Giant hepatic hemangiomas in newborns, review literature. Two cases of giant congenital hepatic hemangiomas
- Authors: Podkamenev A.V.1, Syrtsova A.R.1, Ti R.A.1, Kuzminykh S.V.1, Kondratiev G.V.1, Myznikova I.V.1, Kostylev A.A.2
-
Affiliations:
- St. Petersburg State Pediatric Medical University, Ministry of Healthcare of the Russian Federation
- St. Petersburg’s Children’s City Multidisciplinary Clinical Specialized Center of High Medical Technologies
- Issue: Vol 11, No 5 (2020)
- Pages: 57-65
- Section: Clinical observation
- URL: https://medbiosci.ru/pediatr/article/view/62351
- DOI: https://doi.org/10.17816/PED11557-65
- ID: 62351
Cite item
Full Text
Abstract
Hemangiomas are the most frequent tumors of childhood age. In the first year of life their prevalence is 10–12%. Among premature children, the prevalence of hemangiomas correlates with the degree of prematurity. Liver hemangiomas are a wide range of benign vascular formations that can acquire both malignant course and capable of spontaneous regression. Small-sized hemangiomas generally do not require specific treatment and proceed asymptomally. Large-sized formations can cause life-threatening conditions such as severe thrombocytopenia with coagulopathy (Kazabah–Merrit syndrome), anaemia, tumor hemorrhage, spontaneous and traumatic tumor breaks, heart failure associated with intra-tumor bypass of blood flow, abdominal compression syndrome, severe hypothyroidism. Diagnosis of this pathology is carried out on the basis of a set of data of medical imaging, laboratory diagnostics and clinical picture. This review presents key points of general classification, the most characteristic diagnostic signs, as well as basic algorithms of treatment of liver hemangiomas in newborns and children of the first year of life. There are also described 2 clinical cases of newborns with giant liver hemangiomas, which were examined and treated in the pathology department of newborns and infants of Perinatal Center of St. Petersburg State Pediatric Medical University with a description of the peculiarities of the course of each of them.
Full Text
Гемангиомы — наиболее часто встречающиеся доброкачественные сосудистые образования печени детского возраста, которые могут приобретать как злокачественное течение, так и спонтанно регрессировать. Гемангиомы небольших размеров, как правило, не требуют специфического лечения и протекают бессимптомно. Клинически значимыми у плодов и новорожденных принято считать сосудистые образования печени размерами от 4,0 см в диаметре [12, 16]. Гигантские гемангиомы печени могут вызывать жизнеугрожающие состояния: тяжелую тромбоцитопению с коагулопатией (синдром Казабаха – Меррита), анемию, кровоизлияние в опухоль, спонтанные и травматические разрывы опухоли, сердечную недостаточность, связанную с внутриопухолевым шунтированием кровотока, синдром абдоминальной компрессии, тяжелый гипотиреоз [14].
Эпидемиология
Гемангиомы всех локализаций встречаются с частотой 1,1–2,6 % среди всех новорожденных. На первом году жизни их распространенность составляет 10–12 %. Девочки болеют в 3–5 раз чаще, чем мальчики. Среди недоношенных детей распространенность гемангиом коррелирует со степенью недоношенности: у детей с весом при рождении менее 1500 г частота гемангиом составляет 15 %, у детей с весом при рождении менее 1000 г — от 22 до 30 %.
Антенатальные факторы риска развития гемангиом крайне неспецифичны и сводятся преимущественно к внутриутробной гипоксии и гипотрофии плода [4–6, 12].
Классификация
Существующие классификации гемангиом отражают их локализацию, способность к регрессии, а также морфологические подтипы.
Согласно классификации Международного общества по изучению сосудистых аномалий (International Society for the Study of Vascular Anomalies — ISSVA) гемангиомы печени классифицированы на 3 типа: фокальный, мультифокальный и диффузный [6].
Фокальный тип поражения считался печеночной формой кожных быстро инволюционирующих гемангиом, которые могут не отвечать на терапию пропранололом. Мультифокальный и диффузный типы относили к истинным инфантильным гемангиомам. Позже фокальный тип печеночных гемангиом соотнесли с врожденными гемангиомами и разделили на два подтипа: быстро регрессирующие врожденные гемангиомы (большинство инволюционируют самостоятельно к 12 мес. жизни) и нерегрессирующие врожденные гемангиомы [11, 15]. В последующем международное общество по изучению сосудистых аномалий (ISSVA classification for vascular anomalies) остановилось на классифицировании всего 2 типов гемангиом печени: врожденной печеночной гемангиоме, имеющей 3 подтипа (быстроинволюционирующая, частично инволюционирующая и неинволюционирующая), и инфантильной печеночной гемангиоме, что соотносится с общей классификацией доброкачественных сосудистых образований (см. таблицу) [11].
Общая классификация доброкачественных сосудистых образований Common classification for vascular anomalies |
Доброкачественные сосудистые образования / Benign vascular tumors |
Инфантильная гемангиома / младенческая гемангиома / Infantile hemangioma / hemangioma of infancy |
Врожденная гемангиома / Congenital hemangioma · быстроинволюционирующая / rapidly involuting (RICH) · неинволюционирующая / non-involuting (NICH) · частично инволюционирующая / partially involuting (PICH) |
Пучковая ангиома / Tufted angioma |
Веретеноклеточная гемангиома / Spindle-cell hemangioma |
Эпителиоидная гемангиома / Epithelioid hemangioma |
Пиогенная гранулема (также известна как дольчатая капиллярная гемангиома) / Pyogenic granuloma (also known as lobular capillary hemangioma) |
Другие / Others |
Особенности клинического течения гемангиом
У инволюционирующих врожденных и инфантильных гемангиом в течение первых 3–4 мес. жизни, как правило, происходит быстрый рост (фаза пролиферации 1), который в последующие 5–8 мес. несколько замедляется (фаза пролиферации 2), к возрасту 11–13 мес. рост образования прекращается (плато). В 14–16 мес. начинается фаза регрессии гемангиомы, которая в зависимости от размеров образования может продлиться от 2 до 9 лет [7, 8, 14].
На рис. 1 приведена обобщенная схема, отражающая характер наиболее частого естественного течения гемангиомы.
Гемангиомы печени небольших размеров чаще всего протекают бессимптомно и выявляются в ходе скрининговых обследований как случайная находка. Гигантские гемангиомы печени могут проявляться неспецифическими симптомами. К наиболее частым из них относятся:
- увеличение размеров живота, обусловленное выраженной гепатомегалией;
- расширение подкожных вен передней брюшной стенки;
- абдоминальный компартмент-синдром, сопровождающийся респираторными нарушениями, синдромом нижней полой вены, острой почечной недостаточностью;
- геморрагический синдром (включая синдром Казабаха–Меррита);
- сердечная недостаточность, связанная с внутриопухолевым шунтированием кровотока;
- гипотиреоз;
- изолированные или сочетанные гематологические нарушения (анемия, тромбоцитопения, гипокоагуляция) [2, 9, 14].
Диагностика
Первичную диагностику гигантских гемангиом печени проводят с помощью методов медицинской визуализации. Наиболее доступный скрининговый метод — ультразвуковое исследование (УЗИ) с доплерографией сосудов. Зарубежные клинические рекомендации методом выбора считают магнитно-резонансную томографию (МРТ) и МР-ангиографию, объясняя это отсутствием влияния на пациента ионизирующео излучения и высокой информативностью данного метода исследования [14].
Однако для получения достоверных результатов исследования требуется наличие аппарата с высокой индукцией магнитного поля (1,5–3,0 Тл), а также достаточная квалификация специалиста, проводящего исследование и описание снимков. Этот метод исследования также может потребовать медикаментозной седации у пациента любого возраста, что влечет за собой дополнительные технические трудности.
Мультиспиральная компьютерная томография (МСКТ) с внутривенным контрастированием (в том числе МСКТ-ангиография) — наиболее чувствительный из доступных в современных условиях отечественной медицины метод визуализации, его характеризует техническая простота исполнения, быстрота и отсутствие необходимости в седации у детей в периоде новорожденности. Правильно проведенное исследование в совокупности с другими методами нивелирует необходимость морфологической верификации диагноза [1].
При выполнении МСКТ обязательно получение изображений до введения контрастного препарата (нативная фаза), затем проводят сканирование в артериальную (через 30 с после его введения), венозную (через 60 с после введения) и отсроченную фазы (через несколько минут после введения). Плотность гемангиом в нативную фазу обычно снижена, иногда в образовании могут визуализироваться кальцинаты. В артериальную фазу маленькие гемангиомы демонстрируют быстрое равномерное накопление контрастного препарата и сохраняют контрастирование в венозную фазу. Наиболее характерный признак гемангиомы — неравномерное накопление контрастного препарата в периферических отделах образования в артериальную фазу с последующим распространением области контрастирования к центру. Чувствительность и специфичность этого признака составляют 88 и 84–100 % соответственно. Центральный отдел может стать гиперденсным в отсроченную фазу исследования. Атипичными признаками гемангиом являются артериопортальные шунты и втяжение капсулы печени. Редко контрастирование происходит от центра к периферии [3, 12, 17].
В совокупности с методами медицинской визуализации обязательно использование лабораторных методов обследования: исследование онкомаркеров в сыворотке крови [альфа-фетопротеина (АФП) с динамической оценкой его уровня], бета-субъединицы хорионического гонадотропина человека (бета-ХГЧ), нейронспецифической энолазы (NSE), неспецифических биохимических показателей крови, коагулограмма, клинический анализ крови.
Любые виды биопсий (игольные, инцизионные) в большинстве случаев не требуются, так как диагностику проводят на основании полученных клинико-рентгенологических и лабораторных данных. Однако в случаях неясной клинико-рентгенологической картины, а также рефрактерного течения необходимо проведение инцизионной биопсии для морфологической верификации диагноза.
Лечение
Препарат выбора в лечении гемангиом — антагонист β-1 и β-2 адренергических рецепторов пропранолол. Точный механизм воздействия данного препарата на гемангиомы до конца не изучен, однако предполагается, что основными факторами могут быть ингибирование ангиогенеза, вазоконстрикция, индукция апоптоза, торможение продукции оксида азота и регулирование ренин-ангиотензиновой системы [7, 18].
Стандартный режим дозирования 2–3 мг/кг в сутки, если не требуется меньшей дозировки в связи с развитием побочных эффектов или наличием сопутствующих заболеваний. Стартовая доза составляет 0,5–1 мг/кг в сутки с постепенным титрованием до терапевтической дозы каждые 48–72 ч в зависимости от переносимости препарата. Режим приема суточной дозировки 2–3 раза в сутки. Препарат следует принимать во время или сразу после кормления, чтобы минимизировать риск развития гипогликемии в связи с влиянием препарата на гликогенолиз и глюконеогенез. Ранние клинические признаки гипогликемии у детей могут быть замаскированы β-адренергической блокадой препарата, они включают в себя повышенную потливость, тахикардию, тремор, тогда как более поздние проявления (признаки нейрогликопении) проявляются летаргией, плохим аппетитом, эпизодами апноэ, судорогами и угнетением сознания.
Потенциальными побочными эффектами пропранолола также могут быть нарушение сна, гиперреактивность бронхов и клинически симптоматическая брадикардия и гипотония.
Исследования показали: наибольший риск развития rebound-syndrome (синдрома «отката») или рецидива возникает у тех пациентов, у кого терапия была прекращена в возрасте до 12 мес. (особенно до 9 мес.); самый низкий риск — у кого лечение было прекращено между 12 и 15 мес. жизни. Эти наблюдения привели многих экспертов к минимальному рекомендуемому сроку продолжительности терапии до 1 года.
В случае плохой переносимости и/или низкой эффективности терапии пропранололом, второй линией терапии может быть глюкокортикостероид преднизолон. Стандартная дозировка, описанная в литературе, 2–5 мг/кг в сутки. Длительность терапии составляет 4–12 нед. в полной дозе с последующим ее снижением и завершением терапии к 9–12 мес. Некоторые исследования показывают эффективность коротких прерывистых курсов интермиттирующей терапии 1–6 нед. с повторением по необходимости.
Существуют исследования, сравнивающие пероральный прием пропранолола в монотерапии с пропранололом в сочетании с 2-недельной пульс-терапией преднизолоном. Группа комбинированной терапии показала статистически значимое уменьшение размеров гемангиом на 2, 4 и 8-й неделе лечения по сравнению с группой монотерпии пропранололом, однако 6-месячный ответ был неоднозначным для обеих групп относительно всех оцениваемых переменных [2, 7, 14, 18].
Есть также исследования, доказывающие успешное применение иммуносупрессивной терапии (препарат «Сиролимус» — mTOR-ингибитор) в лечении сосудистых образований и аномалий [10, 13].
Описание клинических случаев гигантских врожденных гемангиом печени у 2 пациентов клиники Перинатального центра СПбГПМУ
Случай 1. Девочка Е., новорожденная. Антенатально патологии не выявлено. После рождения при осмотре отмечалось увеличение окружности живота, подчеркнутость венозной сети на передней грудной и брюшной стенке, пальпаторное увеличение печени и селезенки, множественные гемангиомы кожи туловища, головы и конечностей. В клиническом анализе крови выявлена тромбоцитопения. Для дообследования и лечения ребенок переведен в отделение патологии новорожденных Перинатального центра СПбГПМУ. При поступлении состояние пациента стабильное, был проведен мониторинг: витальные функции — без особенностей. При осмотре на коже передней грудной и брюшной стенки отмечалась выраженная подчеркнутость поверхностных венозных сосудов. Живот мягкий, симметричный, не вздут, но увеличен в объеме, при пальпации безболезненный, пальпируется увеличенная печень, выступающая до 6 см из-под края реберной дуги (рис. 2, 3), край печени плотный, закруглен, селезенка не пальпируется.
Рис. 1. Фазы естественного течения гемангиомы
Fig. 1. Phases of the development of hemangiomas
Рис. 2. Внешний вид пациентки Е. при поступлении. Линией обозначены пальпаторные границы печени
Fig. 2. External view of the patient 1. The line marks the palpation borders of the liver
Рис. 3. Внешний вид пациентки Е. при поступлении (сбоку). Линией обозначены пальпаторные границы печени
Fig. 3. External view of the patient 1 (laterally). The line marks the palpation borders of the liver
В толще кожи левой теменной области отмечается сосудистое образование с синюшным оттенком, возвышающееся над поверхностью, плотно-эластичное при пальпации, безболезненное (гемангиома). На коже правой голени имеются пятна вишнево-синюшного цвета, различной формы, размерами до 3,0–5,0 см, не выступающие над поверхностью здоровой кожи (телеангиэктатические невусы). Инфильтрации в подлежащие ткани, признаков воспаления нет.
Проведено комплексное обследование: УЗИ органов брюшной полости (июнь 2019 г.) — в правой доле печени визуализируется объемное образование с неоднородной структурой, занимающее большую часть правой доли, с четкими границами и гиперэхогенными включениями. МСКТ с контрастным усилением (июнь 2019 г.) — КТ-картина образования, наиболее соответствующего сосудистому образованию — гемангиоме печени (рис. 4, 5).
Рис. 4. Компьютерная томограмма: объемное изображение васкуляризации образования
Fig. 4. CT: Image of tumor vascularization
Рис. 5. Компьютерная томограмма: фронтальный снимок образования (гемангиомы) печени в артериальную фазу контрастирования
Fig. 5. Frontal CT scan of the tumor (hemangioma) in the arterial phase
Кровь на онкомаркеры: альфа-фетопротеин в динамике снизился с 35 500,0 до 4382,30 нг/мл в течение 14 дней, бета-ХГЧ отрицательный, NSE 10,2 нг/мл (N до 16). В клиническом анализе крови при поступлении отмечалась тромбоцитопения (51 · 109/л), коагулограмма: D-Димер 18665 нг/мл, АПТВ 30,7 с, ПВ 98 %, тромбиновое время 30,6 с, фибриноген 1,75 г/л (признаки ДВС-синдрома).
По совокупности вышеуказанных данных диагноз пациента трактован как: «Врожденная гигантская гемангиома печени. Синдром Казабаха – Меррита (коагулопатия потребления, тромбоцитопения). Гемангиомы лобной и теменной областей. Телеангиоэктатический невус правой голени».
Начата консервативная терапия препаратом пропранолол с выходом на терапевтическую дозировку — 3 мг/кг в сутки. На фоне терапии осложнений не отмечалось, явления коагулопатии купированы, уровень тромбоцитов нормализовался (трансфузий компонентов донорской крови не требовалось). В удовлетворительном состоянии ребенок выписан на амбулаторное лечение (в возрасте 2 мес.). В динамике через 1 мес. при контрольном осмотре в возрасте 3 мес. отмечено увеличение размеров образования печени по результатам УЗИ, и при клиническом осмотре (увеличение окружности живота на 10 см), в связи с чем ребенок госпитализирован повторно.
Данные контрольного обследования:
УЗИ органов брюшной полости (сентябрь 2019 г.): гепатомегалия за счет гигантского образования печени, нарастание размеров образования на 5–7 см от изначальных размеров.
МСКТ грудной, брюшной полостей, головы (сентябрь 2019 г.): гигантское образование брюшной полости, увеличение размеров: с 8 × 10 до 16 × 15 см, занимающее бóльшую часть брюшной полости, предположительно сосудистого характера. Отмечается уменьшение просвета брюшного отдела аорты ниже образования, сужение просветов подвздошных сосудов.
Лабораторно: динамический контроль АФП — продолженное снижение 35 500,0 → 4382,30 → → 221 нг/мл. В клиническом анализе крови — анемия 77 г/л, умеренная тромбоцитопения (117 · 109) В биохимическом анализе крови данных о нарушении функции печени нет. Коагулограмма в динамике — нарастание Д-димера до 9000 нг/мл, снижение фибриногена 1,27 г/л. Клинических признаков геморрагического синдрома не отмечалось.
В связи с отрицательной динамикой на фоне монотерапии пропранололом принято решение об усилении терапии преднизолоном в дозировке 5 мг/кг в сутки (в течение 4 нед.).
На фоне лечения отмечена положительная динамика в виде уменьшения окружности живота, уменьшения объемов образования правой доли печени по данным УЗИ, нормализации числа тромбоцитов и показателей коагулограммы. На фоне снижения дозировки и отмены преднизолона рецидивирования синдрома Казабаха – Меррита не произошло, данных о росте объемного образования печени нет.
По данным контрольного МСКТ брюшной полости с контрастным усилением (ноябрь 2019 г. — возраст ребенка 5 мес.): образование уменьшилось в размерах по всем измерениям, общий его объем уменьшился на 32 %.
В дальнейшем пациентка наблюдалась амбулаторно с проведением УЗ-контроля. В динамике — продолженное уменьшение образования.
МСКТ брюшной полости с в/в контрастным усилением (возраст 8 мес.) — уменьшение образования на 54 %.
В настоящий момент срок наблюдения составляет 21 мес., терапия завершена в возрасте 18 мес. Данных о продолжающемся росте образования нет.
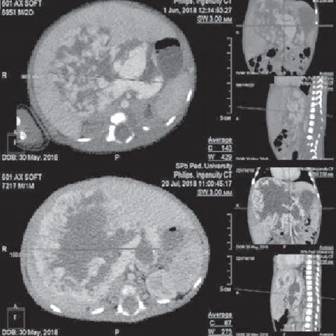
Случай 2. Мальчик Б., новорожденный. Антенатально по УЗИ у плода с 22-й недели гестации выявлялось образование брюшной полости (предположительно, образование печени). После рождения переведен в отделение патологии новорожденных. При поступлении состояние ребенка стабильное, проводился мониторинг витальных функций — без особенностей. При осмотре на коже передней грудной и брюшной стенки отмечается подчеркнутость поверхностных венозных сосудов. Живот мягкий, симметричный, не вздут, но увеличен в объеме, при пальпации безболезненный, пальпируется увеличенная уплотненная печень, выступает до 4,0 см из-под края реберной дуги (рис. 6, 7), край печени плотный, закруглен, селезенка не пальпировалась.
Рис. 6. Внешний вид пациента Б. сбоку. Линией обозначены пальпаторные границы печени
Fig. 6. External view of the patient 2 laterally. The line marks the palpation borders of the liver
Рис. 7. Внешний вид пациента Б. Линией обозначены пальпаторные границы печени
Fig. 7. Frontal view of the patient 2. The line marks the palpation borders of the liver
Проведено обследование: УЗИ органов брюшной полости — визуализируется объемное образование с кровотоком, занимающее всю правую долю печени. МСКТ брюшной полости с контрастным усилением — выявлено гигантское сосудистое образование печени срединного расположения (рис. 8).
Рис. 8. Аксиальные компьютерно-томографические снимки во все фазы контрастирования
Fig. 8. Axial CT images in all phases of contrast
Кровь на онкомаркеры: АФП в динамике со снижением в течение 3 мес. наблюдения: 48 200 → → 27 853 → 8982 → 150,0 нг/мл; NSE22,2 нг/мл. Другие лабораторные показатели в пределах возрастных значений.
По совокупности полученных данных представленное образование трактовано как гигантская врожденная гемангиома печени. Начата консервативная терапия препаратом «Пропранолол» с выходом на терапевтическую дозировку — 3 мг/кг в сутки. Осложнений на фоне терапии не отмечалось.
Из особенностей: за время нахождения ребенка в отделении в биохимическом анализе крови отмечалось повышение С-реактивного белка с колебаниями в динамике (5 → 100 → 150 → 80 → → 93,8 → 101,2 → 71,2 → 88,0 г/л), периодические эпизоды транзиторного субфебрилитета. Клинически значимого лейкоцитоза и сдвига лейкоцитарной формулы до юных форм на этом фоне не отмечалось. С целью исключения инфекционного процесса (бактериальной, грибковой и вирусной этиологиии) проведена комплексная лабораторная диагностика (посевы мазков на флору из различных локусов, посевы крови, мочи, кала, ПЦР-исследование). Данных о инфекционном процессе не получено. Учитывая объем поражения печени, сосудистую природу образования, отсутствие лабораторных и клинических данных о течении инфекционного процесса, изолированное повышение С-реактивного белка в крови и транзиторный субфебрилитет трактованы как неинфекционное воспаление сосудов гемангиомы.
При контрольном обследовании в возрасте 3 мес. на УЗИ признаков прогрессирования образования печени не выявлено. МСКТ органов грудной клетки и брюшной полости с в/в контрастированием: в легких без очаговых и инфильтративных изменений, отмечается умеренное уменьшение объема образования, уменьшение диаметра и количества сосудов в центральных отделах образования (рис. 9).
Рис. 9. Компьютерно-томографические снимки брюшной полости в различных плоскостях и фазах контрастирования, контроль в 3 месяца
Fig. 9. CT images in various planes and contrast phases, control at 3 months
При контрольном обследовании в возрасте 8 мес. по МСКТ отмечается продолженное уменьшение размеров образования на 65 % от первичного объема.
В настоящий момент срок наблюдения составляет 22 мес., терапия завершена в возрасте 18 мес. Данных о продолжающемся росте образования нет.
ЗАКЛЮЧЕНИЕ
Течение гемангиом печени в представленных клинических случаях типичное и соответствует общепринятым данным в отношении данной патологии.
На основании описанных примеров и имеющихся данных литературы гемангиомы печени у детей представляют собой доброкачественные сосудистые образования, которые могут иметь 3 основных линии естественного течения: полная инволюция, частичная инволюция и отсутствие инволюции. Диагностика данной патологии у новорожденных основывается на совокупности данных клинической картины медицинской визуализации и лабораторной диагностики. Гистологическое исследование необязательное, но может потребоваться в случае сомнительного диагноза с целью исключения злокачественных новообразований. Лечение требуется только в случае клинически значимых форм заболевания. Методом выбора во всех случаях стала консервативная терапия, препарат первой линии — пропранолол. При необходимости терапию можно усилить применением глюкокортикостеридных препаратов или перейти к препаратам иммуносупрессивного ряда.
About the authors
Alexey V. Podkamenev
St. Petersburg State Pediatric Medical University, Ministry of Healthcare of the Russian Federation
Author for correspondence.
Email: podkamenev@hotmail.com
MD, PhD, Dr. Sci. (Med.), Associate Professor, Department of Surgical Diseases of Childhood
Russian Federation, Saint PetersburgArina R. Syrtsova
St. Petersburg State Pediatric Medical University, Ministry of Healthcare of the Russian Federation
Email: syrcovaarina@gmail.com
Pediatric Surgeon, Operating Department, Perinatal Center
Russian Federation, Saint PetersburgRoman A. Ti
St. Petersburg State Pediatric Medical University, Ministry of Healthcare of the Russian Federation
Email: sprut009@yandex.ru
Pediatric Surgeon, Operating Department, Perinatal center
Russian Federation, Saint PetersburgSvetlana V. Kuzminykh
St. Petersburg State Pediatric Medical University, Ministry of Healthcare of the Russian Federation
Email: svkuzminykh@yandex.ru
Pediatric Surgeon, Operating Department, Perinatal center
Russian Federation, Saint PetersburgGleb V. Kondratiev
St. Petersburg State Pediatric Medical University, Ministry of Healthcare of the Russian Federation
Email: spbgvk@mail.ru
Pediatric Oncologist, Assistant Professor, Department of With a Course of Radiation Oncology Diagnostics and Radiotherapy
Russian Federation, Saint PetersburgIrina V. Myznikova
St. Petersburg State Pediatric Medical University, Ministry of Healthcare of the Russian Federation
Email: irinayurko2014@yandex.ru
Neonatologist, Head of the Department of Pathology of Newborns and Infants, Perinatal center
Russian Federation, Saint PetersburgAlexandr A. Kostylev
St. Petersburg’s Children’s City Multidisciplinary Clinical Specialized Center of High Medical Technologies
Email: aka181091@gmail.com
Pediatric Oncologist, Pediatric Oncologist, Department of Oncohematology
Russian Federation, Saint PetersburgReferences
- Скипенко О.Г., Камалов Ю.Р., Ховрин В.В., и др. Лучевая диагностика гемангиом печени: взгляд на проблему из хирургической клиники // Экспериментальная и клиническая гастроэнтерология. – 2011. – № 10. – С. 78–86. [Skipenko OG, Kamalov YuR, Khovrin VV, et al. Luchevaya diagnostika gemangiom pecheni: vzglyad na problemu iz khirurgicheskoy kliniki. Eksperimental’naya i klinicheskaya gastroenterologiya. 2011:(10):78-86. (In Russ.)]
- Федорова Д.В., Хачатрян Л.А. Применение пропранолола в лечении синдрома Казабаха–Мерритт у детей. // Вопросы гематологии/онкологии и иммунопатологии в педиатрии. – 2016. – Т. 15. – № 4. – С. 28–33. [Fedorova DV, Khachatryan LA. Use of propranolol in management of Kasabach-Merritt syndrome in children. Pediatric Haematology / Oncology and Immunopathology. 2016;15(4):28-33. (In Russ.)] https://doi.org/10.20953/1726-1708-2016-4-28-33.
- Чардаров Н.К, Ганиев Ф.А., Багмет Н.Н., Скипенко О.Г. Гемангиомы печени: взгляд хирурга // Анналы хирургической гепатологии. – 2012. – Т. 17. – № 1. – С. 86–93. [Chardarov NK, Ganiev FA, Bagmet NN, Skipenko OG. Liver hemangiomas: the surgical point of view. Annaly Khirurg Gepatologii. Annaly Khirurgicheskoi Gepatologii. 2012;17(1):86-93. (In Russ.)]
- Шабалов Н.П. Неонатология: учебное пособие. 4-е изд., исправленное и дополненное. В 2-х томах. Т. 2. – М.: МЕДпресс-информ, 2006. [Shabalov NP. Neonatologiya. Uchebnoe posobie. 4-e izd., ispravlennoe i dopolnennoe. V 2h tomah. T. 2. Moscow: MEDpress-inform; 2006. (In Russ.)]
- Шабалов Н.П., Цвелев Ю.В., Кира Е.Ф., и др. Основы перинатологии: учебник для студентов медицинских вузов / под ред. Н.П. Шабалова, Ю.В. Цвелева. 3-е изд., перераб. и доп. – М.: МЕДпресс-информ, 2004. – 633 с. [Shabalov NP, Cvelev YuV, Kira EF, et al. Osnovy perinatologii. Uchebnik dlya studentov medicinskih vuzov. N.P. Shabalov, YuV Cvelev editors. 3-e izd. Pererab. i dop. Moscow: MEDpress-inform; 2004. 633 s. (In Russ.)]
- Christison-Lagay ER, Burrows PE, Alomari A, et al. Hepatic hemangiomas: subtype classification and development of a clinical practice algorithm and registry. J Pediatr Surg. 2007;42(1):62-68. https://doi.org/10.1016/j.jpedsurg.2006.09.041.
- Greenberger S, Bischoff J. Infantile hemangioma-mechanism(s) of drug action on a vascular tumor. Cold Spring Harb Perspect Med. 2012;1(1): a006460. https://doi.org/10.1101/cshperspect.a006460.
- George A, Mani V, Noufal A. Update on the classification of hemangioma. J Oral Maxillofac Pathol. 2014; 18(Suppl 1):S117-S120. https://doi.org/10.4103/ 0973-029X.141321
- Chen H. Kasabach-Merritt Syndrome. In: Atlas of Genetic Diagnosis and Counseling. Springer Science+Business Media LLC; 2017. P. 1635-1639.
- Hutchins KK, Ross RD, Kobayashi D, et al. Treatment of Refractory Infantile Hemangiomas and Pulmonary Hypertension with Sirolimus in a Pediatric Patient. J Pediatr Hematol / oncol. 2017;39(7): e391-e393. https://doi.org/10.1097/mph.0000000000000961.
- ISSVA Classification of Vascular Anomalies. International Society for the Study of Vascular Anomalies. 2018. Available from: https://www.issva.org/classification. Accessed: April 11, 2020.
- Jiao-ling L, Xiu-ping G, Kun-shan C, et al. Huge fetal hepatic Hemangioma: prenatal diagnosis on ultrasound and prognosis. BMC Pregnancy Childbirth. 2018;18(1):2. https://doi.org/10.1186/s12884-017-1635-7.
- Kaylani S, Theos AJ, Pressey JG. Treatment of Infantile Hemangiomas with Sirolimus in a Patient with PHACE Syndrome. Pediatr Dermatol. 2013;30(6): e194-e197. https://doi.org/10.1111/pde.12023.
- Krowchuk DP, Frieden IJ, Mancini AJ, et al. Clinical practice guideline for the management of infantile hemangiomas. Pediatrics. 2019;143(1): e20183475. https://doi.org/10.1542/peds.2018-3475.
- Kulungowski AM, Alomari AI, Chawla A, et al. Lessons from a liver hemangioma registry: Subtype classification. J Pediatr Surg. 2012;47(1):165-170. https://doi.org/10.1016/j.jpedsurg.2011.10.037.
- Pott Bärtsch EM, Paek BW, Yoshizawa J, et al. Giant Fetal Hepatic Hemangioma. Fetal Diagn Ther. 2003;18:59-64. https://doi.org/10.1159/000066387.
- Regier TS, Ramji FG. Pediatric hepatic hemangioma. RadioGraphics. 2004;24(6):1719-1724. https://doi.org/10.1148/rg.246035188.
- Storch CH, Hoeger PH. Propranolol for infantile haemangiomas: insights into the molecular mechanisms of action. Br J Dermatol. 2010;163(2):269-274. https://doi.org/10.1111/j.1365-2133.2010.09848.x.
Supplementary files










