New coronavirus infection in a child at the age of 2 years 4 months with acute lymphoblastic leukemia (fatal case)
- Authors: Ivanov D.O.1, Petrenko Y.V.1, Reznik V.A.1, Nasyrov R.A.1, Timchenko V.N.1, Pavlova E.B.1, Pavlova N.V.1, Bannova S.L.1, Krasnogorskaya O.L.1, Kondratyev G.V.1, Chernova T.M.1, Shakmaeva M.A.1, Chepelev A.S.1, Galichina V.A.1
-
Affiliations:
- St. Petersburg State Pediatric Medical University
- Issue: Vol 13, No 3 (2022)
- Pages: 73-82
- Section: Clinical observation
- URL: https://medbiosci.ru/pediatr/article/view/109765
- DOI: https://doi.org/10.17816/PED13373-82
- ID: 109765
Cite item
Full Text
Abstract
Children get sick less often than adults with a new coronavirus infection (in the Russian Federation, they account for 7.6% of registered cases of COVID-19), with less severe clinical symptoms, they require hospitalization less often, their disease is milder. The frequency of severe and extremely severe cases of COVID-19 in children does not exceed 1%. A clinical case of the course of COVID-19 in a child aged 2 years 4 months is presented. with acute lymphoblastic leukemia. A feature of the presented case is the development of an extremely severe new coronavirus infection in a child with secondary immunodeficiency caused by a long-term course of malignant, treatment-resistant of acute lymphoblastic leukemia. Slow, within 3 months, the development of the infectious process with long-term preservation of normal indicators of the function of the respiratory system led to the formation of viral-bacterial pneumonia with the development of respiratory distress syndrome. Despite the modern complex of therapeutic measures, severe comorbidity led to the development of DIC and multiple organ failure, which was the direct cause of the child’s death. A possible therapy strategy is discussed in a patient with severe comorbidity against the background of secondary immunodeficiency and long-term persistence of SARS-CoV-2 in the presence of IgG antibodies to SARS-CoV-2 in the blood. For the first time, data on morphological changes in the lungs with a long course of COVID-19 (more than 100 days) in a young child are presented.
Keywords
Full Text
ВВЕДЕНИЕ
Новой коронавирусной инфекцией (НКИ) дети болеют реже, чем взрослые (в Российской Федерации они составляют 7,6 % зарегистрированных случаев COVID-19), с менее выраженной клинической симптоматикой, реже требуют госпитализации, заболевание у них протекает легче. Частота тяжелых и крайне тяжелых случаев COVID-19 у детей не превышает 1 % [3, 4, 8]. В группу риска по развитию тяжелой НКИ входят пациенты с преморбидной патологией, в частности, острым лимфобластным лейкозом (ОЛЛ) — злокачественным заболеванием системы кроветворения, характеризующимся неконтролируемой пролиферацией опухолевого клона из клеток — кроветворных предшественников линий лимфоидной дифференцировки с возможным вовлечением в процесс различных органов и систем и летальным исходом [1, 7, 9–12]. НКИ способствует ухудшению течения лейкоза и неблагоприятному исходу [2–6, 8]. Представлено клиническое наблюдение течения новой коронавирусной инфекции у ребенка раннего возраста с ОЛЛ.
КЛИНИЧЕСКОЕ НАБЛЮДЕНИЕ
Мальчик в возрасте 2 лет 4 мес. госпитализирован в отделение для детей с новой коронавирусной инфекцией Санкт-Петербургского государственного педиатрического медицинского университета (СПбГПМУ) с диагнозом: «U07.1 НКИ (COVID-19), вирус идентифицирован. С91.0 Острый лимфобластный лейкоз, Т-IV иммунологический вариант, CD1a(–) TCR(+) без значимых хромосомных аббераций, очень ранний изолированный костно-мозговой рецидив, II активная фаза, рефрактерное течение. Прогрессирование. Состояние после длительной комбинированной сдерживающей паллиативной химиотерапии».
Из анамнеза известно, что у мальчика в возрасте 1 г. 11 мес. (июль 2020 г.) отмечалось увеличение шейных лимфатических узлов; петехиальная сыпь, экхимозы на коже туловища и конечностей; подъем температуры тела до 38,5 °C. Ребенок госпитализирован в специализированный стационар, где по совокупности данных был установлен диагноз «острый лимфобластный лейкоз, Т-IV иммунологический вариант, I активная фаза». Осуществлен старт специфической терапии по протоколу ALL-MB2015, на фоне которой развился обширный некротический мукозит желудочно-кишечного тракта, умеренная энтеропатия, острый панкреатит. В октябре 2020 г. диагностирован очень ранний изолированный костномозговой рецидив ОЛЛ. По жизненным показаниям ребенку назначена противорецидивная полихимиотерапия, проведение которой сопровождалось постцитостатической депрессией кроветворения (лейкоцитопения, нейтропения IV степени, тромбоцитопения IV степени, анемия тяжелой степени) и осложнениями в виде двусторонней полисегментарной пневмонии (в бронхоальвеолярном лаваже обнаружена Pseudomonas aeruginosae), синдрома диссеминированного свертывания крови, или ДВС-синдрома (коагулопатия, содержание Д-димера в плазме крови до 17800 нг/мл). Несмотря на проводимую современную противоопухолевую терапию в январе 2021 г. констатирована резистентность опухолевого процесса к лечению, пациент признан инкурабельным, назначена сдерживающая паллиативная и симптоматическая терапия. На фоне проводимого лечения достигнута некоторая стабилизация опухолевого процесса. При сохранении глубокой депрессии кроветворения констатированы септицемия (P. aeruginosae выделена из крови), фебрильная нейтропения высокого риска, стероидная миопатия, синдром острого лизиса опухоли, гипопротеинемия и коагулопатия. Планировалось проведение модифицированной химиотерапии с попыткой трансплантации костного мозга, в связи с чем 18.01.2021 выполнено исследование на COVID-19, получен положительный результат, пациент госпитализирован в СПбГПМУ.
При поступлении в СПбГПМУ состояние ребенка тяжелое, стабильное. На осмотр реагирует негативно, плачет. Аппетит резко снижен. Кожа бледно-желтого цвета, гематома в теменной области в стадии разрешения, «свежих» геморрагических элементов на коже и слизистых оболочках нет. Пальпируются множественные периферические лимфоузлы: шейные и подчелюстные, увеличенные до 3 см в диаметре, сливающиеся в конгломераты; паховые, подмышечные — до 1,5 см. Частота сердечных сокращений 128 в минуту, частота дыхания 24 в минуту, сатурация (SpO2) 96–98 %. Печень выступает на 2 см из-под края правой реберной дуги, селезенка — на 2 см из-под края левой реберной дуги. По лабораторным данным констатированы лейкопения (0,1 · 109/л), анемия (эритроциты 2,31 · 1012/л, гемоглобин 61 г/л), тромбоцитопения (10 · 109/л), в коагулограмме — протромбиновый индекс снижен (до 66,0 %, норма — 80–120 %), повышены протромбиновое время (до 16,3 с, норма — 10,6–14,1 с), показатель МНО (до 1,9, норма — 0,9–1,1), С-реактивный белок 45,0 мг/л (норма — менее 5 мг/л), ферритин 1697 мкг/л (норма — 15,0–120,0 мкг/л), Д-димер 498 нг/мл (норма — менее 250 нг/мл). Ребенку в течение первой недели продолжена комбинированная антибактериальная, противогрибковая, сопроводительная и поддерживающая терапия с необходимой гидратацией на фоне форсированного диуреза. В материале из носа выявлена P. aeruginosa со множественной устойчивостью к антибиотикам.
На девятый день нахождения в стационаре (26.01.2021 — 9-й день НКИ) отмечается постепенное ухудшение состояния ребенка: появление рвоты (ежедневно 1–3 раза), эпизодов повышения температуры тела до 39,5 °C, прогрессирование ОЛЛ (геморрагические элементы на коже нижних конечностей и спины, в анализах крови нарастание анемии, тромбоцитопении, количества бластных клеток до 97 %). Показатель SpO2 оставался в пределах 98–99 %, прокальцитониновый тест — более 0,5 нг/мл. Данный эпизод расценен как очередной этап прогрессирования ОЛЛ на фоне течения новой коронавирусной инфекции без значимых клинических проявлений. По решению консилиума проведены блоки сдерживающей химиотерапии с применением антрациклинов, циклофосфамида. На седьмой день получен противоопухолевый эффект в виде значимого уменьшения бластных клеток в периферическом анализе крови и улучшения самочувствия пациента. Переносимость химиотерапии оценена как удовлетворительная с компенсацией по витальным функциям.
С 01.03.2021 (43-й день НКИ) в связи с повторным прогрессированием ОЛЛ, которое проявлялось в виде нарастания симптомов интоксикации, появления новых геморрагических элементов (на коже живота, спины, нижних конечностей, слизистых оболочках ротовой полости), одышки (частота дыхания до 32 в минуту), увеличением размеров печени (+3,5 см из-под края правой реберной дуги), селезенки (+3,0 см из-под края левой реберной дуги), учащением стула до 3–5 раз в сутки, по жизненным показаниям начато проведение очередного блока комбинированной химиотерапии с введением высокоселективного обратимого ингибитора активности протеасомы 26S — бортезомиба. Вновь достигнута стабилизация показателей гемограммы: на фоне сохраняющихся анемии, тромбоцитопении не определяются бластные клетки (достигнут кратковременный противоопухолевый эффект на проведение полихимиотерапии).
12.03.2021 (54-й день НКИ) у ребенка на фоне вновь появившейся лихорадки (до 38,4–38,6 °C), нарастания симптомов интоксикации (слабость, выраженное снижение аппетита) отмечается появление водянистых прозрачных выделений из носа, которые могут быть проявлением НКИ или быть индуцированы использованием противоопухолевого препарата цитарабина. Через 4 сут (после отмены цитарабина) выделения из носа становятся менее обильными и через неделю (22.03.2021 — 64-й день НКИ) исчезают. В этот же период при выполнении Эхо-КГ отмечается резкое снижение фракции выброса левого желудочка, а также нарастание в крови Д-димера до 584 нг/мл, протромбинового времени до 20,1 с, МНО до 2,02, и снижение протромбинового индекса до 51 %. Регистрируется значительное (практически в 2 раза) превышение уровня мозгового натрийуретического полипептида (NT-proBNP), что свидетельствует о наличии у пациента вторичной комбинированной кардиомиопатии с хронической сердечной недостаточностью, ассоциированной с НКИ и антрациклиновой кардиотоксичностью. С целью купирования кардиотоксических проявлений проводилась симптоматическая терапия и метаболическая поддержка миокарда с использованием препарата фосфокреатин. На фоне терапии получена стойкая положительная динамика с постепенным восстановлением фракции выброса левого желудочка до нормальных показателей.
С 01.04.2021 (74-й день НКИ) в течение 2 нед. у пациента отмечаются стойкие эпизоды повышения температуры тела, прогрессирует кожно-геморрагический синдром. В крови вновь появляются бластные клетки (25 %), нарастание лейкопении и тромбоцитопении. Данные проявления свидетельствуют о возобновлении прогрессирования ОЛЛ, рефрактерного к лечению. Принимая во внимание наличие в крови у пациента IgG к SARS-CoV-2 без каких-либо специфических проявлений НКИ и отсутствие абсолютных противопоказаний для противоопухолевой терапии, на расширенном консилиуме решено провести очередной курс цитостатической терапии с исключением антрациклиновых антибиотиков. На фоне проводимого лечения у ребенка появились и быстро нарастали явления стоматита с кровоточивостью и сильной болью, требующей использования наркотических анальгетиков. Отмечалось нарастание показателей острой фазы воспалительного процесса: С-реактивного белка (128 мг/л), ферритина (2161 мкг/л), Д-димера (1100 нг/мл). Прокальцитониновый тест отрицательный. При бактериологическом исследовании выявлена Klebsiella oxytoca в значительном количестве в кале и материале из ротоглотки. Отмечается инфильтрация параорбитальных областей с двух сторон с нарастающим экзофтальмом. Противоопухолевая терапия остановлена.
В период с 14.04 по 02.05.2021 (87–105-й дни НКИ) состояние ребенка тяжелое, фебрильно лихорадит, выраженная слабость, самостоятельно встает с трудом. Отмечается нарастание выраженности лабильной психики с периодическими психоэмоциональными всплесками, ребенок плохо спит (часто просыпается). Кожные покровы у пациента приобретают серый оттенок, на туловище, конечностях и видимых слизистых оболочках отмечается появление множественных геморрагических элементов. Левый глаз открывает с трудом, нарастает отечность верхнего века, что расценено как лимфостаз на фоне, вероятнее всего, лейкемической инфильтрации орбиты. Артериальное давление (АД) 107/72 мм рт. ст. Частота дыхания 36 в минуту. Сатурация 98–99 %. Отмечается депрессия костномозгового кроветворения: лейкопения (0,3 · 109/л) со значительным увеличением бластных клеток в периферической крови (87 %), глубокая тромбоцитопения (7 · 109/л), содержание эритроцитов — 1,95 · 1012/л. После проведения очередной сдерживающей полихимиотерапии ответ не получен. Терапевтические противоопухолевые опции исчерпаны, у пациента появились абсолютные противопоказания для специфической терапии.
В течение всего периода пребывания в отделении у ребенка в материале из ротоглотки определялась РНК SARS-CoV-2, что указывает на персистирование НКИ (с периодическими колебаниями на высоких циклах транскрипции РНК) у пациента с вторичным иммунодифецитом на фоне проведения цитостатической терапии и рефрактерным течением ОЛЛ.
Антитела к SARS-CoV-2 класса IgM не выявлены (25.01.2021, 10.03.2021 и 30.04.2021), класса IgG — обнаружены 10.03.2021 и 30.04.2021, что стало противопоказанием к использованию средств специфической терапии.
В мокроте от 26.04.2021 определены K. oxytoca, Staphylococcus epidermidis, Streptococcus viridans, Candida spр. Многократное бактериологическое исследование крови патогенных микроорганизмов не выявило, многократно проводили прокальцитониновый тест — в динамике сохранялся отрицательным.
03.05.2021 (106-й день НКИ) в 15.30 отмечается ухудшение состояния до крайне тяжелого за счет церебральной недостаточности, развития тонико-клонических судорог. Ребенок без сознания (по шкале комы Глазго — 10 баллов). Пульс на лучевых артериях слабых характеристик. Частота сердечных сокращений до 180 в минуту, АД 100/80 мм рт. ст., по ЭКГ-мониторингу синусовая тахикардия. Самостоятельное дыхание неэффективное с брадипноэ до 12 в минуту, падение SpO2 до 88 %. Произведена интубация трахеи, ребенок переведен на ИВЛ. 04.05.2021 в 01:19 констатировано резкое ухудшение гемодинамики: снижение АД до 60/30 мм рт. ст., нарастание тахикардии до 189 в минуту с переходом в асистолию. Начата сердечно-легочная реанимация: непрямой массаж сердца, ИВЛ по системе Айра. Несмотря на проводимые мероприятия восстановить сердечную деятельность не удалось, в 01:50 констатирована смерть.
В стационаре пациент получал комплексное лечение: инфузионную терапию глюкозо-солевыми растворами с коррекцией электролитных, метаболических нарушений; энтеральное и парентеральное питание; сдерживающую химиотерапию (циклофосфан, этопозид, винкристин, митоксантрон, бортезомиб, идарубицин, метотрексат, 6-меркаптопурин, цитарабин, дексаметазон), противовирусную (ацикловир), антибактериальную (ципрофлоксацин, сульфаметоксазол/триметоприм, линезолид, меропенем, фосфомицин, полимиксин В, ванкомицин, тигециклин, цефоперазон/сульбактам, рифаксимин); противогрибковую (флуконазол, вориконазол, каспофунгин); трансфузии донорских компонентов крови (эритроцитарная взвесь, тромбоцитарный концентрат), внутривенные иммуноглобулины.
РЕЗУЛЬТАТЫ ПАТОМОРФОЛОГИЧЕСКОГО ИССЛЕДОВАНИЯ
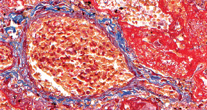
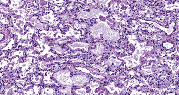
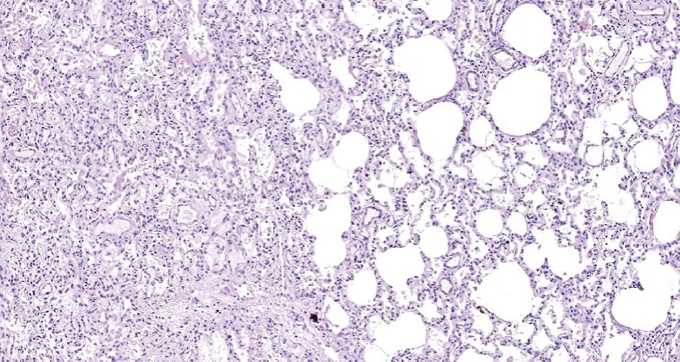
При патологоанатомическом исследовании — ткань легких с диффузными ателектазами, чередующимися с небольшими эмфизематозно расширенными участками, мелкоочаговыми кровоизлияниями в расширенные межальвеолярные перегородки (рис. 1). Большая часть альвеол звездчатой формы, очагово заполнены серозно-фибринозным экссудатом (рис. 2), слущенными альвеолоцитами, альвеолярными макрофагами (рис. 3). Часть альвеол выстлана гиалиновыми мембранами (рис. 4). Сосуды микроциркуляторного русла, расположенные в межальвеолярных перегородках, округлой формы, в просвете большей части которых определяются нити фибрина. Эндотелиальные клетки, выстилающие сосуды, набухшие, овальной формы, другие — более вытянутые, сохраненные не на всем протяжении стенки сосуда. Бронхи среднего и более крупного калибра звездчатой формы, стенка преимущественно утолщена за счет отека и склероза подслизистого слоя. Слизистая оболочка бронхов представлена цилиндрическим эпителием с дистрофическими изменениями, местами слущенным, в сохраненных участках с явлением пролиферации. В просвете бронхиол и более крупных бронхов выявляются десквамированный эпителий, единичные эритроциты, макрофаги. Кроме этого, преимущественно перибронхиально — диффузная лимфоцитарная инфильтрация с примесью умеренного количества нейтрофильных лейкоцитов; разрастание соединительной ткани, образование мелких единичных лимфоидных фолликулов.
Рис. 1. Чередование ателектазов с эмфизематозно измененными участками легкого. Окраска гематоксилином и эозином. Ув. ×100 / Fig. 1. Alternation of atelectasis with emphysematous altered areas of the lung. Stained with hematoxylin and eosin. Magnification ×100
Рис. 2. Альвеолы заполнены серозно-фибринозным экссудатом. Окраска гематоксилином и эозином. Ув. ×200 / Fig. 2. The alveoli are filled with serous fibrinous exudate. Stained with hematoxylin and eosin. Magnification ×200
Рис. 3. Альвеолярные макрофаги в просвете альвеол. Окраска гематоксилином и эозином. Ув. ×400 / Fig. 3. Alveolar macrophages in the lumen of the alveoli. Stained with hematoxylin and eosin. Magnification ×400
Рис. 4. Часть альвеол выстлана гиалиновыми мембранами. Окраска по Массону (трихром). Ув. ×300 / Fig. 4. Part of the alveoli is lined with hyaline membranes. Masson coloring (trichrome). Magnification ×300
Таким образом, впервые описаны морфологические изменения в легких при длительном течении COVID-19 (более 100 сут) у ребенка раннего возраста с ОЛЛ.
ЗАКЛЮЧЕНИЕ
Особенность представленного случая состоит в развитии крайне тяжелой формы НКИ у ребенка со вторичным иммунодефицитом, обусловленным длительным течением злокачественного, резистентного к терапии, острого лимфобластного лейкоза. Медленное развитие инфекционного процесса, связанное, по всей вероятности, с выраженной иммуносупрессией, привело к формированию вирусно-бактериальной пневмонии и развитию респираторного дистресс-синдрома. Несмотря на современный комплекс терапевтических мероприятий, тяжелая сочетанная патология обусловила развитие ДВС-синдрома и полиорганной недостаточности, ставших непосредственной причиной смерти.
Состояние данного пациента многократно обсуждали на расширенных консилиумах с мультидисциплинарным подходом. Даже при наличии у ребенка в момент поступления в инфекционный стационар паллиативного статуса по ОЛЛ, в качестве терапии спасения специализированный детский онкогематологический центр предлагал возможность проведения трансплантации костного мозга, несмотря на прогрессирование клонального заболевания. Однако трансплантация костного мозга невозможна на фоне течения НКИ и в условиях инфекционного стационара. Выбранная тактика сдерживания прогрессирования рефрактерного острого лимфобластного лейкоза с использованием цитостатиков и глюкокортикостероидов, с одной стороны, оказывала влияние на подавление активных иммунологических процессов, характерных для вируса SARS-CoV-2, в том числе предупреждала развитие цитокиного шторма, с другой стороны — вызывала выраженную иммуносупрессию, которая препятствовала формированию стойкого иммунитета и элиминации вируса. Необходимо отметить, что выявленные у ребенка в крови антитела класса IgG к SARS-CоV-2 на момент лечения в инфекционном стационаре ограничивали использование средств специфической терапии, в том числе донорской плазмы с антителами класса IgG к SARS-CоV-2. По многим объективным причинам так же было невозможно применение современных иммунобиологических лекарственных препаратов. Проводя анализ данного клинического наблюдения, а также суммируя мировой опыт можно сформировать определенную стратегию ведения пациентов с подобной коморбидностью: определение соотношений рисков противоопухолевого лечения для конкретного злокачественного новообразования с учетом различных факторов на фоне течения COVID-19, активное применение комбинированных схем противомикробной и антимикотической терапии, комплексная сопроводительная и поддерживающая терапия, своевременное применение внутривенных иммуноглобулинов, рассмотрение возможностей проведения пассивной иммунизации с использованием антиковидной плазмы даже при наличии у пациента антител класса IgG к SARS-CоV-2 и активное введение в терапию современных иммунобиологических препаратов.
ДОПОЛНИТЕЛЬНАЯ ИНФОРМАЦИЯ
Вклад авторов. Все авторы внесли существенный вклад в разработку концепции, проведение исследования и подготовку статьи, прочли и одобрили финальную версию перед публикацией.
Конфликт интересов. Авторы декларируют отсутствие явных и потенциальных конфликтов интересов, связанных с публикацией настоящей статьи.
Источник финансирования. Авторы заявляют об отсутствии внешнего финансирования при проведении исследования.
ADDITIONAL INFORMATION
Author contribution. Thereby, all authors made a substantial contribution to the conception of the work, acquisition, analysis, interpretation of data for the work, drafting and revising the work, final approval of the version to be published and agree to be accountable for all aspects of the work.
Competing interests. The authors declare that they have no competing interests.
Funding source. This study was not supported by any external sources of funding.
About the authors
Dmitry O. Ivanov
St. Petersburg State Pediatric Medical University
Email: doivanov@yandex.ru
ORCID iD: 0000-0002-0060-4168
MD, PhD, Dr. Med. Sci., Professor, Rector
Russian Federation, Saint PetersburgYury V. Petrenko
St. Petersburg State Pediatric Medical University
Email: alez1964@yandex.ru
ORCID iD: 0000-0002-8623-4574
MD, PhD, Vice-Rector for Medical Work
Russian Federation, Saint PetersburgVitaly A. Reznik
St. Petersburg State Pediatric Medical University
Email: klinika.spb@gmail.com
ORCID iD: 0000-0002-2776-6239
MD, PhD, Chief Physician of the Children's Clinical Hospital
Russian Federation, Saint PetersburgRuslan A. Nasyrov
St. Petersburg State Pediatric Medical University
Email: rrmd99@mail.ru
ORCID iD: 0000-0001-8120-2816
MD, PhD, Dr. Med. Sci., Professor, Head, Department of Anatomic Pathology and Forensic Medicine
Russian Federation, Saint PetersburgVladimir N. Timchenko
St. Petersburg State Pediatric Medical University
Author for correspondence.
Email: timchenko220853@yandex.ru
ORCID iD: 0000-0002-4068-1731
MD, PhD, Dr. Med. Sci., Professor, Head of the Prof. M.G. Danilevich Department of Infectious Diseases in Children
Russian Federation, Saint PetersburgElena B. Pavlova
St. Petersburg State Pediatric Medical University
Email: infarm@bk.ru
ORCID iD: 0000-0002-7596-1004
MD, PhD, Associate Professor of the Department of Pharmacology with the Course of Clinical Pharmacology and Pharmacoeconomics
Russian Federation, Saint PetersburgNatalia V. Pavlova
St. Petersburg State Pediatric Medical University
Email: pnv2403@yandex.ru
ORCID iD: 0000-0002-0661-6477
MD, assistant of the Prof. M.G. Danilevich Department of Infectious Diseases in Children
Russian Federation, Saint PetersburgSvetlana L. Bannova
St. Petersburg State Pediatric Medical University
Email: detinfection@mail.ru
ORCID iD: 0000-0003-1351-1910
MD, PhD, Associate Professor of the Prof. M.G. Danilevich Department of Infectious Diseases in Children
Russian Federation, Saint PetersburgOlga L. Krasnogorskaya
St. Petersburg State Pediatric Medical University
Email: krasnogorskaya@yandex.ru
ORCID iD: 0000-0001-6256-0669
MD, PhD, Associate Professor of the Department of Pathological Anatomy with the Course of Forensic Medicine
Russian Federation, Saint PetersburgGleb V. Kondratyev
St. Petersburg State Pediatric Medical University
Email: spbgvk@mail.ru
ORCID iD: 0000-0002-1462-6907
Assistant, Acting Head of the Department of Oncology, Pediatric Oncology and Radiation Therapy
Russian Federation, Saint PetersburgTatyana M. Chernova
St. Petersburg State Pediatric Medical University
Email: t-chernova@mail.ru
ORCID iD: 0000-0003-4845-3757
MD, PhD, Associate Professor of the Prof. M.G. Danilevich Department of Infectious Diseases in Children
Russian Federation, Saint PetersburgMaria A. Shakmaeva
St. Petersburg State Pediatric Medical University
Email: shakmaevainf@mail.ru
ORCID iD: 0000-0003-1402-3556
Postgraduate Student of the Prof. M.G. Danilevich Department of Infectious Diseases in Children
Russian Federation, Saint PetersburgAlexander S. Chepelev
St. Petersburg State Pediatric Medical University
Email: spmmed@yandex.ru
ORCID iD: 0000-0002-4127-3457
Assistant Professor of the Department of Pathological Anatomy at the Rate of Forensic Medicine
Russian Federation, Saint PetersburgVeronika A. Galichina
St. Petersburg State Pediatric Medical University
Email: galichina-nika@mail.ru
ORCID iD: 0000-0001-8424-814X
Resident Doctor, senior Laboratory Assistant of the Department of Pathological Anatomy at the Rate of Forensic Medicine
Russian Federation, Saint PetersburgReferences
- Groznova OS, Warriors VA, Donich D, et al. Kawasaki-multisystem inflammatory syndrome in children in the delayed period of coronavirus infection (COVID-19): modern state of the problem and possible new approaches to treatment (plasmapheresis). Pediatrician (St. Petersburg). 2021;12(4):45–57. (In Russ.) doi: 10.17816/PED12445-57
- Davydov MI, Gantsev ShKh, Vel’sher LZ, et al. Onkologiya. Moscow: GEHOTAR-Media, 2010. 911 p. (In Russ.)
- Ivanov DO, Petrenko YuV, Reznik VA. Deti kovidom ne boleyut… Zametki iz krasnoi zony Pediatricheskogo universiteta. Saint Petersburg: SPbGPMU, 2022. 208 p. (In Russ.)
- Ivanov DO, Petrenko YuV, Nasyrov RA, et al. Clinical case of COVID-19 course in a child with aplastic anemia. Journal Infectology. 2022;14(1):145–151. (In Russ.) doi: 10.22625/2072-6732-2022-14-1-145-151
- Ivanov DO, Petrenko YuV, Reznik VA, et al. Characteristics of new coronavirus infection in patients with acute myeloid leukemia. Clinical Practice in Pediatrics. 2021;16(3):121–129. (In Russ.) doi: 10.20953/1817-7646-2021-3-121-129
- Mazankova LN, Samitova ER, Osmanov IM, et al. COVID-19 and comorbidities in children. Clinical Practice in Pediatrics. 2022;17(1):16–23. (In Russ.) doi: 10.20953/1817-7646-2022-1-16-23
- Ministerstvo zdravookhraneniya RF. Profilaktika, diagnostika i lechenie novoi koronavirusnoi infektsii (COVID-19). Vremennye metodicheskie rekomendatsii MZ RF. Versiya 14 (27.12.2021 g.). Moscow: Ministerstvo zdravookhraneniya RF, 2021. 232 p. (In Russ.)
- Chernova TM, Pavlova EB, Timchenko VN, et al. Clinical and epidemiological characteristics and effectiveness of antiviral therapy for COVID-19 in children: The experience of the first year of the pandemic. Acta Biomedica Scientifica. 2021;6(6–2):18–28. (In Russ.) doi: 10.29413/ABS.2021-6.6-2.3
- Agarwal S, June CH. Harnessing CAR T-cell insights to develop treatments for hyperinflammatory responses in COVID-19 patients. Cancer Discov. 2020;10(6):775–778. doi: 10.1158/2159-8290.CD-20-0473
- Elzembely MM, Abdelrahman YS, Fadel S, Hafez H. Providing care for pediatric cancer patients in the COVID-19 era: Rapid response recommendations from a developing country. Pediatr Blood Cancer. 2020;67(8): e28467. doi: 10.1002/pbc.28467
- Hrusak O, Kalina T, Wolf J, et al. Flashsurveyon severe acute respiratory syndrome coronavirus-2 infections in paediatric patients on anticancer treatment. Eur J Cancer. 2020;132:11–16. doi: 10.1016/j.ejca.2020.03.021
- Liang W, Guan W, Chen R, et al. Cancer patients in SARS-CoV-2 infection: a nationwide analysis in China. Lancet Oncol. 2020;21(3):335–337. doi: 10.1016/S1470-2045(20)30096-6
Supplementary files





