Clinical case of a Erythroderma induced by fibrogastroduodenoscopy
- Authors: Sidikov A.A.1, Zaslavsky D.V.1, Egorova Y.S.1, Chuprov I.N.2, Gurkovskaya Y.Y.3, Fomenko M.N.3, Zubatov M.A.1, Nasyrov R.A.1, Grekova E.V.4
-
Affiliations:
- St. Petersburg State Pediatric Medical University
- North-Western State Medical University named after I.I. Mechnikov
- Leningrad Regional Center of Specialized Types of Medical Care
- I.M. Sechenov First Moscow State Medical University
- Issue: Vol 9, No 5 (2018)
- Pages: 103-108
- Section: Articles
- URL: https://medbiosci.ru/pediatr/article/view/10823
- DOI: https://doi.org/10.17816/PED95103-108
- ID: 10823
Cite item
Full Text
Abstract
Erythroderma – the term used for the description intensive and usually widespread reddening of the skin which has arisen owing to activation of the previous inflammatory dermatosis. Among the causes of erythroderma are the progression of chronic dermatoses, refractory to therapy, medication or inadequate local treatment of dermatoses. In addition, it can be a symptom and/or a sign of systemic diseases (lymphoma, leukemia, tumors of the lungs, intestines and ovaries). Most of the cases of erythroderma described in the literature were induced by taking different types of drugs and dietary supplements. High lethality of this category of patients is associated with both the main disease that caused the development of erythroderma and the nature of emerging metabolic disorders. Erythroderma is one of the most severe conditions that threaten the life of the patient, requiring special approaches in the diagnosis and early treatment. When diagnosing and determining the forms of erythroderma, one of the determining factors is clinical examination and clinical and pathological correlation. Patients with diseases of a digestive tract have high risk of development of side effects from intake of drugs and carrying out tool methods of a research. One of the screening methods of a research is the fibrogastroduodenoskopy (EGD). We provide the description of the first case in our practice of the patient with the erythroderma which has arisen after the EGD-research. Questions of pathogenesis, differential diagnostics of an erythroderma on the basis of a clinical picture and histological signs with illustrations are also discussed.
Full Text
В современной дерматологии эритродермия является одним из самых тяжелых состояний, угрожающих жизни больного, требующих особых подходов в диагностике и скорейшего начала лечения, что позволяет избежать развития таких грозных осложнений, как нарушение кровообращения на фоне гипертермии, развитие генерализованной инфекции [1–3]. Множество этиологических факторов лежит в основе развития эритродермии, однако наиболее часто этому состоянию предшествуют экзема, синдром лекарственной сенсибилизации, Т-клеточная лимфома кожи, фотосенсибилизация [1, 4, 5].
В 10–15 % случаев эритродермия обусловлена приемом медикаментов и продуктов питания [9, 18]. Эритродермия из-за приема лекарственных препаратов проявляется и разрешается быстрее, чем эритродермия вследствие других причин. Исключение составляют случаи, когда эритродермия сопровождается гиперчувствительностью организма на лекарственные препараты (антибиотики, антиконвульсанты и аллопуринол) [17]. Гиперчувствительность развивается в течение от 2 до 5 недель после начала приема препарата и продолжается до 1 недели после прекращения. Причиной могут быть разнообразные медикаментозные средства или же эндогенные раздражители. Для данного состояния характерны лихорадка, лейкоцитоз с эозинофилией, отек, лимфаденопатия, органомегалия, а также возможное нарушение функции печени и почек. Ранее были представлены случаи эритродермии, вызванные приемом ацитретина, рифампицина, средств антитуберкулезной терапии, метопролола, антицитокиновой терапии, окскарбазепина и др. [9, 10, 12]. Труднее диагностировать токсидермические эритродермии эндогенного происхождения (аутотоксические эритродермии). По своему развитию они весьма схожи с лекарственными, но могут приобретать хроническое течение, затягиваясь на месяцы и годы. По мнению многих авторов, большинство так называемых первичных эритродермий на самом деле являются аутотоксическими, природа которых не была своевременно установлена [17]. Клиническая картина их разнообразна [7]. Некоторые из них начинаются внезапно, другие постепенно. Диагностика таких эритродермий трудна, поскольку аналогично могут начинаться злокачественные лимфомы кожи. Пациенты с заболеваниями пищеварительного тракта имеют высокий риск развития побочных эффектов от приема лекарственных препаратов и проведения инструментальных методов исследования.
Приводим описание первого случая в своей практике больного эритродермией, возникшей после фиброгастродуоденоскопии (ФГДС), которая представляет собой один из скрининговых методов исследования.
Клинический случай
В дерматовенерологическое отделение ГБУЗ «Ленинградский областной центр специализированных видов медицинской помощи» поступил больной В., 63 года, с жалобами на поражение всего кожного покрова и зуд. Из анамнеза известно, что болен в течение 14 дней, когда появилось покраснение кожи в области туловища после проведения ФГДС-исследования (по рекомендации гастроэнтеролога по поводу изжоги в области эпигастрия). Наследственность не отягощена. Аллергологический анамнез не отягощен. Из вредных привычек отмечает курение. Перенесенные заболевания — ОРЗ (не принимал лекарственные препараты). Венерические заболевания, гепатиты, туберкулез отрицает. Гемотрансфузии и операции не проводились. За медицинской помощью в течение 2 недель не обращался. Самостоятельно не лечился. Начало заболевания пациент связывает с проведением ФГДС. Со слов больного, перед выполнением данного исследования ему обезболивали ротовую полость и обрабатывали наконечник аппарата в спиртовом растворе. В течение нескольких дней после ФГДС процесс принял характер быстрого течения, покраснение начало распространяться на весь кожный покров, и кожа начала активно шелушиться и утолщаться. На фоне поражения кожи отмечал повышение температуры тела, озноб и увеличение регионарных лимфатические узлов. В день поступления была проведена диагностическая биопсия из наиболее инфильтрированного участка кожи в области туловища и полный спектр клинических и биохимических анализов крови и электролитов.
Объективно при поступлении: общее состояние больного средней степени тяжести. Температура тела 37,8 °С, озноб. Телосложение правильное. Тоны сердца ясные, ритмичные. Легочное дыхание везикулярное, хрипов нет. Живот мягкий безболезненный, не вздут, не увеличен. Край печени плотно-эластичной консистенции, безболезненный, ровный, не выступает из-под края реберной дуги. Селезенка не пальпируется. Пальпация в области почек безболезненная. Симптом поколачивания отрицательный с обеих сторон. Увеличены подмышечные, локтевые и паховые лимфатические узлы, безболезненные, подвижные и не спаяны с окружающими тканями. Стул регулярный, оформленный, 1 раз в сутки. Мочеиспускание в норме, но изредка болезненное.
Локальный статус: процесс поражения кожи носит генерализованный характер и представлен инфильтрацией, эритемой, крупнопластинчатым шелушением всего кожного покрова, в местах сгибов и складок отмечаются глубокие трещины, отек стоп, инфильтрация ладоней и подошв. Придатки кожи без изменений (рис. 1).
Рис. 1. Больной В., 63 года, диагноз: «Эритродермия». Кожа больного на всем протяжении ярко-красного цвета с синюшным оттенком, значительно инфильтрирована, с признаками крупнопластинчатого шелушения
Fig. 1. Patient, 63 years old, the diagnosis – an erythroderma. The patient’s skin throughout was brightly red color with a cyanotic shade, considerably an infiltrated, with signs of scaling
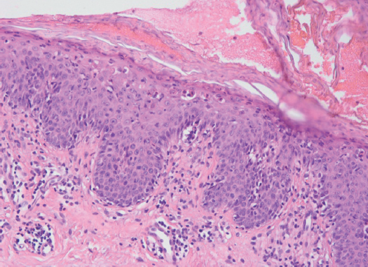
Гистологически — участок кожи покрыт многослойным плоским ороговевающим эпителием. В эпидермисе отмечается очаговый струп, паракератоз, равномерный акантоз, апоптоз клеток шиповатого слоя, вакуольная дистрофия базального слоя эпидермиса с межэпителиальными лимфоцитами. В сосочковом слое дермы наблюдается периваскулярный смешанный клеточный инфильтрат, преимущественно из лимфоцитов с примесью единичных эозинофилов (рис. 2).
Рис. 2. Тот же больной. Гистологическая картина. Диагноз: «Эритродермия». В эпидермисе отмечаются паракератоз, неравномерный акантоз, единичные апоптотические клетки в шиповатом и зернистом слоях эпидермиса. В дерме выявляется периваскулярный лимфоцитарный инфильтрат с тенденцией к проникновению в эпидермис (экзоцитоз). Окраска гематоксилином и эозином. Увеличение ×100
Fig. 2. The same patient. Histologic picture, the diagnosis – an erythroderma. In epidermis parakeratosis, irregular acanthosis, single apototic cells in suprabasal and granular layers are noted. In derma there are perivascular lymphocytic infltrates with a tenedention to penetration into epidermis (exocytosis). Colouring hematoxylin and eosin. Increase ×100
В клиническом анализе крови отмечались повышение СОЭ (32 мм/ч), умеренный лейкоцитоз (1210 ед/л), эозинофилия (610 ед/л). В показателях электролитов обращало на себя внимание снижение содержания кальция и незначительное повышение концентрации натрия.
На основании анамнеза, клинической картины и гистологического исследования был установлен диагноз: «Эритродермия (эксфолиативный дерматит) L.26» и назначена терапия (реамберин 400 мл 10 инъекций в/в капельно; натрий тиосульфат 30 % 10 инъекций в/в капельно; дексаметазон 16 мг в/м ежедневно с постепенным снижением (№ 5); аспаркам по 1 табл. 2 раза в сутки per os, ранитидин по 1 табл. 2 раза в сутки per os, наружные эмоленты).
На 4-й день госпитализации после назначенной терапии общее состояние значительно улучшилось. На всем протяжении кожа очистилась от высыпаний, инфильтрация уменьшилась, зуд ощущался эпизодически, однако в области ладоней и подошв очаги гиперкератоза сохранились (рис. 3).
Рис. 3. Тот же больной. Через 2 нед. от начала лечения, кожа очистилась от специфических высыпаний
Fig. 3. The same patient. In 2 weeks from an initiation of treatment, skin it was cleaned from specific rashes
Больной выписан на 14-й день с полным клиническим улучшением в виде разрешения клинических симптомов заболевания. Показатели крови и электролитов нормализовались.
Обсуждение
Ряд авторов считает, что эритродермия представляет собой тяжелую форму кожной реакции на лекарственные препараты [1, 17]. В дерматологии наиболее часто реакции на лекарственные препараты проявляются токсидермией в виде пятнистых, уртикарных или папулезных элементов сыпи. Патогенез при данном состоянии представлен обычно аллергической гиперчувствительной реакцией как замедленного, так и немедленного типа, а также идиосинкратической (независимой) реакцией [10, 15, 19]. Идиосинкразия наблюдается у 2–3 % госпитализированных больных [14]. Идиосинкратическая реакция встречается довольно редко и насчитывает, по некоторым данным, 6–10 % от всех побочных реакцией на лекарственные препараты [13]. По мнению автора, аллель HLA-B*1502 выступает фактором риска для реакции гиперчувствительности [14]. Типичные клинические проявления данной реакции представлены синдромом Стивенса – Джонсона и токсическим эпидермальным некролизом [19]. В то же время патогенез эритродермии остается неустановленным, особенно в случае возникновения после приема лекарственных препаратов и/или при контакте с аллергеном, как в описанном выше случае. Проведенные ранее авторами патч-тесты показали достоверность только в 1 из 7 случаев при подозрении на гиперчувствительную реакцию на лекарственные препараты [12]. Остается открытым вопрос: отреагировал ли пациент на обезболивающий раствор лидокаина или 10 % алламинола, который используется для дезинфекции хирургических инструментов?
Раннее установление диагноза и выявление эритродермии, индуцированной лекарственными препаратами, очень важны, так как своевременная отмена лекарства и назначение специфической терапии — залог успеха.
По нашим клиническим наблюдениям, характерными признаками эритродермии, вызванной приемом лекарственных препаратов, являются:
- разрешение элементов сыпи в течение нескольких дней после отмены препарата и назначение детоксикационной и кортикостероидной терапии;
- крупнопластинчатое шелушение во время разрешения заболевания и отсутствие ладонно-подошвенной кератодермии;
- эозинофилия крови;
- апоптоз и вакуольная дистрофия клеток эпидермиса при гистологическом исследовании.
В то же время гистологические признаки эритродермии, вызванные лекарственными препаратами, соответствуют модели воспаления interface (вакуолярный тип) дерматита 1 [6, 8]:
- гидропическая (вакуольная) дистрофия базального слоя эпидермиса;
- лимфоциты в базальном слое эпидермиса;
- коллоидные тельца (апоптотические клетки) в разных слоях эпидермиса.
Заключение
- Перед выполнением ФГДС врачам-терапевтам, эндоскопистам и гастроэнтерологам следует быть осторожными и предупреждать больных о возможном развитии эритродермии.
- Для оценки частоты развития побочного эффекта (эритродермия) необходимо дальнейшее наблюдение за пациентами с заболеваниями желудочно-кишечного тракта, требующими проведения ФГДС.
- Целесообразно выполнение патч-тестов с использованием антигенов (раствора лидокаина или жидкостных растворов для обработки инструментов) у больных с хроническими дерматозами и предрасположенностью к кожным аллергическим реакциям.
- Необходимы дальнейшие исследования для выявления генетических предикторов гиперчувствительной реакции в развитии эритродермии, вызванной лекарственными препаратами.
About the authors
Akmal A. Sidikov
St. Petersburg State Pediatric Medical University
Author for correspondence.
Email: medik-85@bk.ru
MD, PhD, Assistant, Department of Pathological Anatomy with a Course of Forensic Medicine
Russian Federation, Saint PetersburgDenis V. Zaslavsky
St. Petersburg State Pediatric Medical University
Email: venerology@gmail.com
MD, PhD, D.Sc., Professor, Dermatovenereology Department
Russian Federation, Saint PetersburgYuliya S. Egorova
St. Petersburg State Pediatric Medical University
Email: ys-egorova@mail.ru
MD, PhD, Associate Professor of Dermatovenereology Department
Russian Federation, Saint PetersburgIgor N. Chuprov
North-Western State Medical University named after I.I. Mechnikov
Email: igorchuprov@gmail.com
MD, PhD, D.Sc., Associate Professor, Department of Pathological Anatomy
Russian Federation, Saint PetersburgYanina Yu. Gurkovskaya
Leningrad Regional Center of Specialized Types of Medical Care
Email: yaninagurkovskay@gmail.com
MD, Doctor
Russian Federation, Saint PetersburgMarina N. Fomenko
Leningrad Regional Center of Specialized Types of Medical Care
Email: m.fomenko2009@yandex.ru
MD, Doctor
Russian Federation, Saint PetersburgMichail A. Zubatov
St. Petersburg State Pediatric Medical University
Email: zubatov@mail.ru
Sixth-Year Student
Russian Federation, Saint PetersburgRuslan A. Nasyrov
St. Petersburg State Pediatric Medical University
Email: ran.53@mail.ru
MD, PhD, Professor, Head, Department of Pathological Anatomy with a Course in Forensic Medicine
Russian Federation, Saint PetersburgEkaterina V. Grekova
I.M. Sechenov First Moscow State Medical University
Email: grekova_kate@mail.ru
Graduate Student, V.A. Rakhmanov Department of Skin and Veneral Diseases
Russian Federation, MoscowReferences
- Заславский Д.В., Раводин Р.А., Татарская О.Б., и др. Эритродермия: современные вопросы диагностики и лечения // Педиатр. - 2014. - Т. 5. - № 1. - С. 97-102. [Zaslavskiy DV, Ravodin RA, Tatarskaya OB, et al. Erythroderma: the modern questions of diagnostics and treatment. Pediatrician (St. Petersburg). 2014;5(1):97-102. (In Russ.)]
- Заславский Д.В., Чупров И.Н., Сыдиков А.А., и др. Роль маркера IL-36γ/IL-1F9 в развитии эритродермии у пациентов с псориазом // Казанский медицинский журнал. - 2015. - Т. 96. - № 1. - С. 80-84. [Zaslavskiy DV, Chuprov IN, Sydikov AA, et al. The role of IL-36γ/IL-1F9 in developing erythroderma in patients with psoriasis. Kazan Med Zh. 2015;96(1):80-84. (In Russ.)]. doi: 10.17750/KMJ2015-080.
- Заславский Д.В., Сыдиков А.А., Чупров И.Н., и др. Значение показателя IL-36γ - потенциального биомаркера при псориатической эритродермии // Российский журнал кожных и венерических болезней. - 2015. - Т. 18. - № 5. - С. 30-33. [Zaslavskiy DV, Sydikov AA, Chuprov IN, et al. The IL-36γ is potential biomarker of psoriatic erythroderma. Russian journal of skin and sexually transmitted diseases. 2015;18(5):30-33. (In Russ.)]
- Заславский Д.В., Юновидова А.А., Волькенштейн П., и др. Комплексная терапия синдрома Сезари // Иммунопатология, аллергология, инфектология. - 2016. - № 1. - С. 6-13. [Zaslavskiy DV, Yunovidova AA, Wolkenstein P, et al. Combined therapy of Sezary syndrome. Immunopatologiya, allergologiya, infektologiya. 2016;(1):6-13. (In Russ.)]. doi: 10.14427/jipai.2016.1.6.
- Заславский Д.В., Юновидова А.А., Волькенштейн П., и др. Выбор терапевтической стратегии при синдроме Сезари: Случай из практики // Фарматека. - 2016. - № 20. - С. 53-58. [Zaslavskiy DV, Yunovidova AA, Wolkenstein P, et al. Choice of therapeutic strategy in sezary syndrome: case report. Farmateka. 2016;(20):53-58. (In Russ.)]
- Заславский Д.В., Чупров И.Н., Насыров Р.А., и др. Гистологические модели (паттерны) воспаления при эритродермии // Иммунопатология, аллергология, инфектология. - 2016. - № 4. - С. 65-73. [Zaslavsky DV, Chuprov IN, Nasyrov RA, et al. The histological patterns of inflammation in erythroderma. Immunopatologiya, allergologiya, infektologiya. 2016;(4):65-73. (In Russ.)]. doi: 10.14427/jipai.2016.4.65.
- Олисова О.Ю., Теплюк Н.П., Плиева Л.Р., Ломоносов К.М. Эритродермическая форма болезни Девержи // Российский журнал кожных и венерических болезней. - 2014. - T. 17. - № 1. - С. 18-20. [Olisova OY, Teplyuk NP, Plieva LR, Lomonosov KM. The erythrodermal form of devergie’s disease. Russian journal of skin and sexually transmitted diseases. 2014;17(1):18-20. (In Russ.)]
- Родионов А.Н., Заславский Д.В., Чупров И.Н., и др. Дерматопатология воспалительных заболеваний кожи / Под ред. А.Н. Родионова. - Ташкент: Baktria press, 2014. [Rodionov AN, Zaslavskiy DV, Chuprov IN, et al. AN Rodionov, editor. Dermatopatologiya vospalitel’nyh zabolevanij kozhi. Tashkent: Baktria press; 2014. (In Russ.)]
- Doyon JB, Liu KJ, Berman RA. Metoprolol-induced Total Body Erythroderma. J Gen Intern Med. 2017;32(2):221-2. doi: 10.1007/s11606-016-3900-2.
- Kopac P, Zidarn M, Kosnik M. Epidemiology of hypersensitivity reactions to penicillin in Slovenia. Acta Dermatovenerol Alp Pannonica Adriat. 2012;21(4): 65-67.
- Liu A, Giroux L. A Suspected Case of Silodosin-Induced Erythroderma. Drug Saf Case Rep. 2015;2(1):1. doi: 10.1007/s40800-014-0003-z.
- Ozmen S, Murat S, Yoney A. Cutaneous drug eruptions in children; single centre experience. Turk Arch Ped. 2011;46(4):63-67.
- Pichler WJ. Delayed Drug Hypersensitivity Reactions. Ann Intern Med. 2003;139(8):683. doi: 10.7326/0003-4819-139-8-200310210-00012.
- Rener-Primec Z, Balkovec V. Valproate-related erythrodermia with reversible encephalopathy: a rare but serious adverse reaction, case report. Acta Dermatovenerol Alp Pannonica Adriat. 2014;23(2): 35-38.
- Rothe MJ, Bernstein ML, Grant-Kels JM. Life-threatening erythroderma: diagnosing and treating the “red man”. Clin Dermatol. 2005;23(2):206-217. doi: 10.1016/j.clindermatol.2004.06.018.
- Saha M, Gorai S, Madhab V. Oxcarbazepine-induced drug rash with eosinophilia and systemic symptoms syndrome presenting as exfoliative dermatitis. J Pharmacol Pharmacother. 2016;7(3):142-145. doi: 10.4103/0976-500X.189681.
- Shiohara T, Kano Y, Takahashi R. Current concepts on the diagnosis and pathogenesis of drug induced hypersensitivity syndrome. JMAJ. 2009;52(5): 347-352.
- Wolf K, Goldsmith L, Katz S, et al. Fitzpatrick’s dermatology in general medicine. 7th ed. New York: McGraw-Hill; 2007.
- Zaccara G, Franciotta D, Perucca E. Idiosyncratic adverse reactions to antiepileptic drugs. Epilepsia. 2007;48(7): 1223-44. doi: 10.1111/j.1528-1167.2007.01041.x.
Supplementary files




