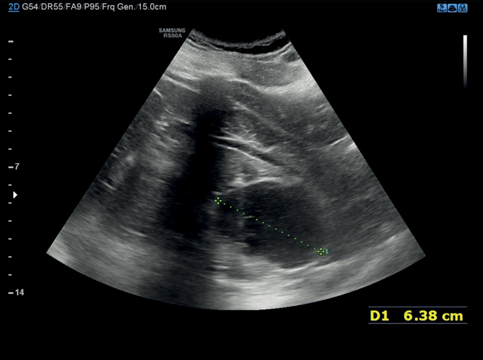
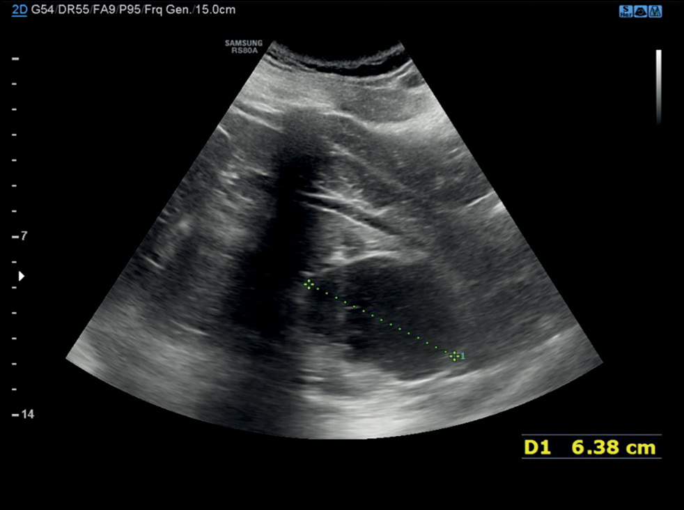
Calyceal diverticula, also known as pyelogenic cysts, are a relatively uncommon condition, which is usually asymptomatic and incidentally diagnosed during routine imaging. In some cases, they may lead to concerning symptoms such as hematuria and flank pain, mimicking a renal tumor. In this case report, the patient suffered from hematuria that was initially suspected as a renal malignancy but was ultimately attributed to a calyceal diverticulum. The presented case allows evaluating one of the rarest and underestimated causes of hematuria and describes the main imaging features of calyceal diverticula. In particular, ultrasonography, computed tomography urography, dual-energy computed tomography, and magnetic resonance urography were performed. Subsequently, this case report also serves an educational purpose.
Keywords
Full Text
##article.viewOnOriginalSite##About the authors
Federica Masino
Foggia University School of Medicine
Email: federicamasino@gmail.com
ORCID iD: 0009-0004-4289-3289
MD
Italy, FoggiaManuela Montatore
Foggia University School of Medicine
Email: manuela.montatore@unifg.it
ORCID iD: 0009-0002-1526-5047
MD
Italy, FoggiaLaura Eusebi
Carlo Urbani Hospital
Email: lauraeu@virgilio.it
ORCID iD: 0000-0002-4172-5126
MD
Italy, JesiRossella Gifuni
Foggia University School of Medicine
Email: rossella.gifuni@gmial.com
ORCID iD: 0009-0009-9679-3861
MD
Italy, FoggiaGianmichele Muscatella
Foggia University School of Medicine
Email: muscatella94@gmail.com
ORCID iD: 0009-0004-3535-5802
MD
Italy, FoggiaMarina Balbino
Foggia University School of Medicine
Email: marinabalbino93@gmail.com
ORCID iD: 0009-0009-2808-5708
MD
Italy, FoggiaGiuseppe Sortino
Carlo Urbani Hospital
Email: giuseppesortino@live.it
MD
Italy, JesiLucia Pitoni
Carlo Urbani Hospital
Email: lucia.pitoni22@gmail.com
ORCID iD: 0000-0002-8419-090X
MD
Italy, JesiGiuseppe Guglielmi
Foggia University School of Medicine; Dimiccoli Hospital; IRCCS Casa Sollievo della Sofferenza Hospital
Author for correspondence.
Email: giuseppe.guglielmi@unifg.it
ORCID iD: 0000-0002-4325-8330
MD, Professor
Italy, Foggia; Barletta; San Giovanni RotondoReferences
- Zhao Y, Zhang R, Yun Y, et al. A case report of renal calyceal diverticulum with hypertension in children and review of literature. BMC pediatrics. 2022;22(1):35. doi: 10.1186/s12887-021-03081-5
- Zhang R, Shen W, Li X, et al. A Petal-like Calyceal Diverticulum. Urology. 2015;86(6):e31–e32. doi: 10.1016/j.urology.2015.09.003
- Zhang Z, Zhang Y, Wang X, et al. Challenges in the diagnosis of calyceal diverticulum: A report of two cases and review of the literature. Journal of X-ray science and technology. 2020;27(6):1155–1167. doi: 10.3233/XST-190549
- Waingankar N, Hayek S, Smith AD, Okeke Z. Calyceal diverticula: a comprehensive review. Reviews in urology. 2014;16(1):29–43.
- Kurkov AV, Pominalnaya VM, Nechay VV, et al. A Case Report of Calyceal Diverticulum: Differential Diagnosis for Organ-Preserving Operations. Frontiers in surgery. 2021;8:731796. doi: 10.3389/fsurg.2021.731796
- Montatore M, Muscatella G, Eusebi L, et al. Current Status on New Technique and Protocol in Urinary Stone Disease. Current Radiology Reports. 2023;11:161–176. doi: 10.1007/s40134-023-00420-5
- Eusebi L, Masino F, Gifuni R, et al. Role of Multiparametric-MRI in Bladder Cancer. Current Radiology Reports. 2023;11:69–80. doi: 10.1007/s40134-023-00412-5
Supplementary files







