Two clinical cases of IgG4-associated pancreatitis in children
- Authors: Minina S.N.1, Kornienko E.A.1, Suspitsyn E.N.1, Imyanitov E.N.1
-
Affiliations:
- Saint Petersburg State Pediatric Medical University
- Issue: Vol 14, No 4 (2023)
- Pages: 113-123
- Section: Clinical observation
- URL: https://medbiosci.ru/pediatr/article/view/232090
- DOI: https://doi.org/10.17816/PED144113-123
- ID: 232090
Cite item
Full Text
Abstract
Autoimmune pancreatitis is a specific peculiar and rather new form of chronic pancreatitis (ChP) that has been intensively studied by pancreatology specialists of the whole world for the last years. Autoimmune pancreatitis does not have any individual specific clinical features. This condition was described for the first time in adults and it often mimics pancreas cancer. Autoimmune pancreatitis can involve some organs, synchronously or metachronously, and is rarely identified in children. Autoimmune pancreatitis is a systemic fiber-inflammatory condition with poorly understood pathophysiological mechanism, affecting different parts of the body. In case of the treatment absence the disease can lead to fibrosis and irreversible impairment of the organs. However, the combination of the findings of serologic, histologic, and instrumental methods of investigation characteristic for аutoimmune pancreatitis allows to identify its presence. IgG4-associated disorder has been mainly described in adults, therefore pediatricians usually do not know much about it. We underline the complexity of the diagnosis of autoimmune pancreatitis / IgG4-associated disorder, in children. The article presents two clinical cases of children diagnosed with autoimmune pancreatitis. Both children had the symptoms of abdominal pain and/or mechanical jaundice combined with focal pancreas enlargement, roughness of the basic pancreas duct and distal narrowing. According to our data, the diagnosis of autoimmune pancreatitis in children can be made on the basis of the combination of specific clinical symptoms at admission and various results of imaging. Both timely made diagnosis and administered treatment provide a favorable prognosis for further course of the disease and complication development.
Full Text
ВВЕДЕНИЕ
Аутоиммунный панкреатит (АИП) — малочисленная группа редких воспалительных заболеваний поджелудочной железы (ПЖ) c неизвестной этиологией и частично изученным патогенезом с доминированием аутоиммунных механизмов и возможностью ответа на терапию кортикостероидами, что позволяет объединять все эти заболевания под общим названием.
Точная распространенность АИП неизвестна. Частота регистрации в эпидемиологических исследованиях колеблется в пределах 4,8–5,8 % в популяции.
По данным большинства исследований наиболее часто заболевание регистрируется у мужчин, соотношение мужчин и женщин — 2 : 1 и 5 : 1 соответственно. Средний возраст манифестации клинической картины АИП на 10–20 лет выше, чем таковой при прочих этиологических вариантах хронического панкреатита (ХП).
Патогенез АИП: основные причины и механизмы развития АИП до настоящего времени точно не установлены. Ясно, что генетическая предрасположенность, определяющая развитие наследственного панкреатита, не имеет ничего общего с развитием АИП [1, 6].
По всей видимости, первый шаг в развитии заболевания — антигенное повреждение панкреатических протоков или ацинарных клеток. В дальнейшем мономерный трансмембранный гликопротеин надсемейства Ig CD4+ T-лимфоцитов могут распознавать комплекс HLA II класса и аутоиммунных пептидов, гомологичных карбоангидразе II типа или лактоферрину, индуцируя процесс апоптоза несущих их клеток.
Вероятно, в механизме также принимают участие и CD8+ T-лимфоциты, выполняющие функцию цитотоксических клеток [3, 9].
Как известно, нарушение механизмов апоптоза играет ведущую роль в патогенезе многих аутоиммунных заболеваний. Срыв регуляторных механизмов процесса апоптоза составляет основу развития последних в связи с сохранением аутореактивных лимфоцитов в организме. Повышенное накопление активированных Т-клеток способствует персистированию аутоиммунных реакций, одним из проявлений которого и считают АИП [3].
Клиническая картина не имеет специфических симптомов и чаще всего проявляется несколькими. Абдоминальная боль — характеризуется малой интенсивностью; более чем в половине случаев вообще отсутствует, частота ее регистрации не превышает 27–50 %; в 20 % случаев боль исходно локализуется в спине [10]. Симптомы механической желтухи — иктеричность кожи, зуд, обесцвеченный кал и др. — выявляются у 30–79 % пациентов [11] из-за сочетанного с АИП IgG4-СХ с развитием стеноза интрапанкреатической части общего желчного протока и/или дистальнее расположенных стриктур желчевыводящих путей, чаще холедоха или общего печеночного протока, зоны бифуркации. Симптомы неспецифической диспепсии (10 %). Нарушение экзо- и эндокринной функции ПЖ, при этом типично быстрое прогрессирование панкреатической недостаточности вследствие выраженной воспалительной инфильтрации панкреатических островков и ацинусов. Течение диабета при этом относительно более благоприятное (по сравнению с другими этиологическими формами ХП) с возможным частичным обратным развитием, а в ряде случаев и полной редукцией функциональных нарушений на фоне патогенетической терапии клинических симптомов. Отмечается похудание как следствие анорексии и/или плохо контролируемого сахарного диабета, и/или клинически значимой мальабсорбции в результате экзокринной панкреатической недостаточности. Может отмечаться астенический синдром (общая слабость, повышенная утомляемость) и симптомы поражения других органов (слюнных желез, почек, легких, печени и др.).
АИП сочетается с панкреатической гиперферментемией в 36–45 % случаев, что не может служить специфическим диагностическим критерием. Гипербилирубинемия, синдром холестаза (30–60 % случаев).
Характерный признак при лабораторном исследовании — гипергаммаглобулинемия (увеличение IgG и особенно IgG4 >135 мг/дл). Наличие различных типов аутоантител (имеют только вспомогательное значение): антинуклеарные антитела, антитела к цитоплазме нейтрофилов (p-ANCA), антитела к карбоангидразе I, II и IV типов, ревматоидный фактор, антитела к лактоферрину, антигладкомышечные антитела, антимитохондриальные антитела. Отмечается повышение уровня тумороассоциированного антигена СА 19-9, снижение активности фракций комплемента.
Используя методики визуализации по данным ультразвукового исследования (УЗИ) для диагностики может быть информативно, но уже на поздних стадиях. Наиболее чувствительный метод визуализации для диагностики ХП, в основном на ранних стадиях заболевания, — эндоскопическое УЗИ. Информативно проведение мультиспиральной компьютерной томографии (МСКТ), магнитно-резонансной томографии (МРТ). Однако нормальные показатели МРТ и магнитно-резонансная холангиопанкреатография (МРХПГ) не могут исключать наличие легких форм заболевания. Визуализируется диффузно-увеличенная ПЖ (диффузная форма), реже очаговое образование, имитирующее опухоль (очаговая форма), иррегулярная дилатация вирсунгова протока. Конкременты и псевдокисты в ПЖ наблюдаются довольно редко.
По локализации поражения ПЖ выделяют диффузную и очаговую формы, последняя из которых наиболее часто встречается в головке ПЖ и имитирует рак этого органа, особенно при вовлечении в воспалительный процесс холедоха (IgG4-СХ) с его сужением и развитием механической желтухи. В значительной степени затрудняет проведение дифференциальной диагностики АИП с раком часто повышенный уровень СА 19-9, облигатно повышающийся при синдроме холестаза любого генеза [2, 4, 5]
Золотым стандартом диагностики АИП считается гистологическое исследование. В зависимости от результатов гистологической картины выделяют два типа: I тип — лимфоплазмоцитарный склерозирующий панкреатит; II тип — идиопатический протоково-концентрический панкреатит с гранулоцитарными эпителиальными повреждениями.
В 2009 г. были разработаны диагностические критерии HISORt:
- гистология (Histology). Основной критерий — склерозирующий панкреатит с лимфоплазматической инфильтрацией, обильная (более 10 IgG4+-клеток в поле зрения) инфильтрация ткани ПЖ позитивными клетками с двумя и более признаками: перидуктальная лимфоплазматическая инфильтрация, облитерирующий флебит, муароформный фиброз.
- визуализация (Imaging). Изменения со стороны протоков: неравномерное сужение главного панкреатического протока (ГПП), нерасширенный проток, множественные стриктуры, боковые ветви, исходящие из области стриктур. Изменения со стороны ПЖ: диффузное увеличение ПЖ, с нечеткими контурами, запоздалым накоплением контраста в виде «ободка»;
- серология (Serology) — повышение уровня IgG4 в сыворотке крови более 2 норм (8–140 мг%);
- вовлечение других органов (Other organ involvement) — стриктуры желчных протоков, фиброзирование забрюшинной клетчатки, поражение слюнных/слезных желез, лимфоаденопатия средостения;
- реакция на терапию кортикостероидами (Response to steroid therapy) — быстрый положительный эффект от терапии стероидами per os.
Диагностические критерии дают три уровня вероятности диагностики АИП.
Уровень A — типичные гистологические признаки. Наличие одного или более из следующих признаков:
- участок ткани с характерными особенностями лимфоплазмацитарного склерозирующего панкреатита;
- ≥10 IgG4+-клеток в поле зрения на фоне лимфоплазмацитарной инфильтрации.
Уровень B — типичные лабораторно-инструментальные данные. Наличие всех признаков:
- диффузное увеличение ПЖ по данным КТ/МРТ с отсроченным контрастным усилением и наличием ободка («капсула»);
- диффузная неравномерность просвета ГПП при эндоскопической ретроградной панкреатикографии;
- повышение уровня IgG4 сыворотки.
Уровень C — положительный ответ на стероидные гормоны. Наличие всех признаков:
- исключение всех прочих причин поражения ПЖ;
- повышение уровня IgG4 сыворотки или поражение других органов, подтвержденное обнаружением большого количества IgG4+-клеток;
- исчезновение / значительное улучшение панкреатических или внепанкреатических изменений на фоне терапии стероидами.
Таким образом, основные отличия гистопатологических типов АИП представлены в таблице.
Таблица. Основные отличия гистопатологических типов аутоиммунного панкреатита
Table. Main features of AIP histopathological types
Критерии / Criteria | I тип / I type | II тип / II type |
Возраст/пол / Age/Gender | Старше 50 лет, преимущественно мужчины / Over 50 years old, mainly males | Молодые, чаще болеют женщины / Young people, more often females |
Встречаемость / Prevalence | Равномерное распределение во всем мире, большинство случаев из Японии и Кореи / Even distribution all over the world, most cases have been recorded in Japan and Korea | Преимущественно в Европе и США / Predominantly in European countries and the USA |
Уровни IgG и IgG4 в плазме крови / IgG and IgG4 levels in blood plasma | Повышенные / Increased | Чаще нормальные / More often normal |
Аутоантитела в плазме крови / Autoantibodies in blood plasma | Выявляются / Can be identified | Не выявляются / Can not be identified |
Протоковый эпителий / Duct epithelium | Сохранен / Is not disturbed | Гранулоцитарная деструкция / Granulocytic destruction |
Наличие экстрапанкреатических проявлений / Presence of extrapancreatic manifestations | IgG4-ассоциированные поражения, редко язвенный колит, чаще склерозирующий холангит — 60 % (IgG4-CX), сиалоаденит — 13 %, ретроперитонеальный фиброз — 9 %, интерстициальный нефрит — 9 %, лимфоаденопатия — 9 %, тиреоидит — 7 %, интерстициальная пневмония — 7 %, псевдоопухоли — 2 % / IgG4-associated lesions, rare cases of ulcerative colitis, more often sclerosing cholangitis — 60% (IgG4-SCh), sialoadenitis — 13%, retroperitoneal fibrosis — 9%, interstitial nephritis — 9%, lymphoadenopathy — 9%, thyroiditis — 7%, interstitial pneumonia — 7%, pseudotumour — 2% | Чаще язвенный колит (IgG4-негативный), возможно сочетание с синдромом Эванса и тиреоидитом Хашимото / More often ulcerative colitis (IgG4-negative), combination with Evans syndrome and Hashimoto’s thyroiditis |
Гистологические признаки / Histological features | Инфильтрация паренхимы поджелудочной железы лимфоцитами и IgG4-позитивными плазмоцитами, муароформный фиброз, облитерирующий флебит / Infiltration of pancreas parenchyma by lymphocytes and IgG4-positive plasmocytes, moiré-form fibrosis, obliterating phlebitis | Перидуктальная лимфоплазматическая инфильтрация и флебит, но он менее выражен, чем при I типе; типична инфильтрация стенки протоков нейтрофильными гранулоцитами / Periductal lymphoplasmatic infiltration and phlebitis, but it is presented less than in case of I type, infiltration of duct wall by neutrophilic granulocytes |
Ответ на терапию клинических симптомов / Response to clinical symptom therapy | Хороший / Good | Не во всех случаях / Not in every case |
Хотя большинство результатов визуализации ПЖ не специфичны для АИП, в сочетании с клиническими симптомами некоторые результаты наводят на мысль об АИП. Капсулообразное уплотнение края ПЖ у детей отмечается не часто, но его возникновение, по-видимому, патогномонично для заболевания. Чаще сообщается об увеличении головки ПЖ. Хотя очаговое изменение ПЖ встречается редко, его необходимо дифференцировать от злокачественных опухолей, таких как панкреатобластома или солидные псевдопапиллярные эпителиальные новообразования, которые часто инкапсулированы и содержат кистозные и солидные компоненты. Лимфома — еще одна очень редкая причина очагового увеличения ПЖ. По сравнению со взрослыми [10], у детей чаще встречались очаговые, а не диффузные увеличения ПЖ. Неровности главного протока ПЖ и дистальное сужение холедоха являются неспецифическими признаками и также могут наблюдаться у пациентов с ХП или билиопанкреатическими заболеваниями любой другой этиологии или даже при первичном склерозирующем холангите. Более подробное описание патологии ПЖ и протоков с использованием поперечной визуализации затруднено из-за ограничений разрешения MRCP у детей раннего возраста [12] и редкого использования ERCP по сравнению со взрослыми [7].
Повышенный уровень IgG4 в сыворотке позволяет подумать об АИП у взрослых, но этот маркер имеет ограниченную ценность у детей, поскольку только у 22 % детей уровень IgG4 был выше нормы. Для сравнения, около 65 % взрослых пациентов с АИП типа 1 и 25 % взрослых пациентов с АИП типа 2 имеют повышенные уровни IgG4.
Диагноз АИП может быть подтвержден гистопатологической идентификацией патогномоничных и хорошо описанных признаков аутовоспалительного процесса в образце ткани ПЖ. Частое обнаружение гранулоцитарных эпителиальных поражений в образцах ткани ПЖ у детей соответствовало бы АИП типа 2 согласно критериям взрослых.
Разделение двух подгрупп АИП, таких как те, что описаны у взрослых, трудно установить у детей. По данным литературы, только у одного ребенка диагностирован аутоиммунный панкреатит в контексте системного заболевания, связанного с IgG4, и, таким образом, его можно было однозначно классифицировать как имеющий АИП типа 1. Серологический анализ IgG4 и иммуноокрашивание редко бывают положительными у детей с АИП. Хотя гранулоцитарное эпителиальное поражение чаще встречается в ПЖ у детей с АИП по сравнению со взрослыми, гистопатологические особенности педиатрического АИП часто включают сочетание поражения гранулоцитарного эпителия, лимфоплазмоцитарной инфильтрации и фиброза.
В общей сложности 27 % детей и 10–20 % взрослых [8] с диагнозом АИП имеют сопутствующие иммунные/воспалительные заболевания, особенно язвенный колит. Остается выяснить, переходит ли воспаление ПЖ на кишечник в этих случаях или же воспаление кишечника распространяется на ПЖ. В наших случаях сочетания с воспалительными заболеваниями кишечника не прослеживалось.
В настоящее время стандартным лечением АИП считается терапия кортикостероидами. Терапевтический подход к АИП со временем претерпел значительные изменения. Вначале была предпринята операция для подтверждения характера новообразования ПЖ и/или дренирования закупоренного желчного протока. ЭРХПГ использовалась для стентирования холедоха у детей с механической желтухой. В настоящее время этот подход в основном заменен пробной терапией кортикостероидами. Доза индукции кортикостероидов, используемая у детей [1–1,5 мг/(кг · день)], была выше, чем рекомендуемая доза [0,6–1 мг/(кг · день)] для взрослых с АИП. У 92 % детей клиническое улучшение после приема кортикостероидов. Интересно, что у 17 % пациентов с АИП болезнь разрешилась без какого-либо лечения. В отсутствие сравнительных исследований или исследований результатов у детей считается оправданным ограниченный по времени курс лечения кортикостероидами при острых симптомах панкреатита, который также может предотвратить долгосрочные осложнения недостаточности ПЖ.
Эффективность терапии клинических симптомов оценивается по следующим критериям: редукция биохимических маркеров холестаза; уменьшение концентрации в плазме крови уровня IgG4 и различных аутоантител (в случае их исходного повышения); положительная динамика по данным инструментальных методов исследования — уменьшение размеров и восстановление структуры ПЖ (редукция гипоэхогенности); редукция иррегулярного стеноза ГПП; стабилизация течения (или редукция) сахарного диабета; уменьшение проявлений экзокринной недостаточности ПЖ; регресс типичных морфологических признаков АИП по данным динамической ТАБ; улучшение течения сопутствующей поражению ПЖ патологии других органов.
КЛИНИЧЕСКИЙ ПРИМЕР № 1
Девочка, 4 года, поступила в стационар Санкт-Петербурга с жалобами на боли в животе, преимущественно в области пупка, многократную рвоту с примесью желчи, стул оформленный, температура нормальная. Больна в течение суток.
Объективно: состояние тяжелое. Умеренно выражены признаки эксикоза, вялая, сознание ясное. Кожа бледная, чистая, «мраморность» дистальных отделов конечностей. Слизистые рта яркие, сухие, язык обложен белым налетом. Тоны сердца ритмичные, звучные, тахикардия 123 уд/мин, артериальное давление 120/60 мм рт. ст. Дыхание везикулярное, хрипов нет. Живот мягкий, умеренно болезненный в области пупка, реагирует на глубокую пальпацию в зоне Шоффара. Печень и селезенка не увеличены. Стул после клизмы, оформленный, без патологических примесей. Мочеиспускание свободное, безболезненное.
Данные анамнеза: данный приступ третий по счету в течение года. Оба предыдущих приступа протекали аналогично — боли в животе, повторная рвота с примесью желчи, нормальный стул, нормальная температура. Во время предыдущих приступов отмечалось повышение уровня амилазы крови: 1-й приступ — до 316 Ед/л, 2-й приступ — до 1197 Ед/л (N до 125 Ед/л), по данным УЗИ размеры и структура ПЖ изменены не были.
Ранний анамнез без особенностей. Росла и развивалась соответственно возрасту. Другими болезнями не болела. Отмечались редкие аллергические реакции на цитрусовые и пенициллин в виде сыпи. Привита по возрасту. Случаев панкреатита, сахарного диабета среди родственников нет.
Лабораторные данные:
- в клиническом анализе крови — гемоглобин 133 г/л, эритроциты 4,7 · 1012/л, лейкоциты 17,7 · 109/л, палочкоядерные 1, сегментоядерные 89, эозинофилы 0, базофилы 0, лимфоциты 5, моноциты 5, СОЭ 20 мм/ч;
- в биохимическом анализе крови — амилаза 1565 Ед/л, глюкоза 5,6 мм/л, аланинаминотрансфераза 18,1 Ед/л, аспартатаминотрансфераза 32,2 Ед/л, мочевина 5,4 мм/л, общий белок 76,4 г/л, лактатдегидрогеназа 578 Ед/л, гамма-глутамилтрансфераза 11 ед/л, билирубин общий 16,4 мм/л, прямой 1,1 мм/л, холестерин 3,3 мм/л, триглицериды 0,3 мм/л, β-липопротеиды 358 ед.
Анализы мочи, кала в норме, посев кала — отр.
Данные УЗИ: ПЖ увеличена в размерах (головка 1,9 см, тело 1,6 см, хвост 2,5 см).
Структура однородная, эхогенность повышена, капсула четко контурирует, неровная. Вирсунгов проток расширен до 1,2 мм, стенки уплотнены, видны боковые протоки.
Желчный пузырь умеренно увеличен (7,0 × 2,4 см), холедох 0,2 см. Стенки ровные, не утолщены, внутриполостных сигналов нет.
Печень, почки, селезенка — без патологии.
Оценка экзокринной и эндокринной функции ПЖ: уровень эластазы-1 в кале — 92 мкг/г.
Дневные колебания глюкозы в крови: натощак — 3,9 мм/л, через час после еды — 8,8 мм/л, через 2 ч — 5,4 мм/л.
Иммунологическое исследование: IgG (мг/мл): IgG1 — 6,5 (N 2,3–6,4), IgG2 — 4,0 (N 0,3–4,5), IgG3 — 1,4 (N 0,1–1,1), IgG4 — 1,6 (N 0,1–0,8). ANA < 1 : 40 (N).
Антитела к двуспиральной ДНК методом иммунноферментного анализа — 5,1 Ед/мл (N).
Антитела к островковым клеткам ПЖ (ICA) — 1 : 10 (N <1 : 5).
Антиорганные антитела к ПЖ — 2,5 (N < 1,1).
Клинический диагноз: «Хронический аутоиммунный панкреатит. Угрожаемая по сахарному диабету».
Лечение в острый период: инфузионная терапия и коррекция электролитных расстройств, октреотид, пентоксифиллин, антибиотики, анальгетики, прокинетики.
Дальнейшее лечение: преднизолон в дозе 1 мг/(кг · сут), панкреатин в дозе 2000 Ед/(кг · сут) липазы.
Контроль через 2 нед.: амилаза крови 58 Ед/л. Дневные колебания глюкозы в крови: натощак — 4,4 мм/л, через час после еды — 5,9 мм/л, через 2 ч — 5,2 мм/л
УЗИ: ПЖ нормальных размеров (головка 1,5 см, тело 0,9 см, хвост 1,0 см), вирсунгов проток не визуализируется.
Катамнез: после постепенного снижения преднизолона и его отмены через 6 мес. состояние девочки оставалось удовлетворительным, но затем, спустя 2 мес., она вновь была госпитализирована с приступом панкреатита. По данным УЗИ: ПЖ увеличена в размерах, эхогенность неравномерная, с участками фиброза, незначительное расширение вирсунгова протока. Амилаза крови 1820 Ед/л. Уровень эластазы-1 в кале 92 мкг/г. Произведена МРХПГ, изменений в желчных протоках и протоках ПЖ не выявлено.
Вновь начата терапия преднизолоном в дозе 1 мг/кг. Учитывая снижение уровня эластазы-1 в кале, назначен панкреатин в дозе 20 000 Ед липазы в сутки. Состояние девочки улучшилось, уменьшились размеры ПЖ, но уровень амилазы оставался немного повышенным (130–150 Ед/л). Учитывая рецидивирующий характер заболевания, обострение после предыдущей отмены преднизолона, на фоне снижения дозы во время повторного курса преднизолона был назначен меркаптопурин в дозе 1 мг/(кг · сут).
Девочка наблюдается в клинике СПбГПМУ до настоящего времени, в течение 2 лет на фоне приема меркаптопурина и панкреатина обострений панкреатита не наблюдалось, уровень амилазы нормальный, размеры ПЖ, по данным УЗИ, в пределах нормы, вирсунгов проток не расширен. Уровень эластазы-1 в кале — 320 мкг/г.
КЛИНИЧЕСКИЙ ПРИМЕР № 2
Девочка, 15 лет, поступила в микрохирургическое отделение СПбГПМУ с диагнозом «опухоль поджелудочной железы».
У ребенка появились жалобы на боли в эпигастрии, которые затем переместились в левое подреберье. Обратились к педиатру по месту жительства. Было выполнено УЗИ: признаки дискинезии желчевыводящих путей, небольшие диффузные изменения ПЖ. В биохимическом анализе крови отмечено повышение значений амилазы до 589 Ед/л. Госпитализация не предложена. Через неделю отмечает появление желтушности склер и кожных покровов. Потемнение мочи, осветление кала.
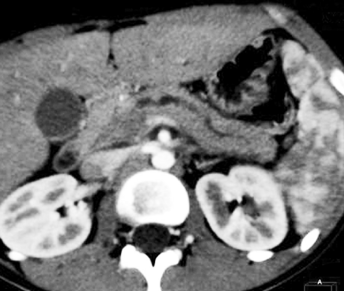
Затем вновь отмечалось появление болевого синдрома. Повторно проведено УЗИ, на котором было выявлено образование в области головки ПЖ (рис. 1) и расширение вирсунгова протока (рис. 2). От госпитализации в городскую больницу мать отказалась.
Рис. 1. Ультразвуковое исследование органов брюшной полости ребенка с аутоиммунным панкреатитом: опухолевидное образование поджелудочной железы
Fig. 1. Ultrasound examination of abdominal cavity organs of a child with AIP: tumor-like formation of pancreas
Рис. 2. Магнитно-резонансная холангиопанкреатография ребенка с аутоиммунным панкреатитом до лечения — расширение вирсунгова протока
Fig. 2. Magnetic resonance cholangiopancreatography оf a child with AIP before treatment — dilatation of Wirsung’s duct
По направлению, выданному поликлиникой по месту жительства, обратилась в СПбГМПУ.
Объективно: состояние удовлетворительное по самочувствию. Кожные покровы чистые, желтушной окраски, иктеричность склер. Зев спокоен. Дыхание проводится во все отделы, хрипов нет. Тоны сердца ясные, звучные, ритмичные. Частота сердечных сокращений 76 в минуту. Живот безболезненный во всех отделах. Поясничная область симметричная, безболезненная. Стул, со слов пациента, светлый.
Лабораторное обследование: повышение трансаминаз — аланинаминотрансфераза 209 Ед/л, аспартатаминотрансфераза 147 Ед/л, билирубин общий 123 мкмоль/л (прямой 83 мкмоль/л), гамма-глутамилтрансфераза 412 Ед/л, щелочная фосфатаза 305 Ед/л, амилаза 336 Ед/л.
Консультирована онкологом: рекомендовано исследование на онкомаркеры в крови, биопсия образования с целью верификации опухоли, КТ, МРТ.
МСКТ: в проекции головки ПЖ прослеживается округлое патологическое образование с нечеткими, неровными контурами, окруженное сосудами, размерами 30 × 40 × 60 мм. Мезентериальные и парааортальные лимфатические узлы не увеличены.
МРХПГ: МР-признаки обструкции холедоха и вирсунгова протока вследствие патологического образования головки ПЖ. Холедох расширен до 13,5 мм. Вирсунгов проток расширен до 5,0 мм (рис. 2, 3).
Рис. 3. Магнитно-резонансная холангиопанкреатография ребенка с аутоиммунным панкреатитом до лечения — расширение холедоха и вирсунгова протока
Fig. 3. Magnetic resonance cholangiopancreatography оf a child with AIP before treatment — dilatation of choledochous and Wirsung’s ducts
Выполнена чрескожная чреспеченочная холангиостомия под ультразвуковым и рентгенологическим контролем. Наружновнутреннее дренирование (стентирование) общего панкреатического протока и общего желчного протока. Трепанбиопсия новообразования головки ПЖ.
Девочка находилась в условиях отделения реанимации. Получала антибиотикотерапию, антисекреторную и инфузионную терапию. Послеоперационный период протекал гладко.
Выполнено промывание дренажа с контрастированием. На экране: хорошая проходимость дренажа, проникновение контраста в двенадцатиперстную кишку, затеков нет. Было принято решение о прекращении наружного дренирования желчных путей. Дренаж перекрыт. Начато энтеральное кормление.
Онкомаркеры: отрицательные.
Инсулин 19,4 мкМЕ/мл (2,0–25,0).
IgM 1,30 г/д (0,7–2,8). IgA 2,49 г/л (0,85–4,5). IgG 7,50 г/л (7–16).
Патологоанатомическое заключение (Национальный медицинский исследовательский центр онкологии им. Н.Н. Петрова): «Морфологическая картина может соответствовать хроническому индуративному панкреатиту минимальной степени активности. В пределах данного биоптата опухолевого поражения не выявлено».
Микроскопическое описание (Национальный медицинский исследовательский центр детской гематологии, онкологии и иммунологии им. Дмитрия Рогачева): «Материал очень маленького объема, представлен игольным биоптатом ПЖ с массивным интерстициальным фиброзом, гиалинозом и выраженным склерозом кровеносных сосудов. Остатки ацинарного «аппарата» и протоков буквально замурованы в плотную волокнистую ткань, отмечается неравномерная плазмоцитарная инфильтрация с небольшим количеством мелких лимфоцитов (CD3+, CD20+), расположенная преимущественно вокруг протоков (экспрессия СК7, РСК). Плазматические клетки экспрессируют CD38, тотально позитивные IgG, небольшая часть из этих позитивных клеток экспрессируют IgG4. Заключение: «В пределах исследуемого материала малого диагностического объема выявлены признаки, не исключающие наличие IgG4-ассоциированного аутоиммунного панкреатита. Рекомендовано определение IgG4 в сыворотке крови, консультация иммунолога».
Клинический диагноз: «Аутоиммунный хронический панкреатит с преимущественным поражением головки pancreas. Фиброз головки ПЖ. Вторичный обструктивный холестаз. Механическая желтуха».
Назначена терапия преднизолоном в дозе 40 мг/сут.
Эластаза 62 мкг (при норме более 200), что соответствует тяжелой степени недостаточности экзокринной функции ПЖ.
IgG4 в крови 0,13 г/л (0,1–1,35 г/л, что соответствует норме).
Учитывая нормальный уровень IgG4 в крови, генез панкреатита потребовал уточнения.
Выполнено генетическое исследование на наследственный панкреатит — мутаций не выявлено.
Учитывая недостаточность экзокринной функции ПЖ, назначена заместительная ферментотерапия препаратом панкреатина в дозе 20 000 Ед 3 раза в день на основные приемы пищи и 10 000 Ед — на «перекусы».
В динамике: нормализация биохимических показателей.
КТ (контроль): при сопоставлении с данными предыдущей МСКТ положительная динамика — уменьшилась степень расширения вирсунгова протока до ~3 мм (ранее ~5 мм). Отмечается также уменьшение размеров ПЖ в области тела и хвоста (13 × 15 мм соответственно). Перестали прослеживаться инфильтрация в парапанкреатической клетчатке и скопление жидкости в этой области. Сохраняется увеличение головки ПЖ до 30 × 40 мм (нельзя исключить уменьшения на 1–2 мм). Структура ее неоднородная, с более плотными участками (до 45 HU в сравнении с остальными отделами 40 HU).
Контуры железы мелкофестончатые. Контрастирование своевременное, достаточно гомогенное, диаметром до 14 мм.
Желчный пузырь туго заполнен. Содержимое без особенностей.
Краниокаудальный размер печени 135 мм. Плотностные показатели паренхимы 65 HU. Структура однородная. Внутрипеченочные желчные протоки расширены до 3–4 мм (левый — ранее до 10 мм; правый — без динамики). Внепеченочные желчные протоки задренированы. Желчный пузырь типично расположен, увеличен в размерах (120 × 38 мм), имеется перегиб в области шейки, стенка пузыря толщиной до 2 мм, рентгеноконтрастных конкрементов не выявлено. Размеры селезенки не увеличены, сохраняется добавочная долька.
Заключение: КТ-картина увеличения размеров и неоднородности структуры ПЖ в области головки. Положительная динамика в сравнении с данными предыдущей МСКТ (рис. 4).
Рис. 4. Магнитно-резонансная холангиопанкреатография ребенка с аутоиммунным панкреатитом в динамике на фоне лечения: размеры холедоха и вирсунгова протока уменьшились
Fig. 4. Magnetic resonance cholangiopancreatography of a child with AIP in dynamics during treatment: the size of choledochous and Wirsung’s ducts has diminished
У пациентки установлен дренирующий транспеченочный катетер. Планируется длительное стояние указанного катетера с целью улучшения желчного дренажа в течение 1,5–2 лет, в зависимости от течения заболевания. Необходимо выполнение ежесуточного промывания катетера, при необходимости — его замена.
Выписана в удовлетворительном состоянии.
Рекомендовано:
- Наблюдение хирурга и гастроэнтеролога.
- Дальнейшее постепенное расширение диеты.
- Ферментотерапия препаратом панкреатина — продолжить принимать в течение 1 мес., после принимать по 1 капсуле 3 раза в день (доза 10 000 Ед).
- Контроль биохимических показателей крови.
- Диета с исключением жирной и жареной пищи.
- Контрольное КТ-исследование через 3 мес.
- Постоянное промывание дренажа.
ЗАКЛЮЧЕНИЕ
АИП — уникальная форма панкреатита. Диагноз АИП у детей основывается на сочетании клинических симптомов и явных патологий паренхимы ПЖ, протоков ПЖ и/или желчных протоков, возможно, дополненных гистопатологическими данными. Основным методом выбора терапии являются кортикостероиды с потенциальными долгосрочными последствиями, включая внешнесекреторную недостаточность ПЖ и диабет.
Мы надеемся, что наш обзор с клиническими случаями приведет к лучшему распознаванию АИП у детей, тем самым проложив путь для будущих исследований.
ДОПОЛНИТЕЛЬНАЯ ИНФОРМАЦИЯ
Вклад авторов. Все авторы внесли существенный вклад в разработку концепции, проведение исследования и подготовку статьи, прочли и одобрили финальную версию перед публикацией).
Источник финансирования. Работа выполнена при поддержке Российского фонда фундаментальных исследований (грант № 17-29-06069).
Конфликт интересов. Авторы декларируют отсутствие явных и потенциальных конфликтов интересов, связанных с публикацией настоящей статьи.
Этический комитет. Протокол исследования был одобрен локальным этическим комитетом (№ 07/02 от 16.12.2021).
Информированное согласие на публикацию. Авторы получили письменное согласие законных представителей пациентов на публикацию медицинских данных и фотографий.
ADDITIONAL INFORMATION
Authors’ contribution. Thereby, all authors made a substantial contribution to the conception of the study, acquisition, analysis, interpretation of data for the work, drafting and revising the article, final approval of the version to be published and agree to be accountable for all aspects of the study.
Funding source. This work was supported by Russian Foundation for Basic Research (grant No. 17-29-06069).
Competing interests. The authors declare that they have no competing interests.
Ethics approval. The present study protocol was approved by the local Ethics Committee (No. 07/02, 2021.12.16).
Consent for publication. Written consent was obtained from the patients for publication of relevant medical information and all of accompanying images within the manuscript.
About the authors
Svetlana N. Minina
Saint Petersburg State Pediatric Medical University
Author for correspondence.
Email: s.drozdova@mail.ru
ORCID iD: 0009-0009-2163-4778
SPIN-code: 9129-4393
MD, PhD, Cand. Sci. (Med.), Associate Professor, Department of Children’s Diseases named after Professor I.M. Vorontsov Postgraduate and Additional Professional Education
Russian Federation, Saint PetersburgElena A. Kornienko
Saint Petersburg State Pediatric Medical University
Email: elenkornienk@yandex.ru
SPIN-code: 5120-9007
MD, PhD, Dr. Sci. (Med.), Professor, Department of Children’s Diseases named after Professor I.M. Vorontsov Postgraduate and Additional Professional Education
Russian Federation, Saint PetersburgEvgeny N. Suspitsyn
Saint Petersburg State Pediatric Medical University
Email: evgeny.suspitsin@gmail.com
ORCID iD: 0000-0001-9764-2090
SPIN-code: 2362-6304
MD, PhD, Cand. Sci. (Med.), Associate Professor, Department of Medical Genetics
Russian Federation, Saint PetersburgEvgeny N. Imyanitov
Saint Petersburg State Pediatric Medical University
Email: evgeny@imyanitov.spb.ru
ORCID iD: 0000-0003-4529-7891
SPIN-code: 1909-7323
MD, PhD, Dr. Sci. (Med.), Professor, Head, Department of Medical Genetics
Russian Federation, Saint PetersburgReferences
- Avanesyan RI, Avdeeva TG, Alekseeva EI, et al. Pediatriya: Natsional’noe rukovodstvo. In 2 vol. Moscow: GEOTAR-Media, 2009. (In Russ.)
- Alekseev VV, Alipov AN, Andreev VA. Meditsinskie laboratornye tekhnologii. In 2 vol. Vol. 2. Moscow: GEOTAR-Media, 2013. 792 p. (In Russ.)
- Okhlobystin AV. Autoimmune pancreatitis: new concepts of pathogenesis, diagnostics, and treatment. Russian Journal of Evidence-Based Gastroenterology. 2013;(1):2227. (In Russ.)
- Privorotsky VF, Luppova NE. Pancreatic type dysfunction of oddi sphincter in children. Pediatrician (St. Petersburg). 2016;7(3): 111–116. (In Russ.) doi: 10.17816/PED73111-116
- Yagupova AA, Kornienko EA, Loboda TB, Fadina SA. New diagnosis in pediatric practice: autoimmune pancreatitis. Pediatrician (St. Petersburg). 2013;4(4):48–55. (In Russ.) doi: 10.17816/PED4448-55
- Bolia R, Chong SY, Coleman L, et al. Autoimmune pancreatitis and IgG4 related disease in three children. ACG Case Rep J. 2016;3(4): e115. doi: 10.14309/crj.2016.88
- Chavhan GB, Babyn PS, Manson D, Vidarsson L. Pediatric MR cholangiopancreatography: principles, technique, and clinical applications. Radiographics. 2008;28(7):1951–1962. doi: 10.1148/rg.287085031
- Hamano H, Kawa S, Horiuchi A, et al. High serum IgG4 concentrations in patients with sclerosing pancreatitis. N Engl J Med. 2001;344(10):732–738. doi: 10.1056/NEJM200103083441005
- Hart PA, Kamisawa T, Brugge WR, et al. Long-term outcomes of autoimmune pancreatitis: a multicentre, international analysis. Gut. 2013;62(12):1771–1776. doi: 10.1136/gutjnl-2012-303617
- Hart PA, Zen Y, Chari ST. Recent advances in autoimmune pancreatitis. Gastroenterology. 2015;149(1):39–51. doi: 10.1053/j.gastro.2015.03.010
- Okazaki K, Kawa S, Kamisawa T, et al. Amendment of the Japanese Consensus Guidelines for Autoimmune Pancreatitis 2013 I. Concept and diagnosis of autoimmune pancreatitis. J Gastroenterol. 2014;49:567–588. doi: 10.1007/s00535-014-0942-2
- Refaat R, Harth M, Proschek P, et al. Autoimmune pancreatitis in an 11-year-old boy. Pediatr Radiol. 2009;39:389–392. doi: 10.1007/s00247-008-1132-2
Supplementary files




